A 32-year-old woman with sickle cell disease (SCD) presented with fever, chills, and chest pain. Laboratory results showed leukocytosis with bandemia, and her baseline hemoglobin values. Blood cultures were positive for α hemolytic Streptococcus and Actinomyces. Given the patient’s poor dentition and a left maxillary sinus opacity on computed tomography scan, there was suspicion for an odontogenic/sinus infection. She underwent dental extraction, abscess drainage, and sinus debridement. The sinus debridement contents showed erythroid-predominant hematopoiesis and sickled red blood cells (sRBCs).
The sRBCs seen in the peripheral blood (panel A; Giemsa stain, 50× objective, original magnification ×500; bar, 10 μm) are 5- to 10-μm–long irreversibly sickled cells (ISC). ISCs are formed because of membrane rigidity from oxidative damage of actin, causing slow dissociation of spectrin-actin-4.1 complex and preventing them from regaining discoid shape upon exposure to atmospheric oxygen. In contrast, the reversibly sickled anucleate red cells in the sinus contents (panel B, hematoxylin and eosin stain; panel C, glycophorin C, immunohistochemistry; 50× objective, original magnification ×500; bars, 10 μm) are RBCs with extremely long hemoglobin S polymers (arrows) formed during sluggish transit through a region of marked hypoxemia. In vitro models predict that the length of the polymer is dependent on the hemoglobin concentration and time of transit through the region of hypoxemia. The variable size of the red cells seen in the biopsy reflects the variable mean corpuscular hemoglobin concentration seen in SCD.
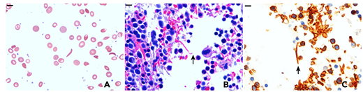
A 32-year-old woman with sickle cell disease (SCD) presented with fever, chills, and chest pain. Laboratory results showed leukocytosis with bandemia, and her baseline hemoglobin values. Blood cultures were positive for α hemolytic Streptococcus and Actinomyces. Given the patient’s poor dentition and a left maxillary sinus opacity on computed tomography scan, there was suspicion for an odontogenic/sinus infection. She underwent dental extraction, abscess drainage, and sinus debridement. The sinus debridement contents showed erythroid-predominant hematopoiesis and sickled red blood cells (sRBCs).
The sRBCs seen in the peripheral blood (panel A; Giemsa stain, 50× objective, original magnification ×500; bar, 10 μm) are 5- to 10-μm–long irreversibly sickled cells (ISC). ISCs are formed because of membrane rigidity from oxidative damage of actin, causing slow dissociation of spectrin-actin-4.1 complex and preventing them from regaining discoid shape upon exposure to atmospheric oxygen. In contrast, the reversibly sickled anucleate red cells in the sinus contents (panel B, hematoxylin and eosin stain; panel C, glycophorin C, immunohistochemistry; 50× objective, original magnification ×500; bars, 10 μm) are RBCs with extremely long hemoglobin S polymers (arrows) formed during sluggish transit through a region of marked hypoxemia. In vitro models predict that the length of the polymer is dependent on the hemoglobin concentration and time of transit through the region of hypoxemia. The variable size of the red cells seen in the biopsy reflects the variable mean corpuscular hemoglobin concentration seen in SCD.
For additional images, visit the ASH Image Bank, a reference and teaching tool that is continually updated with new atlas and case study images. For more information, visit http://imagebank.hematology.org.

This feature is available to Subscribers Only
Sign In or Create an Account Close Modal