Abstract
The effect of imatinib mesylate (imatinib) therapy on angiogenesis and myelofibrosis was investigated and compared with interferon (IFN) and hydroxyurea (HU) in 98 patients with newly diagnosed Philadelphia chromosome-positive/BCR-ABL+ (Ph+/BCR-ABL+) chronic myeloid leukemia in first chronic phase and no other pretreatment. By means of immunostaining (CD34) and morphometry, a relationship between microvessel frequency and fiber density was detectable in initial bone marrow (BM) biopsies and sequential examinations after at least 8 months of therapy. First-line monotherapy with imatinib induced a significant reduction (normalization in comparison with controls) of microvessels and reticulin fibers. In most patients, decrease in BM vascularity was associated with a complete cytogenetic response. A significant anti-angiogenic effect was also observed after HU treatment, contrasting with IFN administration or combination regimens (IFN plus HU). In conclusion, our data support the anti-angiogenic capacity of imatinib by normalization of vascularity. In contrast, hematologic response following IFN treatment is independent from BM angiogenesis. (Blood. 2004;103:3549-3551)
Introduction
In contrast to the wealth of data concerning efficacy of the tyrosine kinase inhibitor imatinib mesylate (STI571, also known as imatinib) in chronic myeloid leukemia (CML),1-6 scant knowledge exists about bone marrow (BM) findings. Preliminary results suggest a normalization of erythropoiesis accompanied by a marked reduction of granulocytes and megakaryocytes and a striking regression of fiber content.7,8 Concern has been expressed that cytoreductive pretreatment in the majority of these patients may have caused significant BM changes9 and may therefore obscure the specific imatinib-related effects. Persuasive evidence was provided that the microvascular endothelium within the hematopoietic microenvironment plays a pivotal role as gatekeeper controlling trafficking, differentiation, and homing of stem cells.10 Because imatinib selectively inhibits growth of primitive malignant progenitors,11 reports about increased vascularity in CML12,13 are of particular interest. Recent studies showed that levels of vascular endothelial growth factor (VEGF) expression were reduced in vitro by treatment with imatinib.14,15 In this context, preliminary data on BM biopsies confirmed the drug-related vascular effects.16 However, in this study the frequency of microvessels was determined by crude quantification without focus on architectural features of angiogenesis or long-term changes of therapy. For this purpose, we examined the effect of imatinib induced on BM microvasculature and fiber content in patients without any pretreatment in comparison with other therapeutic regimens.
Study design
Patients
A multicenter evaluation of clinical records and BM biopsies were performed in 98 patients (median age, 43 years) within first chronic phase of Philadelphia chromosome-positive/BCR-ABL+ (Ph+/BCR-ABL+) CML following first-line therapy with imatinib, interferon-α2b (IFN), or hydroxyurea (HU). Eligibility included monotherapy for at least 8 months and a BM sample at diagnosis and at a median interval of 10 to 12 months. For 15 patients, bone marrow examinations at 2 years were available, and 5 patients had sequential trephines after 3 years of therapy. In 14 patients, imatinib was given at a dose of 400 to 600 mg per day, whereas 34 patients received IFN, 31 patients HU, and 19 patients a combination of IFN and HU. From the cohort of patients with first-line imatinib therapy, 10 (71%) had a complete cytogenetic response, contrasting with only 6 patients (18%) from the IFN group and 3 patients (16%) treated with IFN plus HU. Finally, a control group of 25 patients without BM pathology was evaluated.
Morphometry and evaluation
Representative BM trephine biopsies were fixed in formalin, decalcified, and embedded in paraffin wax. According with the results of other investigators,17 immunohistochemistry with CD34+ was applied as the endothelial antigen of choice for a proper identification of microvessels. Staining reaction is very reliable with CD34, although only a few dispersed progenitor cells, which are easily distinguishable from endothelial cells, are costained.18 A blinded double-cross-checked morphometric analysis was performed by 3 independent investigators on biopsies with an artifact-free mean area of 15.4 ± 4.6 mm2 and further checked for accuracy by 2 others. Evaluation of the microvasculature regarded not only the incidence of vessels in a certain section area, but also parameters that more properly reflect functional aspects of blood flow such as luminal width and, especially, tortuosity and branching (shape factor, aspect ratio, maximal length, and form factor). Following Gomori silver impregnation, the density of fibers was determined by the line-intersection count method with the use of an ocular grid. According to this technique, the amount of fibers was expressed as intersections (i's).19 Quantification of these parameters was carried out at × 500 magnification by randomly selecting 50 fields of 3.77 × 10-2 mm2 in each specimen (total BM area of 1.884 mm2 per biopsy). Reference to cellularity (hematopoietic area) was necessary to avoid the erroneous impression of a reduction in the quantity of corresponding vascular structures and fibers following a therapy-related expansion of adipose tissue or interstitial edema. The difference between each patient's pretreatment and posttreatment values was calculated with regard to vascular parameters as well as fiber density (Table 1). Furthermore, the relative incidence of individual changes was evaluated for each treatment group.
Results and discussion
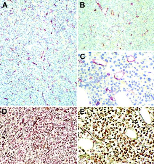
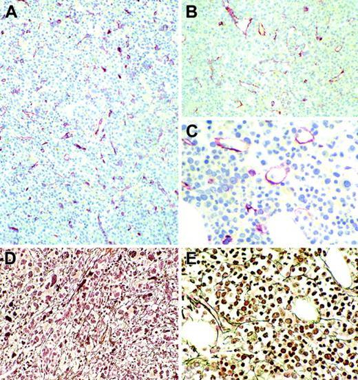
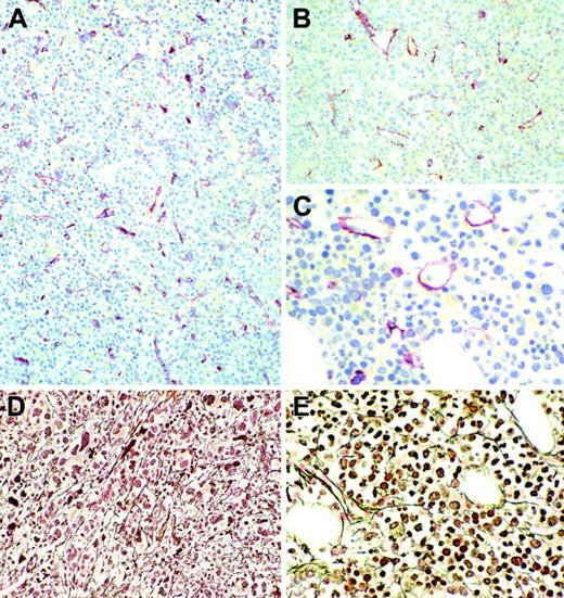
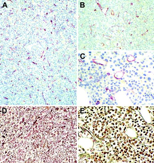
The mean pretreatment value of 126 ± 50 for microvessel density (MVD) in the 98 patients with CML at diagnosis (Figure 1A) contrasted significantly with the healthy control group (76 ± 26). According to the strictly defined treatment modalities, imatinib and HU exerted a relevant impact on BM vascularity by reducing the number of vessels (Figure 1B-C). This conspicuous feature was easily demonstrable by morphometry. On the other hand, IFN or a combination treatment with HU (IFN plus HU) failed to normalize the MVD. Changes in luminal width included a wide range of microvessel area (MVA) in the HU group and after treatment with imatinib. These findings were also associated with an increased vascular roundness and decreased tortuosity of microvessels (Figure 1C). Corresponding with the enhanced MVD, the pretreatment biopsies in all patients showed a mean fiber density of 41.0 ± 25.2, as opposed to a lower value in the controls (16.5 ± 5.3). A decrease in MVD during imatinib and HU therapy was associated with a reversal of myelofibrosis (Figure 1D-E), contrasting with relevant findings after IFN or combination regimens. After 3 months of treatment with imatinib, hematologic remission was observed in all patients, compared with response rates of 76% and 54% within 6 months for the IFN and HU groups, respectively. In most imatinib-treated patients (90%), occurrence of cytogenetic response was correlated with a significant reduction of BM vascularity. Accordingly, patients with complete molecular response revealed a normalization of the MVD. However, in the groups with IFN administration alone or in combination with HU, no significant correlation with the MVD was observed owing to the small number of cytogenetic responses.
Bone marrow angiogenesis and myelofibrosis after first-line imatinib therapy of chronic-phase Ph+/BCR-ABL+CML. (A-C) CD34 immunostaining. (D-E) Gomori silver impregnation. Original magnification, × 180 (A-B,D) and × 380 (C,E). (A) Pretreatment bone marrow biopsies reveal a significantly increased number of microvessels with enhanced tortuosity and branching. (B-C) Following imatinib treatment, a remarkable reduction of vascularity (B) accompanied by increased vascular roundness and decreased tortuosity of microvessels (C) is observable. These findings are generally associated with a reduction of the fiber content and occurrence of cytogenetic response. (D) Pretreatment biopsy. (E) Biopsy 8 months after imatinib treatment.
Bone marrow angiogenesis and myelofibrosis after first-line imatinib therapy of chronic-phase Ph+/BCR-ABL+CML. (A-C) CD34 immunostaining. (D-E) Gomori silver impregnation. Original magnification, × 180 (A-B,D) and × 380 (C,E). (A) Pretreatment bone marrow biopsies reveal a significantly increased number of microvessels with enhanced tortuosity and branching. (B-C) Following imatinib treatment, a remarkable reduction of vascularity (B) accompanied by increased vascular roundness and decreased tortuosity of microvessels (C) is observable. These findings are generally associated with a reduction of the fiber content and occurrence of cytogenetic response. (D) Pretreatment biopsy. (E) Biopsy 8 months after imatinib treatment.
Extending previous studies on angiogenesis, the MVD is not only significantly increased in CML,12,13 but also related to myelofibrosis. These changes following imatinib, but not IFN, therapy have to be discussed by considering the complex interactions of various mediators involved in the remodeling and vascularity of the BM stroma.12,20,21 A significant regression of BM fibrosis together with a marked decrease in megakaryocytes was noted in the majority of patients receiving imatinib.7,8 In contrast to HU, comparable changes were not detectable after IFN treatment.19 It has been convincingly demonstrated that imatinib reduces the BCR-ABL-mediated secretion of VEGF, which is mainly responsible for the angiogenic effects of this drug.15 The significant correlation between number of VEGF+ BM cells and MVD13 was supported by a corresponding decline of VEGF plasma levels in patients with decreased vascularity. Furthermore, in most patients, cytogenetic response was also associated with a reduction of BM vascularity in the imatinib group. Interestingly, despite the putative angiogenic effect of IFN,12 involution of MVD lagged behind the reduction of the neoplastic population. Comparable observations were made by other groups that investigated different hematologic disorders.22 On the other hand, recent data obtained from cultured human endothelial cells produced evidence that HU downregulates endothelial gene expression.23 This pathomechanism might be responsible for the reduced MVD observed in our HU-treated cohort. Since imatinib also targets platelet-derived growth factor receptor activity,14 normalization of vascular structures and fiber density may be also influenced by effects exerted on megakaryopoiesis7,8 by neutralizing its stimulating function on the BM stroma.24
In conclusion, the normalization of BM vascularity detectable during first-line treatment with imatinib is, in most patients, associated with complete cytogenetic response in contrast to IFN therapy.
Prepublished online as Blood First Edition Paper, January 15, 2004; DOI 10.1182/blood-2003-08-2734.
Supported by a grant from Köln Fortune (no. 55/2002).
The publication costs of this article were defrayed in part by page charge payment. Therefore, and solely to indicate this fact, this article is hereby marked “advertisement” in accordance with 18 U.S.C. section 1734.
The authors are greatly indebted to Mrs B. Rosenbach and Mr G. Simons for their excellent technical assistance.

