The image on the cover of the 30 November 2023 issue of Blood (volume 142, issue 22) should have appeared on the cover of the 21 December 2023 issue (volume 142, issue 25) and vice versa. The small copies of the cover images in the tables of contents in the respective issues are likewise incorrect, and the cover caption in the 30 November 2023 table of contents does not match the image. The images and their captions should be as follows.
A confocal microscopy image of fluorescent staining with the mitochondrial tracker Deep Red shows mitochondrial localization in OCI-Ly10 cells. Blue indicates cell nuclear staining with DAPI. See the article by Liu et al on page 1879.
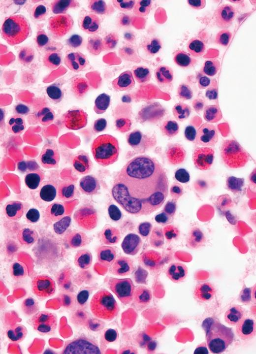
Abnormal megakaryocyte with separated nuclear lobes in a patient with germ line RUNX1 mutation, isolated thrombocytopenia, and dysmegakaryopoiesis. See the article by Cunningham et al on page 2146.
The publisher apologizes for the error.


This feature is available to Subscribers Only
Sign In or Create an Account Close Modal