Protein tyrosine phosphatases (PTP) regulate the proliferation, differentiation, and viability of lymphocytes by modulating their signaling pathways. By using the differential display assay, we have cloned a putative receptor-type PTP, which is predominantly expressed in B-lymphoid tissues (lymph nodes and spleen). This PTP, termed PTPROt (truncated), is a tissue-specific alternatively-spliced form of a human epithelial PTP, PTPRO (PTPU2/GLEPP1). Whereas the epithelial PTPRO includes an ≈800-amino acid extracellular domain, the major (3 kb) PTPROt cDNA predicts a unique 5′ untranslated region and truncated (8 amino acids) extracellular domain with a conserved transmembrane region and single catalytic domain. PTPROt cDNAs encode functional ∼47-kD and ∼43-kD PTPs, which are most abundant in normal naive quiescent B cells and decreased or absent in germinal center B cells and germinal center-derived diffuse large B-cell lymphomas. Because PTPROt was predominantly expressed in naive quiescent B cells, the enzyme’s effects on cell-cycle progression were examined. When multiple stable PTPROt sense, antisense, and vector only B-cell transfectants were grown in reduced serum and synchronized with nocodazole, PTPROt sense clones exhibited markedly increased G0/G1 arrest. Taken together, these data implicate PTPROt in the growth control of specific B-cell subpopulations.
THE DEVELOPMENT and function of the immune system are precisely regulated to guarantee the generation of protective immune responses while avoiding autoimmunity. This is accomplished by the engagement of cell-surface receptors, which transduce signals to intracellular pathways controlling cell differentiation, proliferation, and survival. These signaling pathways depend on the tyrosyl phosphorylation of specific cellular proteins.1 Consequences of aberrant lymphoid tyrosyl phosphorylation include immunodeficiency, autoimmunity, and/or neoplasia.1
Protein tyrosine phosphatases (PTPs) regulate both the amplitude and timing of tyrosine phosphorylation-based signaling events and modulate protein tyrosine kinase-mediated cellular responses.2Because tyrosyl phosphorylation pathways regulate lymphocyte growth, viability, and effector function, PTPs play critical roles in lymphoid biology.1
By using the technique of differential display,3 we have identified a tissue-specific lymphoid PTP that is expressed by normal naive B cells but is decreased or absent in normal germinal center B cells and lymphomas derived from the germinal center. This lymphoid PTP is a putative receptor-type PTP (RPTP) and an alternatively spliced form of a previously characterized epithelial enzyme (PTP-U2/GLEPP, renamed PTPRO by the Human Gene Nomenclature Committee of the Human Genome Organization [www.gene.ucl.ac.uk/nomenclature]). The full-length (≈5.4 kb) epithelial PTPRO cDNA encodes an RPTP with a single intracellular catalytic domain, a transmembrane region and an extended extracellular domain containing 8 repeats of fibronectin type III-like motifs.4 5
Preliminary analyses of multiple human, rabbit, and murine tissues indicate that alternatively spliced PTPRO transcripts are expressed in a tissue-specific manner.4-8 The previously characterized full-length (≈5.4 kb) PTPRO transcript is primarily expressed in the kidney and brain.4,5 Additional ≈2.9-kb murine and ≈3.5-kb rabbit PTPRO-related transcripts encode macrophage and osteoclast enzymes (PTPØ and PTP-oc) with similar incompletely characterized truncated extracellular domains.7 8 Herein, we identify the alternatively spliced B-lymphoid PTPRO as the human homologue of murine PTPØ and elucidate the structure of the enzyme’s truncated extracellular domain and unique 5′ untranslated region. More importantly, we evaluate the enzyme’s expression in well-defined normal B-cell subpopulations and show that this PTP, termed PTPROt (truncated), is developmentally regulated and implicated in G0/G1 arrest.
MATERIALS AND METHODS
Cell Lines, Normal B Cells, and Primary Tumor Specimens
Cell lines.
Human diffuse large B-cell lymphoma (DLB-CL) cell lines, DHL-4, DHL-7, DHL-8, DHL-10, and HT, the small cell lung cancer cell line NCIH345, and the Epstein-Barr virus (EBV)-transformed lymphoblastoid B-cell line Laz 3889-11 were cultured in RPMI 1640 supplemented with 10% heat-inactivated fetal calf serum (FCS), 2 mmol/L glutamine, 1 mmol/L sodium pyruvate, 10 mmol/L HEPES buffer, and penicillin/streptomycin.
Normal B Cells
Isolation of splenic and tonsillar B cells.
Normal spleens were obtained from patients who had no evidence of systemic or malignant disease at the time of surgical resection. Splenic mononuclear cells were isolated by Ficoll-Hypaque density gradient centrifugation and depleted of T cells by E-rosetting. Tonsils were obtained from children undergoing tonsillectomy and processed as previously described.12 Tonsillar mononuclear cells were isolated by Ficoll-Hypaque density gradient centrifugation and depleted of non-B cells in a magnetic field after incubation with murine anti-CD3 (Zymed, San Francisco, CA) and anti-CD11b (Coulter, Miami, FL) and magnetic beads coated with sheep anti-mouse IgG (Coulter).12 The purity of the isolated tonsillar B cells was greater than 95% as determined by subsequent immunostaining with anti-CD19 (Coulter).
Isolation of normal naive, germinal center, and memory B cells.
Three distinct subpopulations of normal tonsillar B cells were identified by triple-color immunofluorescence as previously described.12 In brief, tonsillar B cells were stained with biotin-labeled anti-IgD (Southern Biotechnology, Birmingham, AL), streptavidin tricolor (Caltag, Burlingame, CA), phycoerythrin-conjugated anti-CD38 (Becton Dickinson, San Jose, CA), and fluorescein isothiocyanate-labeled anti-CD19 (Coulter). Thereafter, naive (CD19+ sIgD+, CD38−), germinal center (CD19+sIgD−, CD38+), and memory B cells (CD19+ sIgD−,CD38−) were separately sorted by flow cytometry. After isolation of the specific subpopulations, cells were washed in ice-cold phosphate-buffered saline (PBS) and resuspended in lysis buffer. Thereafter, cell lysates were incubated at 4°C for 1 hour, centrifuged at 14,000g for 10 minutes, and assayed for protein concentration (Protein Assay System, BioRad, Richmond, CA). Western blot analysis was performed as described below.
Primary tumor specimens.
Cryopreserved primary tumor specimens were obtained from patients with DLB-CLs.
Differential Display
Differential display was performed as previously described.3 In brief, total RNAs from primary DLB-CLs, DLB-CL cell lines and normal splenic B cells were reverse-transcribed with the T12MC antisense primer. After standardization, resulting cDNAs were amplified with T12MC and an arbitrary 10-bp sense primer (TGCTGACCTG). 33P-labeled polymerase chain reaction (PCR) products were subsequently size fractionated on a 6% polyacrylamide sequencing gel. Thereafter, the differential display fragment of interest was excised, extracted, reamplified with the above-mentioned primers, and cloned into the pCR2.1 vector (Invitrogen, Carlsbad, CA) for further analysis.
Northern Analysis
Total RNAs from the Laz 388 EBV-transformed lymphoblastoid cell line and the NCI 345 small cell lung cancer cell line were size fractionated in 1% agarose/formaldehyde gels and transferred to nylon membranes as described.13 These membranes and additional multiple tissue Northern blots (Clontech, Palo Alto, CA) were hybridized with a differential display fragment probe, a probe derived from either the PTPROt-specific 5′ UTR or the conserved PTPRO/PTPROt catalytic domain or β-actin.
Rapid Amplification of cDNA Ends (RACE)
The 5′ RACE PCR was performed as previously described with minor modifications.14 In brief, RNA from normal splenic B cells was reverse-transcribed with antisense oligonucleotides derived from either the original differential display product or the 3′ or 5′ end of the conserved PTPRO catalytic domain or the 3′ end of the extended PTPRO extracellular domain (all primer sequences available upon request). Resulting PTPRO cDNAs were homopolymer-tailed with terminal deoxynucleotidyl transferase and amplified by nested PCR. The first round of amplification used the previously described standard RACE 5′ ROR1-TTTT and RO sense oligonucleotide primers14 and an internal antisense oligonucleotide primer derived from the PTPRO sequence; a second round of amplification used the previously described RACE 5′ sense R1 oligonucleotide primer14 and a second internal antisense PTPRO oligonucleotide primer. Resulting 5′ RACE products were blotted and hybridized with an additional internal PTPRO oligonucleotide probe. Appropriate PCR products were shotgun cloned into the pCR2.1 cloning vector and resulting colonies were screened by PCR with m13 primers, size fractionated, blotted, and hybridized with an internal PTPRO oligonucleotide probe. Clones containing the largest positive inserts were subsequently sequenced.
cDNA and Cosmid Library Screening
A size-selected (3 to 7 kb) pCDM8 cDNA library from normal splenic B cells15 was screened using a PCR-based strategy. In brief, nested PCR reactions were performed with library plasmid DNA as a template and pairs of vector and PTPRO primers. Vector primers flanked the pCDM8 cloning site and PTPRO primers were derived from either the original differential display product or the 3′ or 5′ end of the conserved PTPRO catalytic domain or the 3′ end of the extended PTPRO extracellular domain (all primer sequences available upon request). Resulting PCR products were blotted and hybridized with an internal conserved PTPRO oligonucleotide probe. Thereafter, PCR products were shotgun cloned into pCR2.1 cloning vector and resulting colonies screened by PCR amplification with m13 primers, size fractionated by gel electrophoresis, blotted, and hybridized with a conserved PTPRO oligonucleotide probe. Clones containing the largest positive inserts were subsequently sequenced. A gridded human chromosome 12 cosmid library (LL12NCO1, UK Human Genome Mapping Project Resource Center, Cambridge, UK) was screened according to manufacturer’s instructions with a 200-bp probe derived from the PTPROt-specific 5′ untranslated region.
DNA Sequencing
DNA sequencing was performed according to the manufacturer’s instructions (ABI Prism Dye Terminator Cycle Sequencing Ready Reaction Kit, Perkin-Elmer Corporation, Norwalk, CT). Sequencing products were electrophoresed on a 6% long-range gel (FMC Bioproducts, Rockland, MD) and analyzed on an Applied Biosystems model 373A automated sequencer (Perkin-Elmer Corporation, Norwalk, CT).
Semi-Quantitative Duplex Reverse Transcriptase-PCR (RT-PCR)
cDNAs were synthesized from primary DLB-CLs, DLB-CL cell lines and normal splenic B-cell RNAs as previously described.16 To control for the quantity and quality of input cDNA and the amplification efficiency in individual test tubes, PTPROT-specific 5′ cDNA was coamplified with cDNA from the constitutively expressed ABL gene. PTPROt and ABL primers (PTPROt, sense 5′AGAACCAGCTCCACCCAAAT-3′ and antisense 5′-CTACAATTGTAGGCAGTGGC-3′; ABL, sense 5′-CCCAACCTTTTCGTTGCACTGT-3′ and antisense 5′-CGGCTCTCGGAGGAGACGATGA-3) were derived from different exons to avoid amplification of contaminating genomic DNA. Optimal conditions for the coamplification of PTPROt and ABL cDNAs included 1 μmol/L PTPROt and 0.07 μmol/L ABL sense and antisense primers, 200 μmol/L dNTPs, and 1.5 mmol/L MgCl2 in 20-μL volume and 25 cycles. Duplex PCR products were electrophoresed in 2% agarose gels, blotted, and hybridized to internal PTPROt and ABL oligonucleotide probes.
The abundance of PTPROt in a given sample was determined by comparing the intensity of coamplified PTPROt and ABL PCR products with scanning densitometry. The sensitivity of the duplex PCR was initially determined by adding fixed amounts of (PTPROt−) DLB-CL cell line cDNA to (PTPROt+) normal B-cell cDNA to mimic PTPROt losses of 10% to 100%. When the ratio of PTPROt/ABL signals was plotted against the percentage of PTPROt “lost” in a given sample, the data yielded a straight line and r2 value of .97, confirming the sensitivity of the assay.
PCR and Southern Blot Analysis of YAC and Cosmid Clones
YAC clones 952a2, 746a12, 762b12, 802c3, 868c7, 964c10, 916d8, 929e11, 847f2, 826f3, 954g10, and 931h4 were obtained from the Foundation Jean Dausset-CEPH (Paris, France). Yeast containing the individual YACs were grown in AHC medium and DNA was extracted by using the glass bead method.17 PTPROt-containing cosmid clones (0-I14e8, 0-I14g2, 0-I17a2, 0-I81a6, 0-I82a6, 0-I101c11, 0-I153b10, 0-I154a12, 0-I220h11, and 0-I260b5) were identified by screening the above-mentioned human chromosome 12 cosmid library. Single bacterial colonies were grown overnight and cosmid DNA was prepared with QIAprep plasmid maxi kit (Quiagen, Santa Clarita, CA). YAC and cosmid DNAs were analyzed by Southern blot and PCR with probes and oligonucleotide primers derived from the common PTPROt/PTPRO 3′ end, the PTPROt-specific 5′ UTR, or the unique 5′ end of the PTPRO cDNA (all primer sequences available upon request).
PTPROt Bacterial and Mammalian Expression Constructs
The PTPROt coding region was amplified from normal splenic B-cell cDNA by RT-PCR and cloned into the pCR2.1 vector. Subsequently, pcR2.1-PTPROt clones were digested with EcoRI (flanking the insert cloning site) and subcloned into the pGEX-5X3 (Pharmacia, Piscataway, NJ) and pcDNA3 (Invitrogen) expression vectors. PTPROt cDNAs were specifically synthesized for pGEX and pcDNA3 constructs by performing the initial RT-PCR reactions with the indicated forward primers (5′ TGGTTACAGAGATGAATCCC 3′ [pGEX] and 5′ TGTCCCTACGTTCATAGCCGTCT 3′ [pcDNA3]) and a common reverse primer (5′ ACAATCTGGAAGCAAGGGAG 3′). This strategy allowed for the removal of the first ATG from the PTPROt sequence and in-frame fusion to GST in the pGEX-PTPROt construct and maintenance of the initiation codon in the pcDNA3-PTPROt construct. pcDNA3-PTPROt constructs were cloned in both the sense and antisense orientations.
Generation of GST-PTPROt Fusion Proteins and Analysis of Phosphatase Activity
A pGEX-PTPROt construct was used to transform the Escherichia coli strain, DH5α (GIBCO-BRL, Gaithersburg, MD). Thereafter, the PTPROt-GST fusion protein was expressed and affinity-purified by using glutathione-agarose beads according to manufacturer’s protocols (Pharmacia). The purified recombinant GST-PTPROt fusion protein was extensively washed in the PTPase assay buffer (25 mmol/L HEPES, pH 6.0, 5 mmol/L EDTA, 10 mmol/L 2,3-dihydroxybutane-1,4dithiol). PTP activity of the recombinant GST-PTPROt protein or GST alone was measured against 2 phosphotyrosyl substrates, END(pY)INASL and DADE(pY)LIPQQG, with the Tyrosine Phosphatase Assay System (Promega, Madison, WI) according to manufacturer’s instructions (100 μmol/L substrate, 0 to 25 ng PTPROt-GST or GST alone, 15-minute incubation). PTP assays were performed in triplicate in the presence or absence of 1 mmol/L of the nonspecific PTP inhibitor, sodium orthovanadate.
Generation and Analysis of Stable PTPROt Clones
The pcDNA3-PTPROt sense and antisense constructs and vector-only were transfected into the DLB-CL cell line DHL4, selected with G418 (Sigma, St Louis, MO) and cloned by limiting dilution as previously described.18 pcDNA3-PTPROt sense and antisense clones were initially identified by Northern analysis. pcDNA3-PTPROt sense clones were also evaluated for expression of the PTPROt protein by Western hybridization by using an antisera directed against the murine homologue, PTPØ (gift from E.R. Stanley, Albert Einstein College of Medicine, Bronx, NY). The PTPØ antisera was originally generated with a full-length PTPØ-GST fusion protein as the immunogen.
In brief, cell lysates of pcDNA3-PTPROt sense, antisense, and vector-only DHL4 transfectants were prepared as described above. Thereafter, 75 μg of the indicated DHL4 lysates or 3 μL of PTPROt in vitro translation products (TNT in vitro Translation System, Promega) were size fractionated by sodium dodecyl sulfate-polyacrylamide gel electrophoresis and transferred to PVDF membranes (Millipore, Bedford, MA). After blocking, the membranes were incubated with the PTPØ antiserum and horseradish peroxidase-conjugated sheep anti-rabbit antiserum (Amersham, Piscataway, NJ) and developed by using the Renaissance enhanced chemiluminescence system (NEN, Boston, MA). Thereafter, membranes were stripped and probed with an antitubulin monoclonal antibody (Sigma) to assure equal loading.
Cell Cycle Analysis
Multiple independent stable DHL4 pcDNA3-PTPROt sense, antisense, or vector-only transfectants were plated in duplicate at 1 × 106/mL in RPMI supplemented with 2% or 10% of FCS. The microtubule-stabilizing agent, nocodazole (Sigma) (100 ng/mL), was added to one of the duplicate sets of transfectants at 30 hours.19 At 48 hours (18 hours of nocodazole treatment), cell samples were harvested, washed in PBS and fixed in 80% ethanol at 4oC for 1 hour. Thereafter, propidium iodide (Sigma) staining was used to assess cell cycle distribution as described.19
RESULTS
Identification of a Differentially Expressed Lymphoid PTP
The technique of differential display (see Materials and Methods) was used to identify cDNAs of different abundance in DLB-CLs and normal splenic B cells. In initial differential displays, the candidate gene was expressed in normal splenic B cells but was less abundant in a series of primary DLB-CLs and undetectable in additional DLB-CL cell lines (data not shown). To further characterize the candidate gene, the differential display product was isolated, sequenced, and found to be identical to the 3′ UTR of a previously characterized epithelial PTP, PTPRO.4 5 When the differential display product was used as a probe in Northern analysis, the previously described ≈5.4-kb PTPRO transcript was detected in an epithelial cell line (Fig 1); in contrast, smaller ≈3-kb major and ≈4.1-kb minor transcripts were identified in a B-lymphoblastoid cell line (Fig 1). These data raised the possibility that the B-lymphoid differential display product was derived from an alternatively spliced version of epithelial PTPRO.
Northern analysis of transcripts identified by the lymphoid differential display product. Total RNAs (20 μg) from an EBV-transformed lymphoblastoid line (Laz388) and a small cell lung cancer cell line (NCIH345) were size fractionated, blotted, and hybridized with the radiolabeled differential display fragment. The major transcripts in the epithelial and lymphoid cell lines were ≈5.4 kb and ≈3 kb, respectively.
Northern analysis of transcripts identified by the lymphoid differential display product. Total RNAs (20 μg) from an EBV-transformed lymphoblastoid line (Laz388) and a small cell lung cancer cell line (NCIH345) were size fractionated, blotted, and hybridized with the radiolabeled differential display fragment. The major transcripts in the epithelial and lymphoid cell lines were ≈5.4 kb and ≈3 kb, respectively.
The Lymphoid PTP Is an Alternatively Spliced PTPRO With a Truncated Extracellular Domain and a Unique 5′ Untranslated Region
To fully characterize the lymphoid PTPRO cDNA, 5′ RACE was performed by using normal splenic B-cell RNA as a template. In addition, a normal splenic B-cell cDNA library was screened for PTPRO-related cDNAs. Multiple independent cDNA clones were derived with these complementary approaches; these clones contained a conserved PTPRO transmembrane region (nucleotides 511 to 585, amino acid [aa] 9 to 33) and cytoplasmic domain (nucleotides 586 to 1701, aa 34 to 405) with the characteristic signature motif (IHCSAGVGRTG, aa 323 to 333) and 3′ untranslated region (Fig 2). Approximately 50% of these cDNA clones also contained a previously characterized alternatively spliced sequence (aa 66 to 93, nucleotides 680 to 763) in the juxtamembrane cytoplasmic domain (Fig 2).4 8 The ≈3-kb PTPROt 3′ UTR included only nucleotides 1702 to 1720 and 2752 to 4062, whereas the ≈4.1-kb PTPROt 3′ UTR contained nucleotides 1702 to 4062 (Fig 2).
The nucleotide sequence and deduced amino acid sequence of PTPROt. The PTPROt 5′ and 3′ UTRs are represented by lowercase letters. The PTPROt- specific 5′ UTR sequence (217 bp) is outlined with a heavy border. The PTPROt putative initiation ATG is underlined and indicated in boldface type. The conserved PTPROt transmembrane region (aa 9 through 33) is underlined. The previously characterized, conserved alternatively spliced juxtamembrane sequence (nucleotides 680 to 763, aa 66 to 93) and the catalytic domain signature motif (IHCSAGVGRTG, aa 323 to 333) are outlined. The stop codon (nucleotides 1702 to 1704) is underlined and indicated in boldface type. The ≈1-kb 3′ UTR sequence (nucleotides 1721 to 2751), which is retained in ≈4.1-kb PTPROt transcripts and spliced out of ≈3-kb PTPROt transcripts, is also underlined. In multiple overlapping clones, 2 nucleotide differences were observed in comparison to published PTPRO sequences. Nucleotide 717 was found to be a C rather than an A and nucleotide 740 to be a T rather than C; resulting triplets encode the same amino acid (proline aa 77) or leucine rather than proline (aa 85). These sequence data are available from GenBank under accession no.AF152378.
The nucleotide sequence and deduced amino acid sequence of PTPROt. The PTPROt 5′ and 3′ UTRs are represented by lowercase letters. The PTPROt- specific 5′ UTR sequence (217 bp) is outlined with a heavy border. The PTPROt putative initiation ATG is underlined and indicated in boldface type. The conserved PTPROt transmembrane region (aa 9 through 33) is underlined. The previously characterized, conserved alternatively spliced juxtamembrane sequence (nucleotides 680 to 763, aa 66 to 93) and the catalytic domain signature motif (IHCSAGVGRTG, aa 323 to 333) are outlined. The stop codon (nucleotides 1702 to 1704) is underlined and indicated in boldface type. The ≈1-kb 3′ UTR sequence (nucleotides 1721 to 2751), which is retained in ≈4.1-kb PTPROt transcripts and spliced out of ≈3-kb PTPROt transcripts, is also underlined. In multiple overlapping clones, 2 nucleotide differences were observed in comparison to published PTPRO sequences. Nucleotide 717 was found to be a C rather than an A and nucleotide 740 to be a T rather than C; resulting triplets encode the same amino acid (proline aa 77) or leucine rather than proline (aa 85). These sequence data are available from GenBank under accession no.AF152378.
The human lymphoid PTPRO cDNA sequence diverged from that of the human epithelial PTPRO 293 bp upstream of the conserved transmembrane domain (Figs 2 and 3) and contained a novel 217-bp 5′ sequence with multiple stop codons, which truncate its predicted reading frame (Figs 2 and 3). For these reasons, the differentially expressed lymphoid PTP was termed PTPROt (truncated). The PTPROt start codon is likely to be the first ATG that is located 24 bp upstream of the transmembrane region and contains a good Kozak consensus start site. Therefore, the PTPROt cDNAs predict a unique 5′ untranslated region and a truncated 8 aa extracellular domain in addition to the conserved (PTPRO) transmembrane and cytoplasmic domains (Figs 2 and 3). The human PTPROt unique 5′ UTR sequence is homologous to the partially characterized murine PTPØ 5′ sequence,8 suggesting that PTPROt is the human homologue of the murine enzyme.
Comparison of the cDNAs and proteins encoded by PTPROt and PTPRO. The conserved portions of the 8-aa PTPROt and 820-aa PTPRO extracellular domains are represented with identical shading; the unique portion of the PTPRO extended extracellular domain is separately noted. The sequence, which serves as the unique 5′ UTR of PTPROt and also functions as an intron which is spliced out the larger PTPRO cDNA, is also indicated. Conserved transmembrane and cytoplasmic domains and the 3′ UTR are also noted.
Comparison of the cDNAs and proteins encoded by PTPROt and PTPRO. The conserved portions of the 8-aa PTPROt and 820-aa PTPRO extracellular domains are represented with identical shading; the unique portion of the PTPRO extended extracellular domain is separately noted. The sequence, which serves as the unique 5′ UTR of PTPROt and also functions as an intron which is spliced out the larger PTPRO cDNA, is also indicated. Conserved transmembrane and cytoplasmic domains and the 3′ UTR are also noted.
Analysis of the PTPRO/PTPROt genomic clones indicated that the unique 5′ UTR of PTPROt also functions as an intron, which is spliced out of the larger PTPRO cDNA (Fig 3). This sequence contains the requisite mammalian 3′ splice site consensus sequence with a polypyrimidine tract and the absolutely conserved AG dinucleotide (Fig2; nucleotides 202 to 217).
The 3′ UTR sequence (nucleotides 1721 to 2751), which is spliced out of the major ≈3-kb PTPROt cDNAs but retained in the less abundant ≈4.1-kb PTPROt cDNAs, also contains requisite 5′ and 3′ splice site consensus sequences (nucleotides 1721 to 1722 and 2750 to 2751, respectively). The PTPROt 3′ genomic structure contains no intronic sequences flanking nucleotides 1721 to 2751, indicating this ≈1-kb 3′ UTR sequence is likely to represent an alternatively retained intron rather than a classical alternatively spliced exon.20
The PTPRO gene locus was previously mapped to chromosome band 12p13. To refine the mapping of the PTPRO/ROt locus within this area, we further analyzed a series of YAC clones assigned to this region (www.cephb.fr/ceph-genethon-map.html). The PTPRO/ROt locus mapped to YAC 931h4 (D12S1728), which is located approximately 37 centiMorgans (cM) from the top of the chromosome 12 linkage group and centromeric to the smallest region of overlapping 12p13 deletions in hematologic malignancies.21
PTPROt Is Primarily Expressed in B Lymphocytes
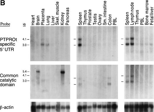
To determine whether PTPROt is transcribed in a tissue-specific manner, probes derived from the unique PTPROt 5′ untranslated region and the conserved catalytic domain were hybridized with Northern blots containing RNAs from lymphoid and epithelial cell lines (Fig 4A) and multiple normal human organs and cell types (Fig 4B). As indicated in Fig 4A, the PTPROt-specific 5′ probe identifies the major ≈3-kb B-lymphoid PTPROt transcript but not the larger epithelial ≈5.4-kb PTPRO transcript. In contrast, the conserved catalytic domain probe identifies both the B-lymphoid PTPROt and the larger epithelial PTPRO transcripts (Fig 4A).
Northern analysis of PTPROt and PTPRO transcripts in cell lines and multiple human organs and cell types. (A) Northern analysis of epithelial and lymphoid cell lines. Total RNA (20 μg) from the EBV-transformed lymphoblastoid line, Laz 388, and the small cell lung cancer cell line, NCIH345, was blotted and hybridized with a unique PTPROt 5′ UTR probe (left panel) or a probe derived from the conserved catalytic domain (right panel). The unique PTPROt 5′ UTR probe recognizes only the lymphoid transcript, whereas the common catalytic domain probe identifies both isoforms. (B) Northern analysis of RNAs from multiple human organs and cell types. Blots were hybridized with a unique PTPROt 5′ UTR probe (top panel) or a probe derived from the conserved catalytic domain (middle panel). The major ≈3-kb and ≈4.1-kb minor PTPROt transcripts hybridized with both the PTPROt-specific 5′ probe (top panel) and the common catalytic domain probe (middle panel). The larger (≈5.4 kb) epithelial PTPRO transcripts in brain and kidney only hybridized with the common catalytic domain probe (middle panel). The filters were also hybridized with B-actin (bottom panel) to confirm equal loading.
Northern analysis of PTPROt and PTPRO transcripts in cell lines and multiple human organs and cell types. (A) Northern analysis of epithelial and lymphoid cell lines. Total RNA (20 μg) from the EBV-transformed lymphoblastoid line, Laz 388, and the small cell lung cancer cell line, NCIH345, was blotted and hybridized with a unique PTPROt 5′ UTR probe (left panel) or a probe derived from the conserved catalytic domain (right panel). The unique PTPROt 5′ UTR probe recognizes only the lymphoid transcript, whereas the common catalytic domain probe identifies both isoforms. (B) Northern analysis of RNAs from multiple human organs and cell types. Blots were hybridized with a unique PTPROt 5′ UTR probe (top panel) or a probe derived from the conserved catalytic domain (middle panel). The major ≈3-kb and ≈4.1-kb minor PTPROt transcripts hybridized with both the PTPROt-specific 5′ probe (top panel) and the common catalytic domain probe (middle panel). The larger (≈5.4 kb) epithelial PTPRO transcripts in brain and kidney only hybridized with the common catalytic domain probe (middle panel). The filters were also hybridized with B-actin (bottom panel) to confirm equal loading.
The major ≈3-kb and minor ≈4.1-kb PTPROt transcripts were primarily detected in normal organs containing large numbers of B lymphocytes, such as spleen and lymph node (Fig 4B). Although both of these PTPROt transcripts hybridized with the PTPROt-specific 5′ probe (Fig 4B, top panel), only the ≈4.1-kb PTPROt transcripts hybridized with a probe derived from the alternatively retained 3′ UTR sequences (nucleotides 1721 to 2751 [Fig 2]; data not shown). The ≈3-kb and ≈4.1-kb PTPROt mRNAs have the same 5′ UTR and encode identical proteins; however, the ≈4.1-kb transcript contains additional 3′ UTR sequence (nucleotides 1721 to 2751) that is not present in the ≈3-kb transcript.
Although ≈3-kb and ≈4.1-kb PTPROt transcripts were readily detectable in B-lymphoid organs such as the spleen and lymph node, little PTPROt was found in organs or specimens containing higher percentages of T lymphocytes, lymphoid progenitors, and other hematopoietic cells (thymus, peripheral blood lymphocytes, bone marrow, and fetal liver; Fig 4B, top panel). Faint PTPROt transcripts were, however, detected in lung and placenta (Fig 4B, top panel).
As expected, PTPROt lymphoid transcripts were also detected with a probe derived from the common catalytic domain (Fig 4B, middle panel). This common catalytic domain probe also identified the previously described ≈5.4-kb PTPRO transcripts in normal human brain and kidney (Fig 4B, middle panel).4 5 Taken together, these data indicate that alternatively spliced PTPRO transcripts are expressed in a tissue-specific manner and that PTPROt is primarily expressed in B-lymphoid organs.
To more specifically quantify PTPROt transcripts in normal B cells and additional DLB-CL primary tumors and cell lines, a PTPROt semiquantitative duplex RT-PCR was developed (see Materials and Methods). The abundance of PTPROt in a given sample was determined by comparing the intensity of coamplified PTPROt and control (ABL) PCR products (Fig 5). In this sensitive semiquantitative assay, PTPROt transcripts were readily detected in normal unsorted splenic B cells; in marked contrast, PTPROt transcripts were undetectable in the DLB-CL cell lines and absent or decreased in the majority of examined primary DLB-CLs (Fig 5).
Semiquantitative duplex RT-PCR analysis of PTPROt in primary DLB-CLs, DLB-CL cell lines and normal splenic B cells. Five primary DLB-CLs, 4 DLB-CL cell lines (DHL-4, DHL-7, DHL-8, and DHL-10), and normal unsorted splenic B cells from 2 donors were analyzed for PTPROt expression by semiquantitative duplex RT-PCR. The abundance of PTPROt in a given sample was determined by comparing the intensity of coamplified PTPROt and ABL PCR products.
Semiquantitative duplex RT-PCR analysis of PTPROt in primary DLB-CLs, DLB-CL cell lines and normal splenic B cells. Five primary DLB-CLs, 4 DLB-CL cell lines (DHL-4, DHL-7, DHL-8, and DHL-10), and normal unsorted splenic B cells from 2 donors were analyzed for PTPROt expression by semiquantitative duplex RT-PCR. The abundance of PTPROt in a given sample was determined by comparing the intensity of coamplified PTPROt and ABL PCR products.
PTPROt Encodes an Active PTP
To further characterize the proteins encoded by PTPROt, PTPROt cDNAs, which included or lacked bp 680 to 763, from the juxtamembrane region (PTPROtlong[L] and PTPROtshort[S], Fig 2) were in vitro translated, immunoblotted, and analyzed with an antiserum directed against the putative murine homologue of PTPROt, PTPØ.8 Cell lysates from DHL-4 cells transfected with vector only, pcDNA3-PTPROt[S]sense, or pcDNA-PTPROt[S]antisense were similarly immunoblotted and analyzed. As indicated in Fig 6, the predicted ≈47-kD and 43-kD PTPROt[L] and PTPROt[S] proteins were readily detectable in the in vitro translations of PTPROt sense cDNAs and absent in the in vitro translations of PTPROt antisense cDNAs. DHL-4 PTPROt[S]sense transfectants also expressed high levels of the expected ≈43-kD protein that was not detected in DHL-4 PTPROt[S]antisense and vector-only transfectants (Fig 6). Taken together, these data confirm that PTPROt[L] and PTPROt[S] cDNAs encode the predicted ≈47-kD and 43-kD proteins and that these proteins are the human homologues of murine PTPØ.8
Western analysis of PTPROt proteins, human homologues of murine PTPØ. PTPROt cDNAs, which included or lacked bp 680 to 763 from the juxtamembrane region (PTPROtlong[L] and PTPROtshort[S], Fig 2) were in vitro translated, immunoblotted and analyzed with an antiserum directed against the putative murine homologue of PTPROt, PTPØ.8Cell lysates from DHL-4 cells transfected with vector only, pcDNA3-PTPROt[S]sense, or pcDNA-PTPROt[S]antisense were similarly immunoblotted and analyzed. As indicated, the predicted ∼47-kD and 43-kD PTPROt[L] and PTPROt[S] proteins were readily detectable in in vitro translations of PTPROt sense cDNAs and absent in in vitro translations of PTPROt antisense cDNAs. In the in vitro translated products, the less intense bands running ≈4 kD lower than the major proteins are likely to result from the use of a second start codon (nucleotide 604) with a strong Kozak consensus sequence. DHL-4 PTPROt[S]sense transfectants also expressed high levels of the expected ≈43-kD protein, which was not detected in DHL-4 PTPROt[S]antisense transfectants. (The PTPØ antisera also identified ≈70-kD proteins of uncertain significance in all [vector-only, antisense, sense] DHL-4 clones.) The filters were also probed with an antitubulin antibody to assure equal loading.
Western analysis of PTPROt proteins, human homologues of murine PTPØ. PTPROt cDNAs, which included or lacked bp 680 to 763 from the juxtamembrane region (PTPROtlong[L] and PTPROtshort[S], Fig 2) were in vitro translated, immunoblotted and analyzed with an antiserum directed against the putative murine homologue of PTPROt, PTPØ.8Cell lysates from DHL-4 cells transfected with vector only, pcDNA3-PTPROt[S]sense, or pcDNA-PTPROt[S]antisense were similarly immunoblotted and analyzed. As indicated, the predicted ∼47-kD and 43-kD PTPROt[L] and PTPROt[S] proteins were readily detectable in in vitro translations of PTPROt sense cDNAs and absent in in vitro translations of PTPROt antisense cDNAs. In the in vitro translated products, the less intense bands running ≈4 kD lower than the major proteins are likely to result from the use of a second start codon (nucleotide 604) with a strong Kozak consensus sequence. DHL-4 PTPROt[S]sense transfectants also expressed high levels of the expected ≈43-kD protein, which was not detected in DHL-4 PTPROt[S]antisense transfectants. (The PTPØ antisera also identified ≈70-kD proteins of uncertain significance in all [vector-only, antisense, sense] DHL-4 clones.) The filters were also probed with an antitubulin antibody to assure equal loading.
To assess the functional activity of the encoded PTPROt proteins, a recombinant PTPROt-GST fusion protein was synthesized for use in a classic phosphatase assay. As shown in Fig7, PTPROt-GST dephosphorylated the synthetic phosphotyrosyl substrate, END(pY)INASL in a concentration-dependent manner; this tyrosine phosphatase activity was markedly decreased by the addition of the PTP inhibitor, sodium orthovanadate. Similar results were obtained by using a second synthetic phosphotyrosyl substrate, DADE(pY)LIIPQQG (data not shown). As expected, the control GST protein had no detectable phosphatase activity (Fig 7).
PTPROt encodes an active tyrosine phosphatase. The enzymatic activities of the PTPROt-GST fusion protein alone (▴), PTPROt-GST in the presence of 1 mmol/L sodium orthovanadate (▪), and GST alone (•) were measured using the synthetic phosphotyrosyl substrate, END(pY)INASL. PTPROt-GST dephosphorylated the indicated substrate in a concentration-dependent manner; PTPROt phosphatase activity was also markedly reduced in the presence of the PTP inhibitor, sodium orthovanadate. The control GST protein has no detectable phosphatase activity. The data are expressed as the mean ± SD from 3 independent assays.
PTPROt encodes an active tyrosine phosphatase. The enzymatic activities of the PTPROt-GST fusion protein alone (▴), PTPROt-GST in the presence of 1 mmol/L sodium orthovanadate (▪), and GST alone (•) were measured using the synthetic phosphotyrosyl substrate, END(pY)INASL. PTPROt-GST dephosphorylated the indicated substrate in a concentration-dependent manner; PTPROt phosphatase activity was also markedly reduced in the presence of the PTP inhibitor, sodium orthovanadate. The control GST protein has no detectable phosphatase activity. The data are expressed as the mean ± SD from 3 independent assays.
PTPROt Expression Differs at Discrete Stages of B-Cell Differentiation
After confirming that PTPROt encodes ≈47-kD and 43-kD proteins with tyrosine phosphatase activity, we further examined the enzymes’ expression in functionally discrete normal B-cell subpopulations. To accomplish this, normal tonsillar B cells were immunophenotyped with antibodies directed against CD19, surface IgD, and CD38 and sorted into highly purified naive (CD19+ sIgD+CD38−), germinal center (CD19+sIgD− CD38+), and memory (CD19+ sIgD− CD38−) B-cell subpopulations. Thereafter, these functionally discrete B-cell subpopulations were immunoblotted and analyzed with the previously described PTPØ antiserum.
As indicated in Fig 8, PTPROt was most abundant in naive B cells with markedly reduced levels in germinal center B cells and slightly higher levels in memory B cells (4× naive, 1× germinal center, 1.4× memory B cells by scanning densitometry). These marked differences in PTPROt expression indicate that the enzyme is developmentally regulated during B-cell differentiation. In addition, the data suggest that DLB-CLs may express low levels of PTPROt (Fig 5) because these tumors are derived from the germinal center.
PTPROt expression in normal naive quiescent, germinal center, and memory B cells. Whole-cell lysates (75 μg) from unsorted tonsillar B cells and highly purified naive (CD19+sIgD+ CD38−), germinal center (CD19+ sIgD− CD38+), and memory (CD19+ sIgD− CD38−) B cells were immunoblotted and analyzed with the antiserum directed against the murine PTPROt homologue, PTPØ. The abundance of PTPROt in naive, germinal center, and memory B cells was compared by scanning densitometry. Autoradiograms were scanned with a CCD camera linked to a frame grabber (Alpha Imager 2000; Alpha Innotec Corp, San Leandro, CA) and band intensities were quantified by using Image Quant Software (Molecular Dynamics, Sunnyvale, CA). The filters were also probed with an antitubulin antibody to assure equal loading.
PTPROt expression in normal naive quiescent, germinal center, and memory B cells. Whole-cell lysates (75 μg) from unsorted tonsillar B cells and highly purified naive (CD19+sIgD+ CD38−), germinal center (CD19+ sIgD− CD38+), and memory (CD19+ sIgD− CD38−) B cells were immunoblotted and analyzed with the antiserum directed against the murine PTPROt homologue, PTPØ. The abundance of PTPROt in naive, germinal center, and memory B cells was compared by scanning densitometry. Autoradiograms were scanned with a CCD camera linked to a frame grabber (Alpha Imager 2000; Alpha Innotec Corp, San Leandro, CA) and band intensities were quantified by using Image Quant Software (Molecular Dynamics, Sunnyvale, CA). The filters were also probed with an antitubulin antibody to assure equal loading.
PTPROt Expression Promotes G0/G1 Growth Arrest
The fact that PTPROt was more abundant in quiescent naive B cells than in germinal center B cells prompted us to assess the enzyme’s effects on cell cycle progression. To accomplish this, multiple independent PTPROt sense, antisense, and vector-only DHL-4 transfectants were plated in 2% or 10% serum; transfectants were cultured in the presence or absence of the microtubule-stabilizing agent, nocodazole, which synchronizes the cells in G2-M.
Figure 9 depicts a representative analysis of 2 independent stable PTPROt sense, antisense, and vector-only transfectants grown in 2% serum with or without nocodazole. When PTPROt sense, antisense, and vector-only transfectants were grown in 10% serum (data not shown) or in 2% serum in the absence of nocodazole (Fig 9, left panel), there were no significant differences in cell cycle distribution. However, a large proportion of PTPROt sense, antisense, and vector-only transfectants were already in G0/G1 under these conditions, making it difficult to detect changes in G0/G1 arrest.
Cell-cycle analysis of PTPROt sense, antisense, and vector-only B-lymphoid transfectants. Two representative stable PTPROt sense, antisense, and vector-only DHL-4 B-lymphoid transfectants were cultured in 2% serum in the presence (right) or absence (left) of the microtubule-stablizing agent, nocodazole. When PTPROt sense, antisense and vector-only transfectants were grown in 2% serum in the absence of nocodazole, there were no significant differences in cell-cycle distribution (left panel). When PTPROt antisense or vector-only transfectants were treated with nocodazole, the G0/G1 portion of the cycle was greatly diminished and only 6% to 12% of the cells remained in G0/G1 (right panel). In marked contrast, ≈28% of nocodazole-treated PTPROt sense transfectants remained in G0/G1 (right panel).
Cell-cycle analysis of PTPROt sense, antisense, and vector-only B-lymphoid transfectants. Two representative stable PTPROt sense, antisense, and vector-only DHL-4 B-lymphoid transfectants were cultured in 2% serum in the presence (right) or absence (left) of the microtubule-stablizing agent, nocodazole. When PTPROt sense, antisense and vector-only transfectants were grown in 2% serum in the absence of nocodazole, there were no significant differences in cell-cycle distribution (left panel). When PTPROt antisense or vector-only transfectants were treated with nocodazole, the G0/G1 portion of the cycle was greatly diminished and only 6% to 12% of the cells remained in G0/G1 (right panel). In marked contrast, ≈28% of nocodazole-treated PTPROt sense transfectants remained in G0/G1 (right panel).
For these reasons, the sensitivity of the assay was increased by synchronizing the cells in mitosis with nocodazole. Because nocodazole-treated cells arrest in G2-M and do not exit mitosis, changes in the G0/G1 phase of cell cycle are more obvious. When PTPROt antisense or vector-only transfectants were treated with nocodazole, the G0/G1 portion of the cycle was greatly diminished and only 6% to 12% of the cells remained in G0/G1 (Fig 9, right panel). In marked contrast, ∼28% of nocodazole-treated PTPROt sense transfectants remained in G0/G1 (Fig 9, right panel). These data indicate that the overexpression of PTPROt imposes a block in cell cycle progression at G0/G1 (Fig 9, right panel).
DISCUSSION
By using the technique of differential display, we have identified a tissue-specific PTP that is expressed by normal quiescent naive B cells but is decreased or absent in normal germinal center B cells and lymphomas derived from the germinal center. This PTP, termed PTPROt, is an alternatively spliced form of the epithelial enzyme, PTPRO (previously named PTPU2/GLEPP1).4 5 The 2 proteins differ exclusively in the length of their extracellular domains. Whereas PTPRO encodes an enzyme with a long extracellular domain rich in fibronectin type-III–like motifs, PTPROt contains a truncated 8-aa extracellular region. The transmembrane region and single intracellular catalytic domain are identical in PTPRO and PTPROt. Consistent with this observation, the truncated lymphoid isoform also encodes a fully functional protein tyrosine phosphatase.
Detailed molecular analyses of human PTPROt cDNAs and genomic clones indicate that the PTPROt-specific 5′ UTR functions as an intron in the epithelial PTPRO. The PTPROt-specific 5′ UTR is spliced out of the longer PTPRO cDNA; in contrast, the 3′ end of this sequence is transcribed in a tissue-specific manner in the truncated lymphoid transcript. In addition, sequences upstream of the PTPROt 5′ UTR contain a canonical TATA box and several putative transcription factor binding sites, suggesting that this region may include tissue-specific PTPROt regulatory elements (R. Aguiar and M. Shipp, unpublished data, January 1999).
PTPROt and PTPRO are the human members of a newly identified family of receptor-type PTPs with tissue-specific extracellular domains and a common transmembrane region and single catalytic domain. Homologues of human PTPRO with extended extracellular domains have been identified in rat,22 rabbit,6 and chicken.23 More recently, PTPRO isoforms with incompletely characterized truncated extracellular domains have been identified in rabbit7 and mouse8 and termed PTP-oc and PTPØ, respectively. Our data indicate that PTPROt is the human homologue of murine PTPØ.
Of interest, murine PTPØ was originally identified as a primary macrophage product, which was also expressed at low levels in the spleen.8 The presumed rabbit PTPROt homologue, PTP-oc, was isolated from osteoclasts, a specialized type of macrophage; PTP-oc was also expressed at low levels in the spleen.7 Among human organs and cell types analyzed to date, PTPROt transcripts are most abundant in the spleen and lymph node, detectable in placenta and lung, and far less abundant in other tissues. Given the tissue distribution of the murine and rabbit homologues, it is possible that human pulmonary PTPROt transcripts are derived from contaminating alveolar macrophages rather than bronchial epithelium. Further studies will be needed to characterize PTPROt expression in additional human hematopoietic cells and in the B-lymphoid organs and cell types from other species. Nevertheless, the PTPRO/PTPROt isoforms identified thus far exhibit a high degree of evolutionary conservation, suggesting that this phosphatase family has important unique functions.
The prominent expression of PTPROt in human B-lymphoid organs prompted us to assess PTPROt levels in functionally discrete B-cell subpopulations. PTPROt was most abundant in naive B cells with markedly reduced levels in germinal center B cells. The relevance of this result is 2-fold. First, because germinal center B cells include the normal counterpart of most DLB-CLs, these lymphomas may express little PTPROt as a consequence of their germinal center origin rather than malignant transformation. Second, the stage-specific differences in PTPROt expression in naive and germinal center B cells suggest that the enzyme may have a specific role in quiescent lymphocytes. In this regard, it is noteworthy that the murine PTPROt homologue, PTPØ, is more abundant in quiescent macrophages than in log phase cells and that PTPØ levels decline when macrophages are stimulated to proliferate with CSF-1.8
To further assess a specific role for PTPROt in quiescent B cells, we analyzed the enzyme’s effects on cell cycle transit. When B cells transfected with PTPROt sense, PTPROt antisense or vector only were grown in low serum and synchronized with nocodazole, PTPROt sense transfectants exhibited increased G0/G1 arrest. These data suggest that under these conditions, PTPROt may contribute to the quiescent state of functionally relevant B-cell subpopulations.
It is possible that PTPROt-mediated G0/G1 arrest was only detected in reduced serum because serum-derived positive growth factors override the enzyme’s effects. Serum components may also indirectly modulate PTPROt function by altering the phosphorylation of the enzyme itself as reported for PTP1B24 and PP1.25 Alternatively, the malignant B-lymphoid cell line used to generate PTPROt transfectants may have additional abnormalities that render it less responsive to growth-arresting stimuli. In this regard, the cell-cycle inhibitory effects of the recently identified lipid and protein phosphatase, PTEN, require reduced serum in some, but not all, cell lines.19,26 27
The mechanisms by which PTPROt enhances G0/G1 arrest remain to be determined. For example, it is not yet known whether PTPROt substrates include specific cell-cycle regulatory subunits or whether the enzyme acts indirectly by inhibiting classical B-cell signaling pathways. Of interest, another hematopoietic PTP, which is down-regulated in germinal center B cells,28 SHP-1, interacts with negative regulatory subunits such as CD2229 and PIR-B30to inhibit B-cell responses after B-cell receptor signaling.
The functional roles of the PTPRO/PTPROt family are just beginning to be elucidated. The longer PTPRO isoform was recently transfected into the U937 monocytic leukemia cell line and found to promote apoptosis after the terminal differentiation of these cells.31 Under the conditions used in our assays, PTPROt enhanced the G0/G1 arrest, rather than apoptosis (data not shown), of B lymphocytes. However, apoptosis and growth arrest are thought to be largely interdependent cellular responses. The prevailing response in a specific setting depends on cell type, microenvironment, and expression of additional proteins.32 Recent data suggest that other phosphatases also block S-phase entry or induce apoptosis in specific settings.19,26,27 33-35 For these reasons, it is not surprising that PTPROt and PTPRO may mediate growth arrest and/or apoptosis in distinct cell types under specific conditions.
The regulated expression of PTPROt in specific B-cell subpopulations and the enzyme’s effects on G0/G1 arrest suggest that PTPROt may have an important role in B-cell signaling. It is possible that PTPROt dysfunction may also lead to the abnormal proliferation of specific B-cell subsets and attendant consequences. For these reasons, the identification of PTPROt in vivo substrates and coassociating molecules and the development of informative PTPROt-deficient murine models will be of interest.
ACKNOWLEDGMENT
We thank T. Grogan for assistance in identifying appropriate primary DLB-CLs for further analysis, R. Stanley for the gift of PTPØ antiserum, J. Daley and H. Levine for assistance with cell sorting, M. Streuli for manuscript review, and D. Favreau for manuscript preparation.
Funded by a National Institutes of Health (NIH) Grant (CA66996), a Leukemia Society of America Translational Research Award, and a Larry and Susan Marx Research Fellowship (R.C.T.A.). M.A.S. is a Leukemia Society of America Scholar.
The publication costs of this article were defrayed in part by page charge payment. This article must therefore be hereby marked “advertisement” in accordance with 18 U.S.C. section 1734 solely to indicate this fact.
REFERENCES
Author notes
Address reprint requests to Margaret A. Shipp, MD, Dana-Farber Cancer Institute, 44 Binney St, Boston, MA 02115; e-mail: margaret_shipp@dfci.harvard.edu.






![Fig. 6. Western analysis of PTPROt proteins, human homologues of murine PTPØ. PTPROt cDNAs, which included or lacked bp 680 to 763 from the juxtamembrane region (PTPROtlong[L] and PTPROtshort[S], Fig 2) were in vitro translated, immunoblotted and analyzed with an antiserum directed against the putative murine homologue of PTPROt, PTPØ.8Cell lysates from DHL-4 cells transfected with vector only, pcDNA3-PTPROt[S]sense, or pcDNA-PTPROt[S]antisense were similarly immunoblotted and analyzed. As indicated, the predicted ∼47-kD and 43-kD PTPROt[L] and PTPROt[S] proteins were readily detectable in in vitro translations of PTPROt sense cDNAs and absent in in vitro translations of PTPROt antisense cDNAs. In the in vitro translated products, the less intense bands running ≈4 kD lower than the major proteins are likely to result from the use of a second start codon (nucleotide 604) with a strong Kozak consensus sequence. DHL-4 PTPROt[S]sense transfectants also expressed high levels of the expected ≈43-kD protein, which was not detected in DHL-4 PTPROt[S]antisense transfectants. (The PTPØ antisera also identified ≈70-kD proteins of uncertain significance in all [vector-only, antisense, sense] DHL-4 clones.) The filters were also probed with an antitubulin antibody to assure equal loading.](https://ash.silverchair-cdn.com/ash/content_public/journal/blood/94/7/10.1182_blood.v94.7.2403.419k39_2403_2413/6/m_blod41939006w.jpeg?Expires=1767966818&Signature=hHeTwDeDmljvNuF3KfzwKO1vxGTLt14eFwjpbqJKbzxcM04Yr75G4JtNU59yQuJ5VVAxUSBYxI7wx6AYhggl0DdB88PKTUYhp9X7CfVDvKpy3Wegub4xnZAAjPexFf8DKplhvWZo93b8yr6P8SmT-T8bhF1mvJf4gXZbE3YIvH2fgbvIoVLEIsrK8qisN~tepdWaXVLVxvMTHysCeFmJiCoidjJq3Zh82lTl-Ap8Iq0S4kOU2WhdTFu6nwHy0NZS5HyeUxdm2V59gK2VWoFlsVs27u4k6BNXCxB5UHx~dmUAoAl9HvzBqObti7dcNVW7tG3QpSQKBwNRpxBrAnUvmg__&Key-Pair-Id=APKAIE5G5CRDK6RD3PGA)



This feature is available to Subscribers Only
Sign In or Create an Account Close Modal