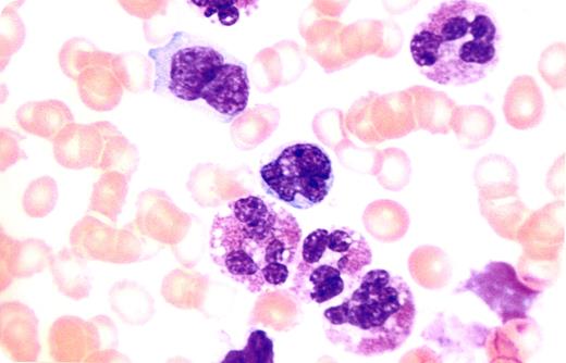
A 52-year-old woman presented to the hematologist with marked leukocytosis. She had a history of rash, weight loss, fevers, and lethargy for several months. There had been no foreign travel, use of drugs, gastrointestinal problems, joint disease, or pulmonary complaints. Physical findings included a macular and erythematous rash, pallor, clear lungs, mild hepatomegaly, moderate enlargement of the spleen, and slight adenopathy. Laboratory findings included a white cell count of 144 × 109/L of which 60% were eosinophils. Other results included a hemoglobin of 102 g/L, platelets of 106 × 109/L, normal renal function, and mild liver function abnormalities. A peripheral blood smear showed the prominence of eosinophilia. However, a population of atypical lymphoid cells was also present, many of which had lobulated nuclear form. The bone marrow was markedly hypercellular with abundant eosinophils in all stages of maturation. Occasional collections of lymphoid forms were noted similar to those seen on the peripheral smear. Lymph node and liver biopsies were performed and a diagnosis of mycosis fungoides was made. The peripheral blood lymphoid cells were considered as Sézary cells.
Eosinophils are cytokine-mediated cells that are reactive to an underlying disorder or part of a primary hematologic disease. Eosinophilia is frequently noted in allergies, skin diseases, parasites, pulmonary disorders, immune diseases, and malignancies, especially lymphoid diseases. Persistent marked elevations of eosinophils characterize hypereosinophilia. In this patient, the presence of hypereosinophilia raised the possibility of a primary eosinophilic disorder with the effects of eosinophil-derived toxic mediators that can be seen in myeloproliferative diseases, chronic eosinophilic leukemia, and mast cell disease. However, the peripheral smear showed atypical lymphoid cells that provided the clue that eosinophilia was secondary to non-Hodgkin lymphoma. The rash, coupled with Sézary cells, helped to establish the diagnosis of mycosis fungoides.
A 52-year-old woman presented to the hematologist with marked leukocytosis. She had a history of rash, weight loss, fevers, and lethargy for several months. There had been no foreign travel, use of drugs, gastrointestinal problems, joint disease, or pulmonary complaints. Physical findings included a macular and erythematous rash, pallor, clear lungs, mild hepatomegaly, moderate enlargement of the spleen, and slight adenopathy. Laboratory findings included a white cell count of 144 × 109/L of which 60% were eosinophils. Other results included a hemoglobin of 102 g/L, platelets of 106 × 109/L, normal renal function, and mild liver function abnormalities. A peripheral blood smear showed the prominence of eosinophilia. However, a population of atypical lymphoid cells was also present, many of which had lobulated nuclear form. The bone marrow was markedly hypercellular with abundant eosinophils in all stages of maturation. Occasional collections of lymphoid forms were noted similar to those seen on the peripheral smear. Lymph node and liver biopsies were performed and a diagnosis of mycosis fungoides was made. The peripheral blood lymphoid cells were considered as Sézary cells.
Eosinophils are cytokine-mediated cells that are reactive to an underlying disorder or part of a primary hematologic disease. Eosinophilia is frequently noted in allergies, skin diseases, parasites, pulmonary disorders, immune diseases, and malignancies, especially lymphoid diseases. Persistent marked elevations of eosinophils characterize hypereosinophilia. In this patient, the presence of hypereosinophilia raised the possibility of a primary eosinophilic disorder with the effects of eosinophil-derived toxic mediators that can be seen in myeloproliferative diseases, chronic eosinophilic leukemia, and mast cell disease. However, the peripheral smear showed atypical lymphoid cells that provided the clue that eosinophilia was secondary to non-Hodgkin lymphoma. The rash, coupled with Sézary cells, helped to establish the diagnosis of mycosis fungoides.
Many Blood Work images are provided by the ASH IMAGE BANK, a reference and teaching tool that is continually updated with new atlas images and images of case studies. For more information or to contribute to the Image Bank, visit www.ashimagebank.org.
