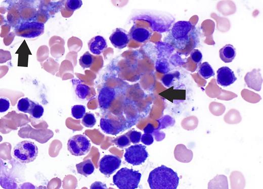
A 33-year-old man with history of sickle cell disease who receives regularly scheduled exchange transfusion and transfusions was found to be neutropenic. His absolute neutrophil count (ANC) initially recovered after administration of filgrastim; however, his ANC fell below 1000/mm3 1 week later. A bone marrow biopsy was performed to determine the cause of the patient’s neutropenia. The bone marrow demonstrated increased erythroid precursors with megaloblastic changes, consistent with sickle cell anemia–associated marrow findings. Additionally, there was prominent hemophagocytosis, characterized by numerous bland-appearing histiocytes containing phagocytosed erythrocytes within the cytoplasm (arrows).
Hemophagocytosis in the context of hemophagocytic lymphohistiocytosis has been reported in association with sickle cell disease. Hemophagocytosis has also been described as a reactive process associated with blood product transfusion, viral infection, or bacterial sepsis. Follow-up with the patient revealed no clinical or laboratory evidence to suggest infection or inflammation. Although the significance and etiology of the hemophagocytosis seen in this patient’s marrow is unclear, it may be associated with recent transfusions he received prior to marrow collection. Additionally, it is possible this phenomenon was observed as a response to sickling. Ultimately, the patient’s ANC recovered after discontinuation of nonsteroidal anti-inflammatory drugs and hydroxyurea.
A 33-year-old man with history of sickle cell disease who receives regularly scheduled exchange transfusion and transfusions was found to be neutropenic. His absolute neutrophil count (ANC) initially recovered after administration of filgrastim; however, his ANC fell below 1000/mm3 1 week later. A bone marrow biopsy was performed to determine the cause of the patient’s neutropenia. The bone marrow demonstrated increased erythroid precursors with megaloblastic changes, consistent with sickle cell anemia–associated marrow findings. Additionally, there was prominent hemophagocytosis, characterized by numerous bland-appearing histiocytes containing phagocytosed erythrocytes within the cytoplasm (arrows).
Hemophagocytosis in the context of hemophagocytic lymphohistiocytosis has been reported in association with sickle cell disease. Hemophagocytosis has also been described as a reactive process associated with blood product transfusion, viral infection, or bacterial sepsis. Follow-up with the patient revealed no clinical or laboratory evidence to suggest infection or inflammation. Although the significance and etiology of the hemophagocytosis seen in this patient’s marrow is unclear, it may be associated with recent transfusions he received prior to marrow collection. Additionally, it is possible this phenomenon was observed as a response to sickling. Ultimately, the patient’s ANC recovered after discontinuation of nonsteroidal anti-inflammatory drugs and hydroxyurea.
For additional images, visit the ASH IMAGE BANK, a reference and teaching tool that is continually updated with new atlas and case study images. For more information visit http://imagebank.hematology.org.

This feature is available to Subscribers Only
Sign In or Create an Account Close Modal