John Lazarchick, Children's Hospital of the Medical University of South Carolina
John Lazarchick, Children's Hospital of the Medical University of South Carolina
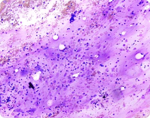
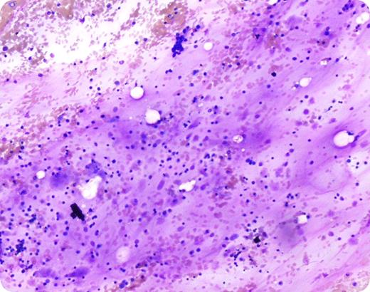
A 25-year-old white female with a history of an eating disorder presented with pancytopenia. Hematopoietic elements including erythroid precursors and megakaryocytes can be recognized in addition to a few fat cells. The amorphous material represents deposit of hyaluronic acid with gelatinous transformation of the marrow. (Wright-Giemsa stain, 10× magnification)
The above image was first published in the ASH IMAGE BANK, a reference and teaching tool that is continually updated with new atlas images and images of case studies. For more information or to contribute to the Image Bank, visit www.ashimagebank.org.

This feature is available to Subscribers Only
Sign In or Create an Account Close Modal