Topics:
blood platelets
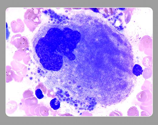
The cytoplasm of the megakaryocyte undergoes a process of granulation and demarcation, eventually resulting in the formation of platelets. In liquid culture, platelets appear to arise from the tips of long processes termed proplatelets. The precise mechanism of platelet formation and release in vivo remains an area of study.FIG1
Many Blood Work images are provided by the ASH IMAGE BANK, a reference and teaching tool that is continually updated with new atlas images and images of case studies. For more information or to contribute to the Image Bank, visit www.ashimagebank.org.
Copyright © 2005 by The American Society of Hematology
2005

Peter Maslak, Memorial Sloan-Kettering Cancer Center
This feature is available to Subscribers Only
Sign In or Create an Account Close Modal