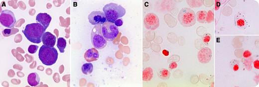
A 51-year-old white woman with a history of pernicious anemia developed increasing lethargy and shortness of breath without neurologic or B symptoms. Investigations revealed the following: white blood cells 2.8 × 109/L, hemoglobin 62 g/L (mean cell volume 126.3 fL), platelets 82 × 109/L, and evidence of hemolysis (unconjugated bilirubin 58 μmol/L, lactate dehydrogenase >2500 U/L, reticulocytes 45 × 109/L, and haptoglobin <0.07 g/L) with negative direct antiglobulin test. Red cell folate was normal, but total vitamin B12 level was decreased at <22 pmol/L; homocysteine and methylmalonic acid were elevated (21.5 μmol/L and 16.6 μmol/L, respectively). Peripheral blood film showed macrocytes and mild fragmented erythrocytes. Bone marrow (BM) aspirate revealed a hypercellular marrow with megaloblastic and dysplastic features in myeloid and erythroid lineages (panels A-B), along with 10% to 15% ring sideroblasts (panels C-E). Marrow cytogenetics revealed a normal female karyotype.
A month after receiving intramuscular vitamin B12 injections daily for 1 week, then weekly, the patient became asymptomatic. Her blood counts and vitamin B12 level normalized, thus arguing against an alternative diagnosis of myelodysplasia (BM aspirate was not repeated). This is a rare presentation of vitamin B12 deficiency with striking megaloblastic features and ring sideroblasts. Rather than presumptively diagnosing myelodysplasia, timely recognition and vitamin B12 supplementation lead to resolution of symptoms and blood work abnormalities.
A 51-year-old white woman with a history of pernicious anemia developed increasing lethargy and shortness of breath without neurologic or B symptoms. Investigations revealed the following: white blood cells 2.8 × 109/L, hemoglobin 62 g/L (mean cell volume 126.3 fL), platelets 82 × 109/L, and evidence of hemolysis (unconjugated bilirubin 58 μmol/L, lactate dehydrogenase >2500 U/L, reticulocytes 45 × 109/L, and haptoglobin <0.07 g/L) with negative direct antiglobulin test. Red cell folate was normal, but total vitamin B12 level was decreased at <22 pmol/L; homocysteine and methylmalonic acid were elevated (21.5 μmol/L and 16.6 μmol/L, respectively). Peripheral blood film showed macrocytes and mild fragmented erythrocytes. Bone marrow (BM) aspirate revealed a hypercellular marrow with megaloblastic and dysplastic features in myeloid and erythroid lineages (panels A-B), along with 10% to 15% ring sideroblasts (panels C-E). Marrow cytogenetics revealed a normal female karyotype.
A month after receiving intramuscular vitamin B12 injections daily for 1 week, then weekly, the patient became asymptomatic. Her blood counts and vitamin B12 level normalized, thus arguing against an alternative diagnosis of myelodysplasia (BM aspirate was not repeated). This is a rare presentation of vitamin B12 deficiency with striking megaloblastic features and ring sideroblasts. Rather than presumptively diagnosing myelodysplasia, timely recognition and vitamin B12 supplementation lead to resolution of symptoms and blood work abnormalities.
For additional images, visit the ASH IMAGE BANK, a reference and teaching tool that is continually updated with new atlas and case study images. For more information visit http://imagebank.hematology.org.
