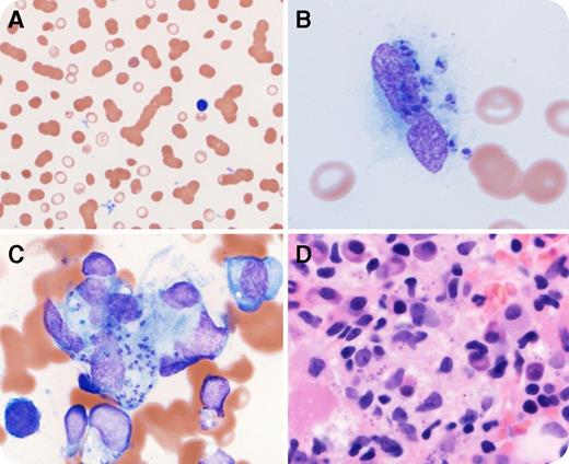
A 41-year-old, HIV-positive Somalian man presented to the HIV clinic with fatigue and abdominal fullness. He denied fever or any other symptoms. The laboratory workup revealed mild pancytopenia and elevated liver function enzymes. Computed tomography identified hepatosplenomegaly and inguinal nodules. The differential diagnosis included infection, lymphoma, and secondary hemophagocytic lymphohistiocystosis (HLH), and a bone marrow (BM) biopsy was performed. The peripheral blood (PB) smear showed rouleaux (panel A, original magnification ×50; Wright stain) and monocytes with intracellular microorganisms bearing prominent nuclei and adjacent rod-shaped kinetoplasts (panel B, original magnification ×100; Wright stain). The BM biopsy and aspirate smear were hypercellular, and also demonstrated histiocytes with similar intracellular microorganisms (panels C-D, original magnification ×100; panel C, Wright stain; panel D, hematoxylin and eosin stain). There was no evidence of hemophagocytosis. Subsequent serology revealed a Leishmania immunoglobulin G level of 15 (positive: 1-15 IU). Confirmatory culture testing performed at the Centers for Disease Control and Prevention was positive for Leishmania donovani. Polymerase chain reaction and DNA sequencing analyses were negative.
This case exhibits BM and PB involvement by leishmaniasis with diagnostic morphology. For the majority of cases, the organisms are often difficult to find, if they are found at all. As shown above, the amastigotes can be found in circulation and within histiocytes, which can lead to reticuloendothelial hyperplasia in the spleen and liver and ultimately result in hepatosplenomegaly. Secondary HLH, which can be associated with leishmaniasis, should also be investigated. However, given the patient’s relative benign clinical presentation, the lack of fever, and absent hemophagocytosis in the BM, it was clinically excluded without further workup. Finally, although molecular methods are more reliable for the detection of organisms, negative results also do not exclude the possibility of the disease, as shown in our case.
A 41-year-old, HIV-positive Somalian man presented to the HIV clinic with fatigue and abdominal fullness. He denied fever or any other symptoms. The laboratory workup revealed mild pancytopenia and elevated liver function enzymes. Computed tomography identified hepatosplenomegaly and inguinal nodules. The differential diagnosis included infection, lymphoma, and secondary hemophagocytic lymphohistiocystosis (HLH), and a bone marrow (BM) biopsy was performed. The peripheral blood (PB) smear showed rouleaux (panel A, original magnification ×50; Wright stain) and monocytes with intracellular microorganisms bearing prominent nuclei and adjacent rod-shaped kinetoplasts (panel B, original magnification ×100; Wright stain). The BM biopsy and aspirate smear were hypercellular, and also demonstrated histiocytes with similar intracellular microorganisms (panels C-D, original magnification ×100; panel C, Wright stain; panel D, hematoxylin and eosin stain). There was no evidence of hemophagocytosis. Subsequent serology revealed a Leishmania immunoglobulin G level of 15 (positive: 1-15 IU). Confirmatory culture testing performed at the Centers for Disease Control and Prevention was positive for Leishmania donovani. Polymerase chain reaction and DNA sequencing analyses were negative.
This case exhibits BM and PB involvement by leishmaniasis with diagnostic morphology. For the majority of cases, the organisms are often difficult to find, if they are found at all. As shown above, the amastigotes can be found in circulation and within histiocytes, which can lead to reticuloendothelial hyperplasia in the spleen and liver and ultimately result in hepatosplenomegaly. Secondary HLH, which can be associated with leishmaniasis, should also be investigated. However, given the patient’s relative benign clinical presentation, the lack of fever, and absent hemophagocytosis in the BM, it was clinically excluded without further workup. Finally, although molecular methods are more reliable for the detection of organisms, negative results also do not exclude the possibility of the disease, as shown in our case.
For additional images, visit the ASH IMAGE BANK, a reference and teaching tool that is continually updated with new atlas and case study images. For more information visit http://imagebank.hematology.org.

This feature is available to Subscribers Only
Sign In or Create an Account Close Modal