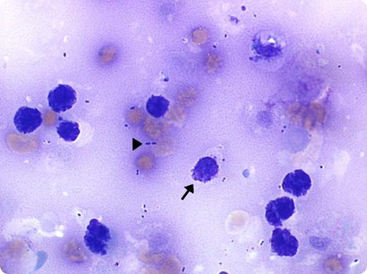
A 71-year-old man with a medical history of gastric adenocarcinoma treated by surgery 2 years ago was hospitalized in the intensive care unit for septic shock due to Streptococcus gallolyticus. Before septic shock, he presented intense and unexplained back and pelvis pain. Blood cell count findings were hemoglobin 8.9 g/dL, platelets 36 × 109/L, and white blood cells 9.87 × 109/L with erythromyelemia. Other biological results showed elevated lactate dehydrogenase and alkaline phosphatase. Sternal and iliac bone marrow aspiration revealed dark smears after May-Grünwald Giemsa (MGG) coloration. Microscopic evaluation showed disintegrated cells, pycnotic nuclei (arrow), and bacteria (arrowhead) surrounded by a background of amorphous extracellular eosinophilic material. Bone marrow culture found S gallolyticus. Pleural effusion analysis revealed metastatic cells of gastric origin. The diagnosis of bone marrow necrosis (associated with sepsis and possible medullary metastasis of gastric adenocarcinoma) and secondary bone marrow infection due to septicemia was retained. No specific treatment was undertaken excluding antibiotherapy. The patient died 48 hours later.
Bone marrow necrosis is a rare disorder mainly associated with acute leukemia and solid cancer (most often gastric adenocarcinoma). Unexplained physiopathology and poor prognosis is the rule. Observation of bacteria on bone marrow smears after MGG coloration is exceptional.
A 71-year-old man with a medical history of gastric adenocarcinoma treated by surgery 2 years ago was hospitalized in the intensive care unit for septic shock due to Streptococcus gallolyticus. Before septic shock, he presented intense and unexplained back and pelvis pain. Blood cell count findings were hemoglobin 8.9 g/dL, platelets 36 × 109/L, and white blood cells 9.87 × 109/L with erythromyelemia. Other biological results showed elevated lactate dehydrogenase and alkaline phosphatase. Sternal and iliac bone marrow aspiration revealed dark smears after May-Grünwald Giemsa (MGG) coloration. Microscopic evaluation showed disintegrated cells, pycnotic nuclei (arrow), and bacteria (arrowhead) surrounded by a background of amorphous extracellular eosinophilic material. Bone marrow culture found S gallolyticus. Pleural effusion analysis revealed metastatic cells of gastric origin. The diagnosis of bone marrow necrosis (associated with sepsis and possible medullary metastasis of gastric adenocarcinoma) and secondary bone marrow infection due to septicemia was retained. No specific treatment was undertaken excluding antibiotherapy. The patient died 48 hours later.
Bone marrow necrosis is a rare disorder mainly associated with acute leukemia and solid cancer (most often gastric adenocarcinoma). Unexplained physiopathology and poor prognosis is the rule. Observation of bacteria on bone marrow smears after MGG coloration is exceptional.
For additional images, visit the ASH IMAGE BANK, a reference and teaching tool that is continually updated with new atlas and case study images. For more information visit http://imagebank.hematology.org.
