Abstract
Cutaneovisceral Angiomatosis with Thrombocytopenia (CAT) syndrome is a rare vascular disorder involving the skin and gastrointestinal tract. Clinical features of CAT syndrome include multiple, discrete skin lesions, gastrointestinal bleeding and thrombocytopenia. CAT syndrome is typically treated with angiogenesis inhibitors like corticosteroids and vincristine. Bevacizumab is a relatively new antiangiogenic agent that is FDA approved as a first-line agent for metastatic carcinoma of the colon or rectum in combination with a 5-FU based regimen. Bevacizumab is a humanized monoclonal antibody that binds all five isoforms of human vascular endothelial growth factor (VEGF) and prevents its interaction with the VEGF receptor. There is currently very little clinical pediatric experience with antiangiogenic agents.
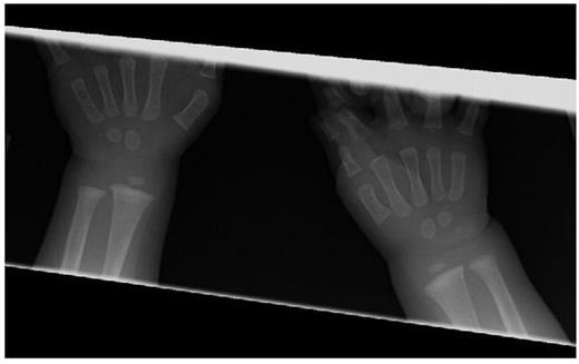
Case: Though subtly symptomatic from birth, our patient was diagnosed with CAT syndrome at four months of age after an episode of grossly bloody stools. After failed therapy with corticosteroids and vincristine, the patient was given bevacizumab 10mg/kg/dose every two weeks for four doses with excellent clinical response. After her fourth dose, a chest radiograph revealed incidental, asymptomatic metaphyseal lesions of the humeri. A complete bone survey revealed similar lesions in the metaphyses of nearly all of her long bones. (Figure 1) Given preclinical data suggesting these lesions could result from the use of VEGF inhibitors, bevacizumab was discontinued. All metaphyseal lesions subsequently resolved. (Figure 2) To our knowledge, this is the first report of bony toxicity in a human receiving bevacizumab. A thorough literature review on VEGF inhibitors revealed no reported cases of metaphyseal lesions or stunted growth in humans receiving VEGF inhibitors. Animal studies, however, suggest this may be possible. Growth plates consist of avascular cartilage that is eventually replaced by bone. This process requires invasion of the cartilage with metaphyseal blood vessels and has been shown to be directed by a VEGF gradient (
Author notes
Disclosure:Off Label Use: We will discuss the off-label use of bevacizumab (Avastin) in a pediatric patient.


This feature is available to Subscribers Only
Sign In or Create an Account Close Modal