Introduction:
Signaling pathways in acute leukemia are aberrantly activated to cause leukemogenesis and relapse after treatment. Like in many other malignancies, upregulation of WNT/beta-catenin pathway and hyperactive RAS is known to be associated with treatment resistance in leukemia. However, there are little studies about RAS singaling pathyway and leukemia, and it is a field of study that needs to be revealed. KYA1797K is a recently developed small molecule, binds directly to RGS domain of axin and enhances the beta-catenin destruction complex which activates GSK3beta and results in degradation of beta-catenin and RAS. In the current study, we tried to find the role of RAS inhibition by KYA1797K in leukemic cell lines and in patient's BM samples. Moreover, other small molecule PCK412 (Midosaturin) was also used for comparison.
Materials & Methods:
Leukemic cells (MOLT-4, THP-1, MOLT-4, Jurka, KG-1, MV4-11, RS4-11) were cultured in RPMI1640 media under various concentration (0.1-10µM for KYA1797K, 0.5-500nM for PKC412) for 48h and with Erlotinib (1µM) for comparison. Cell proliferation assay on each leukemic cell was done and immunoblotting for β-catenin, GSK3β, Pan-RAS, N-RAS was checked. Downstream targets of Wnt pathway (c-Myc, CD44, LEF1, Met, TCF1/TCF7) were studied by immunoblotting. MOLT-4 was stimulated with Wnt3a (200ng/mL, 4h) and changes in Wnt pathway were observed. Bone marrow samples of AML and ALL patients were evaluated for β-catenin and RAS. KYA1797K (Nat Chem Biol 2016, 12:593) was kindly provided by Prof. Kang-Yell Choi.
Results:
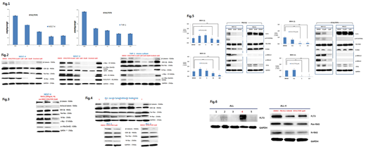
Suppression of leukemic cells by KYA1797K was evident starting from the concentration of 5 microM. (fig.1) Beta-catenin was down regulated in all cell lines by KYA1797K. Pan-RAS decreased in MOLT-4 and THP-1. All the downstream targets evaluated were down regulated by KYA1797K in MOLT-4 culture, and was evident at the concentration of 5microM. (fig.2) Stimulation of Wnt pathway by Wnt3a was inhibited by KYA1797K. (fig.3) Bone marrow samples from 7 ALL patients showed various status of β-catenin and RAS expression. Two high-risk patients showed suppression of β-cateinin and N-RAS by KYA1797K. (fig.4)
In MV4-11 (FLT3 mutant) and RS4-11 (FLT3 wild type), IC50 for PKC412 was higher in RS4-11 compared to MV4-11 while KYA1797K showed same IC50 in both cell lines. β-catenin and RAS downregulation was observed by KYA1797K. Effects of KYA1797K analyzed by qRT-PCR and immunoblot for FLT3, N-RAS, MEK, ERK, ETS2 showed that KYA1797K downregulates FLT3 in MV4-11 even though FLT3 is not the main target of action. It was less effective on RS4-11. (fig.5) In bone marrow samples of ALL patient with FLT3 mutation, KYA1797K 1µM showed effect in reducing leukemia cells. (fig.6)
Conclusion:
This preclinical study suggests that KYA1797K may be an option for patients with acute leukemia. KYA1797K effectively destabilized β-catenin and RAS in acute leukemia even under Wnt pathway activation. FLT3, N-RAS, MEK, ERK, ETS2 were down regulated by KYA1797K, hence KYA1797K has a potential application for acute leukemia with FLT3 mutation. Extended studies including further in vivo study are needed to build up a strategy in small molecule therapy to target RAS in acute leukemia. Although with limitation, we suggest RAS inhibitor as a potential drug for leukemia.
No relevant conflicts of interest to declare.
Author notes
Asterisk with author names denotes non-ASH members.

This feature is available to Subscribers Only
Sign In or Create an Account Close Modal