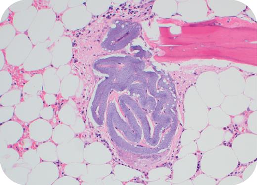
A 73-year-old man had a bone marrow evaluation for severe anemia (hemoglobin, 6.9 g/dL; white blood cell count, 5.8 × 109/L; platelet count, 156 × 109/L). Clinically, he was diagnosed with multiple comorbidities including hypertensive heart disease, heart failure, peripheral vascular disease, and chronic kidney disease. Past surgical history included aortic valve replacement for aortic regurgitation, right coronary artery stenting, femoral popliteal bypass grafting, and left total nephrectomy. The bone marrow was normocellular with no dysplasia. However, an acellular deposit of nonrefractile, nonpolarizable granular basophilic material surrounded by few giant cells was incidentally identified within a vascular space (bone marrow biopsy; hematoxylin and eosin stain; original magnification ×400). The identified foreign body was likely a hydrophilic polymer embolus resulting from the patient’s previous catheterizations.
Hydrophilic polymer coatings are frequently used in medical devices. These can partially fragment and embolize to small-caliber vessels and are often seen on postmortem examination. Recognition of these polymers on histologic evaluation is of clinical importance, as morphologic findings may be subtle but multifocal embolization can be fatal. Although no associated infarct or necrosis was seen in our bone marrow specimen, these patients are at risk of sequelae of iatrogenic embolization such as ischemia, gangrene, or stroke.
For additional images, visit the ASH Image Bank, a reference and teaching tool that is continually updated with new atlas and case study images. For more information, visit https://imagebank.hematology.org.

This feature is available to Subscribers Only
Sign In or Create an Account Close Modal