To the editor:
Primary symptomatic central nervous system (CNS) involvement as the initial manifestation of chronic lymphocytic leukemia (CLL) is exceedingly rare.1 Treatment options in patients resistant to high-dose cytarabine or methotrexate chemotherapy are limited. Dasatinib is a tyrosine kinase inhibitor of Bcr-Abl and Scr families that has shown activity in a limited number of cases with CLL in previous literature.2,3 Because of its ability to cross the blood-brain barrier,4 dasatinib could be useful in CLL cases with CNS involvement.
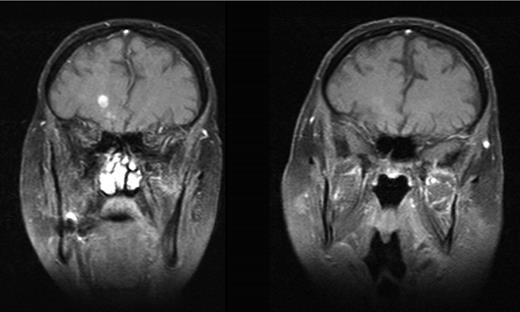
We report the case of a 68-year-old male with primary CNS B-cell CLL who experienced a relapse after 2 lines of chemotherapy and achieved an ongoing, long-lasting complete remission on dasatinib monotherapy as demonstrated by magnetic resonance imaging (MRI; Figure 1). He presented with paraparesis of both legs, urinary and stool incontinence, and central right-sided facial nerve palsy in our clinic after extensive diagnostic workup in a neurology department ruling out other causes like multiple sclerosis. MRI revealed cerebral lesions of the brain stem, the spinal cord, and the meninges. The cerebral spinal fluid (CSF) contained 146 cells/μL, exclusively lymphocytes, with no red-cell contamination. IgG was slightly elevated in the CSF, but there were no oligoclonal bands. CLL was confirmed by flow cytometry of the CSF identifying a monoclonal κ-positive lymphocyte population (16% of all lymphocytes) expressing CD19+, CD5+, CD23+, CD43+, CD20low, CD38+, CD79b−, and CD22low. All other cells were heterogeneous T lymphocytes. Complete differential blood count, serum immunoglobulins, lactic dehydrogenase, and β2-microglobulin were normal. Clinical examination revealed no hepatosplenomegaly or lymphadenopathy. Flow cytometric analysis of the bone marrow and peripheral blood showed a monoclonal B-cell population of 3% and 1%, respectively, with the above-mentioned phenotype.
MRI scans before and during continuous dasatinib therapy. The left picture shows a representative MRI slice before dasatinib treatment. The right slide shows the same area approximately 9 months later. Pictures are representative of a total of 4 lesions with similar development.
MRI scans before and during continuous dasatinib therapy. The left picture shows a representative MRI slice before dasatinib treatment. The right slide shows the same area approximately 9 months later. Pictures are representative of a total of 4 lesions with similar development.
Initial treatment included 5 courses of intravenous methotrexate (4 g/m2/day over days 1-2) and ifosfamide (1.5 g/m2/day over days 3-5), which led to rapid improvement of neurologic symptoms. At relapse, salvage chemotherapy included intravenous cytarabine (3 g/m2 twice per day over days 1-2), mitoxantrone (10 mg/m2/day over days 2-3), and intrathecal methotrexate (15 mg/day on day 1). Although initially successful, the patient later relapsed with an increase in the size and number of the cerebral lesions. Oral dasatinib (70 mg twice per day) was started and led to a complete regression of lesions visible on MRI and neurologic disease. The patient is currently in remission (> 12 months) with no measurable monoclonal lymphocyte population in blood and bone marrow on continuous therapy.
Pitini et al2 and others3 initially reported responses to dasatinib in patients with CLL, although subsequent phase 2 clinical trials in relapsed CLL demonstrated only moderate activity.5 This is the first report of dasatinib treatment in central nervous system B-CLL and might serve as a proof of concept for future cases. In vitro data suggest that del(17p) mutated CLL and those with unmutated immunoglobulin heavy chains (IgVHs) might be especially sensitive to dasatinib.2,5,6 Unfortunately, IgVH mutational analysis was not initially performed. Dasatinib CSF concentration is reported to reach only 5% to 28% of plasma concentrations in humans.4 Still, the effect in this case was clinically meaningful and lasting. Further clinical investigation of dasatinib treatment in B-CLL with CNS involvement is warranted.
Authorship
Contribution: G.R. and A.G. wrote the paper; M.H. and S.H. performed flow cytometry; R.E. performed radiologic experiments; and G.R., R.R., C.A., M.H., and A.G. treated the patient.
Conflict-of-interest disclosure: A.G. has received honoraria from Bristol-Myers Squibb. The remaining authors declare no competing financial interests.
Correspondence: Dr Aristoteles Giagounidis, Katholisches Klinikum, An der Abtei 7-11, 47166 Duisburg, Germany; e-mail: gia@krebs-duisburg.de.

