Topics:
leukemia, mast-cell
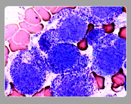
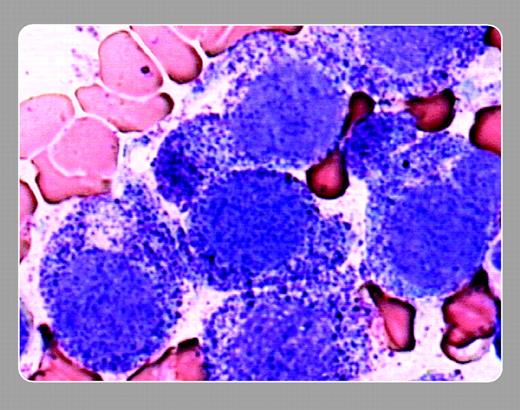
This is a marrow aspirate from a patient with mast cell leukemia where the marrow is replaced by these very atypical mast cells.
THE ASH IMAGE BANK, a reference and teaching tool, is continually updated with new atlas images and images of case studies. For more information or to contribute to the Image Bank, visitwww.ashimagebank.org.
Copyright © 2003 The American Society of Hematology
2003
