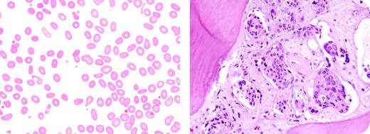
A 46-year-old woman developed mild backache during her usual aerobic exercises. The pain disappeared in several days with an anti-inflammatory drug. She was in her fourth year of follow-up for breast cancer (stage III, ER positive) that was treated with adriamycin and cyclophosphamide followed by tamoxifen.
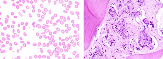
Several weeks after this episode, she visited her oncologist for routine follow-up. Nothing was found on physical examination. However, after the oncologist reviewed the peripheral smear (see left image) and noted red cell deformities, he questioned the woman again about any problems, at which time she recalled the backache.
Laboratory work revealed mild anemia and an elevation of the alkaline phosphatase. A bone scan showed 3 to 4 areas of activity, including the region of the previous backache.
A bone marrow aspirate and biopsy were performed. A section of the marrow (see right image) illustrates numerous foci of extraneous cells, consistent with metastatic adenocarcinoma. Additional tests affirmed the diagnosis of metastatic breast cancer. Her hormone therapy was changed and new chemotherapy was instituted.
In this case, abnormal red cell morphology of the peripheral smear was the clue to the relapse of malignancy.
A 46-year-old woman developed mild backache during her usual aerobic exercises. The pain disappeared in several days with an anti-inflammatory drug. She was in her fourth year of follow-up for breast cancer (stage III, ER positive) that was treated with adriamycin and cyclophosphamide followed by tamoxifen.
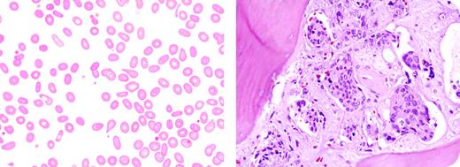
Several weeks after this episode, she visited her oncologist for routine follow-up. Nothing was found on physical examination. However, after the oncologist reviewed the peripheral smear (see left image) and noted red cell deformities, he questioned the woman again about any problems, at which time she recalled the backache.
Laboratory work revealed mild anemia and an elevation of the alkaline phosphatase. A bone scan showed 3 to 4 areas of activity, including the region of the previous backache.
A bone marrow aspirate and biopsy were performed. A section of the marrow (see right image) illustrates numerous foci of extraneous cells, consistent with metastatic adenocarcinoma. Additional tests affirmed the diagnosis of metastatic breast cancer. Her hormone therapy was changed and new chemotherapy was instituted.
In this case, abnormal red cell morphology of the peripheral smear was the clue to the relapse of malignancy.
Many Blood Work images are provided by the ASH IMAGE BANK, a reference and teaching tool that is continually updated with new atlas images and images of case studies. For more information or to contribute to the Image Bank, visit www.ashimagebank.org.

