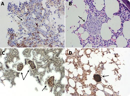
A 70-year-old woman, with a history of diffuse large B-cell lymphoma treated with rituximab–cyclophosphamide, doxorubicin, vincristine, and prednisone during 2014, presented in June 2016 with pancytopenia (white blood cell count, 0.6 × 109/L; hemoglobin, 9.7 g/dL; platelets, 43 × 109/L) and lung nodule. Lung biopsy revealed poorly differentiated squamous cell carcinoma. On flow cytometry of bone marrow (BM) aspiration, 28% of cells were blasts, positive for CD123, CD13, CD33, CD117, CD34, and HLA-DR. BM biopsy revealed 20% to 30% blasts which were positive, by immunohistochemistry, to CD34 and c-kit (panel A; CD34 stain, original magnification ×20) and, in addition, there were nerves (panel A; panel B; hematoxylin and eosin stain, original magnification ×20). The nerves’ structure was more prominent by reticulin stain (panel C; original magnification ×10) and was confirmed by S-100 stain (panel D; original magnification ×10). It should be noted that BM biopsies that were done in 2014 as part of lymphoma evaluation did not show ectopic nerve tissue.
These ectopic nerves are not supposed to appear in the BM. Normal BM contains, in addition to hematopoietic and stromal cells, mesenchymal stem cells which might be induced, in the laboratory, to be neural stem cells. Nevertheless, the appearance of ectopic nerves in the BM is a unique phenomenon with unknown etiology and significance.
A 70-year-old woman, with a history of diffuse large B-cell lymphoma treated with rituximab–cyclophosphamide, doxorubicin, vincristine, and prednisone during 2014, presented in June 2016 with pancytopenia (white blood cell count, 0.6 × 109/L; hemoglobin, 9.7 g/dL; platelets, 43 × 109/L) and lung nodule. Lung biopsy revealed poorly differentiated squamous cell carcinoma. On flow cytometry of bone marrow (BM) aspiration, 28% of cells were blasts, positive for CD123, CD13, CD33, CD117, CD34, and HLA-DR. BM biopsy revealed 20% to 30% blasts which were positive, by immunohistochemistry, to CD34 and c-kit (panel A; CD34 stain, original magnification ×20) and, in addition, there were nerves (panel A; panel B; hematoxylin and eosin stain, original magnification ×20). The nerves’ structure was more prominent by reticulin stain (panel C; original magnification ×10) and was confirmed by S-100 stain (panel D; original magnification ×10). It should be noted that BM biopsies that were done in 2014 as part of lymphoma evaluation did not show ectopic nerve tissue.
These ectopic nerves are not supposed to appear in the BM. Normal BM contains, in addition to hematopoietic and stromal cells, mesenchymal stem cells which might be induced, in the laboratory, to be neural stem cells. Nevertheless, the appearance of ectopic nerves in the BM is a unique phenomenon with unknown etiology and significance.
For additional images, visit the ASH IMAGE BANK, a reference and teaching tool that is continually updated with new atlas and case study images. For more information visit http://imagebank.hematology.org.
