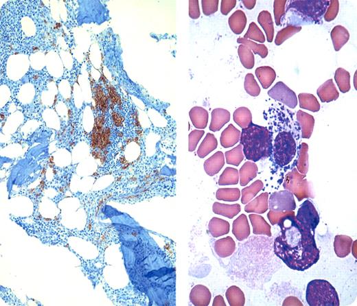
A 35-year-old man had 6 months of intense pruritis accompanying numerous small skin lesions that began in small crops on the chest and trunk and progressively enlarged. They were reddish brown with the largest lesions between 5 to 7 mm. Urticaria and dermographia (Darier sign positive) occurred with trauma. A skin biopsy showed collections of mast cells (CD117+ and CD25+). The bone marrow biopsy (see image on left) had CD117+ mast cell aggregates. The image on the right is a bone marrow aspirate with a partially degranulated mast cell.
Brown pigmented skin lesions associated with mast cells are known as urticaria pigmentosa. In systemic mastocytosis, neoplastic mast cells also accumulate in various internal organs with often devastating consequences. Recently, it has been shown that activating c-Kit mutations can be involved in the pathophysiology of the disorder. Tyrosine kinase inhibitors are a therapeutic consideration. However, the most common c-Kit activating mutation, D816V, is not sensitive to imatinib. Other tyrosine kinase inhibitors and monoclonal antibodies are currently being tested in clinical trials for imatinib-resistant mastocytosis patients.
This patient was diagnosed with systemic mastocytosis with urticaria pigmentosa. Imatinib was administered and, within a few months, there was considerable improvement in the pruritis and appearance of the skin lesions.
A 35-year-old man had 6 months of intense pruritis accompanying numerous small skin lesions that began in small crops on the chest and trunk and progressively enlarged. They were reddish brown with the largest lesions between 5 to 7 mm. Urticaria and dermographia (Darier sign positive) occurred with trauma. A skin biopsy showed collections of mast cells (CD117+ and CD25+). The bone marrow biopsy (see image on left) had CD117+ mast cell aggregates. The image on the right is a bone marrow aspirate with a partially degranulated mast cell.
Brown pigmented skin lesions associated with mast cells are known as urticaria pigmentosa. In systemic mastocytosis, neoplastic mast cells also accumulate in various internal organs with often devastating consequences. Recently, it has been shown that activating c-Kit mutations can be involved in the pathophysiology of the disorder. Tyrosine kinase inhibitors are a therapeutic consideration. However, the most common c-Kit activating mutation, D816V, is not sensitive to imatinib. Other tyrosine kinase inhibitors and monoclonal antibodies are currently being tested in clinical trials for imatinib-resistant mastocytosis patients.
This patient was diagnosed with systemic mastocytosis with urticaria pigmentosa. Imatinib was administered and, within a few months, there was considerable improvement in the pruritis and appearance of the skin lesions.
Many Blood Work images are provided by the ASH IMAGE BANK, a reference and teaching tool that is continually updated with new atlas images and images of case studies. For more information or to contribute to the Image Bank, visit www.ashimagebank.org.
