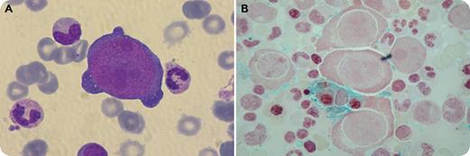
A 10-year-old, previously healthy girl presented with asthenia and fever of 3 days’ duration. Initial investigations revealed mild leukopenia and severe hemolytic anemia (hemoglobin = 4.9 mg/dL) with a markedly positive direct Coombs test. However, the absolute reticulocyte count was unexpectedly low, necessitating a bone marrow aspiration. It revealed marked hypoplasia of erythroid lineage that was mainly represented by scattered giant proerythroblasts showing intranuclear inclusions highly suggestive of underlying parvovirus B19 infection (panel A; May-Grunwald Giemsa stain, original magnification ×1000). Activated macrophages showing hemophagocytosis were also noted as highlighted on the iron stain preparation (panel B; Perls' Prussian blue stain, original magnification ×1000). After common causes of infection and hemolysis were ruled out, the diagnosis was confirmed by serology showing significantly increased anti–human parvovirus B19 immunoglobulin M and by qualitative polymerase chain reaction performed on a bone marrow sample. Therefore, the patient was diagnosed with autoimmune hemolytic anemia (AIHA) associated with pure red cell aplasia (PRCA) caused by parvovirus B19 infection. She was treated with steroids and intravenous immunoglobulin and had a complete recovery.
PRCA induced by parvovirus infection is a well-known entity. However, concomitant occurrence of AIHA has been rarely reported in such a context. This association should be considered when a patient presents with a severe acute anemia in the absence of a known cause of shortened erythrocyte lifetime.
A 10-year-old, previously healthy girl presented with asthenia and fever of 3 days’ duration. Initial investigations revealed mild leukopenia and severe hemolytic anemia (hemoglobin = 4.9 mg/dL) with a markedly positive direct Coombs test. However, the absolute reticulocyte count was unexpectedly low, necessitating a bone marrow aspiration. It revealed marked hypoplasia of erythroid lineage that was mainly represented by scattered giant proerythroblasts showing intranuclear inclusions highly suggestive of underlying parvovirus B19 infection (panel A; May-Grunwald Giemsa stain, original magnification ×1000). Activated macrophages showing hemophagocytosis were also noted as highlighted on the iron stain preparation (panel B; Perls' Prussian blue stain, original magnification ×1000). After common causes of infection and hemolysis were ruled out, the diagnosis was confirmed by serology showing significantly increased anti–human parvovirus B19 immunoglobulin M and by qualitative polymerase chain reaction performed on a bone marrow sample. Therefore, the patient was diagnosed with autoimmune hemolytic anemia (AIHA) associated with pure red cell aplasia (PRCA) caused by parvovirus B19 infection. She was treated with steroids and intravenous immunoglobulin and had a complete recovery.
PRCA induced by parvovirus infection is a well-known entity. However, concomitant occurrence of AIHA has been rarely reported in such a context. This association should be considered when a patient presents with a severe acute anemia in the absence of a known cause of shortened erythrocyte lifetime.
For additional images, visit the ASH Image Bank, a reference and teaching tool that is continually updated with new atlas and case study images. For more information, visit http://imagebank.hematology.org.
