Skip Nav Destination
PHOTOGRAPHS|
June 1, 1995
Citation
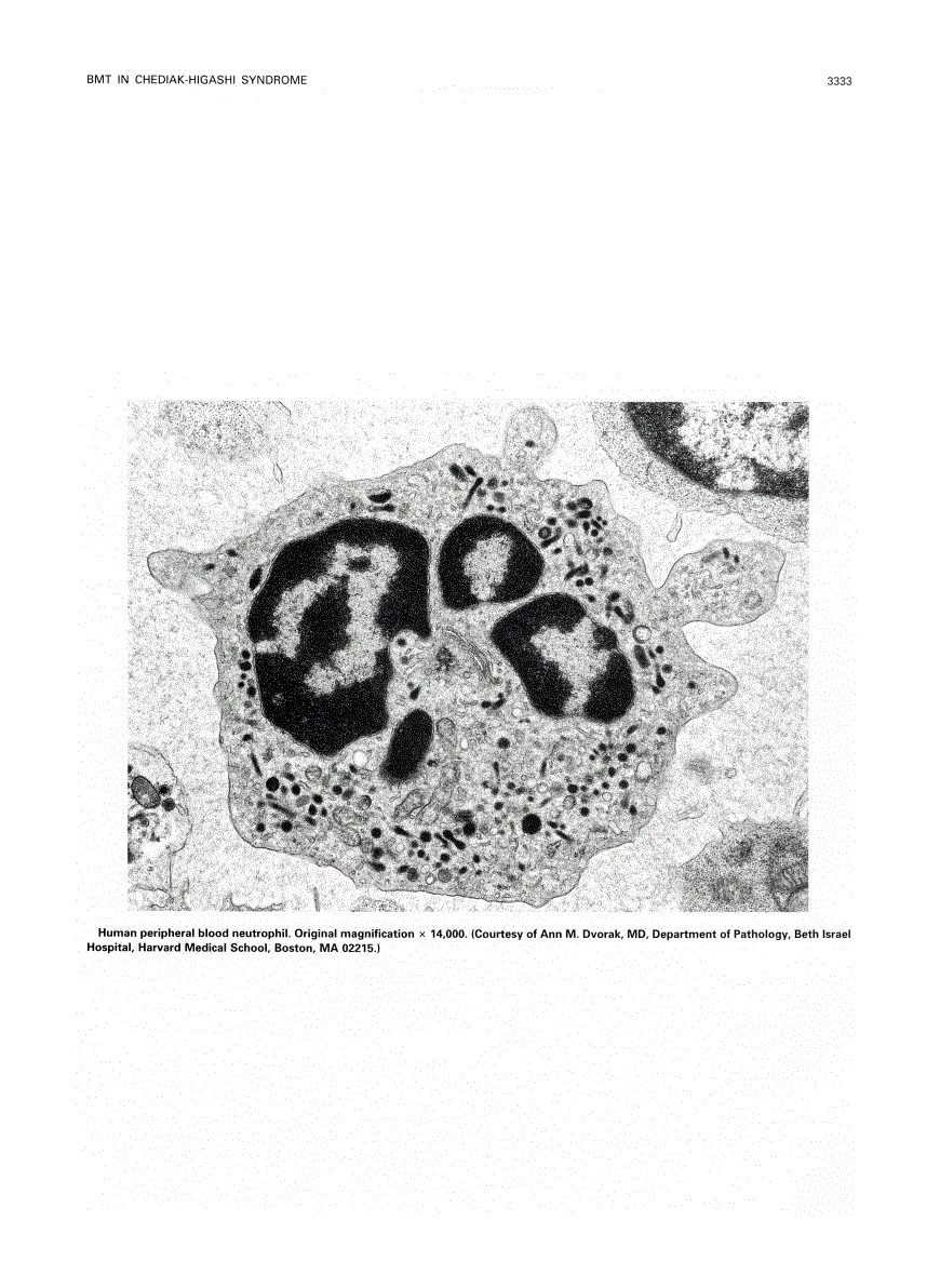
A. M. Dvorak; Photograph. Blood 1995; 85 (11): 3333. doi: https://doi.org/10.1182/blood.V85.11.3333.3333
Download citation file:
June 1 1995
Advertisement intended for health care professionals
1
Crossref
Cited By
Advertisement intended for health care professionals
This feature is available to Subscribers Only
Sign In or Create an Account Close Modal