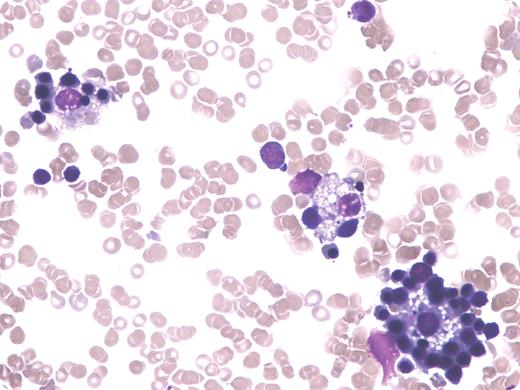
A 7-year-old girl with relapsed acute lymphoblastic leukemia had been the recipient of an unrelated donor marrow transplant 8 months earlier. After a course of dexamethasone, mercaptopurine, and methotrexate, her marrow showed a morphologic remission with 100% donor chimerism. Noteworthy were the presence of numerous erythroblastic islands (pictured).
Erythroblastic islands are rosettes consisting of a centrally located macrophage surrounded by at least one layer of developing red cell precursors. Each precursor has intimate contact with the macrophage cytoplasm. The central macrophage, termed a “nurse” cell, may support developing red cells by providing required recycled hematinics and by preventing apoptosis of the precursors via adhesive interaction between very late activation antigen 4 and vascular cell adhesion molecule 1. The excess of such islands in this case may reflect a sign of erythropoietic stress related to relative increase in sensitivity of donor hemopoiesis to thiopurine and antifolate therapy.
Previously reported to www.bloodmed.com as: “Case study Images 190: Erythroblastic islands following treatment of acute lymphoblastic leukemia.”
A 7-year-old girl with relapsed acute lymphoblastic leukemia had been the recipient of an unrelated donor marrow transplant 8 months earlier. After a course of dexamethasone, mercaptopurine, and methotrexate, her marrow showed a morphologic remission with 100% donor chimerism. Noteworthy were the presence of numerous erythroblastic islands (pictured).
Erythroblastic islands are rosettes consisting of a centrally located macrophage surrounded by at least one layer of developing red cell precursors. Each precursor has intimate contact with the macrophage cytoplasm. The central macrophage, termed a “nurse” cell, may support developing red cells by providing required recycled hematinics and by preventing apoptosis of the precursors via adhesive interaction between very late activation antigen 4 and vascular cell adhesion molecule 1. The excess of such islands in this case may reflect a sign of erythropoietic stress related to relative increase in sensitivity of donor hemopoiesis to thiopurine and antifolate therapy.
Previously reported to www.bloodmed.com as: “Case study Images 190: Erythroblastic islands following treatment of acute lymphoblastic leukemia.”
Many Blood Work images are provided by the ASH IMAGE BANK, a reference and teaching tool that is continually updated with new atlas images and images of case studies. For more information or to contribute to the Image Bank, visit www.ashimagebank.org.

This feature is available to Subscribers Only
Sign In or Create an Account Close Modal