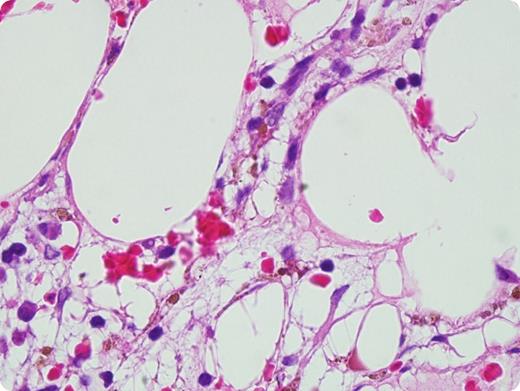
A 27-year-old woman with end-stage renal disease due to type 1 diabetes underwent simultaneous pancreas-kidney (SPK) transplantation with a 2A, 2B, 1DR HLA-mismatched, male-to-female graft. Conditioning included antithymocyte globulin (7 mg/kg over 4 days) and methylprednisolone (500 mg intraoperatively). Tacrolimus, azathioprine, and standard tapering doses of steroids were used for posttransplant immunosuppression. Four weeks posttransplant, the patient developed progressive pancytopenia (white blood cell count, 0.1 × 109/L; hemoglobin, 6.6 g/dL; platelets, 23 × 109/L) with an unremarkable extensive workup. The bone marrow was aplastic. Interphase fluorescence in situ hybridization for sex chromosome DNA demonstrated 57% donor cells in the marrow. Short tandem repeat CD3+-enriched identity testing on the peripheral blood revealed 81% donor T cells. A diagnosis of isolated bone marrow aplasia due to acute graft-versus-host disease (aGVHD) was established. Treatment with high-dose steroids and antithymocyte globulin was unsuccessful. During reduced-intensity conditioning for salvage stem cell transplantation, the patient succumbed to invasive aspergillosis.
Only a handful of cases of aGVHD following SPK transplantation have been reported. Immunocompetent passenger T cells in the graft attack HLA-disparate epithelial tissues in the immunocompromised host. Bone marrow aplasia, often considered a terminal event, is the consequence of destruction of hematopoietic progenitor/stem cells or their supporting niche by alloreactive T cells, and can precede, concur with, or follow other organ (skin, gut, and liver) involvement.
A 27-year-old woman with end-stage renal disease due to type 1 diabetes underwent simultaneous pancreas-kidney (SPK) transplantation with a 2A, 2B, 1DR HLA-mismatched, male-to-female graft. Conditioning included antithymocyte globulin (7 mg/kg over 4 days) and methylprednisolone (500 mg intraoperatively). Tacrolimus, azathioprine, and standard tapering doses of steroids were used for posttransplant immunosuppression. Four weeks posttransplant, the patient developed progressive pancytopenia (white blood cell count, 0.1 × 109/L; hemoglobin, 6.6 g/dL; platelets, 23 × 109/L) with an unremarkable extensive workup. The bone marrow was aplastic. Interphase fluorescence in situ hybridization for sex chromosome DNA demonstrated 57% donor cells in the marrow. Short tandem repeat CD3+-enriched identity testing on the peripheral blood revealed 81% donor T cells. A diagnosis of isolated bone marrow aplasia due to acute graft-versus-host disease (aGVHD) was established. Treatment with high-dose steroids and antithymocyte globulin was unsuccessful. During reduced-intensity conditioning for salvage stem cell transplantation, the patient succumbed to invasive aspergillosis.
Only a handful of cases of aGVHD following SPK transplantation have been reported. Immunocompetent passenger T cells in the graft attack HLA-disparate epithelial tissues in the immunocompromised host. Bone marrow aplasia, often considered a terminal event, is the consequence of destruction of hematopoietic progenitor/stem cells or their supporting niche by alloreactive T cells, and can precede, concur with, or follow other organ (skin, gut, and liver) involvement.
For additional images, visit the ASH IMAGE BANK, a reference and teaching tool that is continually updated with new atlas and case study images. For more information visit http://imagebank.hematology.org.
