Abstract
Chimeric receptor (CR)–redirected lymphocytes (T bodies) have great potential in the eradication of tumor cells. To extend this approach to target cells that do not express surface ligands to costimulatory receptors (eg, cancer cells), we have generated an antibody-based tripartite chimeric receptor (TPCR) that contains scFv linked to the costimulatory molecule, CD28 without its ligand-binding domain, and to the cytoplasmic moiety of the FcRγ subunit. In this study, we tested the ability of 2,4,6-trinitrophenyl (TNP)–specific TPCR to drive primary, naïve T cells derived from CR-transgenic (Tg) mice to undergo full activation. As a control, we used Tg mice expressing a similar transgene but lacking the signaling region of CD28 (Tg-TPCRΔCD28). Only T cells from the TPCR-Tg and not the CD28-truncated TPCR-Tg mice could undergo activation following stimulation on hapten-modified target cells not expressing B7. Moreover, when stimulated with TNP protein displayed on plastic, the TPCR-Tg T cells expressing the entire TPCR gene became fully activated for proliferation, interleukin 2 production, protection from apoptosis, and killing of TNP-modified target cells. Finally, TPCR-Tg mice manifested a delayed-type hypersensitivity response following skin challenge in the absence of priming. Taken together, our results suggest that the TPCR is the receptor configuration of choice for clinical applications using primary T or stem cells.
Introduction
The chimeric receptor (CR) approach has been designed1 to redirect the specificity of effector lymphocytes toward a variety of clinically important targets such as tumor or virally infected cells. The CR is based on an artificial immune receptor composed of an extracellular antigen-binding domain (usually in the form of single-chain variable region fragment [scFv] derived from an antibody or T-cell receptor [TCR]) linked through a transmembrane motif to a cytoplasmic lymphocyte-signaling moiety (eg, TCR/CD3-ζ or FcRγ immune receptor tyrosine-based activation motifs [ITAMs]). Using an antibody-derived scFv as the recognition unit enables the nonmajor histocompatibility complex (MHC)–restricted specificity of the humoral arm of the immune system to be combined with the efficient homing, extravasation, and target rejection mediated by the cellular arm of the immune system. Indeed, such CR genes when expressed in T cells were found to be functional, and on encountering their antigens, to induce lymphokine production and cytolysis by the recipient cells.2-4 As such, effector lymphocytes armed with CR hold promise for the adoptive therapy of various cancers and HIV-infected cells, and several clinical trials have been initiated to evaluate this potential.5,6
The first configuration of single-chain CR was composed of 2 functional moieties—an extracellular recognition unit and an intracellular signaling domain.7,8 This configuration is active when expressed in preactivated T cells or when used against target cells that express the surface B7 marker (CD80 or CD86). Because, in addition to signaling through the TCR/CD3 complex, a costimulatory signal is required for full activation and proliferation of T cells, especially unprimed or resting cells,9,10 the signaling domain of CD28 was added to the cytoplasmic domain of the CR.11,12 Such a tripartite configuration was indeed proven advantageous in activating CR-bearing T cells in vitro and it is expected to be beneficial for their maintenance in vivo, especially in cases where the target cells do not express coreceptor ligands. Yet, none of the studies done with the scFv-CD28-ζ/γ tripartite CR (TPCR) has tested the advantages of this receptor configuration in unprimed lymphocytes.
Practically it is impossible to efficiently introduce and express genes in resting lymphocytes, because most studies preactivate the cells and then use retrovirus- or lentivirus-based vectors13 for gene delivery to T cells. Therefore, the effect of CD28 could not be fully evaluated with this protocol. To study the activity of CR in primary T cells, Brocker and colleagues14,15 tested the functional expression of scFv-ζ CR in T cells derived from transgenic mice harboring CR genes. These studies indicated that the CR was not functional in naïve T cells. To obtain a specific response, the cells had to be prestimulated with an anti-idiotypic antibody before challenge. In another transgenic system, using an MHC class II-ζ–based heterodimeric CR, Geiger and colleagues16,17 demonstrated activation of the T cells. However, in this study, signaling through the CD4 coreceptor was required to expedite calcium flux.
For adoptive immunotherapy using CR-bearing T lymphocytes (T bodies), we believe that the TPCR, combining both stimulatory and costimulatory signaling domains, is advantageous.18,19 Also, because the use of hematopoietic stem cells (HSCs) modified with CR20 is a possible therapeutic approach, it is reasonable to expect that both signal I and signal II will be required for the resulting lymphocytes, developed in the recipient, to functionally express the CR. To explore the role of CD28 costimulation in CR expressed on resting T cells, in this study we generated transgenic mice expressing a TPCR comprised of 2,4,6-trinitrophenyl (TNP)–specific scFv fused to CD28-γ. The reactivity of T cells derived from these mice was compared to wild-type (WT) T cells or T cells from transgenic (Tg) mice containing a CR incorporating truncated CD28 (missing its signaling moiety; Tg-TPCRΔCD28). Here, we demonstrate that naïve resting T cells derived from the mice expressing the tripartite configuration of the CR are capable of activating both stimulatory and costimulatory signaling pathways, as shown by specific antigen-induced proliferation, interleukin 2 (IL-2) secretion, induction of IL-2 receptor α (IL-2Rα) chain expression, rescue from apoptosis, and cytotoxicity in vitro, as well as in vivo delayed-type hypersensitivity (DTH) responses.
Materials and methods
Antibodies, cell lines, and reagents
Anti-CD28 (37.51), anti-CD25/IL-2Rα-BIOT (7D4), anti–Thy 1.2-phycoerythrin (PE; CD90.2), anti-NK1.1, anti-IgM, and anti–MHC-II were all purchased from Southern Biotechnology Associates (Birmingham, AL). Anti-CD11c was obtained from BD PharMingen (San Diego, CA). Anti–bcl-xL was purchased from Transduction Laboratories (Lexington, KY).Antiphosphorylated extracellular signal-related kinase (ERK1/2) was purchased from Biosource (Camarillo, CA); anti-ERK1/2 (Sigma, St Louis, MO); antiphosphorylated AKT (pAKT), also known as protein kinase B (PKB), and anti-AKT were obtained from Cell Signaling Technology (Beverly, MA). Anti-idiotypic monoclonal antibody (mAb) GK 20.5 (anti-Sp6) was a gift from the late Prof G. Köhler1 ; 2C11, a hamster anti–mouse CD3ϵ mAb, was kindly provided by Prof J. Bluestone (UCSF, San Francisco, CA).
A20, an H-2d B-cell lymphoma line, was cultured in Dulbecco modified Eagle medium (DMEM) supplemented with 2 mM glutamine, penicillin, streptomycin, and 10% fetal calf serum (FCS). P815, an H-2d mastocytoma line that does not express the CD28 ligands B7.1 (CD80) and B7.2 (CD86) and a subclone that was transfected with B7 cDNA(kindly provided by Prof. L. Lanier, UCSF, San Francisco, CA) was cultured in RPMI 1640 supplemented with 2 mM glutamine, 100 u/mL penicillin, 100 μg/mL streptomycin, and 10% FCS.
Generation of transgenic mice
Generation of the TPCR construct was described previously.11 A fraction of the CD28 molecule, starting from amino acid sequence VKGK (position 135-220) was cloned between the scFv and the cytoplasmic part of the FcRγ. This construct includes the hinge region, transmembrane region, and cytoplasmic region and lacks the B7-binding site. For the truncated form of CD28 (ΔCD28) that does not include the CD28 intracellular signaling domain, we cloned the CD28 fragment from position 135 to 184 (SKRS) at the same site. In both constructs, the γ-chain cytoplasmic region starts from the amino acid sequence QVR at a BglII site to the 3′ end of the gene. This deletes the CRLKI sequence at the amino terminus of the Fcϵ receptor γ chain.21
Specific expression of CR in T and natural killer (NK) cells was achieved by cloning the EcoRI-XhoI DNA of anti-TNP (Sp6)–CD28-γ or EcoRI-XhoI DNA of Sp6-ΔCD28-γ into a human CD2 promoter/enhancer minigene-based vector, kindly provided by Dr D. Kioussis22 (University College, London, UK) (Figure 1). After digestion with NotI and KpnI, the transgene DNA was purified by electrophoresis in low-melting-point agarose followed by affinity chromatography using Elutip-d columns (Schleicher & Schuell, Dassel, Germany).
Chimeric receptor design. (A) Schematic diagram of the chimeric receptors. The TNP-specific CR encompasses an scFv derived from the anti-TNP mAb, Sp6. In the tripartite configuration, the scFv is joined to a short portion (lacking the ligand-binding site) of the extracellular, transmembrane, and cytoplasmic domains of CD28 fused to the FcRγ chain. In the control CR configuration, the cytoplasmic domain of the CD28 molecule was deleted. (B) Chimeric receptor transgene constructs. Construct sequences that served to generate the transgenic mice were placed under the control of the human CD2 promoter/enhancer that directs expression only in T and NK cells. CYT indicates cytoplasmic domain; H, hinge domain; L, immunoglobulin leader; LCR, locus control region; P, promoter; pL, plasmid sequence; TM, transmembrane domain; VH and VL, immunoglobulin heavy- and light-chain variable domains, respectively; ΔCD28, deleted CD28 domain containing part of the extracellular and the transmembrane domain, and lacking the cytoplasmic signaling moiety. (C). Surface expression of anti-TNP CR in T (top row) and NK (bottom row) cells in the spleen of transgenic mice. Bulk splenocytes from WT or transgenic mice were double-stained with PE-conjugated rat anti–mouse Thy1.2 or PE-conjugated anti-NK1.1 and either biotinylated anti–Sp6-idiotype mAb GK-20.5 (bold lines) or matching biotinylated isotype control anti-DNP mAb (dashed lines), followed by secondary staining with fluorescein isothiocyanate (FITC)–conjugated streptavidin. Histograms were generated by gating on Thy1.2+ (top row) or NK1.1+ (bottom row) lymphocytes.
Chimeric receptor design. (A) Schematic diagram of the chimeric receptors. The TNP-specific CR encompasses an scFv derived from the anti-TNP mAb, Sp6. In the tripartite configuration, the scFv is joined to a short portion (lacking the ligand-binding site) of the extracellular, transmembrane, and cytoplasmic domains of CD28 fused to the FcRγ chain. In the control CR configuration, the cytoplasmic domain of the CD28 molecule was deleted. (B) Chimeric receptor transgene constructs. Construct sequences that served to generate the transgenic mice were placed under the control of the human CD2 promoter/enhancer that directs expression only in T and NK cells. CYT indicates cytoplasmic domain; H, hinge domain; L, immunoglobulin leader; LCR, locus control region; P, promoter; pL, plasmid sequence; TM, transmembrane domain; VH and VL, immunoglobulin heavy- and light-chain variable domains, respectively; ΔCD28, deleted CD28 domain containing part of the extracellular and the transmembrane domain, and lacking the cytoplasmic signaling moiety. (C). Surface expression of anti-TNP CR in T (top row) and NK (bottom row) cells in the spleen of transgenic mice. Bulk splenocytes from WT or transgenic mice were double-stained with PE-conjugated rat anti–mouse Thy1.2 or PE-conjugated anti-NK1.1 and either biotinylated anti–Sp6-idiotype mAb GK-20.5 (bold lines) or matching biotinylated isotype control anti-DNP mAb (dashed lines), followed by secondary staining with fluorescein isothiocyanate (FITC)–conjugated streptavidin. Histograms were generated by gating on Thy1.2+ (top row) or NK1.1+ (bottom row) lymphocytes.
Transgenic mice were generated at the Weizmann Institute's Department for Veterinary Resources by pronuclear microinjection of (BALB/c × C57BL/6)F2 fertilized eggs derived from hyperovulated donor females. Founder mice were screened by polymerase chain reaction (PCR) of DNA from tail samples. All experiments were approved by the Weizmann Institute Animal Care and Use Committee.
Purification of T cells
T cells were purified from splenocytes by depletion of MHC class II+, CD11c+, and IgM+ cells using biotinylated antibodies followed by magnetic beads (magnetically activated cell sorting [MACS] separation; Miltenyi Biotech, Bergisch Gladbach, Germany) or using SpinSep (StemCell Technologies, Vancouver, BC, Canada) for enrichment of murine T cells. Purity of the enriched T-cell population was routinely more than 92%.
Flow cytometry
Lymphocytes (1 × 106) were incubated with the appropriate antibodies in staining buffer (5% FCS, 0.05% sodium azide in phosphate-buffered saline [PBS]) for 30 minutes on ice. Cells were spun down and washed with staining medium, resuspended in PBS, and analyzed by flow cytometry using a fluorescence-activated cell sorting (FACS, Becton Dickinson, Mountain View, CA) assay (FACScan) and CellQuest software (Becton Dickinson).
T-cell activation
Purified antigens or antibodies diluted in PBS were used to coat the wells of 96-well flat-bottom microculture plates or 24-well culture plates. After coating and washing with PBS, wells were blocked with stimulating medium (RPMI 1640 medium supplemented with 2 mM glutamine, 10 mM 2-mercaptoethanol [2-ME], 100 u/mL penicillin, 100 μg/mL streptomycin, and 10% FCS). For IL-2 production and proliferation assays, purified T cells were cultured in 0.2 mL stimulating medium at 2 × 105 cells/well in the coated 96-well microculture plates. For the other assays, purified T cells (1 × 106 cells/well) were cultured in coated 24-well culture plates in a volume of 1 mL. Cultures were incubated in a humidified atmosphere at 5% CO2 at 37°C. Culture supernatants and cells were harvested at various time points as indicated in “Results.”
Determination of IL-2 secretion
Apoptosis assays
Apoptosis was assayed by determination of hypodiploid populations in propidium iodide–staining profiles used for cell cycle analysis.25
Cytotoxicity assays
A20 lymphoma target cells were modified by TNP using 10 mM trinitrobenzene sulfonic acid (TNBS) as described,26 and incubated together with purified T cells at different ratios in stimulating medium for 6 hours. Cytotoxicity assay was performed using a nonradioactive detection kit (lactate dehydrogenase [LDH]; Roche Diagnostics, Indianapolis, IN) following the manufacturer's instructions.
DTH test
The radiometric test for DTH was performed as previously described.27 Briefly, mice were pretreated with cyclophosphamide and 2 days later sensitized with the antigen, dinitrofluorobenzene (DNFB), applied directly to the skin. After 5 days, mice were challenged by the application of the antigen to the right pinna. Mice were pretreated with 5-fluorodeoxyuridine (F-UdR; Sigma-Aldrich, St Louis, MO) 10 hours later, and a pulse of 2 μCi (0.074 MBq) 125I-UdR (Amersham, Buckinghamshire, United Kingdom) was given intravenously. After 16 hours, the mice were humanely killed and the pinnae cut off at the hairline. Individual pinnae were placed in plastic tubes and counted in a γ spectrometer. Results were expressed as a ratio of the radioactivity accumulated in the right ear versus the left ear (R/L ratio). For histologic analysis, pinnae were fixed in buffered formalin, cut, and stained with hematoxylin and eosin. Sections were examined by a Nikon ECLIPSE TE200 microscope at × 200 magnification, with numerical aperture of LWD 20 ×/0.40. Photographs were taken using Nikon 3 × Zoom digital camera CoolPix 990.
Western blot analysis
Expression of proteins involved in protection from apoptosis (ie, bcl-xL) or signal I and signal II leading to T-cell activation (ie, phospho-ERK1/2 and c-Akt) was determined by immunoblot analysis. Aliquots of purified T cells (5 × 105 or 1 × 106 viable cells) at various time points of their stimulation were lysed in 2× sodium dodecyl sulfate (SDS) sample buffer containing 6% 2β-ME at 100°C for 5 minutes (for bcl-xL) or ice-cold lysis buffer (25 mM Tris [tris(hydroxymethyl)aminomethane], pH 7.6, Triton 1%, 150 mM NaCl, 0.5 mM EDTA [ethylenediaminetetraacetic acid) containing protease and phosphatase inhibitors (10 mM NaF, 1 mM Na3VO4, 1 mM phenylmethylsulfonyl fluoride [PMSF], 10 μg/mL leupeptin, and 10 μg/mL aprotinin) for the phospho-ERK1/2 and c-Akt. Following electrophoresis on 10% SDS-polyacrylamide gels, proteins were transferred to nitrocellulose membranes. The membranes were blocked in PBS/Tween-20 containing 5% skim milk and incubated with the indicated antibodies in the same buffer, according to the manufacturer's instructions. After washing, the membranes were treated with horseradish peroxidase (HRP)–conjugated goat anti–mouse IgG or goat anti–rabbit IgG (Jackson ImmunoResearch, West Grove, PA). Blots were developed using the enhanced chemoluminescence (ECL) reagents (Amersham). Reprobing with ERK1/2 or c-Akt–specific antibodies was performed on stripped blots.
Results
Expression of anti-TNP CR in transgenic mice
To enable the clinical use of T body-based therapy, it was important to establish how the CR affects the fate of the transduced lymphocytes in vivo. Accordingly, we studied whether the CR can fully stimulate naïve unprimed T cells by providing them simultaneously with both signal I and signal II on binding to a single antigen.
The configuration of the TPCR, which harbors the hapten TNP recognition moiety (scFv of Sp6 mAb),1 contiguously linked to costimulatory (CD28) and activation (FcRγ) domains is schematically depicted in Figure 1A. To evaluate the contribution of the CD28 sequences in antigen-specific activation, we compared the activity of 2 constructs designed to drive expression of the TPCR. In the first, the scFv recognition domain was fused to the hinge, transmembrane, and cytoplasmic signaling parts of the costimulatory molecule CD28, which, in turn, was fused to the cytoplasmic signaling domain of the γ subunit of the FcRIII receptor (Figure 1B and Kuster et al28 ). In the second configuration, TPCRΔCD28, designed to serve as a control, the cytoplasmic domain of CD28 was deleted, leaving only its transmembrane domain (Figure 1B). These constructs were expressed in transgenic mice under the control of the human CD2 promoter/LCR22 that was reported to direct high-level, position-independent, and T lineage-specific expression in transgenic mice.29 Transgene-positive (C57BL/6xBalb/c)F2 founder transgenic mice were backcrossed to either Balb/c or C57BL/6 mice to generate congenic strains of mice.
Two different founder lines that expressed various levels of the TPCR on the surface of splenic T cells (Figure 1C) were selected for further study. Whereas Tg8.4 exhibited a moderate level of surface expression of the TPCR in T as well as in NK cells, T and NK cells of the Tg8.7 strain expressed high levels. The expression level of the transgenic founder mouse in which the cytoplasmic part of CD28 was deleted (Tg-TPCRΔCD28) was comparable to that of Tg8.4 and served as an appropriate control to evaluate the role of the CD28 moiety in the TPCR. The TPCR was expressed on practically all of the T and NK (including NKT) cells.
Stimulation of primary T cells through the TPCR is independent of the B7-CD28 interaction
To assess the function of the CR in resting, unprimed T cells, we incubated purified T cells (splenocytes depleted of antigen-presenting cells [APCs] and B cells) from transgenic mice with TNP-modified stimulator P815 cells, which do not express B7 or with P815-B7 into which the B7 gene was transfected. Stimulation of the T cells from Tg8.7 and Tg8.4 mice with both TNP-modified cells induced high levels of surface expression of IL-2Rα chain (CD25, a CD28-dependent T-cell activation and proliferation marker30 ) regardless of B7 expression (Figure 2). On the other hand, T cells from Tg-TPCRΔCD28 (whose transgene lacked the CD28-signaling moiety) were able to induce high levels of CD25 only when stimulated with cells expressing the B7 costimulatory molecule. These results demonstrate that stimulation via the TPCR occurs independently of the authentic B7-CD28 interaction. Because the Tg-TPCRΔCD28-expressing T cells responded identically to T cells of WT mice, in further studies the CD28 deleted control was omitted.
Activation of T cells from transgenic mice is independent of the B7-CD28 interaction. Purified T cells were cocultured for 3 days with the different stimulator cells. Expression of the CD25 activation marker was evaluated in Thy1.2+ cells by FACS analysis. The upper part of the figure shows one set of actual dot plots, and the lower part summarizes the data of CD25 expression on T cells undergoing the various treatments (□, WT; ▧, Tg-TPCRΔCD28; ▦, Tg 8.4; ▪, Tg 8.7). Results represent 3 separate experiments, each with 3 mice/group. The percentage in the dot plot represents the fraction of lymphocytes that score positive for both Thy1.2 and CD25+. The error bars represent the standard deviation of triplicates.
Activation of T cells from transgenic mice is independent of the B7-CD28 interaction. Purified T cells were cocultured for 3 days with the different stimulator cells. Expression of the CD25 activation marker was evaluated in Thy1.2+ cells by FACS analysis. The upper part of the figure shows one set of actual dot plots, and the lower part summarizes the data of CD25 expression on T cells undergoing the various treatments (□, WT; ▧, Tg-TPCRΔCD28; ▦, Tg 8.4; ▪, Tg 8.7). Results represent 3 separate experiments, each with 3 mice/group. The percentage in the dot plot represents the fraction of lymphocytes that score positive for both Thy1.2 and CD25+. The error bars represent the standard deviation of triplicates.
Direct proof of the ability of the TPCR to fully activate T cells independently of CD28-B7 or MHC-restricted interactions is provided by the ability of purified, unprimed T cells from the transgenic mice to undergo activation by plastic displayed antigen. Following incubation in the presence of plate-coated TNP-fowl γ-globulin (TNP-FγG) as the only source of antigen, high levels of IL-2Rα expression were detected on cells derived from the transgenic mice (Tg8.7 > Tg8.4, consistent with the level of surface TPCR expression), whereas only background staining was detected on WT cells (Figure 3A). The addition of anti-CD28 antibody to these cells did not increase their degree of activation, indicating that the cells were fully activated through the TPCR. On the other hand, the same T cells from all mouse strains incubated on immobilized anti-CD3 antibody showed only background levels of staining for IL-2Rα. However, when anti-CD28 antibody was added to the anti-CD3 antibody-coated wells, the effect of the costimulation was observed in all 3 mouse strains (WT and transgenics) as manifested by high levels of expression of IL-2Rα. These experiments are consistent with the results obtained in Figures 2 and 3 and demonstrate the requirement for costimulatory signal, provided by the CD28, for full stimulation through the CR.
Plastic-immobilized antigen induces full activation of unprimed T cells. (A) Purified splenic T cells were cultured for 3 days in plates coated with either FγG, FγG-TNP, anti-CD3, or both anti-CD3 and anti-CD28 mAbs. As in Figure 2, cells were costained for Thy1.2 and CD25 expression to evaluate the IL-2Rα expression on T cells as a measure for activation. □ represents WT; ▦, Tg 8.4; and ▪, Tg 8.7. (B) Kinetics of IL-2 production in supernatants of purified splenic T cells, stimulated as described. (C) Proliferation of the same cultures assessed by the XTT assay. Results represent 4 separate experiments with 3 mice/group. (B-C) □ indicates FγG; ▴, FγG-TNP; ○, anti-CD3;.and •, both anti-CD3 and anti-CD28 mAbs. The percentage in the dot plot represents the fraction of lymphocytes that score positive for both Thy1.2 and CD25+. The error bars represent the standard deviation of triplicates.
Plastic-immobilized antigen induces full activation of unprimed T cells. (A) Purified splenic T cells were cultured for 3 days in plates coated with either FγG, FγG-TNP, anti-CD3, or both anti-CD3 and anti-CD28 mAbs. As in Figure 2, cells were costained for Thy1.2 and CD25 expression to evaluate the IL-2Rα expression on T cells as a measure for activation. □ represents WT; ▦, Tg 8.4; and ▪, Tg 8.7. (B) Kinetics of IL-2 production in supernatants of purified splenic T cells, stimulated as described. (C) Proliferation of the same cultures assessed by the XTT assay. Results represent 4 separate experiments with 3 mice/group. (B-C) □ indicates FγG; ▴, FγG-TNP; ○, anti-CD3;.and •, both anti-CD3 and anti-CD28 mAbs. The percentage in the dot plot represents the fraction of lymphocytes that score positive for both Thy1.2 and CD25+. The error bars represent the standard deviation of triplicates.
To further prove that the TPCR can trigger signal transduction pathways capable of activating untreated primary T cells, purified T cells from the transgenic mice were stimulated with immobilized FγG-TNP and the kinetics of IL-2 production and proliferation were followed (Figure 3B-C). Stimulation of purified T cells from Tg8.7 and Tg8.4 mice with immobilized FγG-TNP showed that signaling via TPCR triggered specific proliferation, which became evident by 24 and 48 hours, respectively (Figure 3C). Notably, the level of IL-2 production following anti-CD3 plus anti-CD28 stimulation in T cells from the high-level TPCR-expressing Tg8.7 mice was lower than TPCR-triggered stimulation. In further studies, in which we determined the cellularity of this transgenic mouse strain, we found that this behavior is due to the presence of a mature T-cell subpopulation in the spleen that lacks CD3 (D.F-M., T.W., and Z.E., manuscript in preparation).
To determine whether stimulation via the TPCR is able to evoke signaling events characteristic of TCR/CD3 (signal I) and CD28 (signal II) ligation, we examined the activation of MEK1/2 and phosphatidylinositol 3-kinase (PI3K), respectively; each was suggested to be involved in either one of these signaling pathways in primary T cells.31 Figure 4 shows the activation-induced phosphorylation of ERK kinase or c-Akt (the substrate of PI3K) following stimulation of purified transgenic T cells on plate-bound TNP. As shown in Figure 4, ligation of TCR/CD3 alone, but not CD28 alone, resulted in activation of the MEK target, ERK1/2, whereas ligation of CD28 alone was sufficient for activation of PI3K target, c-Akt. However, stimulation through the TPCR (in the absence of APCs) resulted in phosphorylation of both ERK1/2 and c-Akt at a similar level as the combination of anti-CD3 and anti-CD28.
Stimulation via anti-TNP TPCR induces coactivation of signal I (ERK1/2) and signal II (PI3K/c-Akt) pathways. (A) Purified T cells were stimulated with immobilized antibodies or TNP for 15 minutes. Cell lysates were resolved by 10% SDS-polyacrylamide gel electrophoresis followed by immunoblotting using phospho-ERK1/2-specific antibody (top). Stripped membranes were then reacted with ERK1/2-specific antibody (bottom). (B) As in panel A, using phospho-c-Akt–specific antibody (top) and c-Akt–specific antibody (bottom) after stripping.
Stimulation via anti-TNP TPCR induces coactivation of signal I (ERK1/2) and signal II (PI3K/c-Akt) pathways. (A) Purified T cells were stimulated with immobilized antibodies or TNP for 15 minutes. Cell lysates were resolved by 10% SDS-polyacrylamide gel electrophoresis followed by immunoblotting using phospho-ERK1/2-specific antibody (top). Stripped membranes were then reacted with ERK1/2-specific antibody (bottom). (B) As in panel A, using phospho-c-Akt–specific antibody (top) and c-Akt–specific antibody (bottom) after stripping.
Rescue from apoptosis in naïve resting T cells activated via TPCR
Rescue from apoptosis is another hallmark of the costimulatory effect of CD28.32,33 We therefore analyzed whether the tripartite receptor can reduce the apoptotic death of purified T cells from transgenic mice (Figure 5). As shown in Figure 5A, TPCR-expressing cells stimulated with immobilized TNP-FγG showed dramatic reduction of cells in the G0/pre-G1 phase (P < .05). This reduction in apoptotic cells was inversely related to the level of the TPCR expression (compare WT to Tg8.4 to Tg8.7; the latter exhibited only 3%-4% apoptotic cells).
Rescue from apoptosis in unprimed naïve Tg8.4 and Tg8.7 T cells. (A) Cell cycle analysis of purified T cells following 3 days culture in the presence of immobilized carrier protein (FgG), antigen (FgG-TNP), or anti-CD3 antibodies. Cells were fixed and stained with propidium iodide to analyze their DNA content. Cell cycle histograms fitted to the different regions were used to determine the proportion of cells in the various cell cycle phases. Region M2 represents cells in G1, whereas regions M3 and M4 show cells in S and G2/M phases, respectively. Hypodiploid (apoptotic) cells are indicated in region M1. Results are representative of 3 different experiments with 3 mice/group. (B) Kinetics of bcl-XL protein induction following stimulation with FγG (I), FγG-TNP (II), or anti-CD3 (III) as determined by immunoblotting.
Rescue from apoptosis in unprimed naïve Tg8.4 and Tg8.7 T cells. (A) Cell cycle analysis of purified T cells following 3 days culture in the presence of immobilized carrier protein (FgG), antigen (FgG-TNP), or anti-CD3 antibodies. Cells were fixed and stained with propidium iodide to analyze their DNA content. Cell cycle histograms fitted to the different regions were used to determine the proportion of cells in the various cell cycle phases. Region M2 represents cells in G1, whereas regions M3 and M4 show cells in S and G2/M phases, respectively. Hypodiploid (apoptotic) cells are indicated in region M1. Results are representative of 3 different experiments with 3 mice/group. (B) Kinetics of bcl-XL protein induction following stimulation with FγG (I), FγG-TNP (II), or anti-CD3 (III) as determined by immunoblotting.
Because it has been shown that CD28 costimulation enhances the expression of antiapoptotic bcl-xL gene,34 we examined whether the stimulation via the TPCR enhances the induction of bcl-xL protein. As shown in Figure 5B, increased bcl-xL expression in primary T cells purified from the Tg8.7 mice was indeed observed following specific stimulation via anti-TNP TPCR.
Specific target cell killing
The ability of the TPCR to specifically redirect and mediate T-cell killing was next evaluated, using purified naïve T cells from WT and Tg8.7 mice that were coincubated with TNP-A20 lymphoma cells as targets (Figure 6). TNP-specific killing was observed only in the presence of TPCR T cells. Thus, CD28 costimulation enables the unprimed transgenic T cells to mediate primary cytotoxic activity.
Cytolytic activity mediated by TPCR-redirected transgenic cells. Cytotoxicity of purified T cells from Tg8.7 and WT mice as effectors (E) was assayed using TNP-modified A20 cells as targets (T) at the indicated E/T ratios. Lysis was determined after incubation for 6 hours at 37°C using the LDH kit as described in “Materials and methods.” ♦ indicates A20 plus Tg 8.7 cells; ▪, A20-TNP plus Tg 8.7; ○, A20 plus WT; and ▵, A20-TNP plus WT. Error bars represent the standard deviation of replicates.
Cytolytic activity mediated by TPCR-redirected transgenic cells. Cytotoxicity of purified T cells from Tg8.7 and WT mice as effectors (E) was assayed using TNP-modified A20 cells as targets (T) at the indicated E/T ratios. Lysis was determined after incubation for 6 hours at 37°C using the LDH kit as described in “Materials and methods.” ♦ indicates A20 plus Tg 8.7 cells; ▪, A20-TNP plus Tg 8.7; ○, A20 plus WT; and ▵, A20-TNP plus WT. Error bars represent the standard deviation of replicates.
In vivo, antigen-specific responses in TPCR transgenic mice
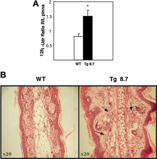
We took advantage of the ability of the TNP hapten to elicit a DTH response when applied using a skin sensitization protocol to evaluate the in vivo reactivity of naïve T cells in the Tg8.7 transgenic mice. The ability to mount TNP-specific DTH, with and without presensitization, was compared between the transgenic and WT mice using the radiometric method of Vadas et al.27 No difference between WT and transgenic mice in their ability to elicit a DTH response was obtained following priming of mice (data not shown). However a significant (P < .005) response was observed in unprimed transgenic mice 26 hours following ear challenge (Figure 7A). The ratio of 125I-UdR of the TNP-challenged ear versus the vehicle-challenged ear reflects the extent of inflammatory reaction as is also evident by the extensive mononuclear and lymphoid cell infiltration (Figure 7B).
DTH responses in WT and TPCR transgenic mice. (A) Mice were directly challenged with the antigen (DNFB) in the right pinna and accumulation of infiltrating 125I-UdR–labeled mononuclear cells into both ears (R/L ratio) was estimated 26 hours latter. The results shown represent 2 different experiments; 5 mice were tested per group. Error bars represent the standard deviation of replicates. *P < .005. (B) Histologic sections of the right pinna of Tg8.7 and WT mice. Pinnae were fixed in buffered formalin, cut, and stained with hematoxylin and eosin. Note subepidermal and epidermal infiltration of inflammatory cells, mainly neutrophils, as well as lymphoid and plasma cells in the transgenic pinnae (arrows).
DTH responses in WT and TPCR transgenic mice. (A) Mice were directly challenged with the antigen (DNFB) in the right pinna and accumulation of infiltrating 125I-UdR–labeled mononuclear cells into both ears (R/L ratio) was estimated 26 hours latter. The results shown represent 2 different experiments; 5 mice were tested per group. Error bars represent the standard deviation of replicates. *P < .005. (B) Histologic sections of the right pinna of Tg8.7 and WT mice. Pinnae were fixed in buffered formalin, cut, and stained with hematoxylin and eosin. Note subepidermal and epidermal infiltration of inflammatory cells, mainly neutrophils, as well as lymphoid and plasma cells in the transgenic pinnae (arrows).
Discussion
The clinical application of the chimeric immune receptor as a means to redirect the specificity of T cells toward cellular target of interest (for reviews, see Gross and Eshhar,8 Abken et al,35 and Willemsen et al36 ) holds a great promise for the adoptive immunotherapy of cancer and infectious diseases. This can be carried out by adoptive transfer into patients of self-T cells or HSCs transfected with a receptor of predetermined specificity. In either case, for optimal performance, the CR is expected to trigger the full activation of the engineered cell. This is of particular importance when HSCs or lymphocyte progenitors are to be used. The advantage of stem cells over mature T cells is that they persist longer and serve as a reservoir for redirected T cells. In this study, we produced mice transgenic for TPCRs, comprised of an antibody-derived variable region in tandem with the CD28 costimulatory domain and the FcRγ chain as triggering moiety. These mice exhibited full activation of naïve unprimed T cells expressing the TPCR transgene.
We used the costimulatory functionality of the antibody-based TPCR to achieve, for the first time, direct and full activation of resting naïve T cells through a single-chain CR. In fact, the TPCR fully activates the naïve cells to generate IL-2 production (Figure 3B), proliferation (Figure 3C), and rescue from proapoptotic conditions, all hallmarks of responses to combined signaling via the TCR and CD28 in resting naïve T-cells (for a review, see Slavik et al33 ). A biochemical proof that the TPCR indeed triggers both signal I and signal II on binding the plate-bound antigen (TNP) without any APCs is demonstrated in Figure 4 by the simultaneous activation of ERK1/2 and c-Akt representing signal I or II pathways in primary T cells, respectively.31 Importantly, to achieve these responses in purified T cells, minimal stimulation by plastic-immobilized antigen was sufficient. Thus, T cells equipped with the TPCR can be fully activated on cells expressing their target antigen; “professional” APCs are not required. Furthermore, we have demonstrated the capacity of the TPCR to mediate specific target cell killing (Figure 6) and to mount DTH responses without priming of the transgenic mice (Figure 7).
The unique potency of the costimulatory signaling generated via TPCR is manifested in several ways: (1) TPCRs can generate costimulatory signaling capable of directly activating naïve resting T cells, whereas, in contrast, B7-mediated costimulation of the CR lacking the signaling moiety of CD28 could not similarly activate such cells. (2) T cells expressing TPCR display a constitutive capacity to survive under proapoptotic conditions. This may be caused by low-level constitutive costimulatory signaling via the adoptively expressed tripartite CR. (3) Signaling via TPCR is capable of independently triggering maximal costimulation-dependent production of cytokines such as IL-2, which, in turn, rescues the T cells from apoptosis. We propose that TPCRs may generate particularly robust costimulatory signals due to a combination of physiologic and biochemical factors inherent to T-cell activation. It has been demonstrated in imaging studies of the immunologic synapse that focal colocalization of TCR and CD28 in the contact area between the APC and the T cell is required for full T-cell activation.37 Therefore, the intramolecular colocalization of the signaling domains of the ITAM and CD28 domains in TPCR may reproduce the organization of TCR and CD28 required for full T-cell activation by APCs. Such intramolecular cis-colocalization of ITAM and CD28 domains in TPCR may constitutively concentrate their pool of common signaling intermediates, thereby resulting in particularly robust costimulatory signaling. In addition, TPCR is expected to form homodimers and hetero-CR-CD28 dimers due to the cysteine residue located in the CD28 hinge domain. Signaling via native CD28 coreceptors recruited by TPCR through the formation of CR-CD28 heterodimers may be involved in generating the potent effector responses triggered via TPCR-specific stimuli. Finally, it is known that the TCR/antigen interaction and CD28 costimulation induce up-regulation of B7 and cytotoxic T-lymphocyte antigen 4 (CTLA-4) expression on APCs and T-cells, respectively, a process that eventually causes down-regulation of the response.38 In the case of TPCR-mediated interactions, there is no induction of B7 on the APCs; therefore, the inhibitory effect of CTLA-4 cannot occur.
The capacity of TPCR to productively activate resting naïve T cells appears to be specifically mediated via its CD28-signaling domain, since we and others14,15 could not activate naïve resting T cells via single-chain ITAM-based CRs (such as scFv-CD3ζ or scFv-FcRγ). To date, 2 reports studied the functional expression of CR in transgenic mice, yet conflicting results were reported. In the study by Brocker and Karjalainen,14 primary T cells expressing a CR composed of a human CD3ϵ-specific Fv and the ζ chain failed to induce calcium flux or proliferation in response to cross-linking of the Fv-ζ CR. Proliferation was only observed following prestimulation of these T cells with anti-CD3 and anti-CD28 followed by stimulation with a mAb against the Fv portion of the CR. In contrast, functional expression of chimeric immune receptor was shown by Geiger and colleagues16,17 in naïve T cells from CR transgenic mice bearing CR comprised of the cytoplasmic ζ domain fused to the MHC class II (IAs-ζ) extracellular and transmembrane domains. In this case, the transgenic T cells did not require prestimulation to proliferate, generate calcium flux, or specifically kill their target alloimmune or autoimmune T cells.16
Our results demonstrate that for full activation of naïve unprimed T bodies, CD28 costimulation is required. In this regard, our inability to directly stimulate primary T cells of transgenic mice expressing the Sp6scFv-γ CR is consistent with the findings of Brocker and Karjalainen.14 The discrepancy with the results of Geiger and colleagues16,17 can be related to the mode of signal transmission of the receptor and ligand or the composition of the CR. Because both Brocker's and Geiger's groups used the CD3ζ as the stimulating unit in their CR, we assume that the different behavior of the resulting T cells is due to the different nature of the ligands recognized by the CR in the 3 studies. Whereas we and Brocker's group used antibody-derived scFv as binding units, Geiger used an MHC class II based CR. We do not believe that the difference is related to the affinity of the binding site because the Sp6 antibody that we used binds its ligand (TNP) at very low affinity (106 M–1), whereas the antibodies used by the other 2 groups are most likely of higher affinity. On the other hand, the T-cell activation through Geiger's IAs-ζ CR may combine the CD4 coreceptor that associates to the CR via its MHC class II–binding site and ζ-chimeric dimers. In such a configuration, the CD4-associated lck is localized in the vicinity of its substrate ζ-ITAM motifs, which may enhance T-cell triggering in the context of the immune synapse. This possibility is supported by the fact that the simultaneous CD4 cross-linking can further enhance the anti-IAs antibody-mediated activation of Geiger's transgenic T cells.16 Taken together, we propose that the CR by itself is indeed unable to stimulate naïve T cells, as originally reported by Brocker and Karjalainen.14 For productive activation of T cells, stimulation through the CR must combine either a costimulatory-mediated (eg, CD28) or coreceptor-mediated (eg CD4) signal.
According to our findings, the TPCR fulfills the biologic requirements for T-cell priming and amplification to attain a meaningful immune response. Costimulation is crucial in this process39-42 and is thus central to the development of effective adoptive immunotherapy with T bodies.40,43 Treatment with T cells expressing a receptor configured like the TPCR described in this study may permit smaller doses of T cells and enable T-cell expansion following infusion. Importantly, the TPCR provides a means to activate and expand T cells on engaging target cells that lack MHC or costimulatory molecules (or both), and may thus direct the TPCR-expressing lymphocytes to cells that would otherwise escape the immune recognition. This is particularly relevant for therapeutic strategies using CR-bearing HSCs rather than mature T cells for adoptive therapy. The application of HSCs is very appealing for prophylactic adoptive immunotherapy. In this potential modality, hematopoietic progenitor cells of healthy individuals at an elevated risk for infectious diseases (HIV), cancer (eg, breast cancer), or patients with cancer in remission who need long-term protection against relapse could be genetically modified to express TPCR directed against specific target antigen expected to be expressed on affected cells. Such genetically modified stem cells, when reinfused into the patient, could colonize the bone marrow and lead to sustained production of TPCR-expressing naïve resting T cells.
Prepublished online as Blood First Edition Paper, December 30, 2004; DOI 10.1182/blood-2004-09-3737.
Supported in part by the US Army Breast Cancer Research Program (BCRP) and Fp5 Quality of Life Program of the European Union.
D.F.-M. and A.B. contributed equally to this work.
The publication costs of this article were defrayed in part by page charge payment. Therefore, and solely to indicate this fact, this article is hereby marked “advertisement” in accordance with 18 U.S.C. section 1734.
We are grateful to Dr Alon Harmelin for histologic analyses, to Dr Ahuva Knishinsky and her devoted team for the generation of the transgenic mice, to Dr Alexandra Zanin-Zhorov for her assistance in the Western blot analysis, and to Dr Shelley Schwarzbaum for excellent editorial advice.







This feature is available to Subscribers Only
Sign In or Create an Account Close Modal