Abstract
The deficiency of hepcidin, the hormone that controls iron absorption and its tissue distribution, is the cause of iron overload in nearly all forms of hereditary hemochromatosis and in untransfused iron-loading anemias. In a recent study, we reported the development of minihepcidins, small drug-like hepcidin agonists. Here we explore the feasibility of using minihepcidins for the prevention and treatment of iron overload in hepcidin-deficient mice. An optimized minihepcidin (PR65) was developed that had superior potency and duration of action compared with natural hepcidin or other minihepcidins, and favorable cost of synthesis. PR65 was administered by subcutaneous injection daily for 2 weeks to iron-depleted or iron-loaded hepcidin knockout mice. PR65 administration to iron-depleted mice prevented liver iron loading, decreased heart iron levels, and caused the expected iron retention in the spleen and duodenum. At high doses, PR65 treatment also caused anemia because of profound iron restriction. PR65 administration to hepcidin knockout mice with pre-existing iron overload had a more moderate effect and caused partial redistribution of iron from the liver to the spleen. Our study demonstrates that minihepcidins could be beneficial in iron overload disorders either used alone for prevention or possibly as adjunctive therapy with phlebotomy or chelation.
Introduction
Produced by the liver, hepcidin is a 25 amino acid peptide hormone that circulates in plasma and homeostatically controls body iron balance.1 Iron levels in turn regulate hepcidin production: in healthy individuals, hepcidin production increases when plasma or tissue iron concentrations rise and decreases after iron depletion. The hormone binds to its receptor ferroportin, the sole exporter of cellular iron into plasma. Ferroportin is prominently expressed in enterocytes, iron-recycling macrophages and hepatocytes. Hepcidin binding initiates the endocytosis and proteolysis of ferroportin and thereby decreases iron flow into plasma.2
In hereditary hemochromatoses (HH) types I-III, mutations in genes encoding hepcidin regulators, or hepcidin itself lead to diminished production of hepcidin thus decreasing the inhibitory effect of hepcidin on duodenal iron absorption and causing clinical iron overload.3 Hepcidin deficiency and hyperabsorption of dietary iron are major factors not only in HH but also in iron overload associated with hereditary anemias caused by ineffective erythropoiesis.4 Hepcidin replacement therapy with pharmacologically optimized agonists would provide a rational treatment for these disorders. In HH or β-thalassemia intermedia, early diagnosis may allow preventive treatment with hepcidin agonists to normalize iron regulation, and reduce the potential for iron toxicity and the need for phlebotomy or chelation. Aside from inhibiting dietary iron absorption, hepcidin or hepcidin agonists may also have a protective effect on the liver, heart, and other organs by causing redistribution of iron into macrophages of the liver and spleen,5 which are more resistant to the toxic effects of iron than parenchymal cells. Moreover, in a mouse model of β-thalassemia intermedia, mild overexpression of hepcidin not only prevented iron overload but increased hemoglobin and improved erythrocyte morphology,6 probably because moderate iron restriction decreased the accumulation of heme and α-globin chains in erythrocyte precursors resulting in their improved survival and maturation into functional erythrocytes. Hepcidin agonists could thus have broadly beneficial effects in β-thalassemias.
In our previous studies, targeted amino acid substitution and computer modeling identified specific residues in hepcidin and ferroportin that were critical for the ligand-receptor interaction.7 We showed that the peptide containing 9 N-terminal amino acids of human hepcidin (DTHFPICIF) was sufficient to degrade ferroportin in ferroportin-overexpressing cell lines but its molar activity in this assay was approximately 10 times lower, and it was inactive when given to mice. We then altered this hepcidin fragment to improve its pharmacologic characteristics and developed several potent “minihepcidins,” which displayed bioactivity in mice.
In this study, we used an optimized minihepcidin to examine the benefits and potential side effects of hepcidin replacement therapy in a mouse model of severe hereditary hemochromatosis caused by hepcidin deficiency.
Methods
Peptide synthesis
Minihepcidin peptide was synthesized using standard solid-phase Fmoc chemistry and was purified by reverse-phase HPLC. From N to C terminus the primary sequence of PR65 was (all L-amino acids): iminodiacetic acid, threonine, histidine, diphenylalanine, β-homo proline, arginine, cysteine, arginine, and β-homo phenylalanine. The C-terminal carboxyamide was derivatized with polyethylene glycol (PEG) linker and palmitic acid groups (Figure 1A). Human hepcidin was purchased from Peptides International.
Animal studies
All studies were approved by the University of California, Los Angeles (UCLA) Office of Animal Research Oversight. Six-week-old male wild-type C57BL/6 mice were used to compare the activities of native hepcidin and PR65, and to test the effect of PR65 after intraperitoneal versus subcutaneous route of administration. Hepcidin and PR65 were administered in 100 μL of SL220, a proprietary PEG-phospholipid based solubilizer (NOF Corp),7 and iron parameters measured after 4 hours. This solvent does not significantly change serum iron concentrations in mice (< 5μM change; data not shown).
The therapeutic effects of minihepcidins were studied in hepcidin-1 knockout mice (Hamp−/−), originally provided to our laboratory by Dr Sophie Vaulont8 and backcrossed by us onto the C57BL/6 background (N4, 99% gene marker identity) using marker-assisted accelerated backcrossing (Charles River Laboratories). PR65 was administered subcutaneously in 100 μL of SL220 solubilizer. Short-term studies were carried out up to 48 hours to establish the effectiveness of a single injection. Long-term studies (“prevention” and “treatment”) were carried out for 2 weeks using daily injections. Iron and hematologic parameters were measured 24 hours after the last injection.
To test the ability of PR65 to prevent iron loading (“prevention” studies), we iron-depleted male Hamp1−/− mice by placing them on a low-iron diet (4 ppm iron) for 2 months starting at the age of 5 to 6 weeks. The regimen was developed to match the hepatic iron content of wild-type C57BL/6 mice, approximately 2 to 3 μmol/g wet liver.9 A group of mice was analyzed immediately after iron depletion (baseline group), and the remaining animals were switched to an iron-loading diet (standard chow, ∼ 300 ppm Fe) and received daily subcutaneous injection of solvent or PR65 (20, 50, or 100 nmol) for 2 weeks. All mouse diets were obtained from Harlan-Teklad.
To test the effect of PR65 on iron-loaded Hamp1−/− mice (“treatment” studies), male mice were kept on the standard diet for their entire lifespan. Beginning at 12 to 14 weeks of age, 50 nmol of PR65 or solvent was injected daily by the subcutaneous route for 2 weeks.
Measurement of iron and hematologic parameters
Serum iron and nonheme iron concentrations were determined as previously described,9 using acid treatment followed by a colorimetric assay for iron quantitation (Genzyme). Deparaffinized sections were stained with the Perls Prussian blue stain for nonheme iron, enhanced with the SG peroxidase substrate kit (Vector Labs) and counterstained with nuclear fast red. Microscopic images were acquired on a Nikon Eclipse E600 microscope using Nikon Plan Apo 10×/0.45 or 40×/0.95 objectives with a Spot RT3 2MP Slider camera and Spot 5.0 software. Assembly of images and white balance adjustments were performed with Adobe Photoshop CS5. Complete blood counts were obtained with a HemaVet blood analyzer.
Statistical analysis
The statistical significance of differences between group means was evaluated using Student t test and the Sigmaplot 11.0 package (Systat Software).
Results
Development of a PR65 treatment regimen
We selected minihepcidin PR65 (Figure 1A) for the prevention and treatment studies in hepcidin-null mice based on pilot studies in wild-type C57BL/6 mice. Here, PR65 was among the most potent minihepcidins and its molar bioactivity after intraperitoneal injection was comparable with that of native hepcidin (Figure 1B). Moreover, PR65 retained full activity with subcutaneous compared with intraperitoneal administration (Figure 1C) and its cost of synthesis was favorable compared with its similarly active congeners.7 Based on our qualitative assessment of more than 80 minihepcidins we synthesized to date, the high bioactivity of PR65 compared with the prototypical peptide containing the 9 N-terminal amino acids of human hepcidin (DTHFPICIF)7 is probably because of increased aromaticity (important for hepcidin-ferroportin binding7 ), solubility, resistance to proteolysis, as well as lower renal clearance because of increased plasma protein binding mediated by the palmitoyl group.
Minihepcidin PR65 and its activity in wild-type mice. (A) Structural formula of PR65. Ida indicates iminodiacetic acid; Dpa, diphenylalanine; bhPro, β-homo proline; and bhPhe, β-homo phenylalanine. (B) Serum iron in wild-type C57BL/6 mice 4 hours after intraperitoneal injection of solvent, native hepcidin or PR65 (n = 4-8 in each group; **P = .01, *P = .005). (C) Serum iron in wild-type C57BL/6 mice 4 hours after intraperitoneal or subcutaneous injection of 20 nmol of PR65 (n = 4 in each group; *P = .007, **P = .04). In panels B and C, the bars represent mean values and error bars standard deviations.
Minihepcidin PR65 and its activity in wild-type mice. (A) Structural formula of PR65. Ida indicates iminodiacetic acid; Dpa, diphenylalanine; bhPro, β-homo proline; and bhPhe, β-homo phenylalanine. (B) Serum iron in wild-type C57BL/6 mice 4 hours after intraperitoneal injection of solvent, native hepcidin or PR65 (n = 4-8 in each group; **P = .01, *P = .005). (C) Serum iron in wild-type C57BL/6 mice 4 hours after intraperitoneal or subcutaneous injection of 20 nmol of PR65 (n = 4 in each group; *P = .007, **P = .04). In panels B and C, the bars represent mean values and error bars standard deviations.
To establish optimal dosing parameters for a long-term minihepcidin treatment regimen in hepcidin knockout mice, we performed dose-response (Figure 2A) and time course (Figure 2B) experiments in iron-loaded Hamp1−/− mice. After 24 hours, subcutaneous injection of 20 and 50 nmol of PR65 caused 15% and 10% (P = .005, P = .004) decreases in serum iron, whereas 100- and 200-nmol doses resulted in an 85% and 95% reduction (P < .001 for both). Because 100 nmol of PR65 produced a near maximal hypoferremia we selected this dose for a time course experiment to determine the timing and duration of its peak effect. The maximal drop (88%) in serum Fe occurred 12 hours after subcutaneous injection (P < .001), and serum Fe remained severely suppressed (82%) at 24 hours but returned to solvent control levels 48 hours after injection.
The hypoferremic effect of PR65 in iron-loaded hepcidin knockout mice. (A) Twenty-four hours after a subcutaneous injection, PR65 induced a dose-dependent decrease in serum iron. Mean values and standard deviations are shown, n = 3-5 mice per point (#P = .005 and P = .004, *P < .001). (B) The time course of hypoferremia induced by a subcutaneous injection of 100 nmol of PR65. Mean and standard deviations are shown, n = 4-6 mice per point (#P = .008, *P < .001).
The hypoferremic effect of PR65 in iron-loaded hepcidin knockout mice. (A) Twenty-four hours after a subcutaneous injection, PR65 induced a dose-dependent decrease in serum iron. Mean values and standard deviations are shown, n = 3-5 mice per point (#P = .005 and P = .004, *P < .001). (B) The time course of hypoferremia induced by a subcutaneous injection of 100 nmol of PR65. Mean and standard deviations are shown, n = 4-6 mice per point (#P = .008, *P < .001).
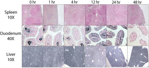
We also assessed the activity of PR65 (100 nmol) for 48 hours through its effect on tissue iron retention. Interestingly, we did not observe spleen iron accumulation during 48 hours after PR65 injection (Figure 3), probably because the spleen in hepcidin knockout mice is completely depleted of iron and it takes more than 2 days to accumulate enough iron so it is conclusively detectable by enhanced Perls stain. Liver iron content, which was already high in these mice, did not visibly change through the course of the experiment. From 1 to 4 hours after injection, duodenal sections showed distinct iron staining around villous capillary networks indicating continued high ferroportin activity and uncurbed iron transfer to plasma. From 12 to 24 hours after PR65 injection, iron accumulated within enterocytes consistent with the expected minihepcidin-induced loss of ferroportin and diminished iron transfer to plasma. As the minihepcidin effect wore off 48 hours after injection, iron was no longer retained in enterocytes.
Changes in iron distribution in PR65-treated hepcidin knockout mice. Tissue iron was visualized by enhanced Perls stain at 0 to 48 hours after subcutaneous injection of PR65 (100 nmol). Representative images are shown. Horizontal bars indicate 400 μm (10×) and 100 μm (40×). Top row: Spleen iron was scant and its distribution did not change appreciably during the 48 hours. Middle row: Iron in the villus stroma was evident in solvent-treated and 1 to 4 hours PR65–treated mice, indicating active ferroportin-mediated efflux of iron from basolateral membranes of enterocytes. From 12 to 24 hours, iron was retained in enterocytes consistent with (mini)hepcidin-induced ferroportin degradation. Forty-eight hours after injection iron was no longer retained by enterocytes. Bottom row: As expected, the livers were iron-loaded at baseline and no changes in the pattern of iron staining were seen within 48 hours of PR65 treatment.
Changes in iron distribution in PR65-treated hepcidin knockout mice. Tissue iron was visualized by enhanced Perls stain at 0 to 48 hours after subcutaneous injection of PR65 (100 nmol). Representative images are shown. Horizontal bars indicate 400 μm (10×) and 100 μm (40×). Top row: Spleen iron was scant and its distribution did not change appreciably during the 48 hours. Middle row: Iron in the villus stroma was evident in solvent-treated and 1 to 4 hours PR65–treated mice, indicating active ferroportin-mediated efflux of iron from basolateral membranes of enterocytes. From 12 to 24 hours, iron was retained in enterocytes consistent with (mini)hepcidin-induced ferroportin degradation. Forty-eight hours after injection iron was no longer retained by enterocytes. Bottom row: As expected, the livers were iron-loaded at baseline and no changes in the pattern of iron staining were seen within 48 hours of PR65 treatment.
Chronic administration of minihepcidin prevented iron loading in hepcidin-deficient mice
We next examined the ability of PR65 to prevent iron loading in hepcidin knockout mice. We placed hepcidin KO mice on an iron-deficient diet for 8 weeks to lower their iron stores to a level comparable with that of WT mice. After iron depletion, a group of mice was analyzed to establish the baseline iron and hematologic parameters and the rest of the mice were placed on an iron-loading diet (300 ppm Fe) for 2 weeks while simultaneously receiving daily subcutaneous injections of solvent or PR65 (20, 50, or 100 nmol). We hypothesized that in comparison to the solvent treatment, PR65 would cause iron retention in the spleen, decrease serum iron, and prevent liver iron loading. Because cardiac iron overload is a marker for poor prognosis in iron-loaded patients, we also measured heart iron. Hemoglobin concentrations were monitored to detect potential iron-restrictive effects of hepcidin excess on erythropoiesis.
Hepcidin agonist activity of minihepcidins was confirmed in all treated groups by the increased retention of iron in macrophages manifested as increases in spleen iron content. Compared with the almost undetectable nonheme iron content in solvent-injected control spleens, all 3 minihepcidin doses caused 15- to 30-fold increases in spleen iron content (P = .01 for all) (Figure 4A). Serum iron did not change in mice that received 20 nmol of PR65 daily (P = .26), but decreased by 69% and 83% in mice that received 50 and 100 nmol per day (P = .01 for both; Figure 4B). The decrease in circulating iron concentrations was also reflected as dose-dependent 3 and 5 g/dL reductions of hemoglobin concentrations in the 50 and 100 nmol groups, respectively (P < .001 for both), but hemoglobin levels did not change significantly at 20 nmol (P = .13; Figure 4C). Heart iron concentration dropped 33%, 60%, and 47% in mice treated with 20, 50, and 100 nmol of PR65, respectively (P = .08, .007, .05; Figure 4D). In addition, mice treated with the 3 PR65 doses had 76%, 53%, and 68% less liver iron than solvent-treated controls (P = .001, .06, .01) and no statistically significant increases in liver iron compared with mice from the iron-depleted baseline group. Except for serum iron and hemoglobin, the lack of a consistent dose-response relationship may indicate that the maximum effect was reached at a relatively low dose so that the differences reflect statistical fluctuations (liver and heart iron) or that 2 or more effects of PR65 interact in a complex manner (splenic iron may reflect the combined effects of decreased iron export from the spleen, decreased iron absorption in the duodenum, and decreased number of erythrocytes all of which are expected effects of PR65).
PR65 prevented iron loading in iron-depleted hepcidin knockout mice. All mice were placed on an iron-deficient diet (4 ppm iron) from ages 5 to 6 weeks until 12 weeks. The “baseline” group (n = 7) was examined at 12 weeks of age (white bars). The rest of the mice were fed an iron-loading diet (300 ppm) for 2 more weeks while receiving daily subcutaneous injections of solvent (gray bars, n = 6) or PR65 at 20, 50, or 100 nmol per day (black bars, n = 4 per dose). The mice were analyzed 24 hours after the last injection. Compared with solvent, PR65 injections resulted in: (A) iron retention in the spleen, (B) a dose-dependent decrease in serum iron, (C) a corresponding dose-dependent decrease in Hb levels, (D) a decrease in heart iron at higher doses, and (E) decreased liver iron. Liver iron content in PR65-injected mice did not significantly differ from that in the baseline group of mice, indicating that little to no new iron was absorbed or deposited in the liver during the 2-week treatment. Graphs show means and standard deviations. Student t test was used to compare the mean of each condition to that of solvent treatment (P value over bars). In panel E, mean of each condition was also compared with the baseline (P values at lines over bars).
PR65 prevented iron loading in iron-depleted hepcidin knockout mice. All mice were placed on an iron-deficient diet (4 ppm iron) from ages 5 to 6 weeks until 12 weeks. The “baseline” group (n = 7) was examined at 12 weeks of age (white bars). The rest of the mice were fed an iron-loading diet (300 ppm) for 2 more weeks while receiving daily subcutaneous injections of solvent (gray bars, n = 6) or PR65 at 20, 50, or 100 nmol per day (black bars, n = 4 per dose). The mice were analyzed 24 hours after the last injection. Compared with solvent, PR65 injections resulted in: (A) iron retention in the spleen, (B) a dose-dependent decrease in serum iron, (C) a corresponding dose-dependent decrease in Hb levels, (D) a decrease in heart iron at higher doses, and (E) decreased liver iron. Liver iron content in PR65-injected mice did not significantly differ from that in the baseline group of mice, indicating that little to no new iron was absorbed or deposited in the liver during the 2-week treatment. Graphs show means and standard deviations. Student t test was used to compare the mean of each condition to that of solvent treatment (P value over bars). In panel E, mean of each condition was also compared with the baseline (P values at lines over bars).
Perls stains of organ sections from minihepcidin-treated mice compared with iron-depleted baseline mice indicated that iron stores in the liver did not increase from baseline in the 20 and 50-nmol groups, and were even lower than baseline at the 100-nmol dose (Figure 5). In contrast, liver sections of the solvent-injected mice showed very high iron levels. A similar pattern of differences between the solvent and PR65 groups was observed in the heart, with a complete lack of iron staining in the heart of mice that received 100 nmol of peptide. Significant accumulation of iron in the red pulp of the spleen was observed in all minihepcidin groups, but not in mice that received solvent, or in baseline iron-depleted mice. Duodenal sections at baseline showed no iron staining, whereas PR65-treated mice showed iron retention in the duodenal enterocytes, again confirming that PR65 blocked iron efflux from enterocytes.
Cellular distribution of iron after 2 weeks of PR65 injections for the prevention of iron overload. Representative images are shown. Horizontal bars indicate 400 μm (10 ×) and 100 μm (40 ×). Iron accumulation was seen in the splenic red pulp of PR65–treated mice but not solvent-treated mice. Similarly, iron accumulation in duodenal enterocytes was seen only in PR65-treated mice. Compared with heart iron staining of solvent-injected mice, there was less iron accumulation in the heart of animals injected with 50 and 100 nmol of PR65, consistent with the quantitative method in Figure 4. Liver iron loading in mice treated with 20 and 50 nmol of PR65 was similar to that of the baseline group and much less than the iron loading in the solvent-treated group. At the highest PR65 dose, liver iron was lower than at baseline indicating that mice were able to mobilize liver iron despite high minihepcidin activity.
Cellular distribution of iron after 2 weeks of PR65 injections for the prevention of iron overload. Representative images are shown. Horizontal bars indicate 400 μm (10 ×) and 100 μm (40 ×). Iron accumulation was seen in the splenic red pulp of PR65–treated mice but not solvent-treated mice. Similarly, iron accumulation in duodenal enterocytes was seen only in PR65-treated mice. Compared with heart iron staining of solvent-injected mice, there was less iron accumulation in the heart of animals injected with 50 and 100 nmol of PR65, consistent with the quantitative method in Figure 4. Liver iron loading in mice treated with 20 and 50 nmol of PR65 was similar to that of the baseline group and much less than the iron loading in the solvent-treated group. At the highest PR65 dose, liver iron was lower than at baseline indicating that mice were able to mobilize liver iron despite high minihepcidin activity.
Minihepcidin effect in iron-overloaded hepcidin knockout mice
Overexpression of transgenic hepcidin in iron-loaded HFE-deficient mice was previously reported to be beneficial by causing redistribution of excess iron to hepatic macrophages.5 To assess the potential of minihepcidins as a standalone treatment for iron overload, we injected 12-week-old iron-overloaded hepcidin knockout mice with 50 nmol of PR65 daily for 14 days. This dose was chosen as the maximal tolerated dose because mice that received 100 nmol in the previous experiment became moderately anemic. Peptide activity was confirmed by the 15-fold increase in spleen iron content (P < .001; Figure 6A). In contrast to mice that were iron-depleted before PR65 administration, in mice with established iron overload serum iron levels were not decreased 24 hours after the last dose compared with solvent-treated mice (P = .682; Figure 6B). However, the 2 g/dL decrease in hemoglobin (P = .012; Figure 6C) suggests that serum iron could have been transiently decreased during the treatment. The less than 24-hour duration of the hypoferremic effect of each 50-nmol dose may have been because of the severe iron overload of the hepcidin knockout mice at this age. Accumulated hepatocyte iron could stimulate ferroportin synthesis and iron efflux from hepatocytes into plasma by relieving the inhibition of ferroportin translation by iron-regulatory proteins interacting with 5′ iron-regulatory element in the ferroportin mRNA, and possibly by other mechanisms. Compared with the solvent-treated group, PR65-treated iron-loaded mice showed a trend toward decreased heart iron concentrations (24% decrease, P = .085; Figure 6D), and their liver iron levels decreased by ∼ 20% (P = .009) or ∼ 200 μg/g (Figure 6E), an amount equivalent to the total hepatic iron content in wild-type mice.
Two-week PR65 treatment of iron-loaded hepcidin knockout mice caused modest redistribution of iron. Hepcidin knockout mice were kept on a 300 ppm iron diet for their entire lifespan. Starting at 12 weeks of age, one group of mice was injected subcutaneously with solvent (n = 4) and the other with 50 nmol of PR65 (n = 4) daily for 2 weeks. Iron and hematologic parameters were measured 24 hours after the last injection. In PR65-treated mice compared with solvent-treated mice: (A) spleen iron increased more than 15-fold confirming PR65 activity; (B) serum iron concentrations were similar 24 hours after the last injection; (C) hemoglobin decreased by 2 g/dL indicating iron restriction to erythropoiesis; (D) heart iron tended to decrease, though the difference was not statistically significant at the number of mice tested; and (E) liver iron decreased by approximately 20%.
Two-week PR65 treatment of iron-loaded hepcidin knockout mice caused modest redistribution of iron. Hepcidin knockout mice were kept on a 300 ppm iron diet for their entire lifespan. Starting at 12 weeks of age, one group of mice was injected subcutaneously with solvent (n = 4) and the other with 50 nmol of PR65 (n = 4) daily for 2 weeks. Iron and hematologic parameters were measured 24 hours after the last injection. In PR65-treated mice compared with solvent-treated mice: (A) spleen iron increased more than 15-fold confirming PR65 activity; (B) serum iron concentrations were similar 24 hours after the last injection; (C) hemoglobin decreased by 2 g/dL indicating iron restriction to erythropoiesis; (D) heart iron tended to decrease, though the difference was not statistically significant at the number of mice tested; and (E) liver iron decreased by approximately 20%.
Enhanced Perls staining demonstrated iron retention in the spleen and duodenum in PR65-treated mice and a change in the iron distribution pattern in the liver (Figure 7). No consistent differences were noticeable in the heart and pancreas sections of the solvent and PR65-treated mice. In the aggregate, staining and quantitative analysis indicate that the 2-week minihepcidin treatment alone could not only inhibit dietary iron absorption but also redistribute a modest amount of iron from the liver to the spleen.
Cellular distribution of iron after 2 weeks of PR65 injections for the treatment of established iron overload. Tissue sections correspond to the animals analyzed in Figure 6, with representative images shown. Horizontal bars indicate 400 μm (10 ×) and 100 μm (40 ×). Enhanced Perls stain confirmed that splenic macrophages and duodenal enterocytes retained iron in PR65-treated but not in solvent-treated mice. Compared with solvent-treated controls, less intense iron staining was observed in the liver of mice treated with PR65. No consistent differences between solvent and PR65-treated mice were seen in sections of the heart (not shown).
Cellular distribution of iron after 2 weeks of PR65 injections for the treatment of established iron overload. Tissue sections correspond to the animals analyzed in Figure 6, with representative images shown. Horizontal bars indicate 400 μm (10 ×) and 100 μm (40 ×). Enhanced Perls stain confirmed that splenic macrophages and duodenal enterocytes retained iron in PR65-treated but not in solvent-treated mice. Compared with solvent-treated controls, less intense iron staining was observed in the liver of mice treated with PR65. No consistent differences between solvent and PR65-treated mice were seen in sections of the heart (not shown).
Discussion
The goal of this study was to assess the feasibility of using minihepcidins for the treatment of iron overload associated with hepcidin deficiency. Hepcidin deficiency is a common factor underlying the iron-loading syndromes associated with HH, β-thalassemia and other iron loading anemias.10 Although excess iron can be efficiently removed by phlebotomy or chelation, treatment efficacy is compromised by suboptimal compliance, significant toxicity in the case of chelation, and the unwanted suppressive effects of these treatments on hepcidin, which causes a secondary increase in intestinal absorption. In view of the limitations of current treatments, hepcidin replacement or hepcidin agonist therapy could become a useful modality for inhibiting iron absorption and promoting redistribution of iron from the liver parenchyma and other vulnerable tissues to macrophages where it can be safely stored. Indeed, our measurements (Figure 4) indicate that PR65 used in the preventive mode acted predominantly by reducing iron absorption but also redistributed iron into splenic macrophages (see supplemental Methods for calculations; available on the Blood Web site; see the Supplemental Materials link at the top of the online article). The resulting decrease of plasma iron could also reduce the levels of toxic nontransferrin bound iron (NTBI) and promote the mobilization of iron from the heart and endocrine organs where iron excess is not tolerated.
Dose-dependent iron restrictive anemia (Figures 4 and 6) is an expected side effect of minihepcidin treatment. In less severe forms of hemochromatosis than represented by this murine model, decreased endogenous production may protect against iron-restrictive anemia by buffering any mild excess of synthetic minihepcidin. Nevertheless, the potential for iron-restrictive anemia from excess minihepcidin will need to be considered in future therapeutic applications. Individual titration of the minihepcidin dose and intermittent treatment could ameliorate this side effect.
Unlike phlebotomy or chelation, minihepcidins would not be expected to appreciably increase iron losses from the body. In a relatively mild model of iron overload in HFE null mice,5 transgenic hepcidin expression was reported to cause significant redistribution of iron into hepatic macrophages, a location where iron accumulation is relatively nontoxic. In our more overloaded Hamp1−/− mice, red pulp macrophages in minihepcidin-treated mice retained iron but the small resulting decrease in liver and heart iron stores suggests that minihepcidins alone confer a modest therapeutic benefit once the liver iron burden is high. The shorter-than-24 hour effect of a minihepcidin dose on transferrin saturation in this severe iron overload model may imply that NTBI continues to deliver iron to parenchymal organs counteracting the effects of iron redistribution to macrophages and decreased iron absorption. It is unclear how iron is mobilized from the livers and hearts of mice treated with large amounts of minihepcidin. Although this effect may be because of residual ferroportin expression, the existence of an alternative iron-export mechanism merits further study.
We previously reported that in comparison to solvent, intraperitoneal administration (8 mg/kg/d) of a retro-inverso 9 amino acid hepcidin analog in hepcidin knockout mice resulted in approximately 50% less liver iron accumulation, without causing iron-restricted anemia.7 Because of the relatively large dose of hepcidin required to achieve therapeutic efficacy, we undertook the development of more potent and less costly hepcidin mimetics. The exclusive use of L-amino acids in PR65 reduced peptide production costs significantly and the strategic incorporation of unnatural and highly aromatic residues reduced the minimal effective dose in mice to 20 nmol/d or 1.3 mg/kg/d.
According to US Food and Drug Administration dosing adjustment guidelines, the difference in metabolic rates between the mouse and human requires a conversion based on the Km factor which normalizes doses to body surface area.11 A human equivalent dose (HED) can be estimated by HED = animal dose (mg/kg) × (animal Km/human Km), where the Km for mouse and an adult human are 3 and 37, respectively. Thus, an expected subcutaneous dose of minihepcidin in a human could be in the range of 100 μg/kg/d, an amount of peptide approximately 3 times the median basal dose of subcutaneous insulin 0.75 U/kg/d or 33 μg/kg/d in type 2 diabetics.12 Important differences between murine and human iron metabolism that could alter the effect of PR65 in humans include the somewhat longer lifetime of human erythrocytes (120 days vs 40 days) and the much lower fractional iron losses in humans (daily iron losses compared with total body iron) as estimated from the slower depletion of iron stores on iron-deficient diets (in males: human 300-600 days vs mouse 15-20 days). The net effect of these differences is the much lower contribution of intestinal iron absorption to the daily iron flux in humans (4%-8% compared with more than 50% in mice).9 If hepcidin and its analogs exert stronger effects on macrophages than on enterocytes13 this could further decrease the relative doses of minihepcidins required for a similar hypoferremic effect in humans.
Our data are the first to demonstrate that minihepcidins could have a beneficial effect in the prevention of iron overload in patients at risk because of genetic defects or those who have already undergone iron depletion, but no longer tolerate chelation or venesection therapy. The potential benefit of minihepcidins in β-thalassemia major, where transfusions are major contributors to iron overload, remains to be explored. In these patients hepcidin levels are higher than in normal controls but are lower than appropriate for the degree of iron overload, and hepcidin concentrations decrease further as patients become more anemic before each transfusion.14,15 It is possible that hyperabsorption of dietary iron contributes significantly to iron overload at least in patients who do not receive frequent transfusions. Moreover, minihepcidins could partially reverse ineffective erythropoiesis and improve anemia, as suggested by studies of the effects of transgenic hepcidin in a mouse model of β-thalassemia.6
Finally, the small size of minihepcidins raises the possibility that appropriately formulated and optimized peptides can be administered orally7 or by other noninvasive means used for insulin delivery,16 further increasing their potential convenience and acceptability.
The online version of this article contains a data supplement.
The publication costs of this article were defrayed in part by page charge payment. Therefore, and solely to indicate this fact, this article is hereby marked “advertisement” in accordance with 18 USC section 1734.
Acknowledgments
The authors acknowledge the essential technical contribution of Victoria Gabayan and the UCLA Biotherapeutic Peptide Synthesis Facility.
This work was funded by National Institutes of Health grants R01 DK090554 (to E.N and T.G.) and R01 DK 065029 (to T.G.).
National Institutes of Health
Authorship
Contribution: P.R. designed and synthesized the minihepcidins; E.R. designed and carried out most of the experiments and cowrote the paper; J.B.G., L.K., and G.C.P. designed and carried out experiments and edited the paper; and E.N. and T.G. conceived the study, monitored and evaluated the data, and prepared the paper.
Conflict-of-interest disclosure: E.N., P.R., and T.G are stockholders and consultants for Merganser Biotech, a company engaged in the development of therapeutics for iron overload disorders, and a licensee of the peptides described in this paper. The remaining authors declare no competing financial interests.
Correspondence: Tomas Ganz, Department of Medicine, David Geffen School of Medicine at the University of California, Los Angeles, 10833 Le Conte Ave, CHS 37-055, Los Angeles, CA 90095-1690; e-mail: tganz@mednet.ucla.edu.






