Subjects:
BloodWork
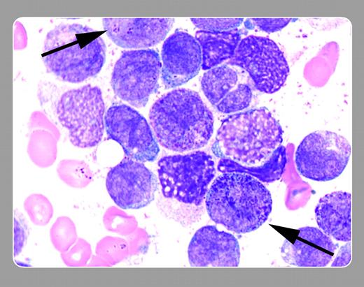
Blasts are increased in the bone marrow with evidence of both monocytic and granulocytic differentiation. Dysplastic eosinophils (arrows) that contain a mixture of eosinophilic and basophilic granules characterize this disorder.FIG1
Many Blood Work images are provided by the ASH IMAGE BANK, a reference and teaching tool that is continually updated with new atlas images and images of case studies. For more information or to contribute to the Image Bank, visit www.ashimagebank.org.
Copyright © 2005 by The American Society of Hematology
2005

Peter Maslak, Memorial Sloan-Kettering Cancer Center
This feature is available to Subscribers Only
Sign In or Create an Account Close Modal