Subjects:
BloodWork
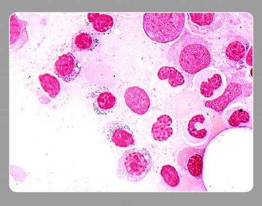
Prussian blue stain helps demonstrate the classic appearance of ring sideroblasts. Iron is deposited in a “necklace” distribution around the nucleus.FIG1
Many Blood Work images are provided by the ASH IMAGE BANK, a reference and teaching tool that is continually updated with new atlas images and images of case studies. For more information or to contribute to the Image Bank, visit www.ashimagebank.org.
Copyright © 2006 by The American Society of Hematology
2006

Peter Maslak, Memorial Sloan-Kettering Cancer Center
This feature is available to Subscribers Only
Sign In or Create an Account Close Modal