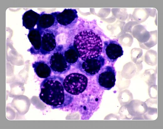
Histiocytes ingesting red cell precursors may be found in a reactive bone marrow resulting from infection.FIG1
Peter Maslak and Susan McKenzie, Memorial Sloan-Kettering Cancer Center
Peter Maslak and Susan McKenzie, Memorial Sloan-Kettering Cancer Center
IMAGES IN HEMATOLOGY
Many Blood Work images are provided by the ASH IMAGE BANK, a reference and teaching tool that is continually updated with new atlas images and images of case studies. For more information or to contribute to the Image Bank, visit www.ashimagebank.org.
Copyright © 2005 by The American Society of Hematology
2005

This feature is available to Subscribers Only
Sign In or Create an Account Close Modal