Abstract
Interleukin-21 (IL-21) is a type I cytokine that modulates functions of T, B, natural killer (NK), and myeloid cells. The IL-21 receptor (IL-21R) is closely related to the IL-2 receptor β chain and is capable of transducing signals through its dimerization with the common cytokine receptor γ chain (γc), the protein whose expression is defective in humans with X-linked severe combined immunodeficiency. To clarify the molecular basis of IL-21 actions, we investigated the role of tyrosine residues in the IL-21R cytoplasmic domain. Simultaneous mutation of all 6 tyrosines greatly diminished IL-21–mediated proliferation, whereas retention of tyrosine 510 (Y510) allowed full proliferation. Y510 efficiently mediated IL-21–induced phosphorylation of Stat1 and Stat3, but not of Stat5, and CD8+ T cells from Stat1/Stat3 double knock-out mice exhibited decreased proliferation in response to IL-21 + IL-15. In addition, IL-21 weakly induced phosphorylation of Shc and Akt, and consistent with this, specific inhibitors of the MAPK and PI3K pathways inhibited IL-21–mediated proliferation. Collectively, these data indicate the involvement of the Jak-STAT, MAPK, and PI3K pathways in IL-21 signaling.
Introduction
IL-21 is produced mainly by activated CD4+ T cells and regulates functions of T, B, natural killer (NK), and myeloid cells. IL-21 signaling requires the heterodimerization of the IL-21R and γc cytoplasmic domains.1,2 γc is also shared by the receptors for IL-2, IL-4, IL-7, IL-9, and IL-15, and is mutated in patients with X-linked severe combined immunodeficiency (XSCID), a disease in which T and NK cells are absent and B cells are not functional.3 Defective IL-21 signaling contributes to the intrinsic B-cell defect in XSCID.4,5 Il21r−/− mice have diminished IgG1 but elevated IgE levels in response to antigen, whereas Il21r−/−/Il4−/− double knock-out mice exhibit a pan-hypogammaglobulinemia similar to what is found in XSCID, indicating a cooperative role for IL-4 and IL-21 in Ig production.4 Depending on the stimulation context, IL-21 can be proapoptotic for B cells6–8 or can promote their differentiation to memory and plasma cells.7,9 IL-21 can also potently augment T-cell proliferation as a comitogen10 and cooperates with IL-7 or IL-15 to drive the proliferation of resting CD8+ T cells.11 It can also augment NK-cell activity12–16 and exert actions on dendritic cells (DCs)17 and monocytes/macrophages.18 Furthermore, IL-21 has been reported to have antitumor effects in a range of model systems and has been implicated as contributing to autoimmunity.5 However, relatively little is known regarding signaling by this important cytokine.
Like other γc-dependent cytokines,19 IL-21 activates the Janus family tyrosine kinases, Jak1 and Jak3.2,20 Whereas IL-2, IL-7, IL-9, and IL-15 primarily activate Stat5a and Stat5b, and IL-4 primarily activates Stat6, IL-21 has been reported to activate Stat1, Stat3, and Stat5, with preferential activation of Stat1 and Stat3.1,2,20–22
Phosphorylation of tyrosine residues in the cytoplasmic domain of cytokine receptors can regulate downstream signaling pathways by providing docking sites for Src homology 2 (SH2) and/or phosphotyrosine binding (PTB) domain–containing proteins,23,24 including STAT proteins. We now investigate the role of IL-21R tyrosines in mediating IL-21–induced STAT protein activation, and we also demonstrate the importance of these tyrosines as well as the MAPK and PI 3-kinase (PI3K)/Akt pathways in IL-21–mediated proliferation.
Materials and methods
Mice
Mice lacking IL-21R4 and Stat125 have been described. Mice lacking Stat3 in T cells (T-cell Stat3) were generated by breeding Stat3f/f mice26 to transgenic mice expressing Cre recombinase under the control of CD4 regulatory elements.27 Mice lacking Stat1 and T-cell Stat3 were generated by standard interbreeding.28 Mice were analyzed at 6 to 16 weeks of age. Experiments were performed under protocols approved by Animal Use and Care Committees at NIH and the NYU School of Medicine, in accord with NIH guidelines.
In vitro cell culture
Splenocytes were prepared by pressing spleens through fine nylon screens. Erythrocytes were depleted with ACK lysis buffer.11 Splenic B cells (> 90% pure) and CD8+ T cells (> 85% pure) were positively selected using paramagnetic microbeads conjugated to anti-CD45R (B220) and anti-CD8α (Ly-2) mAbs, respectively, per the manufacturer's instructions (Miltenyi Biotec, Auburn, CA). Cells were cultured in RPMI 1640 medium containing 10% FBS, 100 U/mL penicillin, 100 μg/mL streptomycin, 2 mM l-glutamine, and 50 μM β-mercaptoethanol (RPMI 1640 complete medium) with human IL-2 (Roche, Nutley, NJ), human IL-15 (PeproTech, Rocky Hill, NJ), or mouse IL-21 (R&D Systems, Minneapolis, MN). Human IL-2 and IL-15 can efficiently stimulate mouse as well as human cells. IL-2 is quantified by Roche in international units, whereas IL-15 and IL-21 are quantified by PeproTech and R&D Systems, respectively, by mass; these units were therefore used in this study. To inhibit PI3K or MAPK, cells were pretreated with DMSO (as a control), 50 nM wortmannin, or 50 μM PD98059 (both from EMD Biosciences [San Diego, CA] and dissolved in DMSO) at 37°C for 30 minutes, followed by addition of cytokines. For studying cell division, cells were labeled with 5 μM CFSE or 10 μM Far Red DDAO-SE (Molecular Probes, Eugene, OR) for 15 minutes at 37°C. Cells were counted and analyzed on a BD FACSort flow cytometer with CellQuest software (BD Biosciences, San Jose, CA) and data analyzed with FlowJo software (Tree Star, Ashland, OR).
Vectors and in vitro mutagenesis
A mouse IL-21R cDNA was cloned into pRV-IRES-GFP (provided by Ken Murphy, Washington University). IL-21R mutations were made with QuickChange (Stratagene, Cedar Creek, TX) using oligonucleotides designed to change Tyr (TAC) to Phe (TTC) codons sequentially at Y510, Y397, Y369, Y361, Y319, and Y281, thus generating IL-21R-F510 (in which only Y510 is mutated to F) and IL-21R-Fall (in which all Ys are mutated to Fs) constructs. Oligonucleotides were also designed to mutate back single tyrosines from IL-21R-Fall to yield the IL-21R-Y281, Y319, Y361, Y369, Y397, and Y510 constructs. Mutations were confirmed by sequencing.
Stable transfection of Ba/F3 cells
Ba/F3 cell, an IL-3–dependent cell line, was maintained in RPMI 1640 complete medium containing 5% WEHI-3B conditioned medium (WEHI-CM) as a source of IL-3 or 0.25 ng/mL murine IL-3 (PeproTech). Transfectants expressing WT and mutant IL-21R were generated by electroporating 2 × 106 cells in 200 μL OPTI-MEM medium (Invitrogen, Carlsbad, CA) with linearized plasmids (pRV-IRES-GFP) containing IL-21R constructs and pCIneo (Promega, Madison, WI), using a Gene Pulser (300 V, 250 μF; Bio-Rad, Richmond, CA).29 After 4 hours, cells were aliquoted into 96-well plates, selected by using 1 mg/mL G418 (Mediatech, Herndon, VA), and analyzed for IL-21R expression by flow cytometry with GFP.
Retroviral transduction
Retroviruses were packaged in 293T cells by cotransfection of pRV-IRES-GFP constructs and pCLeco, an ecotropic retroviral packaging vector (a gift from Inder Verma, La Jolla, CA).30 For each infection, 2 mL filtered retroviral supernatant was supplemented with 4 μg/mL polybrene and added to 105 Ba/F3 cells or 106 IL-21R–deficient splenic B or CD8+ T cells preactivated for 1 day with 1 μg/mL anti-CD40 (for B cells) or 1 μg/mL anti-CD3, 1 μg/mL anti-CD28, and 40 U/mL IL-2 (for CD8+ T cells). Cells were centrifuged at 1000g at 30°C for 45 minutes, supernatant was removed, and cells were cultured in RPMI 1640 complete medium containing 0.25 ng/mL IL-3 for Ba/F3 cells, 1 μg/mL anti-CD40 for B cells, or 40 U/mL IL-2 for CD8+ T cells. Retroviral transduction was repeated 24 hours later.31
Flow cytometric analysis of phosphorylated STAT proteins
IL-3–deprived Ba/F3 cells or IL-2–deprived splenic CD8+ T cells were stimulated with cytokines as indicated. Cells were fixed in 2% paraformaldehyde in PBS for 10 minutes at 37°C and permeabilized in 90% methanol for 30 minutes on ice or overnight at −20°C. Cells were stained with mAbs for 1 hour and analyzed on a FACSort. Anti–phospho-Stat1 (Y701)–PE, anti–phospho-Stat3 (Y705)–PE, and anti–phospho-Stat5 (Y694)–Alexa Fluor 647 were from BD PharMingen (San Diego, CA).
Thymidine incorporation assays
Ba/F3 cells in RPMI 1640 complete medium were aliquoted at 2 × 104 cells/well in a 96-well plate, and cultured in triplicate for 3 days in 200 μL medium or medium containing IL-21 or IL-3. [3H]thymidine (1 μ Ci [248 GBq/mmol]; MP Biomedicals, Solon, OH) was added, the cells were incubated for 4 to 5 hours and harvested, and thymidine incorporation was assayed with a Betaplate 1205 counter (Wallac-PerkinElmer, Waltham, MA).
Western blotting
Splenic CD8+ T cells were not treated or were treated with IL-2, IL-15, IL-21, or both IL-15 + IL-21. Ba/F3 cells stably expressing IL-21R-WT or Y510 were deprived of IL-3 for 5 hours and then not treated or were treated with 100 ng/mL IL-21 or 2 ng/mL IL-3. Cells were harvested and permeabilized in NP40 lysis buffer (50 mM Tris-HCl [pH 7.5], 150 mM NaCl, 0.5% NP40, 1 mM Na3VO4, 5 mM NaF, 1 mM AEBSF, 0.8 μM aprotinin, 21 μM leupeptin, 36 μM bestatin, 15 μM pepstatin A, and 14 μM E-64). Whole cell lysates (10-20 μg/sample) were fractionated on 8% or 4% to 12% polyacrylamide gels (Invitrogen) and Western blotted with antibodies to phosphorylated Stat1 (Y701), Stat3 (Y705), Stat5 (Y694 for Stat5a and Y699 for Stat5b), Shc (Y317), and Akt (S473) (Cell Signaling Technology, Beverly, MA), and then reprobed with antibodies to Stat1, Stat3, Stat5a, Stat5b (Santa Cruz, Santa Cruz, CA), Shc (UpState Cell Signaling Solutions, Lake Placid, NY), and Akt (Cell Signaling Technology).
Statistics
The 2-tailed unpaired Student t test was used for statistical analysis.
Results
IL-21 differentially activates Stat1, Stat3, and Stat5
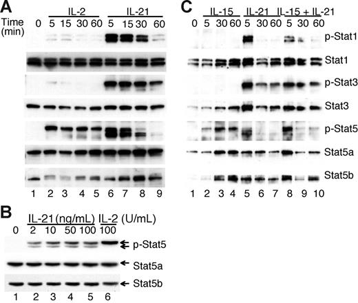
The IL-21/IL-21R system can mediate the activation of Stat1, Stat3, and Stat5 proteins1,2,20–22 ; however, the mechanism by which IL-21 activates STATs is unknown. Some of the available data on STAT protein activation by IL-21 is from cell lines and/or at single time points, so we first examined STAT activation in primary splenocytes stimulated with IL-2 or IL-21 and the kinetics of their activation. As expected, IL-2 induced strong, sustained Stat5 phosphorylation but only weakly activated Stat1 and Stat3 (p-Stat5 versus p-Stat1 and p-Stat3 in Figure 1A lanes 1-5). In contrast, IL-21 activated Stat3 more strongly than did IL-2 and in a prolonged fashion, whereas it activated Stat1 and Stat5 (the anti–p-Stat5 antibody recognizes both Stat5a and Stat5b) only transiently (< 60 minutes) in preactivated splenocytes (Figure 1A lanes 6-9 versus 1). Although IL-2 induced only the higher molecular weight tyrosine-phosphorylated form(s) of Stat5 proteins, IL-21 additionally induced a lower molecular weight tyrosine-phosphorylated form (Figure 1A). Of interest, this lower band comigrated with Stat5b protein (data not shown), but it was not seen with IL-2, which is known to activate both Stat5a and Stat5b. The composition of the band is thus unclear but potentially could contain modified or truncated forms of Stat5a and/or Stat5b. The lower band was seen across an IL-21 dose response, and the total level of Stat5a and Stat5b was not altered by the different concentrations of IL-21 (Figure 1B lower 2 panels). Because we have observed strong cooperative effects of IL-15 and IL-21 in CD8+ T cells,11 we also examined STAT protein activation in purified CD8+ T cells in response to IL-15, IL-21, or a combination of both cytokines. Stat1 and Stat3 were activated by IL-21, with sustained phosphorylation of Stat3 (Figure 1C lanes 5-7 versus 1), but neither of these STAT proteins was activated by IL-15 (lanes 2-4). In contrast, as expected, Stat5 proteins were activated by both IL-15 and IL-21, with more sustained activation by IL-15 (Figure 1C lanes 2-7). Although the combination of IL-15 and IL-21 showed somewhat decreased phosphorylation of Stat1 in Figure 1C, this was not a reproducible finding (Figure 1 legend), and no suppression was seen for p-Stat3 or p-Stat5.
Stat1, Stat3, and Stat5 are differentially activated by IL-21. (A) WT splenocytes were preactivated for 2 days with 2 ng/mL PMA + 1 μg/mL ionomycin, expanded with 10 U/mL IL-2 for 1 day, rested overnight in fresh medium without IL-2, and then stimulated with 100 U/mL IL-2 or 100 ng/mL IL-21 for 0 to 60 minutes. Cells were lysed and Western blotted with antibodies to phosphorylated Stat1 (p-Stat1, or p-S1), p-Stat3 (p-S3), or p-Stat5 (p-S5), and then reprobed with antibodies to Stat1 (S1), Stat3 (S3), Stat5a (S5a), or Stat5b (S5b). (B) Splenocytes were preactivated and rested as in panel A, and stimulated for 5 minutes with indicated concentration of IL-21 or IL-2. Cells were then harvested and Western blotted as in panel A. (C) CD8+ T cells from WT spleens (viability > 90%) were stimulated with IL-15 (100 ng/mL) or IL-21 (100 ng/mL) for 0 to 60 minutes, and lysates blotted as in panel A. We performed the Western blotting 3 times. In 2 experiments, the p-Stat1 signal in response to the combination of IL-15 and IL-21 was decreased, but in 1 it was increased. By flow cytometry for phosphorylated STAT proteins, which was performed 3 times, there was no difference. Thus, despite some experimental/technical variation, we do not believe that IL-15 + IL-21 cooperate to alter the level of p-Stat1 from what is seen with IL-21 alone.
Stat1, Stat3, and Stat5 are differentially activated by IL-21. (A) WT splenocytes were preactivated for 2 days with 2 ng/mL PMA + 1 μg/mL ionomycin, expanded with 10 U/mL IL-2 for 1 day, rested overnight in fresh medium without IL-2, and then stimulated with 100 U/mL IL-2 or 100 ng/mL IL-21 for 0 to 60 minutes. Cells were lysed and Western blotted with antibodies to phosphorylated Stat1 (p-Stat1, or p-S1), p-Stat3 (p-S3), or p-Stat5 (p-S5), and then reprobed with antibodies to Stat1 (S1), Stat3 (S3), Stat5a (S5a), or Stat5b (S5b). (B) Splenocytes were preactivated and rested as in panel A, and stimulated for 5 minutes with indicated concentration of IL-21 or IL-2. Cells were then harvested and Western blotted as in panel A. (C) CD8+ T cells from WT spleens (viability > 90%) were stimulated with IL-15 (100 ng/mL) or IL-21 (100 ng/mL) for 0 to 60 minutes, and lysates blotted as in panel A. We performed the Western blotting 3 times. In 2 experiments, the p-Stat1 signal in response to the combination of IL-15 and IL-21 was decreased, but in 1 it was increased. By flow cytometry for phosphorylated STAT proteins, which was performed 3 times, there was no difference. Thus, despite some experimental/technical variation, we do not believe that IL-15 + IL-21 cooperate to alter the level of p-Stat1 from what is seen with IL-21 alone.
IL-21–induced activation of Stat1 and Stat3 is mediated by Y510
There are 6 tyrosines in the human and mouse IL-21R cytoplasmic domains (Figure 2A). Mouse IL-21R Y281, Y361, Y369, Y397, and Y510 are conserved in the human; while the residues surrounding mouse Y319 and human Y317 differ, the relative position of this tyrosine is similar. To investigate the importance of these residues for signaling, we generated a series of IL-21R tyrosine to phenylalanine mutants (Figure 2B), and transfected these or wild-type (WT) IL-21R into IL-3–dependent pro-B Ba/F3 cells, which lack IL-21R but can proliferate in response to IL-21 when IL-21R is expressed.8,10 We confirmed similar expression of each mutant by flow cytometry (Figure 2C).
IL-21R tyrosine mutants and their expression on Ba/F3 transfectants. (A) Sequences spanning the 6 tyrosines in the mouse IL-21R cytoplasmic domain. A consensus Stat3-binding motif (YLRQ) is boxed. (B) Schematic of the cytoplasmic domain of WT IL-21R and IL-21R mutants. TM indicates transmembrane region; Y and F, tyrosine and phenylalanine, respectively. (C) WT and mutant IL-21R constructs cloned into pRV-IRES-GFP vector were transfected stably in Ba/F3 cells. The expression of IL-21R was evaluated by examining the coexpressed GFP on a FACSort.
IL-21R tyrosine mutants and their expression on Ba/F3 transfectants. (A) Sequences spanning the 6 tyrosines in the mouse IL-21R cytoplasmic domain. A consensus Stat3-binding motif (YLRQ) is boxed. (B) Schematic of the cytoplasmic domain of WT IL-21R and IL-21R mutants. TM indicates transmembrane region; Y and F, tyrosine and phenylalanine, respectively. (C) WT and mutant IL-21R constructs cloned into pRV-IRES-GFP vector were transfected stably in Ba/F3 cells. The expression of IL-21R was evaluated by examining the coexpressed GFP on a FACSort.
Given the induction of Stat1, Stat3, and Stat5 by IL-21 (Figure 1), we investigated if specific IL-21R tyrosine(s) mediate IL-21–induced STAT activation, analogous to the situation for other γc family cytokines including IL-2,32,33 IL-4,34 and IL-7.35 For these experiments, we used the Ba/F3 stable transfectants described in Figure 2. Ba/F3 cells expressing WT IL-21R were starved of IL-3 for 5 hours and then stimulated with IL-21 for 5 or 30 minutes, time points at which Stat1, Stat3, and Stat5 were all activated in primary splenocytes as shown in Figure 1A. Tyrosine phosphorylation of Stat1, Stat3, and Stat5, as detected by intracellular staining (Figure 3A filled squares) and verified by Western blotting at the 30-minute time point (Figure 3A insets), was similar to that seen by Western blotting in primary cells (Figure 1), with transient phosphorylation of Stat1 (Figure 3A top panel) and Stat5 (bottom panel) but more prolonged Stat3 phosphorylation (middle panel). In contrast, only basal phosphorylation of Stat1, Stat3, and Stat5 was seen with the IL-21R-Fall construct that lacks all tyrosines in the cytoplasmic domain, indicating a requirement for IL-21R tyrosine residue(s) for their activation, and similar low phosphorylation was seen in cells expressing only the IL-21R-Y281, -Y319, -Y361, -Y369, or -Y397 mutant constructs (Figure 3A). Cells expressing IL-21R-Y510 instead exhibited tyrosine phosphorylation of Stat1 and Stat3 at levels similar to WT IL-21R in response to IL-21 stimulation (Figure 3A top and middle panels, filled circle versus filled square). Little if any Stat5 phosphorylation was mediated by any of the IL-21R mutants, including Y510 (Figure 3A bottom panel).
IL-21–induced Stat1 and Stat3 activation requires Y510. (A) Ba/F3 cells stably transfected with the indicated constructs were cultured in IL-3–free medium for 5 hours and treated with 20 ng/mL IL-21 for 0, 5, or 30 minutes. Cells were fixed, permeabilized, and subjected to intracellular staining with mAbs to p-Stat1, p-Stat3, or p-Stat5. Mean fluorescence intensity (MFI) is shown. Similar results were obtained with 100 ng/mL IL-21. These Ba/F3 stable transfectants were also stimulated with 20 ng/mL IL-21 for 30 minutes and Western blotted with antibodies to phosphorylated or nonphosphorylated STAT proteins as in Figure 1A. 0 through 9 refer to the conditions for the Western blot insets. The lines for 1 to 9 and symbols refer to the flow cytometric analyses. The designations are as follows: p-S1 indicates phosphorylated Stat1; S1, total Stat1, and analogously for Stat3, Stat5, Stat5a, and Stat5b. (B) IL-21R–deficient splenic CD8+ T cells transduced with empty vector (pRV) or retroviruses expressing IL-21R constructs were treated for 30 minutes with medium or 100 ng/mL IL-21. Cells were fixed, permeabilized, and subjected to intracellular staining as in panel A. Shown is the average fold induction (means ± SEM) of MFI of phosphorylated STAT proteins from 4 independent experiments.
IL-21–induced Stat1 and Stat3 activation requires Y510. (A) Ba/F3 cells stably transfected with the indicated constructs were cultured in IL-3–free medium for 5 hours and treated with 20 ng/mL IL-21 for 0, 5, or 30 minutes. Cells were fixed, permeabilized, and subjected to intracellular staining with mAbs to p-Stat1, p-Stat3, or p-Stat5. Mean fluorescence intensity (MFI) is shown. Similar results were obtained with 100 ng/mL IL-21. These Ba/F3 stable transfectants were also stimulated with 20 ng/mL IL-21 for 30 minutes and Western blotted with antibodies to phosphorylated or nonphosphorylated STAT proteins as in Figure 1A. 0 through 9 refer to the conditions for the Western blot insets. The lines for 1 to 9 and symbols refer to the flow cytometric analyses. The designations are as follows: p-S1 indicates phosphorylated Stat1; S1, total Stat1, and analogously for Stat3, Stat5, Stat5a, and Stat5b. (B) IL-21R–deficient splenic CD8+ T cells transduced with empty vector (pRV) or retroviruses expressing IL-21R constructs were treated for 30 minutes with medium or 100 ng/mL IL-21. Cells were fixed, permeabilized, and subjected to intracellular staining as in panel A. Shown is the average fold induction (means ± SEM) of MFI of phosphorylated STAT proteins from 4 independent experiments.
Because IL-21 contributes to proliferation of CD8+ T cells, we next evaluated IL-21–mediated STAT protein activation in these cells. IL-21R–deficient CD8+ T cells were transduced with different IL-21R retroviral constructs. Using the flow cytometric approach for phosphorylated STAT proteins allowed us to selectively gate on cells that were transduced. IL-21–induced tyrosine phosphorylation of Stat1 and Stat3 was seen with retroviruses directing expression of IL-21R-WT or IL-21R-Y510, but not IL-21R-Fall or IL-21R-F510 (Figure 3B top and middle panels). Analogous to the data in Figure 3A bottom panel, although WT IL-21R appeared to mediate weak Stat5 phosphorylation, none of the mutant IL-21R constructs mediated significant Stat5 phosphorylation (Figure 3B bottom panel). The relatively weak STAT protein activation in this experiment in primary cells was consistent with the relatively low IL-21R expression achieved by using retroviral transduction of IL-21R–deficient primary cells.
IL-21R Y510 is critical for maximal IL-21–mediated proliferation
We next evaluated the role of IL-21R tyrosines for proliferation, initially using the Ba/F3 stable transfectants described in Figure 2. Compared to the WT IL-21R construct, the IL-21R-Fall mutant exhibited greatly diminished thymidine incorporation, with some proliferation evident only at 100 ng/mL IL-21 (Figure 4A, WT versus Fall), suggesting that there is at least some IL-21R tyrosine-independent proliferation that is mediated by high concentrations of IL-21. Constructs with only Y361, Y369, or Y397 were similar to the Fall mutant, those with Y281 or Y319 exhibited somewhat more proliferation, but the construct retaining only Y510 mediated a proliferative response similar to WT (Figure 4A) and was the only mutant to exhibit significant proliferation at the lowest concentration of IL-21. We also measured cell cycle progression by labeling cells with Far Red DDAO-SE, an amine-reactive cell tracer. Consistent with the thymidine incorporation data, the IL-21R-Y510 and WT transfectants had similar IL-21–induced DDAO-SE dilution profiles (Figure 4Bxiii-xv versus v-vii), whereas cells expressing IL-21R-Fall divided much less than the WT construct even at 100 ng/mL IL-21 (Figure 4Bxi; versus vii). As expected, all the transfectants exhibited WT levels of proliferation to IL-3 (Figure 4Biv, viii, xii, and xvi).
IL-21R Y510 mediates maximal proliferative response to IL-21. (A) Ba/F3 cells not transfected or stably transfected with the indicated constructs were treated with 0 to 100 ng/mL IL-21 for 3 days, and thymidine incorporation was determined. A representative experiment of 3 performed is shown. (B-C) Ba/F3 cells stably (B) or transiently (C) expressing IL-21R constructs were stained with DDAO-SE and cultured for 2 days in medium containing 10 or 100 ng/mL IL-21 or 1 ng/mL IL-3. Percent DDAO-SE dilution is indicated. Ba/F3 indicates parental Ba/F3 cells; pRV, Ba/F3 cells transiently transfected with empty vector. (D) IL-21R–deficient splenic B cells transiently transduced with the indicated constructs were stained with DDAO-SE and cultured for 4 days in medium containing 1 μg/mL anti-CD40 with or without 100 ng/mL IL-21 and analyzed. Percent DDAO-SE dilution is indicated. Statistical analyses are comparisons to parental Ba/F3 cells (B), Ba/F3 cells transduced with pRV (C), and IL-21R–deficient splenic B cells transduced with pRV (D).
IL-21R Y510 mediates maximal proliferative response to IL-21. (A) Ba/F3 cells not transfected or stably transfected with the indicated constructs were treated with 0 to 100 ng/mL IL-21 for 3 days, and thymidine incorporation was determined. A representative experiment of 3 performed is shown. (B-C) Ba/F3 cells stably (B) or transiently (C) expressing IL-21R constructs were stained with DDAO-SE and cultured for 2 days in medium containing 10 or 100 ng/mL IL-21 or 1 ng/mL IL-3. Percent DDAO-SE dilution is indicated. Ba/F3 indicates parental Ba/F3 cells; pRV, Ba/F3 cells transiently transfected with empty vector. (D) IL-21R–deficient splenic B cells transiently transduced with the indicated constructs were stained with DDAO-SE and cultured for 4 days in medium containing 1 μg/mL anti-CD40 with or without 100 ng/mL IL-21 and analyzed. Percent DDAO-SE dilution is indicated. Statistical analyses are comparisons to parental Ba/F3 cells (B), Ba/F3 cells transduced with pRV (C), and IL-21R–deficient splenic B cells transduced with pRV (D).
Because of possible clonal variation in stable transfectants, we also analyzed Ba/F3 cells transiently transfected by retroviral transduction with the empty vector (pRV) or WT, Fall, Y510, or F510 IL-21R constructs (Figure 4C). As with the stable transfectants, Y510 mediated similar IL-21–induced proliferation to that of the WT construct, whereas Fall had low proliferation (Figure 4Cv-vii, ix-xi, and xiii-xv). Of interest, Y510-independent effects of IL-21 were indicated by the ability of the IL-21R-F510 mutant to mediate some DDAO-SE dilution (Figure 4Cxviii-xix versus xvii), albeit at a decreased level.
We also evaluated the role of these tyrosines in primary B cells by transducing IL-21R–deficient B cells with WT and mutant IL-21R retroviral constructs (Figure 4D). When cultured in the presence of anti-CD40 + IL-21, B cells expressing IL-21R-WT or Y510 had greater cell division than cells transduced with the pRV empty vector (Figure 4Div and viii versus ii). Consistent with the results in Ba/F3 cells, a small effect of IL-21 was also seen with the F510 construct (Figure 4Dx). These data demonstrate a critical contribution of tyrosines, particularly Y510, in IL-21 signaling and function, but also indicate that some of the proliferative effect of IL-21 is independent of Y510.
Stat1/Stat3-deficient CD8+ T cells exhibit decreased responsiveness to IL-15 + IL-21
The data shown in Figures 3 and 4 indicated a role for IL-21R tyrosines for both Stat1 and Stat3 protein activation and for proliferation. As WT CD8+ T cells are rapidly expanded by IL-15 + IL-21,11 we next examined proliferation in CD8+ T cells from WT mice, mice lacking Stat1,25 mice lacking Stat3 expression in T cells (“T-cell Stat3”),28 or mice lacking both Stat1 and T-cell Stat3 (Figure 5A). 28 We labeled the cells with CFSE, another amine-reactive cell tracer, and cultured in medium, IL-15, IL-21, or IL-15 + IL-21. Consistent with our previous report,11 in WT cells, IL-15 induced some proliferation, IL-21 was very weak, but the combination potently drove proliferation (Figure 5Bii-iv). The CFSE dilution profiles revealed that Stat1-deficient cells tended to exhibit slightly reduced rate of cell division in IL-15– or IL-21–treated CD8+ T cells (Figure 5Bvi-vii versus ii-iii) and Stat3 deficiency had a greater effect on IL-21–treated than on IL-15–treated CD8+ T cells (Figure 5Bx-xi versus ii-iii), consistent with potent Stat3 activation by IL-21 but not IL-15. A partial decrease in cell cycle progression of CD8+ T cells lacking expression of Stat1 or Stat3 was also seen in response to IL-15 + IL-21 (Figure 5Bviii and xii versus iv). CD8+ T cells lacking both Stat1 and Stat3 expression had decreased cell cycle progression when treated with IL-15, IL-21, or IL-15 + IL-21 (Figure 5Bxiv-xvi versus ii-iv). Nevertheless, these Stat1/Stat3 double knock-out CD8+ T cells still significantly divided in response to IL-15 + IL-21. Thus, Stat1- and Stat3-dependent signaling pathways contribute directly or indirectly to IL-21/IL-15–mediated proliferation, but other signaling pathway(s) also contribute. The greater effect in the Stat3 knock-out CD8+ T cells than in the Stat1 knock-out CD8+ T cells was anticipated as Stat3,36,37 like Stat5,32,38,39 is oncogenic and has been linked to proliferation.
Stat1/Stat3-deficient CD8+ T cells exhibit diminished expansion in response to IL-15 + IL-21. (A) Splenic CD8+ T cells were isolated from control floxed Stat3 mice or Stat1−/−Stat3−/− mice and then Western blotted as in Figure 1A with antibodies to Stat1, Stat3, and Stat5a. (B) Splenic CD8+ T cells were isolated from WT, Stat1−/−, Stat3−/−, or Stat1−/−Stat3−/− mice, stained with CFSE, cultured in complete medium at 5 × 105/mL without cytokine or with 100 ng/mL of IL-15 and/or IL-21 for 4 days, and analyzed by flow cytometry. Percent CFSE dilution is indicated. Flow cytometric results shown are representative of 3 experiments. Statistical analyses are comparisons to cells from WT mice. *P < .05; **P < .01.
Stat1/Stat3-deficient CD8+ T cells exhibit diminished expansion in response to IL-15 + IL-21. (A) Splenic CD8+ T cells were isolated from control floxed Stat3 mice or Stat1−/−Stat3−/− mice and then Western blotted as in Figure 1A with antibodies to Stat1, Stat3, and Stat5a. (B) Splenic CD8+ T cells were isolated from WT, Stat1−/−, Stat3−/−, or Stat1−/−Stat3−/− mice, stained with CFSE, cultured in complete medium at 5 × 105/mL without cytokine or with 100 ng/mL of IL-15 and/or IL-21 for 4 days, and analyzed by flow cytometry. Percent CFSE dilution is indicated. Flow cytometric results shown are representative of 3 experiments. Statistical analyses are comparisons to cells from WT mice. *P < .05; **P < .01.
Both MAPK and PI3K pathways contribute to IL-21–mediated proliferation
In addition to the Jak-STAT pathway, certain γc-dependent cytokines can activate MAPK and PI3K/Akt pathways, and, for example, in the case of IL-2, these pathways are known to contribute to proliferation.40 To investigate whether IL-21 also activates these pathways, we examined the phosphorylation of Shc, an adaptor protein with p46, p52, and p66 isoforms that initiates activation of the MAPK pathway,32,41,42 and of Akt,43 a serine/threonine kinase that mediates many events downstream of PI3K (Figure 6). As expected, both Shc (mainly p52) and Akt were strongly phosphorylated in Ba/F3 cells expressing WT IL-21R in response to IL-3 (Figure 6A lanes 7-11 versus 1). In addition, IL-21 activated Shc (p52) and Akt (lanes 3-6 versus 1), albeit weakly. The phosphorylation of Shc is consistent with reports that IL-21 can activate p42/44 MAPK in cell lines.18,44 We also looked at Shc and Akt phosphorylation in primary CD8+ T cells, given the responsiveness of these cells to IL-15 and IL-21. Shc (mainly p66) was activated by IL-15, IL-21, and the combination of these cytokines in CD8+ T cells (Figure 6B upper panel lanes 2-4 versus 1). IL-21 also increased Akt phosphorylation in these cells (Figure 6B lower panel, lanes 2-4 versus 1). It is evident that the phosphorylation pattern for Shc varies in different cell types, with stronger phosphorylation of the p66 isoform in CD8+ T cells than in Ba/F3 cells.
Both MAPK and PI3K pathways contribute to IL-21–mediated proliferation. (A) Ba/F3 cells expressing WT IL-21R were starved of IL-3 for 5 hours and then stimulated with IL-21 (100 ng/mL) or IL-3 (2 ng/mL) for 5 minutes, 30 minutes, 1 hour, 3 hours, or 6 hours. Cells were harvested, lysed, and Western blotted with antibodies to p-Shc or p-Akt, and then reprobed with antibodies to Shc or Akt. Note that there are at least 3 isoforms for Shc (p46, p52, and p66). (B) Splenic CD8+ T cells were stimulated for 30 minutes with 100 ng/mL IL-15, 100 ng/mL IL-21, or both IL-15 and IL-21, harvested, lysed, and Western blotted as in panel A. (C) Ba/F3 cells stably transfected with the IL-21R-Y510 construct were stained with DDAO-SE, cultured in medium containing 10 ng/mL IL-21, 100 ng/mL IL-21, or 1 ng/mL IL-3 for 2 days in the presence of DMSO (control solvent), 50 nM wortmannin (Wort), 50 μM PD98059 (PD), or both Wort and PD, and analyzed by flow cytometry. Percent DDAO-SE dilution is indicated. (D) Splenic CD8+ T cells from Stat1−/−Stat3−/− mice were stained with CFSE, cultured in medium or with 100 ng/mL IL-15 and/or IL-21 for 4 days in the presence of DMSO, Wort, PD, or both Wort and PD, and analyzed by flow cytometry. Percent CFSE dilution is indicated. Results are representative of 3 experiments. Statistical analyses are comparisons to cells treated with DMSO. *P < .05; **P < .01; ***P < .001.
Both MAPK and PI3K pathways contribute to IL-21–mediated proliferation. (A) Ba/F3 cells expressing WT IL-21R were starved of IL-3 for 5 hours and then stimulated with IL-21 (100 ng/mL) or IL-3 (2 ng/mL) for 5 minutes, 30 minutes, 1 hour, 3 hours, or 6 hours. Cells were harvested, lysed, and Western blotted with antibodies to p-Shc or p-Akt, and then reprobed with antibodies to Shc or Akt. Note that there are at least 3 isoforms for Shc (p46, p52, and p66). (B) Splenic CD8+ T cells were stimulated for 30 minutes with 100 ng/mL IL-15, 100 ng/mL IL-21, or both IL-15 and IL-21, harvested, lysed, and Western blotted as in panel A. (C) Ba/F3 cells stably transfected with the IL-21R-Y510 construct were stained with DDAO-SE, cultured in medium containing 10 ng/mL IL-21, 100 ng/mL IL-21, or 1 ng/mL IL-3 for 2 days in the presence of DMSO (control solvent), 50 nM wortmannin (Wort), 50 μM PD98059 (PD), or both Wort and PD, and analyzed by flow cytometry. Percent DDAO-SE dilution is indicated. (D) Splenic CD8+ T cells from Stat1−/−Stat3−/− mice were stained with CFSE, cultured in medium or with 100 ng/mL IL-15 and/or IL-21 for 4 days in the presence of DMSO, Wort, PD, or both Wort and PD, and analyzed by flow cytometry. Percent CFSE dilution is indicated. Results are representative of 3 experiments. Statistical analyses are comparisons to cells treated with DMSO. *P < .05; **P < .01; ***P < .001.
To further evaluate the possible roles of the MAPK and PI3K pathways in IL-21–mediated proliferation, we used the PI3K inhibitor wortmannin and the MAPK inhibitor PD98059 and examined their effects in Ba/F3 transfectants (Figure 6C) using CFSE. Treatment with wortmannin (Figure 6Cvi-vii versus ii-iii) tended to decrease proliferation but not at a statistically significant level, treatment with PD98059 had a significant effect (Figure 6Cx-xi versus ii-iii), and the combination of wortmannin and PD98059 essentially abrogated proliferation (Figure 6Cxiv-xv versus ii-iii). These were specific rather than toxic effects, as these agents had little if any effect on IL-3–mediated proliferation (Figure 6Cviii, xii, and xvi versus iv). Moreover, the combination of wortmannin and PD98059 significantly decreased IL-15 + IL-21–mediated proliferation in Stat1/Stat3 double knock-out CD8+ T cells (Figure 6Dviii, xii, and xvi versus iv). Thus, the MAPK and PI3K pathways contribute to IL-21–mediated proliferation.
Discussion
We have analyzed the role of tyrosine residues in the IL-21R cytoplasmic domain and found that simultaneous mutation of all 6 tyrosines greatly diminished IL-21–induced proliferation and that Y510 alone can mediate a full proliferative response. IL-21R is most closely related to IL-2Rβ, which transduces IL-2–induced proliferation signals by activating at least 3 signaling pathways: the Jak-STAT, MAPK, and PI3K pathways.40 Of the 6 tyrosines in the IL-2Rβ cytoplasmic domain, Y392 and Y510 mediate STAT protein activation, whereas Y338 mediates tyrosine phosphorylation of Shc.32,33,45 These 3 tyrosines each contribute to a proliferative signal and together mediate a full proliferative response.32 In the case of IL-21R, the Y510 construct that retains only the most C-terminal tyrosine mediates a full proliferative response.
We found that IL-21–induced activation of STAT proteins in both Ba/F3 cells and primary cells is dynamic, with IL-21 inducing tyrosine phosphorylation of Stat1, Stat3, and Stat5 within 15 minutes. Phosphorylation of Stat3 was the most sustained, whereas Stat5 phosphorylation most rapidly declined. As no single tyrosine residue in the IL-21R cytoplasmic domain mediated Stat5 phosphorylation at the WT level, we speculate that transient Stat5 phosphorylation might involve an interaction of Stat5 with an activated Jak kinase, a phenomenon that has been observed.46,47 It is also possible that Stat5 activation via WT IL-21R results from an additive effect of multiple tyrosines. Given the role of Stat5 in lymphocyte development and function,48–50 even transient activation of Stat5 by IL-21 might be important. We found that both Stat1 and Stat3 were activated via Y510. Y510 is part of a YXXQ consensus Stat3-binding motif51 conserved in human and mouse IL-21R, providing an explanation as to why Stat3 is activated by IL-21. Of interest, the Fall mutant mediated slightly higher phosphorylation of Stat1 and Stat3 than some of the other mutants (Figure 3A). Although the explanation for this is not yet clear, one possibility for future investigation is that certain IL-21R tyrosine(s) may recruit phosphatases or other proteins to indirectly result in the dephosphorylation of STAT proteins or alternatively to potentially be involved in the recruitment of SOCS proteins that could inhibit phosphorylation.
Based on tyrosine mutants, we correlated increased proliferation with Stat1/Stat3 activation. Moreover, our analysis of Stat1- and Stat3-deficient mice indicated decreased IL-21–dependent proliferation. These effects could be direct or indirect based on modulation of expression of STAT target genes. The sets of genes activated by IL-15 (encoding Bcl2, c-Myc, and cyclin D2, etc), IL-21 (encoding granzyme A, Jak3, and IL-17R, etc), and IL-15 + IL-21 (encoding granzyme B, c-Jun, and IL-21R, etc) have been reported,11 but a careful analysis of the genes involved in proliferation and which of these are STAT dependent requires additional investigation. Although the decreased responsiveness may result from developmental defects, no such defects have been reported in the Stat1, T-cell Stat3, or double KO mice, and T cells from these mice proliferate normally in response to IL-7, calcium ionophore + PMA, anti-CD3 + high concentrations of IL-2, or phorbol ester + IL-2.28,52,53 Nevertheless, analogous to Stat5-deficient cells,48,49 Stat3-deficient T cells28,52,53 exhibit diminished IL-2–induced IL-2Rα expression and defective proliferation to low levels of IL-2 that are sufficient to signal via high-affinity but not intermediate-affinity IL-2 receptors.54 Thus, a partial developmental defect in T cells cannot be excluded. Such a defect would not prevent maximal proliferation of the cells to all stimuli as evidenced by the full proliferation to phorbol ester + IL-2 in Stat1/Stat3 DKO mice as noted above. It is generally accepted that Stat1 is a negative regulator of cell growth and survival, whereas Stat3 promotes these functions and is oncogenic,55,56 suggesting that Stat3 might play a greater role in IL-21–induced proliferation.
Although proliferation was decreased in the STAT KO mice, substantial proliferation remained. Indeed, IL-21 also mediated phosphorylation of Shc and Akt, with significant inhibition of proliferation by wortmannin + PD98059, indicating the roles of MAPK and PI3K pathways in IL-21–mediated proliferation. Of interest, IL-21 induced only very low proliferation when both pathways were blocked in IL-21R–reconstituted Ba/F3 cells (Figure 6C), whereas this treatment had no effect on IL-3–induced proliferation. These data suggest that full IL-21–mediated proliferation may require cooperative effects of these 3 pathways, either at transcriptional level by coregulating certain gene(s) critical for cell cycle progression, or at a functional level by regulating parallel or sequential cascades that lead to cell proliferation.
In this study, we found a critical role for tyrosine residues in IL-21R–mediated signaling and defined a role for Y510 in IL-21–mediated proliferation in Ba/F3 or primary B cells, but we also found evidence for Y510-independent signaling as well. We have also defined a key role for Y510 for IL-21–induced STAT protein activation. Finally, in examining IL-21–mediated proliferation in Ba/F3 transfectants and proliferation cooperatively induced by IL-15 and IL-21 in primary CD8+ T cells, we have additionally identified key roles for the MAPK and PI3K pathways. IL-21 has a broad range of actions on B cells, CD8+ T cells, NK cells, and DCs, including either stimulatory or suppressive effects depending on the target cell and stimulation context.5 Our data suggest that the tyrosine residues of IL-21R, particularly Y510, provide potentially specific therapeutic targets for fine-tuning the effects of IL-21 within multiple cell lineages involved in autoimmunity, allergy, and cancer, given the possible positive or negative role of IL-21 in these pathologic processes.5
Authorship
Contribution: R.Z. designed research, performed research, collected data, analyzed data, and wrote the paper; R.S. performed research, collected data, analyzed data, and wrote the paper; E.C. and W.Z. performed research and collected data; D.E.L. contributed vital new reagents or analytical tools, analyzed data, and wrote the paper; and W.J.L. designed research, analyzed data, and wrote the paper.
Conflict-of-interest disclosure: The authors declare no competing financial interests.
Correspondence: Warren J. Leonard, 9000 Rockville Pike, Bldg 10, Rm 7B05, NIH, Bethesda, MD 20892-1674; e-mail: wjl@helix.nih.gov.
The publication costs of this article were defrayed in part by page charge payment. Therefore, and solely to indicate this fact, this article is hereby marked “advertisement” in accordance with 18 USC section 1734.
Acknowledgments
This work was supported by the Intramural Research Program, NHLBI, NIH (W.J.L.), and NIH grant AI28900 (D.E.L.).
We thank Drs Jian-Xin Lin, Hai-Hui Xue, Wei Liao, and Keji Zhao for valuable discussions and/or critical comments.






This feature is available to Subscribers Only
Sign In or Create an Account Close Modal