Abstract
A hyperdiploid karyotype is found in 30% of B-cell precursor acute lymphoblastic leukemias in childhood. The time of nondisjunction of chromosomes leading to hyperdiploidy during leukemogenesis is unknown. We used the 3 clonotypic immunoglobulin heavy chain (IgH) gene rearrangements as molecular markers for each of the 3 chromosomes 14 in a case with hyperdiploid acute lymphoblastic leukemia to define the order of events—namely, somatic recombination and nondisjunction of chromosomes—during leukemia development. A partial sequence homology of the incomplete DJH rearrangement with 1 of the 2 nonfunctional VDJH rearrangements suggests that the doubling of chromosomes had occurred after this DJHrearrangement and thus during early B-cell differentiation. The occurrence of the nondisjunction of chromosomes as well as ongoing rearrangement processes in utero were confirmed by the presence of all 3 IgH rearrangements in neonatal blood spots, providing the first evidence that hyperdiploidy formation is an early event in leukemogenesis in these leukemias.
Introduction
A hyperdiploid karyotype is detected in about 30% of childhood B-cell precursor (BCP) acute lymphoblastic leukemia (ALL) and is usually associated with low-risk features and good prognosis.1 Among these leukemias, the group with more than 50 chromosomes has a nonrandom pattern of chromosomal gain. There is evidence that the hyperdiploid karyotype arises by a simultaneous gain of multiple chromosomes from a diploid karyotype during a single abnormal cell division.2
One of the frequently doubled chromosomes is chromosome 14, which is commonly present in 3 but sometimes also in 4 copies in hyperdiploid BCP ALL.3 On this chromosome the immunoglobulin heavy chain (IgH) genes are located. Following their somatic recombination they can be used as clonal markers in B-lineage leukemias.4,5 During normal B-cell development, IgH is the first antigen receptor gene that is rearranged, joining first a DH to a JH segment on both alleles, followed by a VH to DJH rearrangement on one of these alleles. If this latter recombination is not productive, the other incomplete rearrangement undergoes further recombination.6,7 The somatic recombination of IgH genes in childhood BCP ALL follows the normal B-cell development, but most of the clonotypic IgH rearrangements are not productive, which suggests that a first transforming event has occurred in a very immature cell.4,5 These IgH rearrangements can be used as clonal markers to investigate the time of nondisjunction of chromosomes 14 in hyperdiploid BCP ALL, if the rearrangements of each of the 3 IgH genes are unique. This may occur if one chromosome 14 duplicates before its respective IgH rearrangement or a rearrangement continues to rearrange after formation of hyperdiploidy. In line with these considerations are the results from a recent report showing that a subgroup of hyperdiploid ALL has 3 IgH rearrangements, while another subgroup has 2 rearrangements.5 These data support the assumption that nondisjunction of chromosomes can occur before or after the initiation of IgH recombination, respectively. We therefore selected a hyperdiploid BCP ALL with 3 chromosomes 14 and 3 IgH gene rearrangements to investigate whether the nondisjunction had occurred before or after the IgH rearrangements. Moreover, neonatal blood spots were investigated for the presence of the leukemia clone–specific IgH rearrangements. We thereby provide the first evidence that nondisjunction leading to hyperdiploid BCP ALL in young children is an event early in B-cell differentiation during leukemogenesis in utero.
Patient, materials, and methods
Patient
We selected one hyperdiploid BCP ALL (CD10+, CD19+, cμ−) case with a trisomy 14 and 3 IgH rearrangements, a 2.6-year-old boy. Hyperdiploidy was identified by routine cytogenetics in bone marrow cells at diagnosis. The presence of trisomy 14 was confirmed by fluorescence in situ hybridization in 76% of cultured interphase cells. The study was approved by the ethics committee of the Children's Cancer Research Institute, St Anna Kinderspital, and informed consent was obtained from the parents.
DNA preparation from fresh cells and Guthrie cards
High molecular weight DNA was extracted by proteinase K digestion followed by phenol chloroform extraction. Guthrie spots were routinely cut into 3 pieces, and DNA was extracted from each piece separately at different occasions. DNA from Guthrie cards was extracted using the DNAzol kit (Vienna Labs, Vienna, Austria) as described previously.8 Integrity of the DNA was confirmed by amplification of the exon 16 of the RETproto-oncogene.8
Single-cell sorts
Single leukemic cells were sorted on a FACStar Plus (BD Bioscience, San Jose, CA) using the light scatter profile of the mononuclear cells from bone marrow at diagnosis, which contained more than 95% blasts. Cells were sorted in a 200-μL Eppendorf tube containing 20 μL 1 × buffer and stored at −20°C until further use.
Determination of leukemia clone–specific IgH gene rearrangements
Polymerase chain reaction (PCR) amplification of incomplete and complete IgH rearrangements was performed using family-specific DH and VH primers, respectively, and one JH consensus primer, as described previously.9Amplified products were directly sequenced in both directions, and involved gene segments were identified by BLAST sequence similarity searches and by comparison with published sequences of all known human Ig genes (http://www.ebi.ac.uk).
Clone-specific PCR
A first-round PCR was performed using DH3 and VH3 family-specific primers as described above. One microliter of a 1:20 dilution of the first-round 50 μL PCR reaction was used for a second-round nested PCR. For the DH3-22/J5 rearrangement, the primers were positioned into the intron region 5′ of the DH3-22 segment overlapping the 3′ end of the DH3 primer to avoid coamplification of the VH3/DH3-22/J5 rearrangement. For the 2 different complete rearrangements, 3′ primers were designed homologous to the individual VND regions and amplified with internal VH3 specific primers, respectively. PCR products were size-separated on agarose and polyacrylamide gels and visualized by ethidium bromide staining. Precautions to avoid contamination with amplified material were followed as previously described.8Amplifications were performed on a PTC 300 Thermocycler (Techne, Cambridge, United Kingdom). All PCR products of the expected size were directly sequenced after gel purification using QIAEX II Gel Extraction kit (Qiagen, Valencia, CA).
Results and discussion
The hyperdiploid leukemia with a trisomy 14 selected for our study has 3 different nonfunctional IgH rearrangements (Table1). It can be assumed that each of these IgH rearrangements is located on a different chromosome 14. To confirm that all 3 alleles are contained within a single leukemia clone, we sorted individual leukemic cells and performed the clone-specific nested PCR for each IgH rearrangement in 10 sorted cells each. We obtained PCR products of the expected size for rearrangements A, B, and C in 9, 10, and 7 cells, respectively (Figure1). Sequencing of these obtained amplicons revealed the respective rearrangements, thus confirming monoclonality of the leukemia. Two of these rearrangements—the incomplete DJH and one of the complete VDJHrearrangements—were found to have homologous DJH joinings (Table 1). Thus, the chromosome harboring the original DJHrearrangement must have duplicated before the subsequent joining of a VH segment to one of these incomplete rearrangements.10 These findings suggest that an incomplete DJH rearrangement on one allele and presumably a nonfunctional VDJH rearrangement on the second allele were present in the diploid cell before mitosis, leading to the assumption that the nondisjunction of chromosome 14 is an early event in B-cell differentiation. Whereas in mice clonal expansion at an early stage of B-cell development does not require pre–B-cell receptor formation,11 IgH expression is a prerequisite for initiating early cell division in normal B lymphocytes in humans.7 Thus, an earlier transforming event—preceding the abnormal mitosis—was necessary for this diploid cell to enter the cell cycle.
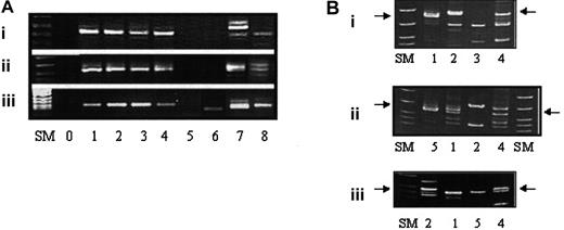
Analysis of leukemia-specific IgH rearrangements in single leukemic cells and neonatal blood spots of a patient with hyperdiploid ALL.
A 2-round nested clone-specific PCR was performed, and products were size fractionated on 2.5% agarose (A) or 4% to 12% polyacrylamide gels (B). (Ai) DH3-22/J5 rearrangement of 224 base pairs; (Aii) VH3/DH3-22/J5 rearrangement of 169 base pairs; and (Aiii) VH3/DH2-22/J4 rearrangement of 125 base pairs. (A) SM size marker VIII (Roche, Mannheim, Germany), lane 0, no DNA; lanes 1 to 5, dilutions of leukemic cell DNA into peripheral blood DNA 10−2 to 10−6; lane 6, DNA from control Guthrie card; lane 7, DNA from the patient's Guthrie card; lane 8, PCR product from a representative single cell. (B) SM size marker, lane 1, peripheral blood DNA from healthy donors; lane 2, DNA from the patient's Guthrie card; lane 3, DNA from control Guthrie card; lane 4, single leukemia cell; lane 5, dilution of DNA from leukemic cells into peripheral blood DNA 10−5. Arrows indicate the size of specific PCR products. Sequencing of all PCR products of the expected size confirmed identity with the original rearrangements. These data were reproduced in a second experiment (data not shown).
Analysis of leukemia-specific IgH rearrangements in single leukemic cells and neonatal blood spots of a patient with hyperdiploid ALL.
A 2-round nested clone-specific PCR was performed, and products were size fractionated on 2.5% agarose (A) or 4% to 12% polyacrylamide gels (B). (Ai) DH3-22/J5 rearrangement of 224 base pairs; (Aii) VH3/DH3-22/J5 rearrangement of 169 base pairs; and (Aiii) VH3/DH2-22/J4 rearrangement of 125 base pairs. (A) SM size marker VIII (Roche, Mannheim, Germany), lane 0, no DNA; lanes 1 to 5, dilutions of leukemic cell DNA into peripheral blood DNA 10−2 to 10−6; lane 6, DNA from control Guthrie card; lane 7, DNA from the patient's Guthrie card; lane 8, PCR product from a representative single cell. (B) SM size marker, lane 1, peripheral blood DNA from healthy donors; lane 2, DNA from the patient's Guthrie card; lane 3, DNA from control Guthrie card; lane 4, single leukemia cell; lane 5, dilution of DNA from leukemic cells into peripheral blood DNA 10−5. Arrows indicate the size of specific PCR products. Sequencing of all PCR products of the expected size confirmed identity with the original rearrangements. These data were reproduced in a second experiment (data not shown).
We and others have shown the prenatal origin of leukemia-specific chromosomal translocations in children with ALL by retrospective evaluation of neonatal blood spots.8,12,13 Using this source of the earliest available hematopoietic cells in this patient for the retrospective analysis of clonotypic IgH rearrangements, we addressed the question of whether nondisjunction leading to hyperdiploidy had occurred prenatally. Indeed, all 3 rearrangements were present already at birth (Figure 1), indicating that doubling of chromosome 14 as well as the ongoing rearrangement processes occur early during leukemogenesis, while the leukemia became clinically apparent only 2.6 years later. Because it was shown that hyperdiploidy results from one single abnormal mitosis, nondisjunction of chromosome 14 is likely to concur with that of the other multiplied chromosomes present in a hyperdiploid leukemia.2 However, the causes for nondisjunction as well as the impact of hyperdiploidy on leukemia development still remain elusive.14
Prepublished online as Blood First Edition Paper, [April 17, 2002]; DOI 10.1182/blood-2002- 01-0144.
Supported by a grant from the Österreichische Nationalbank Jubiläumsfonds no. 8438 to E.R.P.-G. and from the “Österreichische Kinderkrebshilfe.”
The publication costs of this article were defrayed in part by page charge payment. Therefore, and solely to indicate this fact, this article is hereby marked “advertisement” in accordance with 18 U.S.C. section 1734.
References
Author notes
E. Renate Panzer-Grümayer, CCRI, St Anna Kinderspital, Kinderspitalg.6, A-1090 Vienna, Austria; e-mail:panzer@ccri.univie.ac.at.
