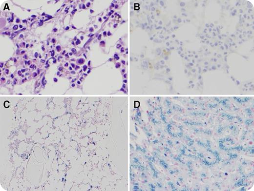
A 35-year-old man with prolonged aplasia (62 days) after 2 inductions for acute myeloid leukemia (AML), underwent a myeloablative, matched-sibling, A-to-O allogeneic stem cell transplantation. Despite rapid neutrophil and platelet recovery, he remained red blood cell aplastic (reticulocytes <1%) with a negative infectious (including parvovirus B19) and nutritional workup. A day 100 bone marrow specimen revealed absent erythropoiesis (panel A: original magnification ×50; hematoxylin and eosin stain; panel B: original magnification ×20; E-cadherin stain) and iron overload (panel C: original magnification ×10; Prussian blue stain). The anti-A isohemagglutinin immunoglobulin G titer was 1:128, and a diagnosis of pure red blood cell aplasia (PRCA) due to major ABO mismatch was established. A liver biopsy (6 months posttransplant) to investigate transaminitis (alanine aminotransferase, 462 U/L; aspartate aminotransferase, 209 U/L; alkaline phosphatase, 332 U/L) showed striking iron overload (panel D: original magnification ×20; Prussian blue stain). Ferritin and transferrin saturations at that time were 7166 ng/mL and 96%, respectively. Four weekly doses of rituximab and a taper of cyclosporine resulted in the resolution of anemia, and therapeutic phlebotomy was initiated. Since the diagnosis of AML, the patient received 60 units of packed red blood cells.
Antidonor red blood cell antibodies made by residual patient-derived plasma cells can cause PRCA after major ABO-mismatched transplant. Although adding immunosuppression (eg, rituximab) can block this process, tapering immunosuppression may be effective by generating a graft-versus-plasma cell effect.
A 35-year-old man with prolonged aplasia (62 days) after 2 inductions for acute myeloid leukemia (AML), underwent a myeloablative, matched-sibling, A-to-O allogeneic stem cell transplantation. Despite rapid neutrophil and platelet recovery, he remained red blood cell aplastic (reticulocytes <1%) with a negative infectious (including parvovirus B19) and nutritional workup. A day 100 bone marrow specimen revealed absent erythropoiesis (panel A: original magnification ×50; hematoxylin and eosin stain; panel B: original magnification ×20; E-cadherin stain) and iron overload (panel C: original magnification ×10; Prussian blue stain). The anti-A isohemagglutinin immunoglobulin G titer was 1:128, and a diagnosis of pure red blood cell aplasia (PRCA) due to major ABO mismatch was established. A liver biopsy (6 months posttransplant) to investigate transaminitis (alanine aminotransferase, 462 U/L; aspartate aminotransferase, 209 U/L; alkaline phosphatase, 332 U/L) showed striking iron overload (panel D: original magnification ×20; Prussian blue stain). Ferritin and transferrin saturations at that time were 7166 ng/mL and 96%, respectively. Four weekly doses of rituximab and a taper of cyclosporine resulted in the resolution of anemia, and therapeutic phlebotomy was initiated. Since the diagnosis of AML, the patient received 60 units of packed red blood cells.
Antidonor red blood cell antibodies made by residual patient-derived plasma cells can cause PRCA after major ABO-mismatched transplant. Although adding immunosuppression (eg, rituximab) can block this process, tapering immunosuppression may be effective by generating a graft-versus-plasma cell effect.
For additional images, visit the ASH IMAGE BANK, a reference and teaching tool that is continually updated with new atlas and case study images. For more information visit http://imagebank.hematology.org.

