Abstract
Introduction
Well's syndrome is an uncommon skin condition with cosmetically unpleasant outcomes. It was initially described by Dr. GC wells in 1971 as recurrent granulomatous dermatitis with eosinophilia(1).
Case
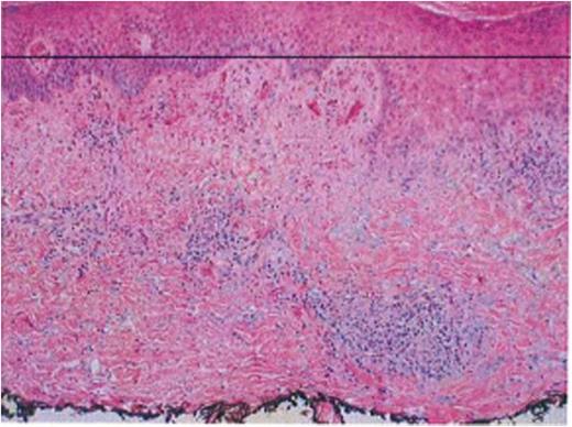
A 69-years-old woman with well controlled CLL presented with pruritic, papular eruptions & ulcerations over extremities and back (Figure 1). She denied asthma or atopy, insect bite, or new medications. Skin biopsy (Figure 2) revealed perivascular & interstitial infiltrate composed of lymphocytes, histiocytes, neutrophils and eosinophils.
Antibiotics, antihistamines, dapsone, steroid injection failed to control her symptoms. She responded to oral prednisone. On attempted steroid taper she experienced disease flares. She was transitioned eventually to HCQS. Prednisone was discontinued. She remained in remission on HCQS.
Discussion
Well's syndrome is often described as exaggerated response to insect bite; it may occur without an inciting event, commonly involves extremities, may precede or follow the diagnosis of CLL and has no association with disease course (2). The lesions range from itchy papules, plaques to edematous vesiculo-bullous lesions and panniculitis or ulcerations (3) and can result in disfiguring skin atrophy (4). Pathology reveals eosinophilic or lymphohistiocytic infiltrates (5). Use of glucocorticoids, antihistamines, immunoglobulins, dapsone, ultra violet-B therapy for treatment has been described (2, 5) and may require prolonged treatment (6). Multiple recurrences are often seen in recalcitrant cases (7).
Well's syndrome should be considered in differential diagnosis of skin lesions in patients with CLL. HCQS offers an alternative to long term steroid use in its management.
References
1. Wells GC. Recurrent granulomatous dermatitis with eosinophilia. Trans St Johns Hosp Dermatol Soc. 1971;57(1):46-56.
2. Bairey O, Goldschmidt N, Ruchlemer R, Tadmor T, Rahimi-Levene N, Yuklea M, et al. Insect-bite-like reaction in patients with chronic lymphocytic leukemia: a study from the Israeli Chronic Lymphocytic Leukemia Study Group. Eur J Haematol. 2012;89(6):491-6.
3. Rodriguez-Lojo R, Almagro M, Perez-varela L, et al. Eosinophilic Panniculitis and Insect Bite-Like Eruption in a Patient with Chronic Lymphocytic Leukaemia: A Spectrum of the Same Entity. Dermatology Research and Practice. 2010;2010.
4. Gilliam AE, Bruckner AL, Howard RM, Lee BP, Wu S, Frieden IJ. Bullous "cellulitis" with eosinophilia: case report and review of Wells' syndrome in childhood. Pediatrics. 2005;116(1):e149-55.
5. Davis MDP, Perniciaro C, Dahl PR, Randle HW, McEvoy MT, Leiferman KM. Exaggerated arthropod-bite lesions in patients with chronic lymphocytic leukemia: A clinical, histopathologic, and immunopathologic study of eight patients. Journal of the American Academy of Dermatology. 1998;39(1):27-35.
6. Sinno H, Lacroix JP, Lee J, Izadpanah A, Borsuk R, Watters K, et al. Diagnosis and management of eosinophilic cellulitis (Wells' syndrome): A case series and literature review. Can J Plast Surg. 2012;20(2):91-7.
7. Moossavi M, Mehregan DR. Wells' syndrome: a clinical and histopathologic review of seven cases. Int J Dermatol. 2003;42(1):62-7.
No relevant conflicts of interest to declare.
Author notes
Asterisk with author names denotes non-ASH members.


This feature is available to Subscribers Only
Sign In or Create an Account Close Modal