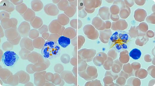
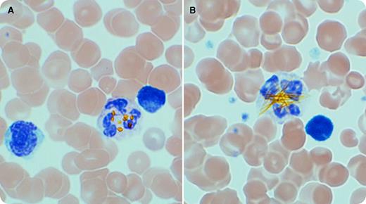
A 5-day-old boy was brought to the emergency room with a history of fever, lethargy, poor feeding, and yellowish coloration of skin. On examination, the child was febrile, hypotensive, and deeply jaundiced. Laboratory tests showed a total bilirubin level of 764.7 µmol/L (44.7 mg/dL) and direct bilirubin of 37 µmol/L. Hemoglobin was 178 g/L, white cell count 26.1 × 109/L, neutrophils 16.1 × 109/L, lymphocytes 5.8 × 109/L, and monocytes 3.0 × 109/L. There was no blood group incompatibility with mother. The child was admitted to the pediatric intensive care unit and given IV fluids, broad-spectrum antibiotics, along with double-volume exchange transfusion and intensive phototherapy. Blood culture grew Escherichia coli; therefore, a diagnosis of hyperbilirubinemia secondary to E coli sepsis was made. The peripheral blood smears made from EDTA-anticoagulated blood showed golden-brown refractile crystals in the cytoplasm of neutrophils. The crystals were mostly rhomboid to rectangular (panel A; original magnification ×1000, Wright-Giemsa stain) in shape; however, needlelike crystals (panel B; original magnification ×1000, Wright-Giemsa stain) were also seen in occasional neutrophils.
Bilirubin crystals are occasionally seen in neutrophils from neonates and children with marked hyperbilirubinemia. These bilirubin crystals are more commonly found in septicemia than with hemolytic disease of the newborn. The crystal formation is believed to be an in vitro phenomenon because it is specific to blood samples collected in EDTA.
A 5-day-old boy was brought to the emergency room with a history of fever, lethargy, poor feeding, and yellowish coloration of skin. On examination, the child was febrile, hypotensive, and deeply jaundiced. Laboratory tests showed a total bilirubin level of 764.7 µmol/L (44.7 mg/dL) and direct bilirubin of 37 µmol/L. Hemoglobin was 178 g/L, white cell count 26.1 × 109/L, neutrophils 16.1 × 109/L, lymphocytes 5.8 × 109/L, and monocytes 3.0 × 109/L. There was no blood group incompatibility with mother. The child was admitted to the pediatric intensive care unit and given IV fluids, broad-spectrum antibiotics, along with double-volume exchange transfusion and intensive phototherapy. Blood culture grew Escherichia coli; therefore, a diagnosis of hyperbilirubinemia secondary to E coli sepsis was made. The peripheral blood smears made from EDTA-anticoagulated blood showed golden-brown refractile crystals in the cytoplasm of neutrophils. The crystals were mostly rhomboid to rectangular (panel A; original magnification ×1000, Wright-Giemsa stain) in shape; however, needlelike crystals (panel B; original magnification ×1000, Wright-Giemsa stain) were also seen in occasional neutrophils.
Bilirubin crystals are occasionally seen in neutrophils from neonates and children with marked hyperbilirubinemia. These bilirubin crystals are more commonly found in septicemia than with hemolytic disease of the newborn. The crystal formation is believed to be an in vitro phenomenon because it is specific to blood samples collected in EDTA.
For additional images, visit the ASH IMAGE BANK, a reference and teaching tool that is continually updated with new atlas and case study images. For more information visit http://imagebank.hematology.org.
