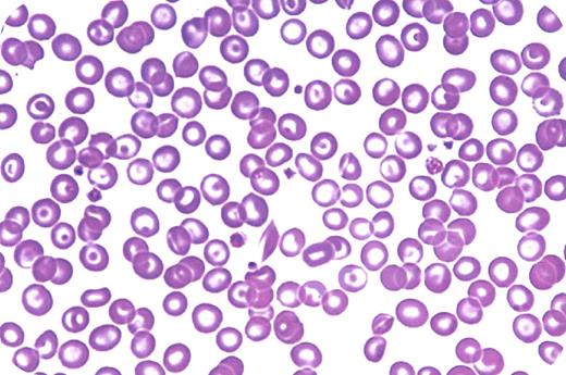
A 52-year-old African-American man had a mild anemia (hemoglobin of 103 g/L) and target cells on the peripheral blood smear as shown. The white blood cell and platelet counts were normal. The referring physician assumed that a hemoglobinopathy could be present and a hemoglobin electrophoresis showed hemoglobin AC. He was referred for the hemoglobinopathy.
Certainly, the appearance of targeted red cells raises the possibility of hemoglobinopathies (such as hemoglobin S, hemoglobin C, and hemoglobin E), as well as acquired disorders. However, the presence of hemoglobin C in this patient's electrophoresis does not provide the reason for his anemia. The hemoglobin C carrier state (AC) is not associated with anemia. When a complete evaluation was performed, the stool was hemoccult positive and an early colon carcinoma was found.
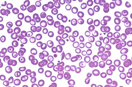
A 52-year-old African-American man had a mild anemia (hemoglobin of 103 g/L) and target cells on the peripheral blood smear as shown. The white blood cell and platelet counts were normal. The referring physician assumed that a hemoglobinopathy could be present and a hemoglobin electrophoresis showed hemoglobin AC. He was referred for the hemoglobinopathy.
Certainly, the appearance of targeted red cells raises the possibility of hemoglobinopathies (such as hemoglobin S, hemoglobin C, and hemoglobin E), as well as acquired disorders. However, the presence of hemoglobin C in this patient's electrophoresis does not provide the reason for his anemia. The hemoglobin C carrier state (AC) is not associated with anemia. When a complete evaluation was performed, the stool was hemoccult positive and an early colon carcinoma was found.
Many Blood Work images are provided by the ASH IMAGE BANK, a reference and teaching tool that is continually updated with new atlas images and images of case studies. For more information or to contribute to the Image Bank, visit www.ashimagebank.org.

This feature is available to Subscribers Only
Sign In or Create an Account Close Modal