Abstract
Background
Dual targeting of overlapping pathways in hematologic malignancies is an attractive therapeutic strategy to prevent resistance by compensatory signalling. The Pim and PI3K/AKT/mTOR pathways are proving effective drug targets in Multiple Myeloma (MM). Pim inhibition with novel compound Pim447 has demonstrated durable single agent activity in advanced disease (Raab et al ASH 2014, NCT01456689) while Akt inhibitor Afuresertib is effective in relapsed MM in combination with bortezomib (Voorhees et al ASH 2013, NCT01428492). Pim and Akt converge on mTOR activation, inhibition of p53, and the inactivation of BAD via phosphorylation. These redundant roles suggest potential for compensatory signalling on single pathway blockade. We have hence evaluated these clinically relevant drugs to provide a preclinical rationale for their combination in MM.
Methods
Pim447 and Afuresertib were evaluated against a panel of MM cell lines - NCI-H929, RPMI-8226, MM1S and KMS11 - and primary MM bone marrow aspirate samples. Cell Viability (AnnexinV/PI) and Cell Cycle (Edu/DAPI) analysis was performed up to 72 hours. Compusyn software was used for Chou-Talalay generated combination indices (CI <1 indicating synergy).
Results
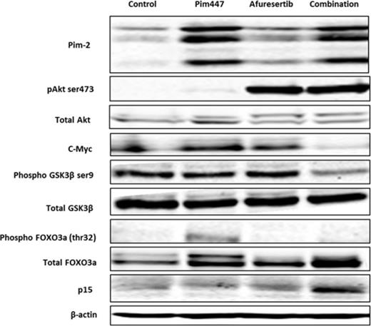
Single treatment with either Pim447 or Afuresertib reduces proliferation and induces G1 accumulation but is not cytotoxic to MM cells. We tested 25 Pim447 and Afuresertib combinations against each cell line and found combinations of nanomolar concentrations result in >90% cell death at 48hours (CI 0.1-0.8) (Figure 1). For analysis of mechanism of synergy we selected the lowest synergistic combinations at which there is evidence of both drug/target engagement (i.e. hyperphosphorylation of Akt by Afuresertib and increase in Pim-2 by Pim447) and activity against validated downstream targets (FOXO3a for Afuresertib and BAD for Pim447). Interestingly, Pim inhibitor treatment leads to an increase in active phospho-Akt and phosphorylation of its target FOXO3a. Conversely, with Akt inhibition we demonstrate increased Pim-2 expression above basal levels, providing evidence of compensatory signalling on single target inhibition. In keeping with this, dual treatment results in greater inhibition of overlapping targets mTOR (measured via reduced outputs phospho-S6 and phospho-4EBP1), and phospho-BAD. Combination treatment uniquely depletes c-Myc in all cell lines, with single drugs having no effect (Figure 2 NCI-H929). Consistent with this, while neither inhibitor alone reduces phosphorylation of Akt target GSK3β the combination does so effectively, thus activating GSK3β which in turn can target c-Myc for ubiquitination. Further, with activation of GSK3β on dual blockade we demonstrate a concerted reduction in Cyclin D1. As noted above, Akt-induced (inactivating) phosphorylation of transcription factor FOXO3a is predictably inhibited by Afuresertib treatment. Unexpectedly active FOXO3a was upregulated on combination treatment and may mediate synergistic cytotoxicity via derepression of target genes. Pim447 and Afuresertib combination markedly potentiates G1 cell cycle arrest. This does not occur by induction of shared targets p53 or p21, but is associated with induction of FOXO3a transcriptional target p15. Further, in 3 of 4 cell lines the FOXO3a target p27 is increased to a greater extent by dual inhibitor treatment, consistent with its transcription on loss of repressor function of c-Myc. Co-culture with HS5 stromal cells affords protection against Afuresertib-mediated cell death in vitro, however, this is overcome and synergistic cell death observed with combination treatment. We have tested the combination in 10 primary MM samples to date. The inhibitors were active in all samples and the combination increased cell death in 6/10 (Figure 3).
Conclusions
Single treatment with Pim447 or Afuresertib is not cytotoxic in vitro at clinically relevant concentrations. However, combined inhibition activates GSK3β with reduction in Cyclin D1 and depletion of c-Myc, and induces transcriptional regulator FOXO3a resulting in impressive synergistic cell death. Ongoing preclinical assessment of this promising combination will include testing in the VK*MYC transgenic mouse model.
No relevant conflicts of interest to declare.
Author notes
Asterisk with author names denotes non-ASH members.


