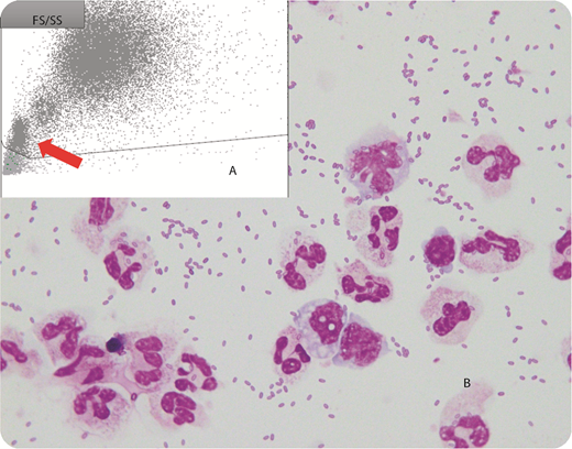
A 69-year-old white woman was evaluated for progressive pancytopenia with fatigue and exertion dyspnea without signs of infection. No organomegaly or signs of sepsis were found. A bone marrow examination revealed dysplasia in all 3 hematopoietic lineages. Flow cytometry was performed, and the forward-scatter/side-scatter chart revealed numerous dots corresponding to small-sized elements (panel A, arrow). The analysis of centrifuged bone marrow cells via cytospin (Romanowsky staining, 100× objective), which is routinely performed in our laboratory and evaluated before flow cytometry, revealed the presence of numerous bacteria, sometimes forming small chains (panel B). Most of these bacteria were extracellular, but some appeared to be inside neutrophils and monocytes. A sample of the bone marrow was evaluated by our microbiology department and gram staining was performed, but the bacteria were absent in their samples. After complete revision of the flow cytometry process, we discovered that the RPMI-1640 stock was contaminated; thus, the presence of bacteria was due to a preanalytical error.
Use of staining to distinguish dead from live bacteria could have been useful in this case. Clinicians and laboratory workers should be aware of this possible preanalytical pitfall to avoid exposing patients to unnecessary and potentially harmful examinations and treatments.
A 69-year-old white woman was evaluated for progressive pancytopenia with fatigue and exertion dyspnea without signs of infection. No organomegaly or signs of sepsis were found. A bone marrow examination revealed dysplasia in all 3 hematopoietic lineages. Flow cytometry was performed, and the forward-scatter/side-scatter chart revealed numerous dots corresponding to small-sized elements (panel A, arrow). The analysis of centrifuged bone marrow cells via cytospin (Romanowsky staining, 100× objective), which is routinely performed in our laboratory and evaluated before flow cytometry, revealed the presence of numerous bacteria, sometimes forming small chains (panel B). Most of these bacteria were extracellular, but some appeared to be inside neutrophils and monocytes. A sample of the bone marrow was evaluated by our microbiology department and gram staining was performed, but the bacteria were absent in their samples. After complete revision of the flow cytometry process, we discovered that the RPMI-1640 stock was contaminated; thus, the presence of bacteria was due to a preanalytical error.
Use of staining to distinguish dead from live bacteria could have been useful in this case. Clinicians and laboratory workers should be aware of this possible preanalytical pitfall to avoid exposing patients to unnecessary and potentially harmful examinations and treatments.
For additional images, visit the ASH Image Bank, a reference and teaching tool that is continually updated with new atlas and case study images. For more information, visit http://imagebank.hematology.org.

This feature is available to Subscribers Only
Sign In or Create an Account Close Modal