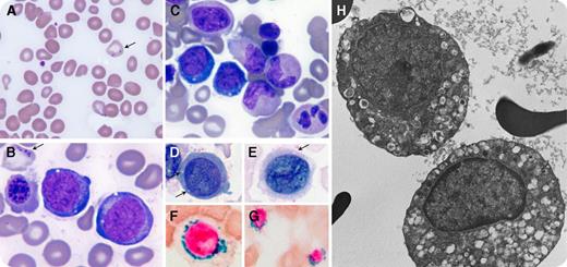
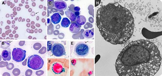
A 17-year-old girl with a history of hypoplastic anemia that required transfusions twice resolved during infancy presented with fatigue and muscle pain with exertion. A complete blood count revealed normocytic anemia (hemoglobin, 10.0 g/dL) and leukopenia (white blood cell count, 3.22 × 109/L). A blood smear demonstrated anisopoikilocytosis with occasional Pappenheimer bodies (panel A; original magnification ×1000, Wright-Giemsa stain). Bone marrow aspirate (panels B-C; original magnification ×1000, Wright-Giemsa stain) showed erythroid maturation with occasional periodic acid–Schiff-negative cytoplasmic vacuoles (panels D-E; original magnification ×1000, Wright-Giemsa stain) and Pappenheimer bodies in red blood cells (panel B). An iron stain showed many ring sideroblasts (panels F-G; original magnification ×1000, Prussian blue stain for iron). Electron microscopy illustrated numerous cytoplasmic vacuoles in normoblasts (panel H; original magnification ×4500). Flow cytometric and cytogenetic studies were normal. Biochemical studies showed normal pancreatic elastase, vitamins B6 and B12, zinc, copper, and lead with increased lactic acid (2.6 mmol/L). Congenital sideroblastic anemia gene sequencing identified double heterozygous mutations of the YARS2 gene (c.933 C>G and c.731 G>C). This patient was diagnosed with myopathy, lactic acidosis, and sideroblastic anemia 2 (MLASA2).
MLASA2, a hereditary syndromic sideroblastic anemia, is associated with mutations of YARS2, a gene encoding the mitochondrial tyrosyl-tRNA synthetase. We present a case of MLASA2 with cytologic and ultrastructural features similar to those of Pearson syndrome. Nonhereditary causes of sideroblastic anemia in children include drug or toxin exposure or, rarely, myelodysplastic syndrome. A morphologic examination, combined with clinical, biochemical, and molecular studies, is essential to obtain the diagnosis.
A 17-year-old girl with a history of hypoplastic anemia that required transfusions twice resolved during infancy presented with fatigue and muscle pain with exertion. A complete blood count revealed normocytic anemia (hemoglobin, 10.0 g/dL) and leukopenia (white blood cell count, 3.22 × 109/L). A blood smear demonstrated anisopoikilocytosis with occasional Pappenheimer bodies (panel A; original magnification ×1000, Wright-Giemsa stain). Bone marrow aspirate (panels B-C; original magnification ×1000, Wright-Giemsa stain) showed erythroid maturation with occasional periodic acid–Schiff-negative cytoplasmic vacuoles (panels D-E; original magnification ×1000, Wright-Giemsa stain) and Pappenheimer bodies in red blood cells (panel B). An iron stain showed many ring sideroblasts (panels F-G; original magnification ×1000, Prussian blue stain for iron). Electron microscopy illustrated numerous cytoplasmic vacuoles in normoblasts (panel H; original magnification ×4500). Flow cytometric and cytogenetic studies were normal. Biochemical studies showed normal pancreatic elastase, vitamins B6 and B12, zinc, copper, and lead with increased lactic acid (2.6 mmol/L). Congenital sideroblastic anemia gene sequencing identified double heterozygous mutations of the YARS2 gene (c.933 C>G and c.731 G>C). This patient was diagnosed with myopathy, lactic acidosis, and sideroblastic anemia 2 (MLASA2).
MLASA2, a hereditary syndromic sideroblastic anemia, is associated with mutations of YARS2, a gene encoding the mitochondrial tyrosyl-tRNA synthetase. We present a case of MLASA2 with cytologic and ultrastructural features similar to those of Pearson syndrome. Nonhereditary causes of sideroblastic anemia in children include drug or toxin exposure or, rarely, myelodysplastic syndrome. A morphologic examination, combined with clinical, biochemical, and molecular studies, is essential to obtain the diagnosis.
For additional images, visit the ASH IMAGE BANK, a reference and teaching tool that is continually updated with new atlas and case study images. For more information visit http://imagebank.hematology.org.

This feature is available to Subscribers Only
Sign In or Create an Account Close Modal