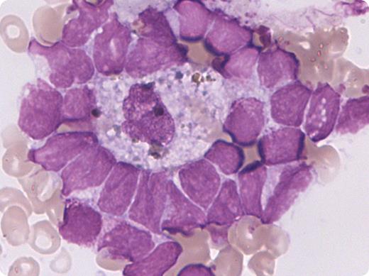
A 64-year-old woman was diagnosed with acute myeloid leukemia (AML-M5) in 2004 and achieved complete response after intensive chemotherapy but relapsed in January 2011. She responded again to induction chemotherapy, but the second relapse occurred in November 2011. At that time, morphologic examination of the bone marrow smear revealed blastic infiltration and the presence of many macrophages with hemophagocytosis, particularly erythrocytes phagocytosis. Surprisingly, several “blastic islands” mimicking physiological erythroblastic islands were also observed, consisting of a central macrophage entirely surrounded by a ring of leukemic blasts.
Although hemophagocytic syndrome is not uncommon in AML patients undergoing chemotherapy, this picture is very rarely observed. It is noteworthy that leukemic blasts are never targeted by hemophagocytosis. What is the significance of the adhesive interactions between leukemic cells and macrophages? It has been shown that increased CD47 expression by leukemic cells inhibits macrophage activity and is associated with poor prognosis in AML. We speculate here that leukemic cells likely express high levels of CD47 and, in addition, that macrophages may also deliver survival signals to leukemic cells, because no features of cell death are seen in surrounding blasts despite this very close contact.
A 64-year-old woman was diagnosed with acute myeloid leukemia (AML-M5) in 2004 and achieved complete response after intensive chemotherapy but relapsed in January 2011. She responded again to induction chemotherapy, but the second relapse occurred in November 2011. At that time, morphologic examination of the bone marrow smear revealed blastic infiltration and the presence of many macrophages with hemophagocytosis, particularly erythrocytes phagocytosis. Surprisingly, several “blastic islands” mimicking physiological erythroblastic islands were also observed, consisting of a central macrophage entirely surrounded by a ring of leukemic blasts.
Although hemophagocytic syndrome is not uncommon in AML patients undergoing chemotherapy, this picture is very rarely observed. It is noteworthy that leukemic blasts are never targeted by hemophagocytosis. What is the significance of the adhesive interactions between leukemic cells and macrophages? It has been shown that increased CD47 expression by leukemic cells inhibits macrophage activity and is associated with poor prognosis in AML. We speculate here that leukemic cells likely express high levels of CD47 and, in addition, that macrophages may also deliver survival signals to leukemic cells, because no features of cell death are seen in surrounding blasts despite this very close contact.
For additional images, visit the ASH IMAGE BANK, a reference and teaching tool that is continually updated with new atlas and case study images. For more information visit http://imagebank.hematology.org.
