Abstract
Introduction: Gingival hyperplasia is one of the earliest findings in AML (AFB subtypes M4 and M5). It represents a 5% frequency as the initial presenting complication of AML. Hyperplasia is believed to be due to leukemic infiltration or a secondary inflammatory response to local irritation of preexisting periodontal disease, or both. An impaired immune system following cellular dysplasia can progress to gingivostomatitis and periodontal infection (mainly due to Streptococci, gram negatives, herpes simplex, candida or rarely due to stomatococcus and aerococcus). Induction chemotherapy can hinder the healing process of the gingival lesion due to interference with the pathological response alongside leukemia induced changes.
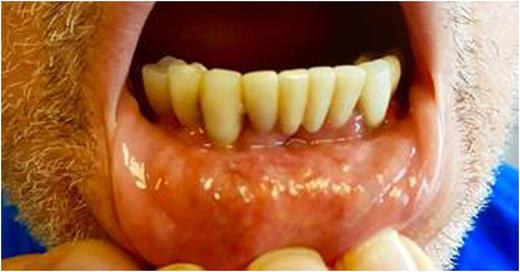
Case: A 69 year old male presented to his dentist with pain and gingival hyperplasia in the left maxilla which was treated with scaling of the gums. Following this, the patient developed worsened pain, which was treated with the extraction of 3 upper molars. The pain continued to worsen and the dentist prescribed a course of amoxicillin. Three weeks from his initial dentist visit, the patient went to his family physician for a routine checkup. Labs showed elevated leucocyte counts (54000/dl) and he was referred to hematology for a bone marrow evaluation. Physical examination of the oral cavity found hyperplasia of the gingiva with ulceration and necrosis of the left maxillary gingiva accompanied by severe halitosis and pain Bone marrow findings were consistent with AML with monocytic differentiation (51% blasts).According to AFB classification the AML fell in the M4 category. In collaboration with infectious disease consultation it was decided to treat oral infection and defer induction chemotherapy until the infection was controlled. The patient was started on ampicillin/sulbactam with routine antimicrobial prophylaxis, with resultant improvement in oral pain and halitosis. After 4 days of antibiotic therapy, the infection was controlled and chemotherapy with daunorubicin and cytarabine was started on day 5 of admission.
Discussion: The case demonstrates the importance of early identification of gingival hyperplasia in AML (AFB classification M4 and M5), especially since it is one of the earliest signs of AML. The familiarization of dental health professionals with oral manifestation of systemic diseases can significantly reduce patient morbidity by early diagnosis and intervention. In such cases, during the course of chemotherapy, any spontaneous or provoked dental pain, swelling, or evidence of purulent discharge must be considered as an odontogenic infection until proven otherwise as the inflammatory response may be blunted due to myelosuppression. The clinical signs of erythema, swelling, and purulence are highly variable, and the absence of these features is insufficient to rule out infection.
Yacoub:Incyte: Consultancy, Honoraria, Speakers Bureau; Seattle Genetics: Consultancy, Honoraria, Speakers Bureau; Alexion: Honoraria.
Author notes
Asterisk with author names denotes non-ASH members.



This feature is available to Subscribers Only
Sign In or Create an Account Close Modal