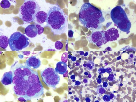
A 60-year-old woman with a 1-year history of lower back pain presented with recent-onset altered sensorium. Clinical examination and neuroimaging did not show any focal neurologic lesions. She had severe anemia (hemoglobin 68 g/L) and mild leukocytosis with 8% circulating multinucleate cells in the peripheral blood. The bone marrow aspirate showed a large number of bizarre, atypical cells with binucleation, multinucleation, and abnormal nuclear lobation (panels A-C; original magnification ×100, May-Grünwald-Giemsa stain). The cytoplasm was basophilic to amphophilic and contained numerous vacuoles in some cells, resembling metastatic, poorly differentiated carcinoma (panel D; original magnification ×20, May-Grünwald-Giemsa stain). Plasma cells were present in adjacent fields. Flow cytometry showed moderate expression of CD38, CD56, and cytoplasmic κ in these cells. Biochemical investigations showed elevated urea and creatinine levels and reversal of the albumin:globulin ratio. Serum protein electrophoresis showed a monoclonal “M” band (3.32 g/dL) that was immunoglobulin G, κ on immunofixation. Magnetic resonance imaging of the spine showed lytic lesions involving multiple vertebrae.
Based on the clinical, biochemical, and radiologic parameters, and combined with the morphology and flow cytometry findings, a diagnosis of anaplastic plasma cell myeloma was made. This case demonstrates the unusual anaplastic morphology of plasma cell myeloma, which can lead to difficulties in morphologic diagnosis.
A 60-year-old woman with a 1-year history of lower back pain presented with recent-onset altered sensorium. Clinical examination and neuroimaging did not show any focal neurologic lesions. She had severe anemia (hemoglobin 68 g/L) and mild leukocytosis with 8% circulating multinucleate cells in the peripheral blood. The bone marrow aspirate showed a large number of bizarre, atypical cells with binucleation, multinucleation, and abnormal nuclear lobation (panels A-C; original magnification ×100, May-Grünwald-Giemsa stain). The cytoplasm was basophilic to amphophilic and contained numerous vacuoles in some cells, resembling metastatic, poorly differentiated carcinoma (panel D; original magnification ×20, May-Grünwald-Giemsa stain). Plasma cells were present in adjacent fields. Flow cytometry showed moderate expression of CD38, CD56, and cytoplasmic κ in these cells. Biochemical investigations showed elevated urea and creatinine levels and reversal of the albumin:globulin ratio. Serum protein electrophoresis showed a monoclonal “M” band (3.32 g/dL) that was immunoglobulin G, κ on immunofixation. Magnetic resonance imaging of the spine showed lytic lesions involving multiple vertebrae.
Based on the clinical, biochemical, and radiologic parameters, and combined with the morphology and flow cytometry findings, a diagnosis of anaplastic plasma cell myeloma was made. This case demonstrates the unusual anaplastic morphology of plasma cell myeloma, which can lead to difficulties in morphologic diagnosis.
For additional images, visit the ASH IMAGE BANK, a reference and teaching tool that is continually updated with new atlas and case study images. For more information visit http://imagebank.hematology.org.

