Topics:
juvenile myelomonocytic leukemia
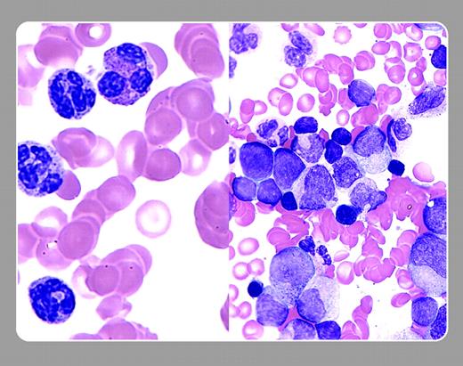
On the left, the peripheral blood smear shows a leukocytosis with dys- plastic granulocytes and eosinophils. Monocytosis is also common. On the right, the bone marrow aspirate is hypercellular with dysplastic changes in the monocytic and myeloid series. The Philadelphia chromosome and the bcr-abl fusion transcript are absent.FIG1
Many Blood Work images are provided by the ASH IMAGE BANK, a reference and teaching tool that is continually updated with new atlas images and images of case studies. For more information or to contribute to the Image Bank, visit www.ashimagebank.org.
Copyright © 2004 by The American Society of Hematology
2004

Peter Maslak, Memorial Sloan-Kettering Cancer Center
This feature is available to Subscribers Only
Sign In or Create an Account Close Modal