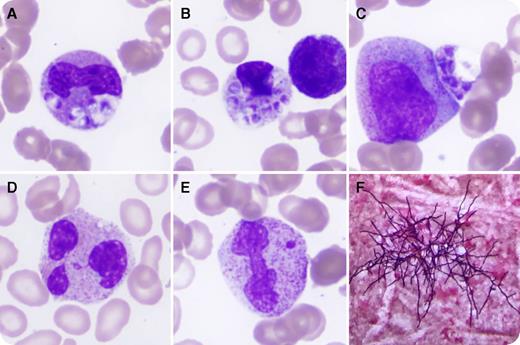
A 23-year-old Thai man presented with lethargy, arthralgia, diarrhea, fevers, and a papular rash. Past medical history was unremarkable. White cell count was 4.5 × 109/L (neutrophils 2.6 × 109/L, lymphocytes 0.1 × 109/L), hemoglobin 10 g/dL with mean corpuscular volume of 59 fL, and platelets 33 × 109/L. The peripheral blood film revealed small (2-5 μm) round-to-ovoid yeast cells with occasional central septa located predominantly within neutrophil cytoplasm (panels A-C; original magnification ×1000, May-Grünwald Giemsa stain). Also noted were striking neutrophilic dysplasia with large abnormal forms, binucleate cells (panel D; original magnification ×1000, May-Grünwald Giemsa stain), and frequent small nuclear fragments, some detached and others connected by a fine filament (panel E; original magnification ×1000, May-Grünwald Giemsa stain). Red cells were hypochromic and microcytic, with target cells consistent with known α-thalassemia trait.
The patient was subsequently diagnosed with AIDS, with an HIV viral load of 282 137 copies/mL and CD4 count of 8 cells/µL. Advanced HIV infection can cause marked dysplasia, with round nuclear fragments reported to be a specific feature. Blood cultures grew Talaromyces marneffei (formerly Penicillium marneffei), a dimorphic fungus that is an important opportunistic pathogen in southeast Asia (panel F; original magnification ×1000, Gram stain; courtesy of R. Chan, Infectious Diseases Department, Royal Prince Alfred Hospital, Sydney, Australia). With heavy fungemia the organisms may be seen on the peripheral blood smear, which can facilitate prompt diagnosis and treatment.
A 23-year-old Thai man presented with lethargy, arthralgia, diarrhea, fevers, and a papular rash. Past medical history was unremarkable. White cell count was 4.5 × 109/L (neutrophils 2.6 × 109/L, lymphocytes 0.1 × 109/L), hemoglobin 10 g/dL with mean corpuscular volume of 59 fL, and platelets 33 × 109/L. The peripheral blood film revealed small (2-5 μm) round-to-ovoid yeast cells with occasional central septa located predominantly within neutrophil cytoplasm (panels A-C; original magnification ×1000, May-Grünwald Giemsa stain). Also noted were striking neutrophilic dysplasia with large abnormal forms, binucleate cells (panel D; original magnification ×1000, May-Grünwald Giemsa stain), and frequent small nuclear fragments, some detached and others connected by a fine filament (panel E; original magnification ×1000, May-Grünwald Giemsa stain). Red cells were hypochromic and microcytic, with target cells consistent with known α-thalassemia trait.
The patient was subsequently diagnosed with AIDS, with an HIV viral load of 282 137 copies/mL and CD4 count of 8 cells/µL. Advanced HIV infection can cause marked dysplasia, with round nuclear fragments reported to be a specific feature. Blood cultures grew Talaromyces marneffei (formerly Penicillium marneffei), a dimorphic fungus that is an important opportunistic pathogen in southeast Asia (panel F; original magnification ×1000, Gram stain; courtesy of R. Chan, Infectious Diseases Department, Royal Prince Alfred Hospital, Sydney, Australia). With heavy fungemia the organisms may be seen on the peripheral blood smear, which can facilitate prompt diagnosis and treatment.
For additional images, visit the ASH Image Bank, a reference and teaching tool that is continually updated with new atlas and case study images. For more information, visit http://imagebank.hematology.org.

