An important limitation of standard transgenic assays is that multiple copies of the transgene are inserted randomly into the mouse genome, resulting in line-to-line variation in expression. One way to control for these variables is to target a single copy of the transgene to a defined locus of the mouse genome by homologous recombination. In the present study, we have used such an approach to target the promoters of 2 different genes, namely von Willebrand factor (VWF) and Flt-1, to the hypoxanthine phosphoribosyltransferase (Hprt) gene locus. Consistent with previous findings in standard transgenic animals, we report that the VWF promoter contains information for expression in a subset of endothelial cells in the heart, skeletal muscle, and brain. In contrast, the Flt-1 promoter directs expression in all vascular beds except for the liver. The Flt-1 transgene was active in the endothelium of tumor xenografts, whereas the VWF promoter was not. Under in vitro conditions, conditioned medium from tumor cells resulted in a significant up-regulation of Flt-1 mRNA and promoter activity, but no change in VWF levels. Taken together, these results suggest that (1) Hprt locus targeting is a valuable tool for studying vascular bed–specific gene regulation, (2) the VWF and Flt-1 promoters are regulated by distinct transcriptional mechanisms in the intact endothelium, and (3) tumor angiogenesis results in the differential activation of endothelial cell–specific promoters.
Introduction
At one time, the endothelial lining was considered to be an inert layer, serving to separate flowing blood from underlying tissue. Over ensuing years, it became increasingly appreciated that the endothelium is a highly active organ involved in regulating the trafficking of cells and nutrients, vasomotor tone, and hemostasis.1 What is important to recognize is that the various functions of the endothelium are differentially regulated in time and space, giving rise to endothelial cell heterogeneity and vascular diversity.
Based on our previous work, we proposed a model of endothelial cell gene regulation that emphasizes the critical role of vascular bed–specific signaling pathways.2 Initial support for this model was derived from studies of the von Willebrand factor (VWF) promoter. In multiple independent lines of standard transgenic mice, a small 734-bp fragment of the human promoter was shown to contain information for expression in a subset of endothelial cells within blood vessels of the brain,3 while the inclusion of the additional 5′ flanking sequence as well as the first intron of the gene directed more widespread expression in the microvasculature of the heart and skeletal muscle.4 These results suggested that the VWF gene was regulated in a modular fashion. In other words, overall expression was mediated by the sum of distinct signaling pathways each communicating with different regions of the promoter.
These findings were prototypic of a more generalized phenomenon within the endothelium. For example, we reported that a 1600-bp fragment of the human eNOS promoter contains information for expression in large and small vessels of the brain, heart, and skeletal muscle as well as in the aorta.5 In contrast, a 1200-bp region of the Egr-1 promoter directed expression in the endothelium of the heart and brain of the adult mouse, but not in other vascular beds.6Promoters from the Tie-1,7 Tie-2,8 vascular endothelial-cadherin,9 and human preproendothelin10 genes were similarly shown to direct expression in limited subsets of endothelial cells under in vivo conditions.
An important limitation of the standard transgenic mouse assay is that multiple copies of the transgene are inserted randomly into the mouse genome, often resulting in significant line-to-line variation in expression. To control for these variables, we recently employed homologous recombination to insert a single copy of a transgene into a defined locus of the mouse genome.11,12 In these latter studies, a transgenic cassette containing either the 1600-bp eNOS promoter or the Tie-2 promoter-enhancer coupled to the LacZcDNA was targeted to the hypoxanthine phosphoribosyltransferase (Hprt) locus by homologous recombination. In each case, the promoter retained tissue specificity when integrated into this site. Moreover, the level and pattern of transgene expression was independent of orientation, relative to that of the endogenous Hprt locus.11 Taken together, these results argued against an overriding effect of the surrounding Hprt locus on transgene expression and suggested that the targeting strategy could be employed for rapid throughput screening of endothelial cell–specific promoters.
In the present study, we have extended these observations by targeting the VWF and Flt-1 promoters to the Hprt locus of mice. We show that the VWF and Flt-1 promoters direct expression in different subsets of endothelial cells in embryonic and adult organs as well as in tumor xenografts. This report confirms the results of previous VWF standard transgenic studies. Moreover, it is the first study to demonstrate endothelial cell activity of the Flt-1 promoter in vivo. Finally, the data support the notion that vascular bed–specific gene expression is mediated, at least in part, by signals residing in the extracellular milieu.
Materials and methods
Cell culture and transfections
Human umbilical vein endothelial cells (HUVECs) (Clonetics, San Diego, CA) were cultured in EGM-2 MV complete medium. Normal neonatal human epidermal keratinocytes (NHEK-neos) and renal proximal tubule epithelial cells (RPTECs) were obtained from Clonetics and cultured in KGM-2 and REGM complete medium, respectively. Lewis lung carcinoma cells (ATCC CRL-1642) and B16-F1 melanoma cells (ATCC CRL-6323) were cultured in Dulbecco modified Eagle medium (DMEM) supplemented with 10% heat-inactivated fetal bovine serum (FBS). To isolate conditioned medium, 90% confluent Lewis lung carcinoma, B16-F1, NHEK-neos or RPTECs were washed with phosphate buffered saline (PBS) and then incubated in serum-starved medium (EBM-2 plus 0.5% FBS) for 48 hours. The conditioned medium was recovered from the culture and stored at −70°C. HUVECs were transfected and luciferase activity assayed as previously described.13
Plasmids and targeting vectors
The human Flt-1 promoter luciferase plasmid (pFlt-1-luc) was kindly provided by Lewis T. Williams (Chiron Corporation, Emeryville, CA). To generate the Flt-1-lacZ plasmid, pFlt-1-luc was digested withSpeI and HindIII to release a fragment spanning the region between −748 and +284, then blunt-ended with T4 DNA polymerase and cloned into the pSDK-lacZ-pA vector.3 pVWF-lacZ-2 containing 2182 bp of the human VWF 5′ flanking region, the first exon and the first intron coupled to LacZ, was previously described.4pVWF-luc-2 was prepared by replacing LacZ with firefly luciferase cDNA. To generate the Hprt targeting construct, the Flt-1-lacZ and the VWF-lacZ-2 plasmids were digested with KpnI and ApaI, respectively, blunt-ended with T4 DNA polymerase, and subsequently digested withNotI. The resulting fragments were ligated into thePmeI and NotI sites of the pMPII8 targeting vector.12 This latter vector is a modification of pMP8SKB, which was originally obtained from Sarah Bronson (Penn State College of Medicine).14 For construction of pGEM-hFlt-1 and pGEM-hVWF, a 316-bp human Flt-1 cDNA fragment and a 288-bp human VWF cDNA fragment were amplified from HUVEC total RNA, and subcloned into pGEM-T Easy vector (Promega, Madison, WI). pTRI-hGAPDH was purchased from Ambion (Austin, TX). All constructs were verified by restriction enzyme analysis and automated DNA sequencing.
RNA isolation and RNase protection assays
HUVECs were serum-starved in EBM-2 plus 0.5% FBS for 18 hours. The cells were then incubated with serum-starved medium alone (control) or tumor cell–conditioned medium for an additional 24 hours, at which time they were harvested for total RNA using the Trizol reagent (Invitrogen, Carlsbad, CA). Flt-1 riboprobe was synthesized from pGEM-hFlt-1 with T7 RNA polymerase, whereas VWF riboprobe was synthesized from pGEM-hVWF with SP6 RNA polymerase. RNase protection assays were performed with an RPA III kit (Ambion) according to the manufacturer's instructions. Densitometry was used to calculate the intensity of Flt-1, VWF, and glyceraldehyde phosphate dehydrogenase (GAPDH) signals.
Generation and analysis of Hprt-targeted transgenic mice
The Flt-1 and VWF transgenes were targeted to BK4-ES cells (a generous gift from Sarah Bronson), and homologous recombinants were used to generate Flt-1-lacZ-Hprt or VWF-lacZ-Hprt chimeric mice as previously described.11,12 Chimeric males were bred to C57BL/6 females to obtain agouti offspring. Female agouti offspring were then bred to C57BL/6 males to generate hemizygous male mice. Genotyping was performed by polymerase chain reaction (PCR) analysis or Southern blot analysis of mouse tail genomic DNA. Analysis of embryos and adult tissues was carried out as previously described.3 11LacZ staining of tissues from Flt-1-lacZ-Hprt and VWF-lacZ-Hprt mice was carried out in parallel.
Generation of tumors in mice
Confluent Lewis lung carcinoma and B16-F1 cells were washed with PBS, trypsinized, and collected by brief centrifugation at room temperature. A total of 1.5 × 106 cells was suspended in 100 μL PBS, and the resulting suspension was injected subcutaneously into the right flank of adult Hprt-targeted mice. The tumors were allowed to grow for 14 days (0.25-0.5 cm3), at which time the mice were killed and tumor tissues were harvested forLacZ staining. There were 2 independent Lewis lung carcinoma and 2 independent B16-F1 xenografts analyzed in each of the Flt-1-lacZ-Hprt and VWF-lacZ-Hprt lines.
Results
Generation of Flt-1 and VWF Hprt-targeted mice
In a previous study, a fragment of the human Flt-1 promoter containing DNA sequences between −748 bp and +284 bp, relative to the start site of transcription, was shown to direct high-level expression in cultured endothelial cells.15 To verify whether this region contains information for expression in vivo, we employed homologous recombination to target a single copy of the Flt-1-lacZ transgene to the Hprt locus of mice (Figure1). We obtained a total of 4 recombinant ES cell clones. We used 2 of these to generate chimeric mice. The chimeric males were then bred to C57BL/6 females to obtain germ-line transmission. To date, the mice have been back-crossed for 4 generations. We have previously shown that the human VWF promoter containing the −2182 bp 5′ flanking region and the first exon and intron of the gene directed expression in the microvascular endothelium of the heart and skeletal muscle in standard transgenic mice.4 To determine the reproducibility of these results in the context of the Hprt locus, we generated Hprt-targeted animals with a transgenic cassette containing the same fragment of the VWF promoter coupled to the LacZ reporter gene (VWF-lacZ-2) (Figure 1). We used 2 recombinant ES cell clones to generate chimeric mice. These mice have been back-crossed to C57BL/6 for 5 generations.
Generation of Hprt-targeted Flt-1-lacZand VWF-lacZ transgenic mice.
(A) Schematic representation of the Flt-1-lacZ construct and Hprt locus targeting system. (B) Schematic representation of the VWF-lacZ construct and Hprt locus targeting system. Arrows indicate the transcriptional start sites.
Generation of Hprt-targeted Flt-1-lacZand VWF-lacZ transgenic mice.
(A) Schematic representation of the Flt-1-lacZ construct and Hprt locus targeting system. (B) Schematic representation of the VWF-lacZ construct and Hprt locus targeting system. Arrows indicate the transcriptional start sites.
One theoretical disadvantage of comparing transgene expression across different lines of Hprt-targeted mice is the possible effect of mixed genetic background on promoter activity. In the studies below, we have taken 3 measures to control for this possibility. First, we have analyzed mice that are genetically identical across lines, namely F1 agoutis (50% E129: 50% C57). The major drawback of this strategy is that all targeted mice at the F1 stage are by definition heterozygous females. Therefore, the X-linked transgene is inactivated in one-half of all cells. However, in both the VWF-lacZ-Hprt and Flt-1-lacZ-Hprt lines, the pattern of transgene expression was identical in F1 female agoutis compared with male hemizygous mice from subsequent generations. Second, we have routinely analyzed and compared transgene expression in large numbers of mice (n > 8) from the same generation. In any given line, the expression pattern was consistently identical between littermates and between litters of the same generation. Finally, we have back-crossed the VWF-lacZ-Hprt and Flt-1-lacZ-Hprt lines to wild-type C57 mice for at least 4 generations, with no observable differences in either the pattern or level of transgene expression.
Comparison of Flt-1 and VWF promoter activity in embryos
Heterozygous females were mated with 6- to 8-week-old Flt-1-lacZ-Hprt and VWF-lacZ-Hprt hemizygous males. Embryos were removed and processed for LacZ staining at day E10.5. Whole mounts of Flt-1-lacZ-Hprt embryos revealed uniform staining in the endothelium of superficial vessels, the dorsal aorta, intersomitic vessels, caudal veins, as well as blood vessels of the yolk sac (Figure 2A-B). In whole mount studies of the VWF-lacZ-Hprt embryos, β-galactosidase activity was limited to the telencephalon and head region, and to a lesser extent the umbilical vessels (Figure 2C-D). In contrast, the endogenous VWF gene is more widely expressed in the embryonic vasculature (Coffin et al16 and data not shown). These findings indicate that while DNA sequences between −748 bp and +284 bp of the human Flt-1 gene are sufficient for directing widespread vascular expression in the embryo, additional sequences in the VWF promoter are required to confer authentic expression at this stage of development.
Comparison of Flt-1 and VWF promoter activity in adult mice
To determine the activity of the Flt-1 and VWF transgenes in the postnatal period, we carried out LacZ stains of whole mounts and cryosections from adult organs. In whole mounts of Flt-1-lacZ-Hprt mice, reporter gene activity was detected in large vessels of the brain (Figure3A,C), within the substance of the heart (Figure 3E,G), in blood vessels of the thigh muscle (Figure 3I), diaphragm (Figure 3K), and chest wall (Figure 3M), and in the lung (Figure 3O). Whole mounts of the kidney and spleen, although limited by high background staining, showed a clear increase in LacZ staining in the Flt-1 mice (data not shown). In whole mounts of VWF-lacZ-Hprt organs, β-galactosidase activity was evident in both small and large vessels of the brain (Figure 3B,D), microvessels (and occasional veins) of the heart (Figure3F,H), blood vessels of the thigh muscle (Figure 3J), diaphragm (Figure3L), and chest wall (Figure 3N). In contrast to the Flt-1-lacZ-Hprt mice, there was no detectable expression in whole mounts of the lung, spleen, or kidney (Figure 3P, and data not shown).
Comparative whole mount lacZ staining of E10.5 embryos from Flt-1-lacZ-Hprt and VWF-lacZ-Hprt mice.
Flt-1-lacZ-Hprt embryo (A) and yolk sac (B), and VWF-lacZ-Hprt embryo (C-D) were harvested and processed forLacZ staining in parallel. Arrow indicates the umbilical vessel. Da indicates dorsal aorta; iv, intersomitic vessels; and cv, caudal veins.
Comparative whole mount lacZ staining of E10.5 embryos from Flt-1-lacZ-Hprt and VWF-lacZ-Hprt mice.
Flt-1-lacZ-Hprt embryo (A) and yolk sac (B), and VWF-lacZ-Hprt embryo (C-D) were harvested and processed forLacZ staining in parallel. Arrow indicates the umbilical vessel. Da indicates dorsal aorta; iv, intersomitic vessels; and cv, caudal veins.
Comparative whole mount LacZ staining of adult organs from Flt-1-lacZ-Hprt and VWF-lacZ-Hprt mice.
LacZ staining of the adult organs of both lines was performed in parallel. Left column indicates Flt-1-lacZ-Hprt mice. Right column indicates VWF-lacZ-Hprt mice. Low magnification view of brain (A-B), high magnification of brain (C-D), low magnification of heart (E-F), high magnification of heart (G-H), thigh skeletal muscle (I-J), diaphragm (K-L), chest wall (M-N), and lung (O-P).
Comparative whole mount LacZ staining of adult organs from Flt-1-lacZ-Hprt and VWF-lacZ-Hprt mice.
LacZ staining of the adult organs of both lines was performed in parallel. Left column indicates Flt-1-lacZ-Hprt mice. Right column indicates VWF-lacZ-Hprt mice. Low magnification view of brain (A-B), high magnification of brain (C-D), low magnification of heart (E-F), high magnification of heart (G-H), thigh skeletal muscle (I-J), diaphragm (K-L), chest wall (M-N), and lung (O-P).
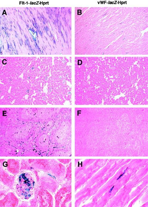
LacZ staining of tissue sections revealed significant differences between the Flt-1-lacZ-Hprt and VWF-lacZ-Hprt lines. In the brain of Flt-1-lacZ-Hprt mice, reporter gene activity was detected in the endothelial lining and smooth muscle cell layer of occasional arteries, whereas the VWF transgene was expressed in the endothelium of a subset of both large and small blood vessels (data not shown). In the heart, Flt-1-lacZ activity was present in the endothelium and smooth muscle cells of occasional large arteries as well as in cardiomyocytes (Figure 4A). In contrast, expression of the VWF transgene was limited to the endothelium of myocardial capillaries and occasional veins (Figure 4B,H showsLacZ-positive capillaries). Both the Flt-1 and VWF promoters directed expression in the microvascular endothelium of skeletal muscle and the thymus (data not shown). In sections of the kidney, β-galactosidase activity was detected in the glomeruli and arterioles in the Flt-1 mice (Figure 4C,G), but was absent in the VWF lines (Figure 4D). Similarly, the Flt-1 promoter, but not the VWF promoter, directed endothelial cell expression in the spleen and lung (Figure 4E-F shows spleen). Interestingly, there was no detectableLacZ expression in livers from either line of mice (data not shown). Finally, reporter gene activity was not detectable in bone marrow aspirates obtained from either the Flt-1 or VWF mice (data not shown).
Comparative LacZ staining of representative sections from Flt-1-lacZ-Hprt and VWF-lacZ-Hprt mice.
LacZ staining of 10 μm tissue sections was performed in parallel. Left column indicates Flt-1-lacZ-Hprt mice. Right column indicates VWF-lacZ-Hprt mice. In Flt-1-lacZ-Hprt hearts, β-galactosidase activity was present in the endothelium and smooth muscle cells of occasional large arteries as well as in cardiomyocytes (A). In VWF-lacZ-Hprt hearts, LacZ expression was detected in the endothelial lining of a subset of capillaries (B,H). Flt-1-lacZ-Hprt mice revealed reporter gene activity in the glomeruli and small arterioles of the kidney (C,G), and in microvessels of the spleen (E). In contrast, the X-Gal reaction product was undetectable in the kidney (D) and spleen (F) of VWF-lacZ-Hprt mice. A-F, × 100 optical magnification; G and H, × 1000 optical magnification.
Comparative LacZ staining of representative sections from Flt-1-lacZ-Hprt and VWF-lacZ-Hprt mice.
LacZ staining of 10 μm tissue sections was performed in parallel. Left column indicates Flt-1-lacZ-Hprt mice. Right column indicates VWF-lacZ-Hprt mice. In Flt-1-lacZ-Hprt hearts, β-galactosidase activity was present in the endothelium and smooth muscle cells of occasional large arteries as well as in cardiomyocytes (A). In VWF-lacZ-Hprt hearts, LacZ expression was detected in the endothelial lining of a subset of capillaries (B,H). Flt-1-lacZ-Hprt mice revealed reporter gene activity in the glomeruli and small arterioles of the kidney (C,G), and in microvessels of the spleen (E). In contrast, the X-Gal reaction product was undetectable in the kidney (D) and spleen (F) of VWF-lacZ-Hprt mice. A-F, × 100 optical magnification; G and H, × 1000 optical magnification.
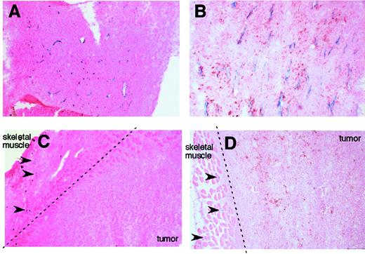
Comparison of Flt-1 and VWF promoter activity in tumor xenografts
The results of recent studies suggest that the expression of the endogenous VWF gene and the VWF promoter in the microvascular bed of the heart is mediated, at least in part, by a platelet-derived growth factor (PDGF)–dependent signaling pathway.17 We were interested in determining whether Flt-1 activity is similarly modulated by the extracellular milieu. Previous studies have demonstrated that the Flt-1 gene is up-regulated in the endothelium of tumor blood vessels.18 Therefore, we employed a tumor xenograft model to study the relationship between tumor angiogenesis and Flt-1 promoter activity. In these experiments, either Lewis lung carcinoma or B16-F1 melanoma cells were injected subcutaneously into Flt-1-lacZ-Hprt and VWF-lacZ-Hprt mice. The resulting tumors were harvested 14 days later and processed side-by-side for LacZ staining. Lewis lung carcinoma and B16-F1 melanoma tumors harvested from Flt-1-lacZ-Hprt lines revealed uniform and strong β-galactosidase activity in the majority of neo-vessels (Figure 5A-B). In contrast, VWF-lacZ-Hprt–derived xenografts failed to stain forLacZ, despite the presence of reporter gene activity within the capillaries of adjacent skeletal muscle (Figure 5C-D). These findings suggest that the Flt-1 and VWF promoters are differentially regulated during tumor angiogenesis.
Conditioned medium from tumor cells induces Flt-1, but not VWF, mRNA, and promoter activity
To determine whether the differential activity of the Flt-1 and VWF transgenes in tumor endothelium could be recapitulated in tissue culture, we incubated serum-starved primary human endothelial cells with tumor cell–conditioned medium. The endothelial cells were harvested 24 hours later for total RNA and assayed for Flt-1 and VWF mRNA expression by RNase protection assays. As shown in Figure6A, incubation of HUVECs with conditioned medium from Lewis lung carcinoma or B16-F1 melanoma cells resulted in a small but statistically significant induction of Flt-1 mRNA levels (2.21- and 1.87-fold, respectively). In contrast, VWF mRNA levels remained unchanged. In the next set of experiments, the Flt-1 or VWF promoters were coupled to the luciferase reporter gene and the resulting plasmids were transiently transfected into HUVECs. The cells were then incubated in the presence or absence of tumor cell–conditioned medium and assayed 24 hours later for luciferase activity. Addition of conditioned medium from either Lewis lung carcinoma or B16-F1 melanoma cells resulted in a significant induction of Flt-1 promoter activity (1.97- and 1.98-fold, respectively;P < .01) (Figure 6B), but no change in VWF promoter activity. To determine whether the effect of conditioned medium on Flt-1 promoter activity was specific to malignant cells and was not simply an artifact of the cell culture system, we incubated the transfected HUVECs with supernatants from primary human keratinocytes and renal epithelial cells. As shown in Figure 6B, Flt-1 activity was not increased under these conditions. Together, these results correlate with the findings in vivo and suggest that differential activation of the Flt-1 promoter in tumor vasculature is governed, at least in part, by tumor cell–derived soluble mediators.
Comparison of Flt-1 and VWF promoter activity in tumor xenografts.
Uniform and strong LacZ staining was detected in Lewis lung carcinoma (A) and B16-F1 melanoma (B) xenografts from Flt-1-lacZ-Hprt mice. In contrast, there was no detectable reporter gene activity in Lewis lung carcinoma (C) and B16-F1 melanoma (D) xenografts from VWF-lacZ-Hprt mice. Arrowheads indicate the X-Gal reaction product in capillaries of adjacent skeletal muscle. Broken lines indicate the border between tumor layer and adjacent skeletal muscle layer. Photographs were taken at × 100 optical magnification. The results are representative of at least 2 independent experiments.
Comparison of Flt-1 and VWF promoter activity in tumor xenografts.
Uniform and strong LacZ staining was detected in Lewis lung carcinoma (A) and B16-F1 melanoma (B) xenografts from Flt-1-lacZ-Hprt mice. In contrast, there was no detectable reporter gene activity in Lewis lung carcinoma (C) and B16-F1 melanoma (D) xenografts from VWF-lacZ-Hprt mice. Arrowheads indicate the X-Gal reaction product in capillaries of adjacent skeletal muscle. Broken lines indicate the border between tumor layer and adjacent skeletal muscle layer. Photographs were taken at × 100 optical magnification. The results are representative of at least 2 independent experiments.
Conditioned medium from tumor cells induces Flt-1, but not VWF, mRNA and promoter activity.
(A) HUVECs were serum-starved and then incubated with or without tumor cell–conditioned medium. In RNase protection assays, an α-[32P] UTP-labeled 413-bp human Flt-1 antisense riboprobe was incubated with 10 μg yeast RNA (lane 1) or total RNA from untreated HUVECs (lane 2), HUVECs treated with conditioned medium from Lewis lung carcinoma (LLC) cells (lane 3), or HUVECs treated with conditioned medium from B16-F1 melanoma cells (lane 4). An α-[32P] UTP-labeled 392 bp human VWF antisense riboprobe was incubated with 10 μg yeast RNA (lane 5) or total RNA from untreated HUVECs (lane 6), HUVECs treated with conditioned medium from Lewis lung carcinoma (LLC) cells (lane 7), or HUVECs treated with conditioned medium from B16-F1 melanoma cells (lane 8). The protected fragments (316-bp hFlt-1 and 288-bp hVWF) represent the human Flt-1 and VWF transcripts, respectively. The upper band in the VWF gel represents undigested probe. An α-[32P] UTP-labeled human GAPDH antisense riboprobe was hybridized with total RNA as an internal control. The results are representative of 2 independent experiments. (B) HUVECs were transiently transfected with Flt-1-luc and VWF-luc-2 then incubated for 24 hours with conditioned medium from Lewis lung carcinoma, B16-F1 melanoma, NHEK-neos, or RPTECs. The results show the means and standard deviations of luciferase light units (relative to untreated cells) obtained in triplicate from 3 independent experiments.
Conditioned medium from tumor cells induces Flt-1, but not VWF, mRNA and promoter activity.
(A) HUVECs were serum-starved and then incubated with or without tumor cell–conditioned medium. In RNase protection assays, an α-[32P] UTP-labeled 413-bp human Flt-1 antisense riboprobe was incubated with 10 μg yeast RNA (lane 1) or total RNA from untreated HUVECs (lane 2), HUVECs treated with conditioned medium from Lewis lung carcinoma (LLC) cells (lane 3), or HUVECs treated with conditioned medium from B16-F1 melanoma cells (lane 4). An α-[32P] UTP-labeled 392 bp human VWF antisense riboprobe was incubated with 10 μg yeast RNA (lane 5) or total RNA from untreated HUVECs (lane 6), HUVECs treated with conditioned medium from Lewis lung carcinoma (LLC) cells (lane 7), or HUVECs treated with conditioned medium from B16-F1 melanoma cells (lane 8). The protected fragments (316-bp hFlt-1 and 288-bp hVWF) represent the human Flt-1 and VWF transcripts, respectively. The upper band in the VWF gel represents undigested probe. An α-[32P] UTP-labeled human GAPDH antisense riboprobe was hybridized with total RNA as an internal control. The results are representative of 2 independent experiments. (B) HUVECs were transiently transfected with Flt-1-luc and VWF-luc-2 then incubated for 24 hours with conditioned medium from Lewis lung carcinoma, B16-F1 melanoma, NHEK-neos, or RPTECs. The results show the means and standard deviations of luciferase light units (relative to untreated cells) obtained in triplicate from 3 independent experiments.
Discussion
Based on the results of standard transgenic mouse assays, we previously proposed a model of endothelial cell gene regulation which emphasized the critical role of vascular bed–specific signaling pathways that begin in the extracellular environment and end at the level of the promoter.2 However, these studies were limited by the unpredictable effect of copy number and integration site on promoter activity. In the present study, we have employed a gene targeting strategy to control for these variables. We have shown that when integrated into the same genomic locus, promoters from 2 different genes, VWF and Flt-1, contain information for expression in different subsets of endothelial cells. These data add strong support to our model of modular endothelial cell–specific gene regulation.
Particularly reassuring was the observation that the Hprt-targeted VWF transgene directed expression in the same vascular beds as previously reported for the standard transgenic mice, namely the heart, skeletal muscle, and brain.4 The only difference observed between the Hprt-targeted and standard transgenic animals was the presence of β-galactosidase activity in occasional veins of the heart and skeletal muscle in the former lines. The Hprt locus targeting strategy should provide a powerful means for high throughput screening of vascular bed–specific promoter elements. Indeed, we are currently generating mice with various 5′ and internal deletions of the VWF promoter. Offspring will be analyzed for a reduction or loss of reporter gene activity in the endothelium of the heart, skeletal muscle, and/or brain.
The limited distribution of β-galactosidase activity in the VWF-lacZ-Hprt mice contrasts with the more widespread expression of the endogenous VWF gene. In adult mice, VWF transcripts are detectable in most organs, including the heart, lung, liver, spleen, skeletal muscle, and brain.19 The discordance between transgene and endogenous gene activity does not appear to be explained by interspecies differences, since the mouse VWF promoter directs expression in the same restricted subset of endothelial cells in vivo.20 Rather, our results imply that additional promoter elements, upstream and/or downstream of the current VWF fragment, are necessary for directing more widespread and authentic expression of the gene in other vascular beds as well as in megakaryocytes. Further studies will be required to identify these promoter regions.
Vascular endothelial growth factor (VEGF) exerts its biologic functions through 2 endothelial cell–specific affinity tyrosine kinase receptors, Flt-1 and KDR/Flk-1.21,22 The role of Flt-1 in the endothelium is not well understood. Mice that are null for Flt-1 die before birth and are associated with abnormal, disorganized blood vessels.23 However, mice that lack the tyrosine kinase domain of Flt-1 show normal development, arguing against a critical role for Flt-1 signaling in the endothelium.24 The human Flt-1 promoter has been previously cloned and characterized under in vitro conditions. A 1-kb fragment of the 5′ flanking region of the human Flt-1 promoter was shown to direct endothelial cell–specific expression in transient transfection assays.15 Moreover, when stably transfected into ES cells, a 2.2-kb fragment of the mouse promoter was reported to direct endothelial cell–specific expression in embryoid bodies.25 The immediate upstream promoter of the human Flt-1 gene contains 5 Ets-binding motifs, 2 GC boxes, and a cAMP response element (CRE).26 In a previous study, Flt-1 expression was shown to be mediated by a cooperative interaction between the CRE at −83 and an Ets motif at −54, relative to the start site of transcription.27 Finally, an Egr-1 binding site in the Flt-1 promoter has been implicated in the response to vascular injury.28
This study is the first to identify a fragment of the Flt-1 promoter that directs expression in the intact endothelium. Mice targeted with the Flt-1-lacZ construct expressed the transgene in virtually every vascular bed with the notable exception of the liver. The endogenous Flt-1 gene is normally expressed in the vasculature of the liver,29,30 suggesting that additional promoter elements are required for expression in this vascular bed. In most organs, β-galactosidase activity was detected in the endothelium of a subset of veins, arteries, and capillaries. Flt-1-lacZexpression was more uniform in the microvascular beds of the thymus, kidney, and spleen. The Flt-1 promoter also directed expression in occasional vascular smooth muscle cells in the arteries of the heart and brain. The latter finding is consistent with previous reports of endogenous Flt-1 expression in smooth muscle cells in vivo.31 The finding of β-galactosidase activity in cardiomyocytes contrasts with the absence of detectable Flt-1 in this cell type,32 suggesting that the transgene is ectopically expressed in the heart.
Previous studies have demonstrated increased expression of Flt-1 and Flk-1 in tumor endothelium.18,33-36 Moreover, in standard transgenic studies, an Flk-1 promoter containing 939 bp in combination with intronic enhancer sequences was shown to direct expression in the vascular beds of experimental melanoma, fibrosarcoma, and mammary adenocarcinoma.37 Our results suggest that like the Flk-1 transgene, the Flt-1 promoter also contains information for expression in the neovasculature of tumor xenografts. In contrast, the VWF promoter was not active in this vascular bed. Despite parallels in expression between the Flk-1 and Flt-1 transgenes in tumor endothelium, the promoter sequences from these 2 genes share few similarities.38 39 Therefore, it seems likely that the effect is mediated by different transcriptional control mechanisms.
There is little knowledge about the signaling pathways that induce the expression of Flt-1 and/or Flk-1 in tumor microvessels. In a recent study, the addition of tumor cell–conditioned medium or VEGF to HUVECs resulted in reduced cell surface expression of Flt-1, but increased Flt-1 mRNA.40 These latter effects were abrogated by preincubation with anti-VEGF antibodies.40 Indeed, other studies have shown that VEGF induces Flt-1 expression in endothelial cells.41 In addition, hypoxia has been shown to induce the expression of Flt-1 in cultured endothelial cells.42 The results of the present study support a role for one or more tumor cell–derived soluble mediator(s) in mediating the up-regulation of Flt-1 expression during tumor angiogenesis. Further studies will be required to identify the nature of these signals. It is noteworthy that tumor endothelial cells have been shown to express increased levels of Ets-1.43 44 These observations suggest that the Ets motif at −54 may play a critical role in mediating expression of Flt-1 during tumor angiogenesis. This hypothesis will be readily testable by introducing a mutation in the Ets site of Flt-1-lacZ and targeting the resulting construct to the Hprt locus of mice.
The differences in expression pattern between single-copy transgenes that have been targeted to a defined locus of the genome clearly point to the existence of vascular bed–specific transcriptional networks. Indeed, the results of the present study add to a growing list of Hprt-targeted endothelial cell–specific transgenes that now include VWF, Flt, eNOS,11 and 2 different fragments of the Tie-2 promoter.12 As summarized in Table1, each of the promoters directs expression in a unique subset of endothelial cells or blood vessel types. We conclude that the various DNA sequences represent novel molecular markers for endothelial cell heterogeneity. An important goal for future studies will be to elucidate promoter elements that mediate expression in different types of endothelial cells and to determine the extent to which these regions are responsive to extracellular or microenvironmental signals.
We are grateful to Sarah Bronson for providing us with reagents for Hprt locus targeting. We acknowledge Jason Guan for technical help.
Prepublished online as Blood First Edition Paper, August 1, 2002; DOI 10.1182/blood-2002-03-0955.
Supported by National Institutes of Health grants HL 60585-04, HL 63609-02, and HL 65216-03.
The publication costs of this article were defrayed in part by page charge payment. Therefore, and solely to indicate this fact, this article is hereby marked “advertisement” in accordance with 18 U.S.C. section 1734.
References
Author notes
William C. Aird, Beth Israel Deaconess Medical Center, Molecular Medicine, RW-663, 330 Brookline Ave, Boston, MA 02215; e-mail: waird@caregroup.harvard.edu.





![Fig. 6. Conditioned medium from tumor cells induces Flt-1, but not VWF, mRNA and promoter activity. / (A) HUVECs were serum-starved and then incubated with or without tumor cell–conditioned medium. In RNase protection assays, an α-[32P] UTP-labeled 413-bp human Flt-1 antisense riboprobe was incubated with 10 μg yeast RNA (lane 1) or total RNA from untreated HUVECs (lane 2), HUVECs treated with conditioned medium from Lewis lung carcinoma (LLC) cells (lane 3), or HUVECs treated with conditioned medium from B16-F1 melanoma cells (lane 4). An α-[32P] UTP-labeled 392 bp human VWF antisense riboprobe was incubated with 10 μg yeast RNA (lane 5) or total RNA from untreated HUVECs (lane 6), HUVECs treated with conditioned medium from Lewis lung carcinoma (LLC) cells (lane 7), or HUVECs treated with conditioned medium from B16-F1 melanoma cells (lane 8). The protected fragments (316-bp hFlt-1 and 288-bp hVWF) represent the human Flt-1 and VWF transcripts, respectively. The upper band in the VWF gel represents undigested probe. An α-[32P] UTP-labeled human GAPDH antisense riboprobe was hybridized with total RNA as an internal control. The results are representative of 2 independent experiments. (B) HUVECs were transiently transfected with Flt-1-luc and VWF-luc-2 then incubated for 24 hours with conditioned medium from Lewis lung carcinoma, B16-F1 melanoma, NHEK-neos, or RPTECs. The results show the means and standard deviations of luciferase light units (relative to untreated cells) obtained in triplicate from 3 independent experiments.](https://ash.silverchair-cdn.com/ash/content_public/journal/blood/100/12/10.1182_blood-2002-03-0955/5/m_h82323481006.jpeg?Expires=1767874234&Signature=xmSkCJvJ3d57TWng09nXBmAo8yXVXi20nluXZYvTBpVpnD5pAx~jXvJEVXGmyStit87Mmpu4ekZOtooogJzVguBUoW7i9S7SDLOTavuRaXT5X0jSa2BnQlIdLLnsNE4NVxcdgE8SWFGvOvNNL5bB6omlt-POMii~YYVtrGCB3SwhunHr8jjIF9BmS9svD-EA4MLn62QOpVMRLwI0RtbCXSOxzF8texLCYmxzOCfPaFbxkdvgny1oO8dlhHv5x2rUJmU6H0IDUT6Mw7mHiIn0FwP-sfluEstMYVlnvzJBM1F6g9bw7zCMa-~lbP5kQkfKnKVW7fve9AnCT~dJRSRNbA__&Key-Pair-Id=APKAIE5G5CRDK6RD3PGA)





![Fig. 6. Conditioned medium from tumor cells induces Flt-1, but not VWF, mRNA and promoter activity. / (A) HUVECs were serum-starved and then incubated with or without tumor cell–conditioned medium. In RNase protection assays, an α-[32P] UTP-labeled 413-bp human Flt-1 antisense riboprobe was incubated with 10 μg yeast RNA (lane 1) or total RNA from untreated HUVECs (lane 2), HUVECs treated with conditioned medium from Lewis lung carcinoma (LLC) cells (lane 3), or HUVECs treated with conditioned medium from B16-F1 melanoma cells (lane 4). An α-[32P] UTP-labeled 392 bp human VWF antisense riboprobe was incubated with 10 μg yeast RNA (lane 5) or total RNA from untreated HUVECs (lane 6), HUVECs treated with conditioned medium from Lewis lung carcinoma (LLC) cells (lane 7), or HUVECs treated with conditioned medium from B16-F1 melanoma cells (lane 8). The protected fragments (316-bp hFlt-1 and 288-bp hVWF) represent the human Flt-1 and VWF transcripts, respectively. The upper band in the VWF gel represents undigested probe. An α-[32P] UTP-labeled human GAPDH antisense riboprobe was hybridized with total RNA as an internal control. The results are representative of 2 independent experiments. (B) HUVECs were transiently transfected with Flt-1-luc and VWF-luc-2 then incubated for 24 hours with conditioned medium from Lewis lung carcinoma, B16-F1 melanoma, NHEK-neos, or RPTECs. The results show the means and standard deviations of luciferase light units (relative to untreated cells) obtained in triplicate from 3 independent experiments.](https://ash.silverchair-cdn.com/ash/content_public/journal/blood/100/12/10.1182_blood-2002-03-0955/5/m_h82323481006.jpeg?Expires=1768170924&Signature=oZ6zF~y1yuxk~Vfbp4nvbqTAL7hTrUSw74UaImoLF5rzT39zpnsvDOhTPbC6I28TIiT3eEk7-TeU55u5ynXuD0gWvtJnlfvZMuyjmAi8PWwaU7iUuyL-U53lN017KSvoiPXJ6HqbX8odWNeyJNsZjgY41s7Y3~pgdtyRN0UDlij620jAuR~5sy8OBkWS0MFhf2zGFIFa30g59JoqSp4BLGXH4kA~y2fQVXgxa1riyX1ZomR6XkeeDGUHs6PeqEteNJz1DM6Ldg2RaubUJ12sbYuRxh1yodgAYAkbSrjWTC~jZVdZsGZA~rzXcVWiJMdR9BDcy0BT3tOe1VizD6OZFA__&Key-Pair-Id=APKAIE5G5CRDK6RD3PGA)