Abstract
BLyS and its major receptor BAFF-R have been shown to be critical for development and homeostasis of normal B lymphocytes, and for cell growth and survival of neoplastic B lymphocytes, but the biologic mechanisms of this ligand/receptor-derived intracellular signaling pathway(s) have not been completely defined. We have discovered that the BAFF-R protein was present in the cell nucleus, in addition to its integral presence in the plasma membrane and cytoplasm, in both normal and neoplastic B cells. BAFF-R interacted with histone H3 and IKKβ in the cell nucleus, enhancing histone H3 phosphorylation through IKKβ. Nuclear BAFF-R was also associated with NF-κB/c-Rel and bound to NF-κB targeted promoters including BLyS, CD154, Bcl-xL, IL-8, and Bfl-1/A1, promoting the transcription of these genes. These observations suggested that in addition to activating NF-κB pathways in the plasma membrane, BAFF-R also promotes normal B-cell and B-cell non-Hodgkin lymphoma (NHL-B) survival and proliferation by functioning as a transcriptional regulator through a chromatin remodeling mechanism(s) and NF-κB association. Our studies provide an expanded conceptual view of the BAFF-R signaling, which should contribute a better understanding of the physiologic mechanisms involved in normal B-cell survival and growth, as well as in the pathophysiology of aggressive B-cell malignancies and autoimmune diseases.
Introduction
BAFF-R (also called BR3) is the most unique of the 3 tumor necrosis factor receptors (TNFRs) for BLyS (B-lymphocyte stimulator; also called BAFF). A/WySNJ mice (which have a mutant BAFF-R gene) have a low peripheral blood B-cell fraction that is similar to that seen in BLyS-deficient mice, suggesting that BAFF-R transmits critical B-cell survival signals associated with BLyS stimulation.1 Downstream mediators of BAFF-R activation include both the canonical (classic, NF-κB1) and alternative (noncanonical, NF-κB2) NF-κB pathways.2-7 Although BLyS/BAFF-R–derived intracellular signaling pathways are still incompletely defined, this ligand/receptor dyad provides key regulatory control of antiapoptotic cell survival and growth stimulation.8-11 In this regard, BLyS modulates several antiapoptotic Bcl-2 family members, including Bcl-xL, Mcl-1, A-1, Bcl-2, and Bim, via survival-promoting kinase systems such as Pim 1/2 or Erk11-14 as well as proteins involved in early cell-cycle progression, including c-myc, p27Kip1, cyclin D1, and cyclin D2.15,16
Most studies of TNFR family receptors have focused on these proteins' function in the cellular plasma membrane and cytoplasm. However, our laboratory recently demonstrated that another TNFR protein, CD40, is present in the nuclei of normal and B-cell non-Hodgkin lymphoma (NHL-B) cells, where it functions as a transcription factor that regulates the expression of several antiapoptotic and proliferation-associated genes.17,18
The IκB kinase (IKK) protein complex is critical for regulating NF-κB pathway activation. The IKK complex includes 3 important subunits: the catalytic subunits IKKα and IKKβ (also known as IKK1 and IKK2, respectively) and the regulatory subunit IKKγ (also known as NEMO). In the cytoplasm, activation of the IKK complex induces processing of precursors p105 and p100 into p50 and p52, respectively, resulting in NF-κB subunit dimeric partners that migrate from the cytoplasm into the nucleus.19-23 In recent studies, IKKα has also been identified in the cell nucleus, functioning in histone H3 phosphorylation.24,25 Although IKKβ was also previously observed in the cell nucleus, its nuclear function has remained obscure.24 The second purpose of our study was to elucidate how nuclear BAFF-R interacts with the NF-κB pathway to promote B-cell survival and proliferation.
In this study, we found that BAFF-R was present in the cell nucleus as well as in the plasma membrane and cytoplasm, in both normal peripheral blood B lymphocytes and aggressive NHL-B cells. Furthermore, we found that BAFF-R bound to IKKβ and histone H3 in the nucleus, mediating histone H3 phosphorylation by IKKβ and chromatin remodeling, which had not been previously demonstrated. We also found that nuclear BAFF-R associates with the NF-κB component c-Rel and binds to the NF-κB binding site in the promoters of NF-κB target genes such as BLyS,16 CD154,26 Bcl-xL,27 IL-8,25,27 and Bfl-1/A1,28,29 regulating the transcription of these genes. This finding indicates that in addition to activating the NF-κB pathways in the plasma membrane, BAFF-R can also promote normal and NHL-B-cell survival and proliferation by directly functioning as a transcriptional cofactor with other NF-κB transcription factor(s) and possibly regulating transcription of other NF-κB target genes.
Methods
Cells
Human NHL-B-cell lines were established from fresh patient tumor samples, mostly at The University of Texas M. D. Anderson Cancer Center. Studies on these cells were approved by the Office of Protocol Research at The University of Texas M. D. Anderson Cancer Center. MS, JM, and FN are LBCL cell lines; Jeko, Mino, and Granta are previously established MCL cell lines from our and other sources.30 Lymphoma or normal B cells were cultured in RPMI (GIBCO, Rockville, MD) containing 15% fetal bovine serum (FBS; HyClone, Logan, UT). Normal human B lymphocytes were purified from the buffy-coat fractions of blood from healthy donors' buffy coats using the appropriate ratio of RosetteSep human B-cell enrichment cocktail (StemCell Technologies, Vancouver, BC). Cells were incubated in 50-mL tubes with the cocktail for 20 minutes at room temperature and then underlayered with 15 mL Ficoll-Paque PLUS (GE Healthcare Bio-Sciences, Arlington Heights, IL). The samples were centrifuged for 20 minutes at 1200g at room temperature. The interface layers were collected, washed with phosphate-buffered saline (PBS) solution containing 2% fetal bovine serum, and analyzed by flow cytometry (FACSCalibur; BD Biosciences, San Jose, CA) to determine that the cells were 95% to 98% CD20+. Normal Go peripheral blood B cells were activated by incubating them for 24 hours with anti-IgM (α-μ; 35 μg/mL; Valeant, Aurora, OH), soluble BLyS (50 ng/mL; PeproTech EC, Rocky Hill, NJ), or both. Fresh biopsy-derived lymphoma samples were minced in cold RPMI, and a single-cell suspension of lymphoma cells was purified using Ficoll-Paque PLUS; they stained positive for CD19, CD20, and CD10 but negative for CD3 by immunohistochemical analysis.
Antibodies, reagents, and materials
Antibodies against the following molecules were used: BLyS, HMGB1 (HMG-1), histone H3, phosphorylated histone H3 (Ser10), and c-Rel (Millipore, Billerica, MA); CBP (Cell Signaling Technology, Danvers, MA); IKKα/β, IKKβ, Bcl-xL, Bcl-2, CD154, A1, lamin B, and Oct-1 (Santa Cruz Biotechnology, Santa Cruz, CA); syndecan 4 (plasma membrane marker) and calreticulin (endoplasmic reticulum marker; Abcam, Cambridge, MA); nucleoporin p62 (Covance, Princeton, NJ); monoclonal and polyclonal BAFF-R antibody, and blocking peptide (AXXORA, San Diego, CA; ProSci, Poway, CA); and monoclonal BAFF-R antibody (9.1) for IP (Genentech, South San Francisco, CA). BLyS siRNA and negative-control (nontargeting siRNA sequence) oligonucleotides, recombinant human IKKα, IKKβ, and histone H3 proteins were purchased from Millipore (Billerica, MA). Recombinant human BAFF-R protein was obtained from R&D Systems (Minneapolis, MN). Recombinant human BLyS and CD40L were from PeproTech EC. BAFF-R siRNA and negative-control siRNAs were purchased from Applied Biosystems/Ambion (Austin, TX). Tris-HCL ready gels (4%-15%) used in Western blotting were from Bio-Rad Laboratories (Hercules, CA).
RT-PCR analysis
Total RNA was prepared using the protocol from the NucleoSpin RNA II purification kit (BD Biosciences). Reverse-transcriptase–polymerase chain reaction (RT-PCR) analysis was performed using the protocol for the Ready-To-Go RT-PCR Beads (GE Healthcare Bio-Sciences). Total RNA (5 μg) was used to perform first-strand cDNA synthesis by reverse transcription. The sequences of the BAFF-R primers were previously described.9 The PCR conditions were 94°C for 1 minute, 55°C for 1 minute, and 72°C for 1 minute for 40 cycles.
XTT proliferation assay
An XTT assay was performed using Cell Proliferation Kit II (XTT; Roche, Palo Alto, CA). Cells were plated in triplicate at 1.5 × 104 cells/well in 100 μL RPMI 1640 with 15% fetal calf serum at 37°C for 48 hours. The samples were measured with a Benchmark microplate reader (Bio-Rad Laboratories) with 490-nm absorbance wavelength and 655-nm reference wavelength.
Confocal microscopic analysis
Cells were cytospun onto poly-l-lysine–coated glass slides, fixed with 100% cold methanol for 5 minutes, and air-dried. Cells were stained with the appropriate primary antibodies (1:200 dilution) overnight at 4°C, and then were stained with the appropriate secondary antibodies labeled with fluorescence (1:200 dilution) for 45 minutes and washed with PBS. Coverslips were applied with SlowFade reagent (Molecular Probes, Eugene, OR). The cells were visualized using an Olympus FluoView 500 (FV500) laser-scanning confocal microscope (Olympus America, Melville, NY). Images were captured with a PlanApo 40×/1.4 NA oil objective using the appropriate filter sets. Digital images were obtained using the manufacturer's FluoView software.
FRET imaging analysis
Fluorescence resonance energy transfer (FRET) analysis was performed as previously described.31 FRET was detected by the method of acceptor photobleaching, as an increase in the fluorescence intensity of the donor molecule after acceptor bleaching. FRET analysis was performed in NHL-B cells cotransfected with GFP-BAFF-R fusion protein (donor) expression plasmid and dsRed–c-Rel fusion protein (acceptor) expression plasmid. Images of a representative transfected cell were taken before photobleaching and after photobleaching. The cells were visualized using an Olympus FluoView 500 (FV500) laser-scanning confocal microscope (Olympus America). The FRET images were analyzed with the automated Metamorph 7.0 software (Molecular Devices, Sunnyvale, CA).
Plasmid and site-directed mutagenesis
To construct a his-BAFF-R expression plasmid, BAFF-R cDNA was isolated from the pBCMGS-BAFF-R plasmid provided by Dr Naoya Nakamura (Fukushima Medical University, Fukushima City, Japan) and inserted into the pBind plasmid (Promega, Madison, WI). Then, BAFF-R cDNA was cut from the pBind-BAFF-R expression vector and inserted into a his-pcDNA3.1c expression vector (Invitrogen, Carlsbad, CA). A FLAG-BAFF-R expression plasmid was constructed by enzymatically cleaving BAFF-R cDNA from the his-BAFF-R expression plasmid and inserting it into a p3XFLAG-CMV-14 expression vector (Sigma-Aldrich, St Louis, MO). A GFP-BAFF-R expression vector was constructed by enzymatically cleaving BAFF-R cDNA from the FLAG-BAFF-R expression vector and inserting the DNA into a pcGFP1-N1 vector (Clontech, Mountain View, CA). The CMV-hc-Rel expression vector was a gift from Dr Celine Gelinas (Center for Advanced Biotechnology and Medicine, Piscataway, NJ). C-Rel cDNA was isolated from CMV-hc-Rel expression vector and inserted into a pDsRed-N1 expression vector (Clontech) to construct a DsRed-c-Rel expression plasmid. Site-directed mutagenesis of the pcDNA3.1/His BAFF-R, changing the nuclear localization sequence R R R Q R R L R into R T G Q T G L R, was performed using the QuikChange mutagenesis kit (Stratagene, La Jolla, CA). All mutations in the reporter constructs were verified by nucleotide sequencing.
Transfection, luciferase, and β-gal assays
Transient transfections in cultured lymphoma cells were conducted using the Nucleofector protocol from Amaxa Biosystems (Cologne, Germany). Luciferase and beta-galactosidase (β-gal) assays were performed according to the manufacturer's directions (Clontech). Luciferase activity values were normalized to transfection efficiency by the cotransfected β-gal expression vector.
ChIP assays
Chromatin immunoprecipitation (ChIP) assays were performed using the ChIP assay kit and protocol provided by Millipore (Temecula, CA). Purified DNA from immunoprecipitations and DNA inputs were used for PCR amplification with PCR beads (GE Healthcare Bio-Sciences) and oligonucleotide primers specific for the BAFF-R/c-Rel region on BLyS, CD154, bfl-1/A1, Bcl-xL, or IL-8. Primers specific for the β-actin promoter region were used as a negative control.25 The reaction conditions were as follows: the cDNA template was denatured at 95°C for 1 minute, annealed at 55°C for 1 minute, and extended at 72°C for 1 minute per cycle for 35 cycles. The primers used in PCR analysis were as follows: BLyS forward 5′-GAGACAGAACTAAAGCTCACT-3′, reverse 5′-GACCTGTGAGGACTGTTGCA-3′; CD154 forward 5′-AGATAGCATG CCTATCAGAGC-3′, reverse 5′-GAATCACTGAAGTGTGTAGGA-3′; Bfl-1/A1 forward5′-CAGTGTTGTGCAACTTCCAC-3′, reverse 5′-GGTAAATCCCCGTCTGTACTA-3′; Bcl-xL forward 5′-GAGCTGGTTTTTTTGCCAGCC-3′, reverse 5′-GGTCTTACGAAGGTCTGGGTC-3′; IL-8 forward 5′-GGGCCATCAGTTGCAAATC-3′, reverse 5′-TTCCTTCCGGTGGTTTCTTC-3′25 ; and β-actin forward 5′-CAACGCCAAAACTCTCCCTC-3′, reverse 5′-ATCGGCAAAGGCGAGGCTCTG-3′.25
Coimmunoprecipitation assay
His-tagged proteins were purified by MagneHis Protein Purification System (Promega). Antibodies were cross-linked to Dynabeads protein A (Invitrogen) according to the manufacturer's directions. Cell lysates were precleared with IgG Dynabeads protein A or G for 30 minutes at 4°C before being incubated with antibody Dynabeads overnight at 4°C. Precipitated proteins were eluted by boiling in protein-loading buffer and then processed for Western blot analysis.
Subcellular fractionation
Nuclear and cytoplasmic extractions were performed as described previously.17 Subcellular fractionation was also performed with minor modifications according to methods described previously.17 Briefly, 2 × 107 cells were homogenized in 1 mL specimen transport medium (STM 0.25). Cell homogenates were adjusted to 1.4 STM, layered between 0.5 mL STM 2.1 and 1 mL STM 0.8, and centrifuged at 100 000g for 1 hour. The pellet was collected, suspended in 6 mL TP buffer, and incubated at 4°C for 60 minutes. After the mixture was centrifuged at 10 000g for 30 minutes, the nucleoplasm and nuclear envelope fractions were obtained from the supernatant and pellet, respectively. The interface between the 1.4- and 0.8-M sucrose layers was diluted with STM 0.25 and centrifuged at 5000g for 20 minutes to obtain the plasma membrane pellet and cytoplasm supernatant.
In vitro kinase assay
In vitro kinase assays were performed as described previously32 with minor modifications. Immunoprecipitates from cell extracts, recombinant IKKα, or recombinant IKKβ were used for the in vitro kinase reactions. Recombinant H3 (1.5 μg per reaction) was used as a substrate. Recombinant BAFF-R (0.5 μg/reaction) was added in some reactions. The samples were fractioned onto 4% to 20% Tris-HCl gradient gel and transferred to polyvinylidene difluoride membranes for autoradiography to detect phosphorylation of H3. Subsequently, the membranes were probed with specific antibody to quantitatively determine the protein level.
Results
BAFF-R protein is present in the nuclei of NHL-B cells
Previous studies have reported that BAFF-R, like other tumor necrosis factor receptor (TNF-R) superfamily members, functions exclusively in the plasma membrane cellular compartment through binding its cognate ligand, BLyS.8-11 In this study we initially examined the expression of BAFF-R, the major B-cell receptor for BLyS, in the representative large B-cell lymphoma (LBCL) and mantle-cell lymphoma (MCL) cell lines. BAFF-R mRNA was detected in these non-Hodgkin lymphoma (NHL) B-cell lines using reverse-transcriptase–polymerase chain reaction (RT-PCR; Figure 1A).
BAFF-R is present in different subcellular compartments in NHL-B cells. (A) RT-PCR analysis of BAFF-R mRNA expression in NHL-B-cell lines. (B) BAFF-R protein was stained for Cy3 (red) fluorescence and a nuclear marker TOPRO-3 (blue) in LBCL and MCL cell lines, and then analyzed by confocal microscopic analysis. (C) Western blot analysis (WB) of protein extract from different subcellular fractions (PM indicates plasma membrane; C, cytoplasm; NE, nuclear envelope; and NP, nucleoplasm) for BAFF-R, syndecan 4 (a plasma membrane marker), calreticulin (an endoplasmic reticulum marker), p62 (a nuclear envelope marker), and lamin B (a nuclear marker). (D) BAFF-R competition experiments were performed by preincubating a BAFF-R peptide with specific BAFF-R antibody before probing nuclear extracts from NHL-B cells. (E) Western blot analysis of 50 μg protein from cytoplasm and nucleoplasm for BAFF-R in normal peripheral blood B cells. Actin and lamin B were used as cytoplasmic and nucleoplasmic markers. (F) Confocal fluorescence microscopic images of GFP-BAFF-R fusion protein localization in a representative live NHL-B cell (MS), cotransfected with BAFF-R expression plasmid pcGFP-BAFF-R (green) and a nuclear localization expression plasmid pDsRed2-Nuc (red).
BAFF-R is present in different subcellular compartments in NHL-B cells. (A) RT-PCR analysis of BAFF-R mRNA expression in NHL-B-cell lines. (B) BAFF-R protein was stained for Cy3 (red) fluorescence and a nuclear marker TOPRO-3 (blue) in LBCL and MCL cell lines, and then analyzed by confocal microscopic analysis. (C) Western blot analysis (WB) of protein extract from different subcellular fractions (PM indicates plasma membrane; C, cytoplasm; NE, nuclear envelope; and NP, nucleoplasm) for BAFF-R, syndecan 4 (a plasma membrane marker), calreticulin (an endoplasmic reticulum marker), p62 (a nuclear envelope marker), and lamin B (a nuclear marker). (D) BAFF-R competition experiments were performed by preincubating a BAFF-R peptide with specific BAFF-R antibody before probing nuclear extracts from NHL-B cells. (E) Western blot analysis of 50 μg protein from cytoplasm and nucleoplasm for BAFF-R in normal peripheral blood B cells. Actin and lamin B were used as cytoplasmic and nucleoplasmic markers. (F) Confocal fluorescence microscopic images of GFP-BAFF-R fusion protein localization in a representative live NHL-B cell (MS), cotransfected with BAFF-R expression plasmid pcGFP-BAFF-R (green) and a nuclear localization expression plasmid pDsRed2-Nuc (red).
BAFF-R protein was located predominantly in the plasma membrane and cytoplasm of NHL-B (MS) cells, but it was also clearly present in the B-cell nucleus on confocal microscopic analysis (Figure 1B). When Western blot analysis was performed, BAFF-R protein signals of various molecular weights were detected in all cellular fractions (plasma membrane, cytoplasm, nuclear envelope, and nucleoplasm). A distinct BAFF-R signal was detected in the nucleoplasm (Figure 1C), which disappeared upon competition with a BAFF-R peptide (Figure 1D). Similar results were observed in normal peripheral blood B cells (Figure 1E).
To further verify our observation that BAFF-R was found in both the cytoplasm and nucleoplasm of NHL-B cells, we cotransfected a LBCL cell line (MS) with plasmids expressing a GFP-BAFF-R fusion protein and a DsRed-labeled nuclear localization signal sequence (NLS). Live cell imaging of LBCL cells expressing both the GFP-BAFF-R fusion protein (green) and DsRed-NLS protein (red) was further analyzed by confocal microscopy. When the images depicting GFP-BAFF-R and the nuclear marker were merged, the midstack sections of a representative lymphoma cell showed colocalization (yellow), indicating the presence of BAFF-R protein in the cellular nuclear compartment (Figure 1F).
Nuclear BAFF-R is a high-molecular-weight multimer
To further analyze the biochemical nature of high-molecular-weight (MW) nuclear BAFF-R identified on Western blot, the reducing agent β-mercaptoethanol (β-ME) was used. In β-ME–treated whole-cell extracts, high-molecular-weight BAFF-R signals were reduced in size compared with levels in control whole-cell extracts, whereas the 20-kDa BAFF-R signal increased (Figure 2A). Higher MW BAFF-R signals also decreased in LBCL nuclear extracts (Figure 2B). These data indicate that the higher MW BAFF-R signals (∼ 40 kDa, ∼ 75 kDa) are sensitive to reducing agents, and likely represent multimeric forms of BAFF-R (as favored in other TNF-Rs) in LBCL nuclei.
Nuclear BAFF-R is a high-molecular-weight multimer. (A) Whole-cell lysates (100 μg) from NHL-B cells (MS) transfected with a BAFF-R expression plasmid were treated with (D, denatured) or without (N, nondenatured) β-ME and then probed with anti–BAFF-R antibody by Western blot analysis. (B) Nuclear lysates (50 μg) from NHL-B cells were treated with or without β-ME and then probed with anti–BAFF-R antibody.
Nuclear BAFF-R is a high-molecular-weight multimer. (A) Whole-cell lysates (100 μg) from NHL-B cells (MS) transfected with a BAFF-R expression plasmid were treated with (D, denatured) or without (N, nondenatured) β-ME and then probed with anti–BAFF-R antibody by Western blot analysis. (B) Nuclear lysates (50 μg) from NHL-B cells were treated with or without β-ME and then probed with anti–BAFF-R antibody.
BLyS ligand stimulation increases BAFF-R nuclear localization
It has been previously shown that CD40 (another TNF-R), epidermal growth factor receptor (EGFR), and other growth factor receptors migrate from the plasma membrane into the cell nucleus in a variety of tumor cells after ligand binding.17,18,33 To determine whether BAFF-R translocation follows a similar course and has physiologic significance, as well as dependence on BLyS ligand stimulation, we stimulated normal peripheral blood B cells with anti-IgM, human recombinant BLyS, or both. Confocal microscopic analysis showed that nuclear BAFF-R expression was low or undetectable in unstimulated Go B cells, and was only sparsely expressed in anti-IgM or BLyS-only, stimulated B cells. However, higher levels of nuclear BAFF-R were detected in B cells after concurrent anti-IgM and BLyS stimulation (Figure 3A). These data were confirmed by Western blot analysis (Figure 3B), where the protein level of nuclear BAFF-R was higher in isolated normal peripheral blood B cells treated with both anti-IgM and BLyS than in untreated Go B cells. Because we have previously shown that constitutive BLyS stimulation continuously activates BAFF-R in aggressive NHL-B,16 we inhibited constitutive BLyS expression in LBCL cells, using a validated specific BLyS siRNA, and assessed the nuclear BAFF-R level, to determine whether this observation also extended to neoplastic B cells. Nuclear BAFF-R level was lower in LBCL cells transfected with BLyS siRNA than in LBCL cells transfected with a control siRNA (Figure 3C), showing that BAFF-R translocation to the nucleus depends on stimulation through BLyS ligand binding.
BLyS ligand stimulation increases BAFF-R nuclear localization. (A) Normal isolated peripheral blood B cells were stimulated with anti-IgM, BLyS, or both and then probed with BAFF-R (Cy3) and TOPRO-3. Samples were then analyzed by confocal microscopy. (B) WB of nuclear extracts from normal peripheral blood B cells, treated with anti-IgM, human recombinant BLyS, or both, probed with a BAFF-R antibody. Lamin B was used as a nuclear protein loading control. (C) WB of cytoplasm extract from NHL-B cells (MS) transfected with BLyS siRNA (siBLyS) or scrambled siRNA, and probed with BLyS antibody (left panel). Actin was used as loading control. WB of nuclear extracts from NHL-B cells (MS) transfected with BLyS siRNA or scrambled siRNA and probed with BAFF-R antibody. Lamin B was used as a nuclear protein loading control (right panel).
BLyS ligand stimulation increases BAFF-R nuclear localization. (A) Normal isolated peripheral blood B cells were stimulated with anti-IgM, BLyS, or both and then probed with BAFF-R (Cy3) and TOPRO-3. Samples were then analyzed by confocal microscopy. (B) WB of nuclear extracts from normal peripheral blood B cells, treated with anti-IgM, human recombinant BLyS, or both, probed with a BAFF-R antibody. Lamin B was used as a nuclear protein loading control. (C) WB of cytoplasm extract from NHL-B cells (MS) transfected with BLyS siRNA (siBLyS) or scrambled siRNA, and probed with BLyS antibody (left panel). Actin was used as loading control. WB of nuclear extracts from NHL-B cells (MS) transfected with BLyS siRNA or scrambled siRNA and probed with BAFF-R antibody. Lamin B was used as a nuclear protein loading control (right panel).
A candidate nuclear localization sequence detected in BAFF-R is important in NHL-B-cell proliferation and survival
To further determine how BAFF-R might enter the B-cell nucleus, we sought evidence for a nuclear localization signal (NLS) sequence, recognized by the classic cytoplasmic karyopherin pathway for transiting protein cargos through the nucleopore complex (NPC) into the nucleus. On the basis of the NLS database (NucleaRDB),34 we identified an arginine-rich sequence in the BAFF-R protein as a candidate NLS. We then mutated the putative NLS as shown in Figure 4A. Western blot analysis showed lower levels of nuclear BAFF-R in NHL-B cells transfected with a BAFF-R NLS mutant expression vector, compared with that in NHL-B cells transfected with a wild-type BAFF-R expression vector (Figure 4B). To determine whether nuclear BAFF-R plays a role in NHL-B-cell survival and proliferation, XTT proliferation assays were performed. As shown in Figure 4C, NHL-B cells transfected with the BAFF-R NLS mutant display a lower proliferative capacity than NHL-B cells transfected with wild-type BAFF-R, revealing that nuclear localization of BAFF-R functions in NHL-B-cell proliferation.
A candidate nuclear localization signal sequence (NLS) detected in BAFF-R is important for NHL-B-cell proliferation and survival. (A) Top is the BAFF-R protein sequence with the putative NLS underlined. Bottom is the wild-type NLS with the mutated amino acids underlined. (B) Nuclear extracts from NHL-B cells transfected with an empty plasmid, a BAFF-R expression plasmid, or a BAFF-R NLS mutant expression plasmid were probed with BAFF-R or Oct-1(nuclear-protein loading control) antibody in WB. (C) A representative 48-hour XTT proliferation assay of NHL-B cells (MS) transfected with a control plasmid, a BAFF-R expression plasmid, or a BAFF-R NLS-mutant expression plasmid was performed. The error bars indicate SD of triplicate samples.
A candidate nuclear localization signal sequence (NLS) detected in BAFF-R is important for NHL-B-cell proliferation and survival. (A) Top is the BAFF-R protein sequence with the putative NLS underlined. Bottom is the wild-type NLS with the mutated amino acids underlined. (B) Nuclear extracts from NHL-B cells transfected with an empty plasmid, a BAFF-R expression plasmid, or a BAFF-R NLS mutant expression plasmid were probed with BAFF-R or Oct-1(nuclear-protein loading control) antibody in WB. (C) A representative 48-hour XTT proliferation assay of NHL-B cells (MS) transfected with a control plasmid, a BAFF-R expression plasmid, or a BAFF-R NLS-mutant expression plasmid was performed. The error bars indicate SD of triplicate samples.
Nuclear BAFF-R interacts with IKKβ and functions in histone H3 phosphorylation
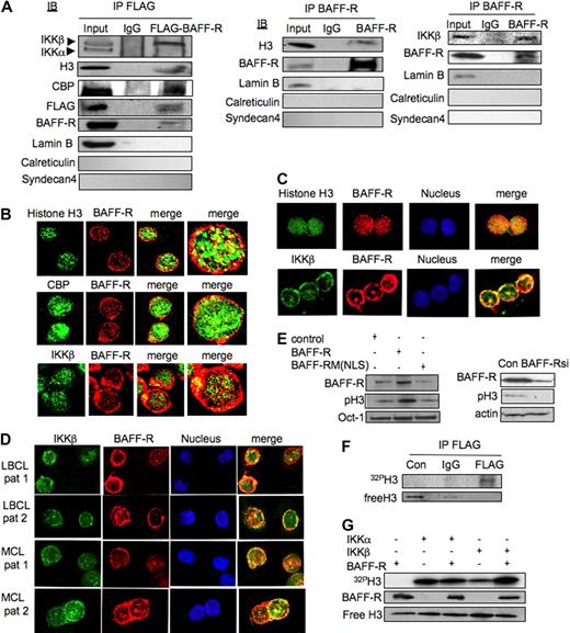
We next examined the potential nuclear function(s) of BAFF-R in NHL-B cells. The inhibitor of NF-κB (IκB) kinase (IKK) protein complex has been shown to be of central importance for NF-κB pathway activation in NHL-B proliferation and survival.35 The functions of IKK complex in the cellular cytoplasmic compartment have been well characterized,22 but the nuclear functions of IKK proteins are less well defined. Although it has been shown that nuclear IKKα functions in histone H3 phosphorylation,24,25 a nuclear function of IKKβ remains unknown.24 The pattern of BAFF-R migration into the cell nucleus, as well as its apparent functional involvement in cell growth, suggests that BAFF-R is also involved in transcriptional processes. In immunoprecipitation and Western blot experiments in NHL-B cells, we observed that BAFF-R may associate with CREB binding protein (CBP), an important transcriptional cofactor, and forms a complex with IKKβ (but not IKKα) and histone H3 in the cell nucleus (Figure 5A). The interaction between BAFF-R and IKKβ was confirmed by reverse immunoprecipitation analysis (Figure S1, available on the Blood website; see the Supplemental Materials link at the top of the online article). These results were also confirmed by confocal microscopic analysis in both normal and neoplastic B cells (Figure 5B-D). NHL-B (MS) cells transfected with a BAFF-R expression vector showed increased histone H3 phosphorylation, but BAFF-R NLS-mutant transfected NHL-B cells showed a decrease in histone H3 phosphorylation (Figure 5E left panel). Furthermore, inhibition of BAFF-R expression by specific siRNA can decrease histone H3 phosphorylation in NHL-B cells (Figure 5E right panel). These data indicate that BAFF-R also functions in histone H3 phosphorylation. Because previous results had indicated that BAFF-R interacts with IKKβ in the nuclei of NHL-B cells, we hypothesized that BAFF-R also regulates histone H3 phosphorylation through IKKβ. The nuclear BAFF-R complex, immunoprecipitated from NHL-B (MS) cells, was shown to phosphorylate histone H3 in an in vitro kinase assay (Figure 5F). Although recombinant BAFF-R alone did not directly phosphorylate H3, it did increase the phosphorylation of IKKβ (Figure 5G), indicating that, unlike IKKα, the histone H3 phosphorylation activity of IKKβ appears to be BAFF-R dependent. This finding demonstrates another mechanism of BAFF-R target gene expression regulation through histone H3 phosphorylation, which enables transcription factors and cofactors to bind to DNA response elements and initiate transcription.
Nuclear BAFF-R interacts with IKKβ and functions in histone H3 phosphorylation. (A) FLAG-BAFF-R fusion protein was purified by FLAG antibody from a nuclear extract of a stably transfected NHL-B-cell line expressing FLAG-BAFF-R. Extract samples were probed with antibodies against CBP, IKKα/β, BAFF-R, or FLAG in WB (left panel). Wild-type BAFF-R was immunoprecipitated (IP) from the nuclear extract using BAFF-R antibody and probed with IKKβ, BAFF-R, or histone H3 antibody on a Western blot (middle and right panels). Lamin B (a nuclear marker), syndecan 4 (a plasma membrane marker), and calreticulin (an endoplasmic reticulum marker) were used as loading controls. (B) Histone H3, CBP, or IKKβ protein in NHL-B cells was identified using Cy2 (green), and BAFF-R protein was identified using Cy3 for confocal microscopic analysis. (C) Histone H3 or IKKβ protein was stained with Cy2, and BAFF-R protein was stained with Cy3 in normal peripheral blood B cells stimulated with anti-IgM and BLyS. Samples were analyzed by confocal microscope. (D) IKKβ protein was stained with Cy2 fluorescence, BAFF-R protein was stained with Cy3, and TOPRO-3 was used as a nuclear marker. (E) Nuclear extracts from NHL-B cells transfected with an empty vector, a BAFF-R expression plasmid, or a BAFF-R NLS-mutant expression plasmid were probed with BAFF-R, phosphorylated histone H3 (Ser10), or Oct-1 (nuclear-protein loading control) antibody in WB (left panel). Whole-cell extracts from NHL-B cells treated with specific BAFF-R siRNA or scrambled control siRNA (control) were probed with BAFF-R, phosphorylated histone H3, or actin antibody in WB (right panel). (F) Recombinant histone H3 was incubated, with or without a FLAG-BAFF-R complex purified by IP with FLAG antibody from NHL-B cells (Jeko) expressing FLAG-BAFF-R protein in an in vitro kinase assay. IgG was used as an IP control. 32P-labeled phosphorylated H3 protein was detected by gel electrophoresis. Unphosphorylated histone H3 (free histone H3) in phosphorylation reaction was detected by WB. (G) Recombinant H3 was incubated with recombinant IKKα or IKKβ, with or without BAFF-R, in an in vitro kinase assay. 32P-labeled phosphorylated H3 was detected by gel electrophoresis. BAFF-R and free histone H3 were detected by WB.
Nuclear BAFF-R interacts with IKKβ and functions in histone H3 phosphorylation. (A) FLAG-BAFF-R fusion protein was purified by FLAG antibody from a nuclear extract of a stably transfected NHL-B-cell line expressing FLAG-BAFF-R. Extract samples were probed with antibodies against CBP, IKKα/β, BAFF-R, or FLAG in WB (left panel). Wild-type BAFF-R was immunoprecipitated (IP) from the nuclear extract using BAFF-R antibody and probed with IKKβ, BAFF-R, or histone H3 antibody on a Western blot (middle and right panels). Lamin B (a nuclear marker), syndecan 4 (a plasma membrane marker), and calreticulin (an endoplasmic reticulum marker) were used as loading controls. (B) Histone H3, CBP, or IKKβ protein in NHL-B cells was identified using Cy2 (green), and BAFF-R protein was identified using Cy3 for confocal microscopic analysis. (C) Histone H3 or IKKβ protein was stained with Cy2, and BAFF-R protein was stained with Cy3 in normal peripheral blood B cells stimulated with anti-IgM and BLyS. Samples were analyzed by confocal microscope. (D) IKKβ protein was stained with Cy2 fluorescence, BAFF-R protein was stained with Cy3, and TOPRO-3 was used as a nuclear marker. (E) Nuclear extracts from NHL-B cells transfected with an empty vector, a BAFF-R expression plasmid, or a BAFF-R NLS-mutant expression plasmid were probed with BAFF-R, phosphorylated histone H3 (Ser10), or Oct-1 (nuclear-protein loading control) antibody in WB (left panel). Whole-cell extracts from NHL-B cells treated with specific BAFF-R siRNA or scrambled control siRNA (control) were probed with BAFF-R, phosphorylated histone H3, or actin antibody in WB (right panel). (F) Recombinant histone H3 was incubated, with or without a FLAG-BAFF-R complex purified by IP with FLAG antibody from NHL-B cells (Jeko) expressing FLAG-BAFF-R protein in an in vitro kinase assay. IgG was used as an IP control. 32P-labeled phosphorylated H3 protein was detected by gel electrophoresis. Unphosphorylated histone H3 (free histone H3) in phosphorylation reaction was detected by WB. (G) Recombinant H3 was incubated with recombinant IKKα or IKKβ, with or without BAFF-R, in an in vitro kinase assay. 32P-labeled phosphorylated H3 was detected by gel electrophoresis. BAFF-R and free histone H3 were detected by WB.
Nuclear BAFF-R interacts with c-Rel and functions as a transcription factor
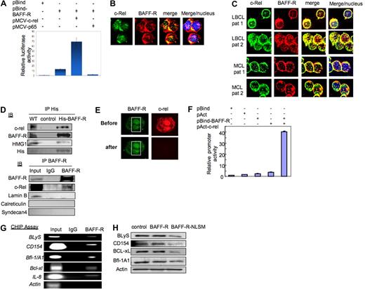
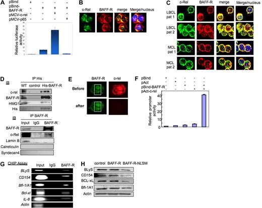
BLyS stimulation can activate both the canonical and alternative NF-κB pathways in B cells through BAFF-R binding.2-6,16 The NF-κB component c-Rel is critical for antiapoptotic gene expression, and c-Rel amplification has also been observed in NHL-B cells.16,18,26,36-38 To identify the effect of NF-κB on nuclear BAFF-R function(s) in normal and NHL-B cells, we constructed a Gal-4 plasmid containing the BAFF-R coding sequence. Luciferase reporter assays indicated that luciferase activity was more than 10-fold increased in NHL-B cells transfected with Gal4-BAFF-R than in controls. This transactivation activity of BAFF-R was further increased in NHL-B cells cotransfected with a c-Rel expression plasmid, but not in cells cotransfected with a p65 expression plasmid (Figure 6A).
Nuclear BAFF-R interacts with NF-κB/c-Rel and functions as a transcription factor. (A) Comparison of luciferase activity in NHL-B (LBCL-MS) cells transfected with a pBind control vector, a pBindBAFF-R vector, both pBindBAFF-R and c-Rel expression vectors, or both pBindBAFF-R and p65 expression vectors. The error bars indicate SD of triplicate samples. (B) c-Rel protein was stained with Cy2 fluorescence; BAFF-R protein was stained with Cy3 fluorescence in the NHL-B-cell line (MS). Samples were analyzed by confocal microscope. TOPRO-3 was used as a nuclear marker. (C) The above experiment was repeated in representative biopsy-derived LBCL and MCL patient samples, as shown. (D) his-BAFF-R fusion protein was purified by MagneHis purification system from whole-cell lysates of NHL-B cells (MS) transfected with a pcDNA3.1-his-BAFF-R expression plasmid. Samples were probed with BAFF-R antibody, c-Rel antibody, HMG1 antibody, and his antibody (top panel) in WB. Wild-type BAFF-R protein complex was precipitated by BAFF-R antibody from the nuclear extract of NHL-B cells (MS) and probed with BAFF-R or c-Rel antibody in WB (bottom panel). Lamin B (a nuclear marker), syndecan 4 (a plasma membrane marker), and calreticulin (an endoplasmic reticulum marker) were used as loading control. (E) FRET analysis was performed in NHL-B cells (MS) cotransfected with GFP-BAFF-R fusion protein expression plasmid and dsRed–c-Rel fusion protein expression plasmid. Images of a representative transfected cell were taken with a confocal microscope before photobleaching (labeled “pre”) and after photobleaching (labeled “post”). (F) The pACT-c-Rel and pBIND-BAFF-R fusion vectors were cotransfected with pG5luc into NHL-B cells. Firefly and luciferase activity was measured and normalized by β-gal luciferase activity. The error bars indicate SD of triplicate samples. (G) ChIP analysis was performed in NHL-B (LBCL-MS) cells after precipitation of the protein-DNA complex with BAFF-R antibody. PCR analysis to detect the BLyS, CD154, Bfl-1/A1, Bcl-xL, and IL-8 promoters was performed using immunoprecipitated DNA, using proximal primers near the c-Rel binding region in these gene promoters. Actin was used as a control. (H) Whole-cell lysates from NHL-B cells transfected with control (empty) plasmid, a BAFF-R expression plasmid, or a BAFF-R NLS-mutant expression plasmid were blotted with BLyS, CD154, BCL-xL, Bfl-1/A1, or actin (loading control) antibody in WB.
Nuclear BAFF-R interacts with NF-κB/c-Rel and functions as a transcription factor. (A) Comparison of luciferase activity in NHL-B (LBCL-MS) cells transfected with a pBind control vector, a pBindBAFF-R vector, both pBindBAFF-R and c-Rel expression vectors, or both pBindBAFF-R and p65 expression vectors. The error bars indicate SD of triplicate samples. (B) c-Rel protein was stained with Cy2 fluorescence; BAFF-R protein was stained with Cy3 fluorescence in the NHL-B-cell line (MS). Samples were analyzed by confocal microscope. TOPRO-3 was used as a nuclear marker. (C) The above experiment was repeated in representative biopsy-derived LBCL and MCL patient samples, as shown. (D) his-BAFF-R fusion protein was purified by MagneHis purification system from whole-cell lysates of NHL-B cells (MS) transfected with a pcDNA3.1-his-BAFF-R expression plasmid. Samples were probed with BAFF-R antibody, c-Rel antibody, HMG1 antibody, and his antibody (top panel) in WB. Wild-type BAFF-R protein complex was precipitated by BAFF-R antibody from the nuclear extract of NHL-B cells (MS) and probed with BAFF-R or c-Rel antibody in WB (bottom panel). Lamin B (a nuclear marker), syndecan 4 (a plasma membrane marker), and calreticulin (an endoplasmic reticulum marker) were used as loading control. (E) FRET analysis was performed in NHL-B cells (MS) cotransfected with GFP-BAFF-R fusion protein expression plasmid and dsRed–c-Rel fusion protein expression plasmid. Images of a representative transfected cell were taken with a confocal microscope before photobleaching (labeled “pre”) and after photobleaching (labeled “post”). (F) The pACT-c-Rel and pBIND-BAFF-R fusion vectors were cotransfected with pG5luc into NHL-B cells. Firefly and luciferase activity was measured and normalized by β-gal luciferase activity. The error bars indicate SD of triplicate samples. (G) ChIP analysis was performed in NHL-B (LBCL-MS) cells after precipitation of the protein-DNA complex with BAFF-R antibody. PCR analysis to detect the BLyS, CD154, Bfl-1/A1, Bcl-xL, and IL-8 promoters was performed using immunoprecipitated DNA, using proximal primers near the c-Rel binding region in these gene promoters. Actin was used as a control. (H) Whole-cell lysates from NHL-B cells transfected with control (empty) plasmid, a BAFF-R expression plasmid, or a BAFF-R NLS-mutant expression plasmid were blotted with BLyS, CD154, BCL-xL, Bfl-1/A1, or actin (loading control) antibody in WB.
The results from luciferase reporter assays suggested that BAFF-R regulates target gene expression through association with c-Rel. To test this hypothesis, we conducted confocal microscopic analysis, and found that c-Rel and BAFF-R colocalized in the nuclei of NHL-B-cell lines as well as in patient tumor biopsies (Figure 6B,C). Colocalization of c-Rel and BAFF-R was further confirmed by immunoprecipitation (Figures 6D, S2). We also observed that transfected BAFF-R-GFP and c-Rel-dsRed undergo fluorescence resonance energy transfer (FRET) in the nucleus of a representative NHL-B (MS) cell. The FRET value is between 0.25 to 0.68 in a selected area of the representative LBCL cell (Figure 5E), indicating nuclear interaction between these 2 proteins. In addition, the nuclear high-mobility-group protein 1 (HMG1), which recruits transcription factors and binds them to target gene promoters,39 was also found within the nuclear c-Rel-BAFF-R complex. These findings indicate that c-Rel-BAFF-R-HMG1 may function as a transcription factor complex that can regulate the expression of NF-κB target genes (Figure 6D).
We next used a mammalian 2-hybrid system, an effective method for detecting protein-protein interactions in vivo, to verify that BAFF-R associates with c-Rel in the nuclei of NHL-B cells. As shown in Figure 6F, the luciferase activity in NHL-B (MS) cells cotransfected with both pBind-BAFF-R and pAct-c-Rel increases more than 10-fold, compared with control cells, indicating that BAFF-R and c-Rel do in fact interact and synergize transcriptional activity in the nuclei of representative NHL-B (LBCL) cells.
On the basis of these results, we hypothesized that nuclear BAFF-R binds to c-Rel targeted gene promoters and regulates gene expression. To further verify this hypothesis, a series of ChIP assays and PCR analyses were performed, using specific BAFF-R antibodies and primers from c-Rel binding sites, in representative well-known c-Rel target gene promoters.16,24-27 We found that the DNA fragments bound to BAFF-R protein could be immunoprecipitated by BAFF-R antibodies and amplified by PCR, indicating that BAFF-R binds to c-Rel binding sites in certain target genes including BLyS, CD154, Bfl-1/A1, Bcl-xL, and IL-8 (Figure 6G). Inhibition of BAFF-R nuclear entry by NLS mutation was also shown to decrease representative BAFF-R target protein expression in a series of Western blot experiments (Figure 6H), which further supported our finding that nuclear BAFF-R plays an important role in mediating NHL-B-cell survival and proliferation.
Discussion
TNF-R family members have been shown to regulate apoptosis, proliferation, differentiation, and survival in many types of cells.40,41 In previous studies, the key TNF-R family member, BAFF-R, was found to be the dominant receptor of the 3 known receptors for BLyS in B cells. The BLyS/BAFF-R dyad in the plasma membrane plays an important role in normal B-lymphocyte survival, maturation, and differentiation. The mechanisms regarding BAFF-R functions in B-cell survival and cellular growth control in normal and malignant B cells are still incompletely defined, although several studies have reported that the BLyS ligand can activate both the canonical and alternative NF-κB pathways through BAFF-R binding.2-7 In this study, we describe novel findings that the BAFF-R is also present and functions in an additional subcellular locations, particularly in the nucleus, in both aggressive NHL-B cells and activated normal peripheral blood B lymphocytes. We also showed that BAFF-R is found in different cellular fractions including plasma membrane, cytoplasm, nuclear envelope, and nucleoplasm (Figure 1C). This finding indicates that BAFF-R may promote cell survival and proliferation through a newly discovered mechanism, in addition to the previously described activation of cytoplasmic NF-κB pathway(s) through BLyS ligand binding in the plasma membrane.
Most nuclear proteins have nuclear localization signal sequence (NLS) that is recognized by members (importin α, β) of the classic cytoplasmic karyopherin pathway for transit to and through the nucleopore complex (NPC) into the nucleus. Based on NLS database (NucleaRDB), we have identified a candidate NLS, an arginine-rich sequence, in the BAFF-R protein (Figure 4A). BAFF-R NLS mutant proteins cannot translocate from plasma membrane into the nucleus (Figure 4B). Defining a BAFF-R NLS not only reveals additional function-related details of BAFF-R protein structure, but further confirms our hypothesis that BAFF-R is a multifunctional molecule with different cellular compartmental functions in the plasma membrane as well as in the cell nucleus.
The inhibitor of NF-κB (IκB) kinase (IKK) protein complex is of central importance for NF-κB pathway activation. The basic functions of the critically important IKK complex in the cellular cytoplasmic compartment have been well characterized.22 The nuclear function(s) of IKK proteins, however, are less well defined. In earlier studies, nuclear IKKα has been found to function in histone H3 phosphorylation.24,25 Although IKKβ has been previously reported to also reside in the cell nucleus, its nuclear function(s) has been unknown.24 Phosphorylation of histone H3 has a major influence on chromatin structure, as histone H3 phosphorylation contributes to “opening” chromatin structure, facilitating the binding of various chromatin remodeling and/or transcription factors that regulate gene expression.42 Our study showed that IKKβ has kinase activity on histone H3 that can be increased through binding to BAFF-R, indicating that BAFF-R also functions in chromatin remodeling mechanism(s) (Figure 5). This finding not only demonstrates an initial nuclear function for IKKβ in NHL-B cells, but also demonstrates at least one element of a mechanism(s) for how BAFF-R signaling regulates normal and neoplastic B-lymphoid cell survival and cell proliferation. Based on our data, BAFF-R likely migrates into nucleus where it enhances histone H3 phosphorylation through interaction with IKKβ, to facilitate transcription factor binding to chromatin and transcription initiation. Furthermore, unlike IKKα, the histone H3 phosphorylation capability of IKKβ appears to be BAFF-R dependent.
Several studies have reported that c-Rel is critical for expression of some antiapoptotic genes, and c-Rel amplification has been observed in NHL-B cells.42-47 In our study, we found that c-Rel interacted with BAFF-R in NHL-B cells by multiple methods including confocal microscopic analysis, immunoprecipitation, and mammalian 2-hybrid system analysis, suggesting BAFF-R and c-Rel form a functional transcriptional complex(es) to regulate the expression of c-Rel target genes (Figure 6B-E). In this study, additional nuclear functions of BAFF-R were sought, showing that BAFF-R also functions in transcriptional activation, which can be mediated and increased by c-Rel, an NF-κB transcription factor component particularly active in B-lymphoid cells46,48 (Figure 6). This finding indicates BAFF-R is capable of functioning both as a growth/survival cell membrane receptor, as well as a transcription factor or cofactor to promote normal or malignant B-cell survival and proliferation. Interestingly, NF-κB–regulated genes have recently been recognized as belonging to distinct groups according to their requirement for chromatin modification as well as transcription factor activation.34,48,49 Our studies suggest that BAFF-R can function in both transcriptional processes.
This finding was further confirmed by ChIP assays that showed BAFF-R protein can bind to c-Rel binding sites in multiple target gene promoters, including its cognate ligand BLyS, and Bcl2 antiapoptotic family members Bcl-xL, Bfl-1/A1, CD40 ligand, CD154, and IL-8 (Figure 6F). Inhibition of BAFF-R nuclear entrance mediated by BAFF-R NLS mutation likely decreases NHL-B-cell proliferation by reducing the expression of the representative c-Rel/BAFF-R complex target genes including BLyS, CD154, Bcl-xL, and Bfl-1/A1 (Figure 6G), indicating that nuclear BAFF-R has an important cellular function in both NHL-B-cell survival and proliferation. Furthermore, other components of BAFF-R/c-Rel binding complex may also include a HMG protein, HMG1 (Figure 6D) that may function as an “architectural” protein in chromatin remodeling/transcription factor signaling module mechanisms.39
This study not only confirms our initial observation that BAFF-R is present in multiple cellular compartments in normal and neoplastic B-lymphoid cells, including the cell nucleus, but also shows that nuclear BAFF-R forms functional protein complexes with c-Rel and IKKβ, which regulate expression of several antiapoptotic and proliferation-associated target genes. These studies provide potential mechanism(s) demonstrating how BLyS/BAFF-R–mediated signaling pathway(s) can promote normal and neoplastic B-cell survival and proliferation. In contrast to the current prevailing model of BAFF-R as exclusively a cell membrane–bound receptor, activating primarily classical growth/survival signaling pathway(s) in B cells, our studies offer an expanded conceptual view of a multifunctional BAFF-R survival signaling pathway, which should contribute to defining a broader role for the BLyS/BAFF-R pathway in neoplastic and normal B-cell growth and survival (Figure 7) from a wider perspective. Our studies also suggest that like its TNF-R family member CD40, BAFF-R is also a multifunctional protein that performs different functions, possibly in multiple structural conformations, in different cellular compartments. The nuclear expression of BAFF-R in NHL-B cells appears to be trimeric, as it is sensitive to β-mercaptoethanol reduction to the apparent monomeric form. This is consistent with the finding that TNFRs, such as CD40, generally are found as dimeric or trimeric forms in their activated plasma membrane and/or cytoplasmic states.50 The mechanism(s) and structural aspects (such as a conformational modification) involved in BAFF-R migration are unknown, but our preliminary studies suggest that BAFF-R enters the cytoplasm from lipid raft complexes in the plasma membrane, and enters into the classic karyopherin pathway that mediates nuclear entry (data not shown). Surprisingly, the BAFF-R/BLyS and CD40/CD154 TNF cytokine family members show similar plasma membrane/nuclear multifunctional activities, resembling in some respects the EGF-R,33 particularly regarding mechanisms relating to of receptor/effector protein migration and transcriptional activation, but specific mechanistic similarities remain to be further delineated.
Schematic model of BLyS/BAFF-R signaling in normal and neoplastic B cells. Our current conceptual hypothesis of how the BLyS/BAFF-R signaling contributes to autonomous cell growth in normal and aggressive NHL-B cells. In this model, BAFF-R located in the plasma membrane of lymphoma cells provides signaling for NF-κB pathway activation upon ligand (BLyS) binding. In the nucleus, BAFF-R associates with IKKβ and promotes histone H3 phosphorylation. BAFF-R, IKKβ, and NF-κB/c-rel form a nuclear complex binding to NF-κB target gene promoters and regulating transcription of these genes.
Schematic model of BLyS/BAFF-R signaling in normal and neoplastic B cells. Our current conceptual hypothesis of how the BLyS/BAFF-R signaling contributes to autonomous cell growth in normal and aggressive NHL-B cells. In this model, BAFF-R located in the plasma membrane of lymphoma cells provides signaling for NF-κB pathway activation upon ligand (BLyS) binding. In the nucleus, BAFF-R associates with IKKβ and promotes histone H3 phosphorylation. BAFF-R, IKKβ, and NF-κB/c-rel form a nuclear complex binding to NF-κB target gene promoters and regulating transcription of these genes.
We have identified nuclear BAFF-R in normal peripheral blood B cells, LBCL and MCL cell lines, as well as limited numbers of patient lymphoma samples. Prospective analysis of larger numbers of patients will be necessary to further confirm the possible pathophysiologic role of these mechanisms in NHL-B. rGelonin-BLyS, a recombinant toxin-BLyS fusion ligand, has been shown to target BAFF-R in LBCL and MCL cell lines.51 Our recent studies indicate that BAFF-R binds rGelonin-BLyS and migrates to the nucleus resulting not only in lymphoma cell apoptosis in vitro, but also in severe combined immunodeficiency (SCID) mouse LBCL xenotransplant models in vivo (M. Rosenblum, R.J.F., et al, manuscript in preparation).
The online version of this article contains a data supplement.
The publication costs of this article were defrayed in part by page charge payment. Therefore, and solely to indicate this fact, this article is hereby marked “advertisement” in accordance with 18 USC section 1734.
Acknowledgments
The monoclonal BAFF-R antibody(9.1) was kindly provided by Genentech. The pBCMGS-BAFF-R and pBCMGS plasmid were kindly provided by Dr Naoya Nakamura (Fukushima Medical University) and Hajime Karasuyama (Tokyo Medical and Dental University, Japan); and the CMV-hc-Rel expression vector was a gift from Dr Celine Gelinas (Center for Advanced Biotechnology and Medicine). We acknowledge the use of the NucleaRDB (www.receptor.org/NR/).
This study was supported by National Cancer Institute (Washington, DC) grant CA-R01-100836 (R.J.F.), Cancer Center (Washington, DC) support grant CA-16672-26 (R.J.F.), a grant from the Farahi Family Foundation, a grant from Lymphoma Research Foundation of America (New York, NY; R.J.F), and a grant from the Leukemia & Lymphoma Society (White Plains, NY; LSS 6087-08). L.V.P. was supported by the Odyssey program and the Kimberly-Clark Foundation Award for Scientific Achievement at The University of Texas M. D. Anderson Cancer Center.
National Institutes of Health
Authorship
Contribution: L.F. designed and performed experiments and wrote the paper; Y.-C.L.-L. and L.V.P. performed experiments; A.T.T. and L.C.Y. helped perform experiments; and R.J.F. supervised the project and wrote the paper.
Conflict-of-interest disclosure: The authors declare no competing financial interests.
Correspondence: Richard J. Ford, Department of Hematopathology, Box 54, The University of Texas M. D. Anderson Cancer Center, 1515 Holcombe Blvd, Houston, TX 77030; e-mail: rford@mdanderson.org.













