The development of the tyrosine kinase inhibitor imatinib mesylate has led to rational targeted therapy for chronic myeloid leukemia (CML) and gastrointestinal stromal tumor (GIST) based on inhibition of bcr-abl and altered c-kit. Given its potential to also inhibit the PDGF receptor (PDGFR), imatinib then proved itself effective in CMML harboring translocations involving this kinase (particularly ETV6-PDGFRβ)1 and subsets of GIST lacking c-kit mutations.2 Clinical observations of imatinib response in hypereosinophilic syndrome (HES) led to a search for an inhibited molecular target, now identified as the FIP1L1-PDGFRA fusion tyrosine kinase.3
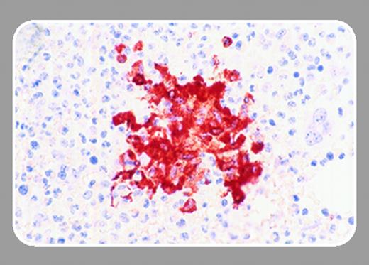
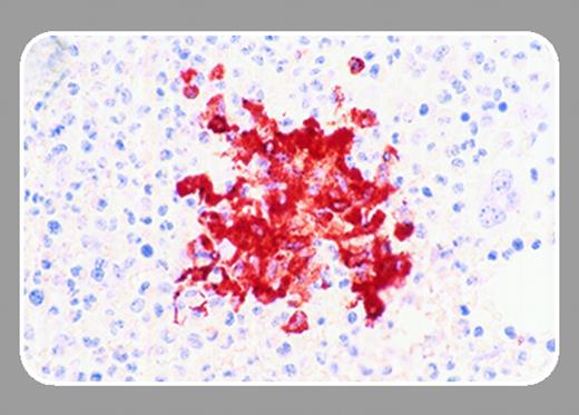
Known to be associated with altered c-kit, systemic mastocytosis (SMCD) was an additional hematologic disorder explored for potential imatinib sensitivity; however, an association with the imatinib-insensitive Asp816Val enzymatic site c-kit mutation made benefit seem less likely.4 Pardanani and colleagues nonetheless recently reported activity of imatinib in a subset of SMCD patients,5 and, in this issue of Blood (page 3093), add another chapter to the story by further defining a subgroup of SMCD patients with eosinophilia (SMCD-eos) harboring a FIP1L1-PDGFRA fusion tyrosine kinase. Loss of fluorescence in situ hybridization of a probe developed against the deleted region on 4q12, cysteine-rich hydrophobic domain 2 (CHIC2), provided surrogate identification of FIP1L1-PDGFRA fusion, and was found in imatinib-sensitive SMCD-eos patients. In one patient, FIP1L1-PDGFRA fusion was confirmed with polymerase chain reaction performed on eosinophil and neutrophil populations. Although common to both HES and SMCD-eos, eosinophilia did not necessarily predict deletion at CHIC2, consistent with this group's prior demonstration of potential for response to imatinib in SMCD without eosinophilia.FIG1
Definitions and treatment of disorders such as those mentioned above will certainly change in the era of targeted therapy and with the ability to identify, through molecular techniques, abnormalities common among divergent diseases. In this case an imperfectly predictive clinical link, eosinophilia, hints at a molecular link, FIP1L1-PDGFRA, now made more easily identifiable and useful in screening for and predicting the response to therapy in SCMD.
Such important links, like the naked eye aided by binoculars, enable us to tell when birds of a feather really do fly together.

