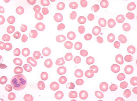
A 15-month-old male baby of Chinese ethnicity was brought by his parents to the emergency department of our hospital with lethargy and yellowish discoloration of eyes, noticed for ∼24 hours. On examination, the baby was pale and icteric. Blood tests revealed a low hemoglobin of 50 g/L, mild neutrophilia, and normal platelet count. A blood film examination showed normocytic normochromic red cells, hemighosts (blister cells), irregularly contracted cells, and a few bite cells. Indirect bilirubin values were high, and a urine dipstick was positive for hemoglobin. This picture was suggestive of oxidative hemolysis, and the parents stated that the baby was given fava bean soup on the previous day. A glucose 6 phosphate dehydrogenase (G6PD) assay showed a low value (3.2 IU/g Hb; reference range, 8.8-17.6 IU/g Hb), confirming that the baby had hemizygous G6PD deficiency and fava beans had caused hemolytic crisis. There was no family history of favism or neonatal jaundice. The baby received transfusions and the parents were advised about the food and drugs to be avoided. After 8 weeks, his hemoglobin improved to 140 g/L. Since G6PD activity is generally overestimated during hemolytic episodes, a G6PD assay will be repeated subsequently for ascertaining the actual values.
These red cell changes during acute hemolytic episodes will be helpful to detect G6PD deficiency.
A 15-month-old male baby of Chinese ethnicity was brought by his parents to the emergency department of our hospital with lethargy and yellowish discoloration of eyes, noticed for ∼24 hours. On examination, the baby was pale and icteric. Blood tests revealed a low hemoglobin of 50 g/L, mild neutrophilia, and normal platelet count. A blood film examination showed normocytic normochromic red cells, hemighosts (blister cells), irregularly contracted cells, and a few bite cells. Indirect bilirubin values were high, and a urine dipstick was positive for hemoglobin. This picture was suggestive of oxidative hemolysis, and the parents stated that the baby was given fava bean soup on the previous day. A glucose 6 phosphate dehydrogenase (G6PD) assay showed a low value (3.2 IU/g Hb; reference range, 8.8-17.6 IU/g Hb), confirming that the baby had hemizygous G6PD deficiency and fava beans had caused hemolytic crisis. There was no family history of favism or neonatal jaundice. The baby received transfusions and the parents were advised about the food and drugs to be avoided. After 8 weeks, his hemoglobin improved to 140 g/L. Since G6PD activity is generally overestimated during hemolytic episodes, a G6PD assay will be repeated subsequently for ascertaining the actual values.
These red cell changes during acute hemolytic episodes will be helpful to detect G6PD deficiency.
For additional images, visit the ASH IMAGE BANK, a reference and teaching tool that is continually updated with new atlas and case study images. For more information visit http://imagebank.hematology.org.

This feature is available to Subscribers Only
Sign In or Create an Account Close Modal