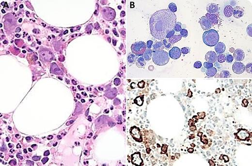
A 45-year-old woman with a history of renal transplant and immunosuppressive therapy presented with worsening anemia (hemoglobin, 6.1 g/dL). The bone marrow (BM) demonstrated normocellularity (50%) and erythroid hypoplasia with lack of erythroid maturation. Several giant erythroblasts with prominent intranuclear viral inclusions and varying degrees of nuclear membrane dissolution were identified in the biopsy (panel A). CD71 immunohistochemistry confirmed the erythroblasts with viral inclusions and reduced erythroid precursors (panel C). A single giant proerythroblast with dissolving nuclear membrane was found in the BM aspirate smear (panel B). Parvovirus B19 immunoglobulin M antibody was positive (5.76; positive index >1.10) by enzyme immunoassay, and qualitative polymerase chain reaction detected DNA for parvovirus. She began receiving intravenous immunoglobulin and had a diagnosis of acute parvovirus B19 infection.
Parvovirus B19 is a single-stranded DNA virus and selectively replicates in erythroid precursors in BM or peripheral blood causing transient or permanent suppression of erythropoiesis in immunocompromised patients. These patients will develop chronic anemia, pure red cell aplasia or, less often, neutropenia and thrombocytopenia. Although the classic BM findings have been described, they can easily be overlooked because of very rare giant erythroblasts with viral inclusions or lack of suspicion of parvovirus B19 infection, leading to delayed therapy.
A 45-year-old woman with a history of renal transplant and immunosuppressive therapy presented with worsening anemia (hemoglobin, 6.1 g/dL). The bone marrow (BM) demonstrated normocellularity (50%) and erythroid hypoplasia with lack of erythroid maturation. Several giant erythroblasts with prominent intranuclear viral inclusions and varying degrees of nuclear membrane dissolution were identified in the biopsy (panel A). CD71 immunohistochemistry confirmed the erythroblasts with viral inclusions and reduced erythroid precursors (panel C). A single giant proerythroblast with dissolving nuclear membrane was found in the BM aspirate smear (panel B). Parvovirus B19 immunoglobulin M antibody was positive (5.76; positive index >1.10) by enzyme immunoassay, and qualitative polymerase chain reaction detected DNA for parvovirus. She began receiving intravenous immunoglobulin and had a diagnosis of acute parvovirus B19 infection.
Parvovirus B19 is a single-stranded DNA virus and selectively replicates in erythroid precursors in BM or peripheral blood causing transient or permanent suppression of erythropoiesis in immunocompromised patients. These patients will develop chronic anemia, pure red cell aplasia or, less often, neutropenia and thrombocytopenia. Although the classic BM findings have been described, they can easily be overlooked because of very rare giant erythroblasts with viral inclusions or lack of suspicion of parvovirus B19 infection, leading to delayed therapy.
For additional images, visit the ASH IMAGE BANK, a reference and teaching tool that is continually updated with new atlas and case study images. For more information visit http://imagebank.hematology.org.

