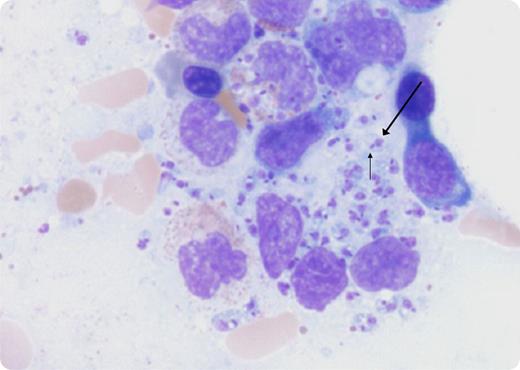
A 39-year-old Honduran man with a history of AIDS (CD4 = 68/mm3) and suspected visceral leishmaniasis (VL) was referred to the hematology clinic for pancytopenia. The patient was diagnosed with cutaneous leishmaniasis on skin biopsy 1.5 years prior, which was determined to be Leishmania donovani chagasi. The patient received an initial liposomal amphotericin B regimen, followed by maintenance monthly dosing, which was ongoing at the time of our visit. On presentation to our clinic, the patient reported fatigue and was found to have splenomegaly on examination. Laboratory work showed a white blood cell count of 1.8 × 109/L (absolute neutrophil count = 0.8 × 109/L), hemoglobin of 6.5 g/dL, and platelet count of 56 × 109/L, all of which had deteriorated despite therapy. A bone marrow aspiration revealed numerous extracellular and intracellular (histiocytes and macrophages) parasites consistent with Leishmania at the amastigote stage of development. To accurately diagnose Leishmania, a nucleus (long arrow) and a kinetoplast (short arrow) must be visualized within each amastigote. The bone marrow aspirate was useful because it confirmed that the Leishmaniasis was visceral, and it provided an explanation for the patient’s pancytopenia. Leishmania amastigotes can also be identified on peripheral smear in patients with severe immunosuppression.
VL/HIV coinfection is a growing worldwide concern due to frequent progression of VL despite what would normally be adequate treatment of both VL and HIV.
A 39-year-old Honduran man with a history of AIDS (CD4 = 68/mm3) and suspected visceral leishmaniasis (VL) was referred to the hematology clinic for pancytopenia. The patient was diagnosed with cutaneous leishmaniasis on skin biopsy 1.5 years prior, which was determined to be Leishmania donovani chagasi. The patient received an initial liposomal amphotericin B regimen, followed by maintenance monthly dosing, which was ongoing at the time of our visit. On presentation to our clinic, the patient reported fatigue and was found to have splenomegaly on examination. Laboratory work showed a white blood cell count of 1.8 × 109/L (absolute neutrophil count = 0.8 × 109/L), hemoglobin of 6.5 g/dL, and platelet count of 56 × 109/L, all of which had deteriorated despite therapy. A bone marrow aspiration revealed numerous extracellular and intracellular (histiocytes and macrophages) parasites consistent with Leishmania at the amastigote stage of development. To accurately diagnose Leishmania, a nucleus (long arrow) and a kinetoplast (short arrow) must be visualized within each amastigote. The bone marrow aspirate was useful because it confirmed that the Leishmaniasis was visceral, and it provided an explanation for the patient’s pancytopenia. Leishmania amastigotes can also be identified on peripheral smear in patients with severe immunosuppression.
VL/HIV coinfection is a growing worldwide concern due to frequent progression of VL despite what would normally be adequate treatment of both VL and HIV.
For additional images, visit the ASH IMAGE BANK, a reference and teaching tool that is continually updated with new atlas and case study images. For more information visit http://imagebank.hematology.org.
