Abstract
Hemophilia B is an X-linked coagulopathy caused by absence of functional coagulation factor IX (F.IX). Previously, we established an experimental basis for gene transfer as a method of treating the disease in mice and hemophilic dogs through intramuscular injection of a recombinant adeno-associated viral (rAAV) vector expressing F.IX. In this study we investigated the safety of this approach in patients with hemophilia B. In an open-label dose-escalation study, adult men with severe hemophilia B (F.IX < 1%) due to a missense mutation were injected at multiple intramuscular sites with an rAAV vector. At doses ranging from 2 × 1011 vector genomes (vg)/kg to 1.8 × 1012 vg/kg, there was no evidence of local or systemic toxicity up to 40 months after injection. Muscle biopsies of injection sites performed 2 to 10 months after vector administration confirmed gene transfer as evidenced by Southern blot and transgene expression as evidenced by immunohistochemical staining. Pre-existing high-titer antibodies to AAV did not prevent gene transfer or expression. Despite strong evidence for gene transfer and expression, circulating levels of F.IX were in all cases less than 2% and most were less than 1%. Although more extensive transduction of muscle fibers will be required to develop a therapy that reliably raises circulating levels to more than 1% in all subjects, these results of the first parenteral administration of rAAV demonstrate that administration of AAV vector by the intramuscular route is safe at the doses tested and effects gene transfer and expression in humans in a manner similar to that seen in animals.
Introduction
Hemophilia B is an X-linked bleeding disorder caused by mutations in the gene encoding blood coagulation factor IX (F.IX), a zymogen of a serine protease required for thrombin generation. The clinical severity of hemophilia correlates with circulating F.IX levels. Patients with less than 1% circulating F.IX typically experience spontaneous hemorrhages and prolonged bleeding after trauma or surgery. Treatment requires intravenous infusion of clotting factor concentrates that are either derived from plasma or made through recombinant technology. Despite recent improvements in the safety profiles of factor concentrates, morbidity and mortality persist.1 The major morbidity is arthropathy, resulting from recurrent bleeding into joint spaces. Mortality can result from bleeding into critical closed spaces (eg, intracranial or intraperitoneal bleeding),2-5 although the leading causes of death currently in the US hemophilia population (HIV and hepatitis) are a consequence of transfusion-transmitted infection from early-generation plasma-derived concentrates.6
Based on the natural history of disease in patients with baseline factor levels more than 1% and on studies of hemophilia patients treated with routine administration of clotting factor concentrates to maintain levels more than 1%, it is likely that sustained expression of clotting factor at levels more than 1% could prevent serious bleeding complications and preserve joint function.7 An advantage of hemophilia as a model for gene transfer is that tissue-specific expression of the transgene is not required, because biologically active F.IX can be produced in cells other than hepatocytes.8,9 In addition, precise regulation of transgene expression is not required, because levels of 1% to 2% may be therapeutic and levels up to 100% are still within the normal range. The existence of small and large animal models of this disease10-16 facilitates analysis of efficacy before clinical studies are initiated, and measurement of clinical therapeutic end points (circulating levels of F.IX) is straightforward.
Adeno-associated viral (AAV) vectors transduce a variety of somatic tissues including liver, central nervous system, and skeletal muscle.17-21 The preclinical experiments that led to this clinical trial established that intramuscular administration of an AAV vector encoding F.IX resulted in long-term expression in mice and in hemophilic dogs.22,23 We previously reported initial evidence of gene transfer in the first 3 human subjects receiving parenteral injections of an AAV vector.24 We now report complete results of this phase 1 safety study, the first in which an AAV vector was used for gene transfer in hemophilia.
Patients, materials, and methods
Vector
The AAV-human F.IX (AAV-hF.IX) vector is derived from AAV serotype 2 using recombinant DNA techniques and contains a F.IX minigene expression cassette of 4071 nucleotides between the 2 viral inverted terminal repeats (ITRs). The F.IX expression cassette contains: (1) a cytomegalovirus (CMV) enhancer/promoter fragment22; (2) exon 1 of the human F.IX (F9) gene; (3) a portion of the human F.IX intron I25; (4) exons 2-8 of the human F9gene; and (5) the SV40 late polyadenylation sequence. Vector was manufactured under good manufacturing practice (GMP) conditions using a triple transfection procedure in 293 cells as previously described.26 Vector was titered by quantitative DNA dot-blot. Final product testing prior to lot release included a F.IX potency assay and assays for sterility and endotoxin as previously described.27 The study was conducted using 4 separate lots of vector.
Subjects
Eight subjects were enrolled, 3 in both the low- and medium-dose cohorts and 2 in the high-dose cohort. Enrollment of a subject did not proceed until the previous subject was observed for at least 2 weeks; enrollment in a higher dose cohort continued only after the previous cohort had been observed for at least 4 weeks. The original and revised dose-escalation plans are outlined in Table 1.
Dose escalation* and revision
| Group/no. patients . | Dose/site, vg† . | Dose/kg, vg‡ . | Total dose, vg1-153 . | Legs injected . |
|---|---|---|---|---|
| Original outline for dose escalation | ||||
| 1/3 | 2.3 × 1012 | 2.0 × 1011 | 1.4 × 1013 | One or both |
| 2/3 | 7.0 × 1012 | 2.0 × 1012 | 1.4 × 1014 | Both |
| 3/3 | 3.5 × 1013 | 1.0 × 1013 | 7.0 × 1014 | Both |
| Revised plan used in clinical study | ||||
| 1/3 | 1.5 × 1012 | 2.0 × 1011 | 1.4 × 1013 | One or both |
| 2/3 | 1.5 × 1012 | 6.0 × 1011 | 4.2 × 1014 | Both |
| 2/2 | 1.5 × 1012 | 1.8 × 1012 | 1.3 × 1014 | Both1-155 |
| Group/no. patients . | Dose/site, vg† . | Dose/kg, vg‡ . | Total dose, vg1-153 . | Legs injected . |
|---|---|---|---|---|
| Original outline for dose escalation | ||||
| 1/3 | 2.3 × 1012 | 2.0 × 1011 | 1.4 × 1013 | One or both |
| 2/3 | 7.0 × 1012 | 2.0 × 1012 | 1.4 × 1014 | Both |
| 3/3 | 3.5 × 1013 | 1.0 × 1013 | 7.0 × 1014 | Both |
| Revised plan used in clinical study | ||||
| 1/3 | 1.5 × 1012 | 2.0 × 1011 | 1.4 × 1013 | One or both |
| 2/3 | 1.5 × 1012 | 6.0 × 1011 | 4.2 × 1014 | Both |
| 2/2 | 1.5 × 1012 | 1.8 × 1012 | 1.3 × 1014 | Both1-155 |
After the death of a patient in a gene transfer trial, the sponsors and investigators in this trial voluntarily slowed the pace of dose escalation from a one-log increase between the low and mid-dose cohorts to 1/2 log between each dose cohort.
Vector genomes.
Dosing performed according to the patient weight obtained at the time of injection
Assuming a 70-kg adult
Plus auxiliary muscles (deltoid, soleus).
Subjects were recruited from hemophilia treatment centers in North and South America. Prior to subject enrollment, the clinical protocol was reviewed and approved by the US Food and Drug Administration, the National Institutes of Health Recombinant DNA Advisory Committee of the Office of Biotechnology Activities, General Clinical Research Centers (GCRC) of the Children's Hospital of Philadelphia, Stanford University Medical Center, local institutional review boards, and institutional biosafety committees. Subjects gave written informed consent prior to treatment with AAV-F.IX. We initially preferred and ultimately required that only subjects with a missense mutation be included. The rest of the inclusion and exclusion criteria are listed in Table2. Infection with HIV or hepatitis C virus (HCV) did not preclude participation.
Eligibility criteria
| Inclusion criteria |
| Males with severe F.IX deficiency |
| Age 18 y or older |
| Ability to give informed consent |
| More than 20 exposure days of treatment with F.IX protein |
| No history or presence of an inhibitor to F.IX protein |
| Able to infuse F.IX protein on a home infusion protocol |
| Subjects with F.IX missense mutations |
| Exclusion criteria |
| Active infections |
| End-stage renal disease |
| Severe liver disease defined as any of the following: |
| Bilirubin; 2.1-3.0 × normal |
| Transaminases: 5-10 × normal |
| Alkaline phosphatase: 5-10 × normal |
| Platelet count less than 50 000/μL |
| Presence of inflammatory muscle disease (eg, myositis) |
| Inclusion criteria |
| Males with severe F.IX deficiency |
| Age 18 y or older |
| Ability to give informed consent |
| More than 20 exposure days of treatment with F.IX protein |
| No history or presence of an inhibitor to F.IX protein |
| Able to infuse F.IX protein on a home infusion protocol |
| Subjects with F.IX missense mutations |
| Exclusion criteria |
| Active infections |
| End-stage renal disease |
| Severe liver disease defined as any of the following: |
| Bilirubin; 2.1-3.0 × normal |
| Transaminases: 5-10 × normal |
| Alkaline phosphatase: 5-10 × normal |
| Platelet count less than 50 000/μL |
| Presence of inflammatory muscle disease (eg, myositis) |
Procedure
Prior to administration of the vector, subjects received 100% correction with F.IX concentrate. Analgesia included either local anesthesia, conscious sedation, or general anesthesia based on patient preference. For subjects in group 1, vector was administered into one or both vastus lateralis muscles. This muscle group was chosen because it is easily inspected and palpated. The volume injected at each site did not exceed 500 μL.
Dose of vector
Based on animal data suggesting that the risk of inhibitor formation was influenced by the dose administered per injection site,28 we limited the dose to 1.5 × 1012vector genomes (vg)/site. Injections were administered under ultrasound guidance to minimize the risk of injection into a large blood vessel. Injections were spaced at least 1 cm apart. The number of injection sites for subjects in the low-dose cohort was between 10 and 20, and for the mid-dose cohort 30 to 50. For the high-dose cohort, additional skeletal muscles, including the deltoid and the soleus, were used for injections, and a total of 80 to 90 injections was made. Several injection sites were marked with a small intradermal injection of India ink intended to aid in identifying sites for muscle biopsies to be performed months after injection.
Muscle biopsy
Muscle biopsies were planned at 2, 6, and 12 months after vector injection. Muscle tissue obtained by biopsy was immediately frozen in liquid nitrogen–cooled isopentane and stored at −80°C prior to preparation of cryosections.22,24 Sections were stained with hematoxylin and eosin to evaluate histology. Immunoperoxidase staining of cryosections for F.IX expression was carried out as described using a goat antihuman F.IX (Affinity Biologicals, Hamilton, ON, Canada) as primary antibody at a dilution of 1:400.24Similarly, this antibody was also used for immunofluorescence staining of F.IX expressed in muscle sections using the previously published protocol.22 The secondary antibody in this assay was fluorescein isothiocyanate (FITC)–conjugated rabbit antigoat IgG (Dako, Carpinteria, CA) as described.22 For staining of slow-twitch muscle fibers, cryosections were allowed to thaw at room temperature (without fixation), blocked with phosphate-buffered saline (PBS) containing 3% bovine serum albumin (BSA) for 1 hour, and subsequently incubated at 4°C overnight using the monoclonal NCL-MHCs (Novacastra Laboratories–myosin heavy chain) antibody (Novacastra Laboratories, Newcastle upon Tyne, United Kingdom; 1:20 in PBS/1%BSA) specific for slow-twitch myosin. After three 10-minute washes at room temperature in PBS, sections were incubated with tetrarhodamine isothiocyanate (TRITC)–labeled goat antimouse IgG (Sigma, St Louis, MO) for 2 hours at room temperature followed by 3 additional PBS washes. Serial sections of muscle tissue were fluorescence stained for F.IX or slow-twitch myosin and compared for expression of either antigen using a Nikon fluorescent microscope. For double staining, antislow myosin was applied simultaneously with antiheparan sulfate proteoglycan (HSPG; 1:100; Chemicon, Temecula, CA). In another experiment, muscle sections were prepared and stained with monoclonal antibody NCL-MHCs or NCL-MHCf (specific for slow- or fast-twitch myosin, respectively) as described followed by staining with a peroxidase-conjugated secondary antibody. Peroxidase-stained slides were examined by light microscopy.
Laboratory evaluation
Routine clinical laboratory testing was performed using procedures approved by the College of American Pathology (CAP) for serum chemistries, hematologic values, coagulation factor assays, and Bethesda assays. Specifically, F.IX activity levels were determined using an automated analyzer (MDA, Bio-Mérieux, Research Triangle Park, NC; or MLA-800, Medical Laboratory Automation, Pleasantville, NY). Plasma test samples were mixed with F.IX-deficient substrate (George King Biomedical, Overland Park, KS) and results were compared with the degree of correction obtained when dilutions of known reference plasma were added to the same F.IX-deficient substrate. The reference curve was linear down to a lower limit of 0.3%. Bethesda assays were carried out using a standard procedure in which residual F.IX activity is determined after incubating equal volumes of test plasma with normal pooled plasma at 37°C for 2 hours. The lower limit of detection in this assay is 0.1 Bethesda units (BU). In addition to these CAP-approved procedures, Western blotting was done to detect anti-F.IX antibodies, as previously described.24 Positive controls included serum samples from a patient with a history of F.IX inhibitory antibody (Bethesda titer 24 BU). We used a polymerase chain reaction (PCR) assay to detect vector sequences in body fluids (serum, urine, saliva, semen, and stool) and in skeletal muscle. The 5′ primer was derived from the CMV enhancer/promoter (5′-AGTCATCGCTATTACCATGG-3′) and the 3′ primer from intron I of the human F.IX (F9) gene (5′-GATTTCAAAGTGGTAAGTCC-3′). Amplified vector sequence yields a PCR fragment of 743 bp. For each sample, a control reaction containing the sample to be tested spiked with vector plasmid (50 copies/μg DNA) was also run to establish that the sample did not inhibit the PCR reaction. For semen, 3 μg DNA was analyzed (1 μg in each of 3 separate reactions); for saliva and biopsied muscle, 1 μg; and for urine, serum, and stool, DNA was extracted from a 1- to 2-mL volume and analyzed. The sensitivity of the assay is 50 copies of vector sequence in 1 μg DNA. AAV-neutralizing antibodies were measured by incubating an AAV vector expressing lacZ for 60 minutes with serial dilutions of patient serum, then using this mixture to transduce HEK293 cells. Cells were lysed 24 hours after transduction and β-galactosidase activity was determined by enzymatic assay; sera or dilutions were scored as positive for neutralizing AAV antibodies if the OD420 was 50% or less that observed when rAAV-lacZ was preincubated with negative control mouse sera.
DNA analysis
Total gDNA was isolated from frozen muscle tissue using the PureGene kit from Gentra Systems (Minneapolis, MN). Vector sequences were detected using Southern blot hybridization29 or PCR (see “Laboratory evaluation”). For Southern hybridization, a vector-specific 0.7-kb 32P-labeledBglII-fragment including the CMV enhancer/promoter sequence was used as a probe and gene copy number was determined by comparison with controls spiked with known amounts of plasmid DNA. The intensities of bands on autoradiographs were quantitated by densitometric scanning.
Results
We enrolled 8 adult men with severe hemophilia B (Table3). F.IX mutation analyses, a prerequisite for study entry, demonstrated underlying missense mutations in all subjects enrolled (Table 4).
Subject demographics
| . | A3-150 . | B3-150 . | C3-150 . | D . | E . | F . | G . | H . |
|---|---|---|---|---|---|---|---|---|
| Age, y | 38 | 23 | 67 | 29 | 44 | 43 | 38 | 30 |
| Race | White | Asian | White | White | Asian | White | White | White |
| Baseline F.IX | <1% | <1% | <1% | <1% | <1% | <1% | <1% | <1% |
| CRM status | + | − | − | + | + | − | + | + |
| . | A3-150 . | B3-150 . | C3-150 . | D . | E . | F . | G . | H . |
|---|---|---|---|---|---|---|---|---|
| Age, y | 38 | 23 | 67 | 29 | 44 | 43 | 38 | 30 |
| Race | White | Asian | White | White | Asian | White | White | White |
| Baseline F.IX | <1% | <1% | <1% | <1% | <1% | <1% | <1% | <1% |
| CRM status | + | − | − | + | + | − | + | + |
CRM indicates cross-reacting material.
Included in report by Kay et al.24
Mutation analysis of subjects
| A4-150 . | B4-150 . | C4-150 . | D . | E . | F . | G . | H . |
|---|---|---|---|---|---|---|---|
| Arg4Leu | Ala352Pro | Gly114Arg | Cys18Arg | Gly184Arg | Ser110Pro | Arg180Trp | Pro368Thr |
| Nucl no. 6365 | Nucl no. 31172 | Nucl no. 17755 | Nucl no. 6427 | Nucl no. 20529 | Nucl no. 17743 | Nucl no. 20492 | Nucl no. 31223 |
| CGG>CTG | GCT>CCT | GGA>CGA | TGT>CGT | GGA>AGA | TCC>CCC | CGG>TGG | CCC>ACC |
| A4-150 . | B4-150 . | C4-150 . | D . | E . | F . | G . | H . |
|---|---|---|---|---|---|---|---|
| Arg4Leu | Ala352Pro | Gly114Arg | Cys18Arg | Gly184Arg | Ser110Pro | Arg180Trp | Pro368Thr |
| Nucl no. 6365 | Nucl no. 31172 | Nucl no. 17755 | Nucl no. 6427 | Nucl no. 20529 | Nucl no. 17743 | Nucl no. 20492 | Nucl no. 31223 |
| CGG>CTG | GCT>CCT | GGA>CGA | TGT>CGT | GGA>AGA | TCC>CCC | CGG>TGG | CCC>ACC |
See Kay et al.24
Two subjects (A and D) were HIV+, and subject A was on highly active antiretroviral therapy at the time of vector injection with a CD4 count of more than 300/μL and undetectable HIV viral load. CD4 counts in subject D ranged from 597 to 864/μL during the course of the study; he was taking no antiretroviral medications at that time. Seven of 8 were previously infected with HCV as detected by presence of antibody to HCV. No subjects were receiving interferon or ribavirin at the time of treatment with AAV-hF.IX (Table5).
Infection status of subjects
| . | A5-150 . | B5-150 . | C5-150 . | D . | E . | F . | G . | H . |
|---|---|---|---|---|---|---|---|---|
| HIV | + | − | − | + | − | − | − | − |
| HCV | + | + | − | + | + | + | + | + |
| HBV | − | − | + | + | − | − | − | − |
| HAV | − | − | − | − | − | − | − | − |
| . | A5-150 . | B5-150 . | C5-150 . | D . | E . | F . | G . | H . |
|---|---|---|---|---|---|---|---|---|
| HIV | + | − | − | + | − | − | − | − |
| HCV | + | + | − | + | + | + | + | + |
| HBV | − | − | + | + | − | − | − | − |
| HAV | − | − | − | − | − | − | − | − |
+ indicates positive; −, negative; HBV, hepatitis B virus; and HAV, hepatitis A virus.
See Kay et al.24
Clinical observations and laboratory studies
Intramuscular injection of vector doses up to 1.8 × 1012 vg/kg was well-tolerated in all subjects, with no systemic symptoms or signs noted during the 24 hours of hospitalization immediately following vector administration and none observed in the ensuing period of close outpatient follow-up.
Laboratory studies revealed no abnormalities in serum chemistries, save for in one subject a 5-fold elevation in the creatine phosphokinase (CPK), which returned to baseline 1 week after injection. Complete blood counts also demonstrated no abnormalities, except for patient F. This subject, with a history of thrombocytopenia secondary to liver disease, had a platelet count of 111 000/μL 3 days after vector injection (not lower than previous values in this subject); the platelet count returned to the subject's pretreatment baseline of 140 000/μL 5 days later.
Adverse events
Other than the above episode of thrombocytopenia, there were no vector-related toxicities in the low-, medium-, or high-dose cohorts. Four of 8 subjects developed transient minor abnormalities (hematoma, induration, transient numbness) at the site of muscle biopsy. Five of 8 subjects developed small hematomas or pain at one or more vector injection sites, which resolved uneventfully. Finally, one subject had a mild inflammatory reaction to the tattoo dye that was injected at a few sites; these resolved without treatment.
Safety studies
In biodistribution studies based on a sensitive PCR assay, vector DNA was detected in the serum of all subjects at 24 hours, and up to but not after day 7 in all except subject E in whom vector sequences were detected up to 12 weeks after injection. Vector sequences were detected in the urine of subjects B, D, and F up to 24 hours after injection but not thereafter. Saliva was positive for vector sequences in 7 of 8 subjects as early as 24 hours and as late as 14 days in subject G. Vector sequences were not detected at any time point in the semen of any of the 7 subjects tested (Table6). One subject was unable to provide semen due to erectile dysfunction. None of the subjects had had a vasectomy.
PCR analysis of body fluids for vector sequences
| Sample . | Subject . | Baseline . | Days after injection . | Weeks after injection . | 24 . | |||||||||||||||||
|---|---|---|---|---|---|---|---|---|---|---|---|---|---|---|---|---|---|---|---|---|---|---|
| 0 . | 1 . | 2 . | 3 . | 4 . | 5 . | 6 . | 7 . | 2 . | 3 . | 4 . | 5 . | 6 . | 7 . | 8 . | 10 . | 12 . | 14 . | 16 . | ||||
| Serum | A6-150 | − | ND | + | + | ND | − | ND | ND | − | ND | ND | ND | ND | ND | ND | ND | ND | − | − | − | ND |
| B6-150 | − | + | + | − | ND | ND | ND | ND | − | − | − | − | ND | − | ND | − | − | ND | ND | ND | ND | |
| C6-150 | − | − | + | + | ND | ND | ND | − | − | ND | − | − | ND | − | ND | − | ND | ND | ND | ND | ND | |
| D | − | − | + | + | ND | ND | ND | ND | − | ND | − | − | − | − | − | − | ND | ND | ND | ND | ND | |
| E | − | ND | ND | + | ND | ND | ND | ND | + | − | ND | + | ND | ND | + | − | − | + | ND | ND | ND | |
| F | − | ND | + | ND | ND | ND | ND | ND | + | ND | ND | − | ND | − | ND | − | ND | − | ND | ND | ND | |
| G | − | − | + | + | ND | ND | ND | ND | + | − | − | ND | ND | ND | ND | ND | ND | − | ND | ND | ND | |
| H | − | ND | ND | ND | ND | + | ND | ND | + | − | ND | ND | ND | ND | ND | ND | ND | ND | ND | ND | ND | |
| Saliva | A6-150 | − | − | + | − | ND | ND | ND | ND | − | ND | ND | − | ND | ND | − | − | ND | ND | ND | ND | ND |
| B6-150 | − | ND | + | − | − | ND | ND | ND | − | − | − | − | − | − | − | ND | ND | ND | ND | ND | ND | |
| C6-150 | − | − | + | − | ND | ND | ND | ND | − | ND | ND | − | ND | − | ND | ND | ND | ND | ND | ND | ND | |
| D | − | + | + | − | ND | ND | ND | ND | ND | − | − | ND | ND | ND | ND | ND | ND | ND | ND | ND | ND | |
| E | − | ND | ND | + | ND | ND | ND | ND | − | ND | ND | ND | ND | ND | − | − | − | − | ND | ND | ND | |
| F | − | ND | + | ND | ND | ND | ND | ND | − | ND | ND | − | ND | − | ND | − | ND | ND | ND | ND | ND | |
| G | − | fp | fp | + | ND | ND | ND | ND | − | + | − | ND | ND | ND | ND | ND | ND | − | ND | ND | ND | |
| H | − | ND | ND | ND | − | − | ND | ND | − | − | − | ND | ND | ND | ND | ND | ND | ND | ND | ND | ND | |
| Urine | A6-150 | − | − | − | − | ND | ND | ND | ND | ND | − | ND | − | ND | ND | − | − | ND | ND | ND | ND | ND |
| B6-150 | − | ND | + | − | ND | ND | ND | ND | − | − | − | − | − | − | − | ND | ND | ND | ND | ND | ND | |
| C6-150 | − | ND | − | − | ND | ND | ND | − | − | ND | − | − | ND | ND | ND | ND | ND | ND | ND | ND | ND | |
| D | − | − | − | − | ND | ND | ND | ND | − | − | − | ND | ND | ND | ND | − | ND | ND | ND | ND | ND | |
| E | − | ND | − | ND | ND | ND | ND | ND | − | − | − | − | ND | ND | − | − | − | − | ND | ND | ND | |
| F | − | + | ND | ND | ND | ND | ND | ND | − | ND | ND | − | ND | − | ND | − | ND | − | ND | ND | ND | |
| G | − | − | − | − | ND | ND | ND | ND | − | − | − | − | ND | ND | ND | ND | ND | − | ND | ND | ND | |
| H | − | ND | ND | ND | − | − | ND | ND | − | − | − | ND | ND | ND | ND | ND | ND | ND | ND | ND | ND | |
| Semen | A6-150 | − | ND | ND | − | − | ND | ND | ND | − | ND | ND | ND | ND | ND | − | ND | ND | ND | ND | ND | ND |
| B6-150 | − | ND | ND | ND | ND | − | ND | ND | − | ND | ND | − | − | − | − | ND | ND | ND | ND | ND | ND | |
| C6-150 | − | ND | ND | ND | ND | ND | ND | ND | ND | ND | ND | ND | ND | ND | ND | − | ND | ND | ND | ND | ND | |
| D | − | ND | ND | ND | − | ND | ND | ND | ND | − | − | ND | ND | ND | ND | ND | ND | ND | ND | ND | ND | |
| E | − | ND | ND | ND | ND | ND | ND | ND | − | ND | ND | − | ND | ND | ND | − | ND | ND | ND | ND | ND | |
| F | − | ND | ND | ND | ND | ND | ND | ND | − | ND | ND | ND | ND | ND | ND | ND | ND | ND | ND | ND | − | |
| H | fp | ND | ND | ND | ND | − | ND | ND | − | − | − | ND | ND | ND | ND | ND | ND | ND | ND | ND | ND | |
| Sample . | Subject . | Baseline . | Days after injection . | Weeks after injection . | 24 . | |||||||||||||||||
|---|---|---|---|---|---|---|---|---|---|---|---|---|---|---|---|---|---|---|---|---|---|---|
| 0 . | 1 . | 2 . | 3 . | 4 . | 5 . | 6 . | 7 . | 2 . | 3 . | 4 . | 5 . | 6 . | 7 . | 8 . | 10 . | 12 . | 14 . | 16 . | ||||
| Serum | A6-150 | − | ND | + | + | ND | − | ND | ND | − | ND | ND | ND | ND | ND | ND | ND | ND | − | − | − | ND |
| B6-150 | − | + | + | − | ND | ND | ND | ND | − | − | − | − | ND | − | ND | − | − | ND | ND | ND | ND | |
| C6-150 | − | − | + | + | ND | ND | ND | − | − | ND | − | − | ND | − | ND | − | ND | ND | ND | ND | ND | |
| D | − | − | + | + | ND | ND | ND | ND | − | ND | − | − | − | − | − | − | ND | ND | ND | ND | ND | |
| E | − | ND | ND | + | ND | ND | ND | ND | + | − | ND | + | ND | ND | + | − | − | + | ND | ND | ND | |
| F | − | ND | + | ND | ND | ND | ND | ND | + | ND | ND | − | ND | − | ND | − | ND | − | ND | ND | ND | |
| G | − | − | + | + | ND | ND | ND | ND | + | − | − | ND | ND | ND | ND | ND | ND | − | ND | ND | ND | |
| H | − | ND | ND | ND | ND | + | ND | ND | + | − | ND | ND | ND | ND | ND | ND | ND | ND | ND | ND | ND | |
| Saliva | A6-150 | − | − | + | − | ND | ND | ND | ND | − | ND | ND | − | ND | ND | − | − | ND | ND | ND | ND | ND |
| B6-150 | − | ND | + | − | − | ND | ND | ND | − | − | − | − | − | − | − | ND | ND | ND | ND | ND | ND | |
| C6-150 | − | − | + | − | ND | ND | ND | ND | − | ND | ND | − | ND | − | ND | ND | ND | ND | ND | ND | ND | |
| D | − | + | + | − | ND | ND | ND | ND | ND | − | − | ND | ND | ND | ND | ND | ND | ND | ND | ND | ND | |
| E | − | ND | ND | + | ND | ND | ND | ND | − | ND | ND | ND | ND | ND | − | − | − | − | ND | ND | ND | |
| F | − | ND | + | ND | ND | ND | ND | ND | − | ND | ND | − | ND | − | ND | − | ND | ND | ND | ND | ND | |
| G | − | fp | fp | + | ND | ND | ND | ND | − | + | − | ND | ND | ND | ND | ND | ND | − | ND | ND | ND | |
| H | − | ND | ND | ND | − | − | ND | ND | − | − | − | ND | ND | ND | ND | ND | ND | ND | ND | ND | ND | |
| Urine | A6-150 | − | − | − | − | ND | ND | ND | ND | ND | − | ND | − | ND | ND | − | − | ND | ND | ND | ND | ND |
| B6-150 | − | ND | + | − | ND | ND | ND | ND | − | − | − | − | − | − | − | ND | ND | ND | ND | ND | ND | |
| C6-150 | − | ND | − | − | ND | ND | ND | − | − | ND | − | − | ND | ND | ND | ND | ND | ND | ND | ND | ND | |
| D | − | − | − | − | ND | ND | ND | ND | − | − | − | ND | ND | ND | ND | − | ND | ND | ND | ND | ND | |
| E | − | ND | − | ND | ND | ND | ND | ND | − | − | − | − | ND | ND | − | − | − | − | ND | ND | ND | |
| F | − | + | ND | ND | ND | ND | ND | ND | − | ND | ND | − | ND | − | ND | − | ND | − | ND | ND | ND | |
| G | − | − | − | − | ND | ND | ND | ND | − | − | − | − | ND | ND | ND | ND | ND | − | ND | ND | ND | |
| H | − | ND | ND | ND | − | − | ND | ND | − | − | − | ND | ND | ND | ND | ND | ND | ND | ND | ND | ND | |
| Semen | A6-150 | − | ND | ND | − | − | ND | ND | ND | − | ND | ND | ND | ND | ND | − | ND | ND | ND | ND | ND | ND |
| B6-150 | − | ND | ND | ND | ND | − | ND | ND | − | ND | ND | − | − | − | − | ND | ND | ND | ND | ND | ND | |
| C6-150 | − | ND | ND | ND | ND | ND | ND | ND | ND | ND | ND | ND | ND | ND | ND | − | ND | ND | ND | ND | ND | |
| D | − | ND | ND | ND | − | ND | ND | ND | ND | − | − | ND | ND | ND | ND | ND | ND | ND | ND | ND | ND | |
| E | − | ND | ND | ND | ND | ND | ND | ND | − | ND | ND | − | ND | ND | ND | − | ND | ND | ND | ND | ND | |
| F | − | ND | ND | ND | ND | ND | ND | ND | − | ND | ND | ND | ND | ND | ND | ND | ND | ND | ND | ND | − | |
| H | fp | ND | ND | ND | ND | − | ND | ND | − | − | − | ND | ND | ND | ND | ND | ND | ND | ND | ND | ND | |
No semen samples were taken from subject G due to erectile dysfunction secondary to sertraline. Semen analysis in subject H was faintly positive with nonspecific bands.
+indicates positive; −, negative; fp, faint positive; and ND, not done.
See Kay et al.24
No inhibitory antibodies to F.IX were detected by Bethesda assay during the period of follow-up, despite repeated challenges with intravenous infusion of F.IX concentrates. In addition, noninhibitory antibodies to F.IX were sought using Western blotting, and also were not detected at any of the time points tested in the subjects in this study (Figure1). Neutralizing antibodies to AAV were detected prior to treatment in 7 of 8 subjects. Anti-AAV antibody titers rose in all subjects following vector injection, demonstrating an intact immune response, even in subjects who were HIV+(Table 7). Analysis of muscle biopsies (see “Gene transfer and expression”) shows no correlation between pretreatment titer of anti-AAV antibodies and evidence for gene transfer and expression on muscle biopsy.
Western blot for detection of antibodies to human F.IX in subjects in study.
Serum samples were collected at monthly intervals from all subjects and used in a 1:1000 dilution as the primary antibody in an immunoblot to detect antibodies to human F.IX. Shown here are samples from each subject, drawn at a series of time points ranging from 5 weeks to 44 weeks after vector injection. The positive control (+) is performed using serum from a patient with an inhibitor (24 BU) to F.IX and the negative control is serum from a healthy subject.
Western blot for detection of antibodies to human F.IX in subjects in study.
Serum samples were collected at monthly intervals from all subjects and used in a 1:1000 dilution as the primary antibody in an immunoblot to detect antibodies to human F.IX. Shown here are samples from each subject, drawn at a series of time points ranging from 5 weeks to 44 weeks after vector injection. The positive control (+) is performed using serum from a patient with an inhibitor (24 BU) to F.IX and the negative control is serum from a healthy subject.
Neutralizing AAV antibody titers
| . | Baseline . | ∼1 mo . | ∼6 mo . |
|---|---|---|---|
| A | 1:1007-150 | 1:50007-150 | 1:1000 |
| B | 1:10007-150 | 1:10 0007-150 | 1:10 000 |
| C | 1:107-150 | 1:10 0007-150 | 1:1000 |
| D | 1:100 | 1:10 000 | 1:10 000 |
| E | 1:100 | 1:1000 | 1:1000 |
| F | 1 | 1:1000 | 1:1000 |
| G | 1:100 | 1:10 000 | 1:10 000 |
| H | NS | NS | 1:1000 |
| . | Baseline . | ∼1 mo . | ∼6 mo . |
|---|---|---|---|
| A | 1:1007-150 | 1:50007-150 | 1:1000 |
| B | 1:10007-150 | 1:10 0007-150 | 1:10 000 |
| C | 1:107-150 | 1:10 0007-150 | 1:1000 |
| D | 1:100 | 1:10 000 | 1:10 000 |
| E | 1:100 | 1:1000 | 1:1000 |
| F | 1 | 1:1000 | 1:1000 |
| G | 1:100 | 1:10 000 | 1:10 000 |
| H | NS | NS | 1:1000 |
293 cells were incubated with serial dilutions of patient serum and transduced with AAV lacZ. Sera scored positive for neutralizing AAV antibodies if β-galactosidase activity is 50% or less of that observed when rAAV-lacZ was preincubated with negative control mouse sera.
NS indicates no sample.
See Kay et al.24
Gene transfer and expression
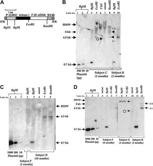
Direct evidence for gene transfer and expression was sought on muscle biopsies obtained 2 months (8 subjects), 6 months (1 subject), and 10 months (1 subject) after vector administration. Of 10 biopsies performed, 8 of the 10 were positive for the donated gene on PCR assay, and 5 of 9 analyzed were positive on Southern blot (Table8). Southern blot, though less sensitive, is more informative than the simple PCR assay because it allows assessment of molecular form and copy number of vector DNA in the sample. Southern blot analyses containing DNA from 6 subjects are shown in Figure2. Vector DNA is detected in the undigested sample as a high-molecular-weight smear (Figure 2B, lane 7; Figure 2C, lane 6; Figure 2D, lanes 4 and 10). Whether the vector DNA is integrated or is stabilized in a high-molecular-weight episomal form is not clear from this analysis. Following digestion withEcoRI, which cleaves once in the minigene cassette, vector signal is detected as a 4.5-kb fragment (size of the vector insert, Figure 2B, lanes 5 and 10; Figure 2C, lane 7; Figure 2D, lane 6). Release of a unit length vector fragment indicates formation of circular forms or concatemers of the vector genome. Digestion withBamHI (which also cuts once in the vector; Figure 2A) revealed the presence of both head-to-tail and head-to-head arrangements (Figure 2B, lane 8; Figure 2C, lane 8; Figure 2D, lanes 7 and 12). In lanes with undigested DNA, a faint band migrating somewhat lower than the 4.5-kb EcoRI fragment was observed, and likely represents a monomeric circular form of the vector genome (Figure 2B, lane 7; Figure 2D, lane 10). Digestion withBglII releases a 0.7-kb fragment containing the CMV promoter/enhancer (Figure 2B, lanes 4 and 9; Figure 2C, lane 5; Figure2D, lanes 5 and 11). The BglII digests were used to estimate gene copy number in the sample, as judged against a series of standards (Figure 2B-D, lanes 1-3, respectively). For lanes with a positive signal, the gene copy number was generally in the range of 0.5 to 4 copies/human diploid genome (Table 8). Gene transfer could be demonstrated on biopsy samples taken as late as month 10 after vector administration (Figure 2C, lanes 5-8). Examples of undetectable gene transfer by Southern blot (< 0.5 copies/diploid genome) are shown in lane 4 of Figure 2C and lanes 8 and 9 in Figure 2D (summarized in Table8).
Bioactivity and efficacy studies in subjects treated with intramuscular AAV-hFIX
| . | PCR on muscle biopsy . | Southern blot on muscle biopsy8-150 . | F.IX immunohistochemistry . | Max circ of F.IX . | Decrease in F.IX infusion . |
|---|---|---|---|---|---|
| A | Pos8-151 | Neg | Neg | 1.40% | 50% |
| B | Pos8-151 | ND | Pos | <1% | 50% |
| C | Pos8-151 | Pos (4) | Neg | <1% | None |
| D | Pos | Pos (1.5) | Pos | <1% | None |
| Pos | Pos (2.5) | Pos | <1% | None | |
| E | Neg | Neg | Pos | <1% | None |
| F | Neg | Neg | Pos | 1% | None |
| Pos | Pos (0.5) | Pos | 1% | None | |
| G | Pos | Neg | Pos | <1% | None |
| H | Pos | Pos (0.5) | Pos | <1% | None |
| . | PCR on muscle biopsy . | Southern blot on muscle biopsy8-150 . | F.IX immunohistochemistry . | Max circ of F.IX . | Decrease in F.IX infusion . |
|---|---|---|---|---|---|
| A | Pos8-151 | Neg | Neg | 1.40% | 50% |
| B | Pos8-151 | ND | Pos | <1% | 50% |
| C | Pos8-151 | Pos (4) | Neg | <1% | None |
| D | Pos | Pos (1.5) | Pos | <1% | None |
| Pos | Pos (2.5) | Pos | <1% | None | |
| E | Neg | Neg | Pos | <1% | None |
| F | Neg | Neg | Pos | 1% | None |
| Pos | Pos (0.5) | Pos | 1% | None | |
| G | Pos | Neg | Pos | <1% | None |
| H | Pos | Pos (0.5) | Pos | <1% | None |
Max circ indicates maximum circulation of F.IX; ND, study not performed because of insufficient tissue.
Gene copy number estimates, based on comparison to standards, are shown in parentheses.
See Kay et al.24
Southern blot analysis of gDNA isolated from injected human skeletal muscle tissue.
(A) Diagram of AAV vector containing the CMV IE enhancer/promoter, P (CMV), exon 1 and a 1.4-kb portion of intron 1 the human F.IX (F9) gene (intron I), exons 2-8 of the human F.IX cDNA (F.IX cDNA) including 0.2-kb of the 3′-untranslated region, and the SV40 polyadenylation signal (SV40). The expression cassette is flanked by AAV-2 ITRs. (B-D) Total gDNA was isolated from biopsied muscle tissue and restricted with BglII to release a vector-specific 0.7-kb fragment (CMV IE enhancer/promoter), or restricted with EcoRI, which cuts once in the middle of the vector resulting in a 4.5-kb fragment (unit length of the vector) for vector sequences present as concatemers or monomeric circles. Alternatively, gDNA was restricted with ClaI (which does not cut in the vector genome) or with BamHI, which cuts once within the vector and thus allowing a distinction between head-to-tail (4.5-kb) and head-to-head/tail-to-tail (8-kb and 1-kb, respectively) concatemeric arrangement. Plasmid standards (10-1000 pg/lane) encoding the AAV vector genome were cut with BglII for estimation of gene copy number. gDNA (15 μg, restricted or undigested) and pDNA were separated on 1% agarose gels, Southern blotted onto a nylon membrane, and probed with a 32P-random prime-labeled 0.7-kb BglII fragment representing the CMV enhancer/promoter. Sizes of bands were estimated by comparison with a size marker (1-kb ladder; Gibco BRL). Indicated are high-molecular-weight (HMW), putative head-to-head (h:h) and head-to-tail (h:t) fragments (note that a tail-to-tail fragment is not recognized by the probe) and circular monomeric forms (°). Southern blot analyses are shown for muscle biopsy of subjects C and D (panel B, 2 months after vector administration), subjects D and F (panel C, 10 and 2 months after vector administration, respectively), and subjects F, G, and H (panel D, 6, 2, and 2 months after vector administration, respectively).
Southern blot analysis of gDNA isolated from injected human skeletal muscle tissue.
(A) Diagram of AAV vector containing the CMV IE enhancer/promoter, P (CMV), exon 1 and a 1.4-kb portion of intron 1 the human F.IX (F9) gene (intron I), exons 2-8 of the human F.IX cDNA (F.IX cDNA) including 0.2-kb of the 3′-untranslated region, and the SV40 polyadenylation signal (SV40). The expression cassette is flanked by AAV-2 ITRs. (B-D) Total gDNA was isolated from biopsied muscle tissue and restricted with BglII to release a vector-specific 0.7-kb fragment (CMV IE enhancer/promoter), or restricted with EcoRI, which cuts once in the middle of the vector resulting in a 4.5-kb fragment (unit length of the vector) for vector sequences present as concatemers or monomeric circles. Alternatively, gDNA was restricted with ClaI (which does not cut in the vector genome) or with BamHI, which cuts once within the vector and thus allowing a distinction between head-to-tail (4.5-kb) and head-to-head/tail-to-tail (8-kb and 1-kb, respectively) concatemeric arrangement. Plasmid standards (10-1000 pg/lane) encoding the AAV vector genome were cut with BglII for estimation of gene copy number. gDNA (15 μg, restricted or undigested) and pDNA were separated on 1% agarose gels, Southern blotted onto a nylon membrane, and probed with a 32P-random prime-labeled 0.7-kb BglII fragment representing the CMV enhancer/promoter. Sizes of bands were estimated by comparison with a size marker (1-kb ladder; Gibco BRL). Indicated are high-molecular-weight (HMW), putative head-to-head (h:h) and head-to-tail (h:t) fragments (note that a tail-to-tail fragment is not recognized by the probe) and circular monomeric forms (°). Southern blot analyses are shown for muscle biopsy of subjects C and D (panel B, 2 months after vector administration), subjects D and F (panel C, 10 and 2 months after vector administration, respectively), and subjects F, G, and H (panel D, 6, 2, and 2 months after vector administration, respectively).
To assess expression of the donated gene in biopsied muscle, we performed both immunofluorescent and immunoperoxidase staining for F.IX (Figure 3). All examined tissue samples showed healthy muscle architecture without evidence for inflammation (Figure3A and data not shown). Eight of 10 biopsies contained areas positive for expression of the donated gene up to month 10 after transduction (Table 8); these were typically found adjacent to tissue blocks negative for transgene expression, likely dependent on how close the biopsy samples were located to the main site of injection. All positive samples examined showed a mosaic-like pattern of F.IX staining, with brightly staining positive fibers directly adjacent to negative fibers (Figure 3B-G). Furthermore, there was extensive extracellular staining of the secreted F.IX (Figure 3B,D-G). This pattern is identical to that seen previously in injected animal tissues.22 23 In a few cases (eg, subjects A, E, and F) there was discordance between results for gene transfer and expression. This likely proceeds from the exigencies of processing a small sample for multiple studies; each muscle biopsy sample was subdivided into fragments that were then used independently for PCR, Southern blot, or immunohistochemistry. Based on previous experience with muscle biopsies in large animals, it is clear that sampling of injected sites can be an imprecise process and that biopsy material can routinely contain injected tissue as well as uninjected adjacent tissue.
Histology of skeletal muscle cross-sections of biopsy taken 2 months after vector administration.
(A-C) Subject D, hematoxylin and eosin (A), F.IX immunohistochemistry (B, brown stain), and F.IX immunoflourescence stain (C, green stain). (D-G) Subject G F.IX immunohistochemistry (D, brown stain), and F.IX immunofluorescence stain (E-G, green stain). (H-I) Sections that stained negative for F.IX expression by immunohistochemistry (H) and immunofluorescence (I) methods for comparison. Original magnifications × 100 (A-B, D-E, H-I) and × 200 (C, F-G).
Histology of skeletal muscle cross-sections of biopsy taken 2 months after vector administration.
(A-C) Subject D, hematoxylin and eosin (A), F.IX immunohistochemistry (B, brown stain), and F.IX immunoflourescence stain (C, green stain). (D-G) Subject G F.IX immunohistochemistry (D, brown stain), and F.IX immunofluorescence stain (E-G, green stain). (H-I) Sections that stained negative for F.IX expression by immunohistochemistry (H) and immunofluorescence (I) methods for comparison. Original magnifications × 100 (A-B, D-E, H-I) and × 200 (C, F-G).
In addition to the studies performed to assess gene transfer and expression, we performed other immunohistochemical studies in an attempt to elucidate the basis of the mosaic-like pattern of transgene positivity seen in the muscle samples. Based on a report by Huard and colleagues,30 we hypothesized that slow fibers of human muscle are preferentially transduced by rAAV-2. Pruchnic et al showed abundant presence of HSPGs, which act as a receptor for AAV-2,31 in murine slow-twitch (but not fast-twitch) fibers. Adjacent sections from the muscle biopsy of subject G were stained with antibodies to slow-twitch myosin or to human F.IX (Figure 4E-F). These showed excellent concordance between slow-twitch fibers and F.IX expression. In another experiment we found excellent concordance between expression of HSPGs and of slow-twitch myosin in muscle fibers (Figure 4C-D). Finally, the percentage of muscle fibers in the vastus lateralis muscle was determined to be approximately 30% to 40% slow-twitch and 60% to 70% fast-twitch fibers (Figure 4A-B). This is in good agreement with older literature assessing slow/fast-twitch fiber composition for this muscle in humans.32
Histochemical analysis of human vastus lateralis muscle and vector transduction.
(A-B) Immunohistochemical stain for fast-twitch (A) and slow-twitch (B) isoforms of myosin. (C-D) Simultaneous immunofluorescence stain for slow-twitch myosin (C) and HSPG (D) indicates cytoplasmic HSPG stain in slow-twitch muscle fibers. (E-F) Colocalization of F.IX transgene expression (E) and slow-twitch muscle fibers (F) on serial sections of biopsy from subject G, 2 months after vector administration. Original magnification × 100 for panels A-F.
Histochemical analysis of human vastus lateralis muscle and vector transduction.
(A-B) Immunohistochemical stain for fast-twitch (A) and slow-twitch (B) isoforms of myosin. (C-D) Simultaneous immunofluorescence stain for slow-twitch myosin (C) and HSPG (D) indicates cytoplasmic HSPG stain in slow-twitch muscle fibers. (E-F) Colocalization of F.IX transgene expression (E) and slow-twitch muscle fibers (F) on serial sections of biopsy from subject G, 2 months after vector administration. Original magnification × 100 for panels A-F.
Due to the morbidity of the procedure, subjects were reluctant to proceed with subsequent muscle biopsies, and only 2 biopsies were available from the 6-month and 10-month time points. Both showed evidence for gene transfer and expression, with copy number and expression undiminished compared to the 2-month time points.
Factor usage
Prior to vector injection, usage of factor concentrate in subject A, administered in an on-demand regimen, averaged 3.7 treatments per week. During 2 years of follow-up after vector administration, he reduced factor usage by 50%.
Subject B treated himself on average 4.1 times a week prior to treatment with the vector. During the first 24 months after vector treatments (and continuing to the present), he reduced his factor concentrate usage by 50%. There were no changes in the treatment patterns recorded by subjects C through H before and after vector administration.
Factor levels
Four of the 8 subjects had F.IX levels higher than baseline at time points that were at least 10 days after the most recent factor infusion. Subject A was first noted to have a F.IX level higher than baseline at 8 weeks after injection and was again noted to have a level higher than baseline (1.4%) at 12 weeks, 14 days after the most recent factor infusion. This sample was measured at more than 1% in 4 different clinical laboratories. Subject A had a 1% level measured 52 weeks after treatment with the vector. Subject B also showed measurable increases in F.IX levels, from a baseline of less than 0.3%, up to 0.8%. Subject D had a measured level of 0.7% at 8 weeks, with a baseline of 0.2%. Subject G had a level of 0.8% at 4 weeks after treatment. All other F.IX levels, measured at least 14 days after factor concentrate infusion, were less than 1% in the remaining subjects (Table 9).
F.IX assay percentages
| . | A . | B . | C . | D . | E . | F . | G . | H . |
|---|---|---|---|---|---|---|---|---|
| 2 wk | 149-150 | 139-150 | 1.49-150 | 0.7 | 0.4 | 0.7 | 0.5 | 0.5 |
| 4 wk | 39-150 | <1 | <1 | 0.2 | 1.79-150 | 0.3 | 0.8 | 0.3 |
| 8 wk | 19-150 | <1 | 0.6 | 0.7 | 0.3 | 0.2 | <1 | 0.5 |
| 12 wk | 1.4 | <0.3 | 0.5 | 0.2 | 1 | <1 | 99-150 | ND |
| 24 wk | 0.5 | 0.8 | ND | 0.2 | 1 | 0.1 | 0.3 | ND |
| 52 wk | 1 | 2.49-150 | 49-150 | ND | 0.3 | ND | 0.4 | 0.3 |
| . | A . | B . | C . | D . | E . | F . | G . | H . |
|---|---|---|---|---|---|---|---|---|
| 2 wk | 149-150 | 139-150 | 1.49-150 | 0.7 | 0.4 | 0.7 | 0.5 | 0.5 |
| 4 wk | 39-150 | <1 | <1 | 0.2 | 1.79-150 | 0.3 | 0.8 | 0.3 |
| 8 wk | 19-150 | <1 | 0.6 | 0.7 | 0.3 | 0.2 | <1 | 0.5 |
| 12 wk | 1.4 | <0.3 | 0.5 | 0.2 | 1 | <1 | 99-150 | ND |
| 24 wk | 0.5 | 0.8 | ND | 0.2 | 1 | 0.1 | 0.3 | ND |
| 52 wk | 1 | 2.49-150 | 49-150 | ND | 0.3 | ND | 0.4 | 0.3 |
ND indicates not done.
Specimen may have been drawn less than 14 days after infusion.
Discussion
This report describes the first clinical study in which an AAV vector was administered by parenteral injection. Recombinant AAV in doses up to 1.8 × 1012 vg/kg was well tolerated when introduced into skeletal muscle, and there was no evidence of serious local or systemic toxicity. Muscle biopsies demonstrated gene transfer and expression in the majority of subjects tested, with one biopsy (the only one performed at a late time point) documenting undiminished gene copy number and expression 10 months after vector administration. This observation is consistent with preclinical studies that have documented expression in mice for over 1 year after intramuscular injection and in dogs more than 4 years after injection22 23 (R.W.H. et al, unpublished results, 2001).
The design of this initial trial reflects safety considerations arising from the lack of clinical experience with rAAV and from characteristics unique to the hemophilia population. In preclinical studies, we demonstrated that either skeletal muscle or liver could serve as a target tissue for AAV-mediated gene transfer and that therapeutic levels of circulating F.IX could be obtained in mice and hemophilic dogs with either route of administration.21-23,33,34Several factors influenced the decision to use skeletal muscle as the target in these initial clinical studies. At the time that the study was begun (June 1999), there was no experience with parenteral administration of AAV; the only prior human studies had been (topical) administration of rAAV into the maxillary sinuses or the respiratory tracts of individuals with cystic fibrosis.35 Thus, parenteral studies were initiated at a peripheral rather than systemic site. In addition, intramuscular injection is a familiar and relatively noninvasive technique, whereas administration of vector to the hepatic circulation requires an interventional radiology procedure at a minimum. This also favored muscle as a target tissue. The high prevalence of hepatitis in the adult hemophilia population36-38 also dampened enthusiasm for a liver-directed approach. Finally, biodistribution studies in mice and rabbits suggested that the risk of inadvertent germline transmission of vector sequences was lower with an intramuscular approach,39-42 a supposition since supported by findings in the first subjects enrolled in a subsequent liver-directed trial.43-45 On the other hand, it was clear from our own studies and those of others that there was a dose advantage in favor of liver,21,34,46-48 and that all the necessary posttranslational modifications would be accurately and efficiently executed in the hepatocyte, a condition that does not always obtain in skeletal muscle.8
Study population and vector administration
Each of the 8 subjects has a different missense mutation as the cause of his disease. This is typical for hemophilia B, where no single mutation predominates. Intramuscular injection of rAAV appears to be safe at the doses administered here. A consistent finding was the absence of any symptoms or signs of systemic illness during follow-up after vector injection. Most of the adverse events observed were related to trauma surrounding the intramuscular injections in subjects with bleeding disorders, or to the subsequent muscle biopsies performed to permit assessment of gene transfer and expression in this phase 1 study. Such a procedure would not be a routine part of therapeutic vector administration.
Biodistribution studies
A potential adverse event unique to gene transfer studies is the risk of inadvertent germline transmission of the donated DNA sequences. Because vector integration into germ cells, if it occurs, is likely to be random in the setting of rAAV, an integration event could potentially have disastrous effects for progeny conceived from such a germ cell. Thus, a working guideline is that germline transmission of vector DNA should be avoided.40-42 Biodistribution studies performed here document that there is no evidence of vector DNA in semen samples obtained from subjects at any time point following vector injection. Thus, the risk of inadvertent germline transmission of vector sequences would appear to be very low for doses up to 1.8 × 1012 vg/kg delivered to skeletal muscle. See “” for additional notes on the biodistribution studies.
Absence of antibodies to F.IX
A major safety concern in any novel treatment for hemophilia is the risk of developing inhibitory antibodies to the clotting factor.49,50 Subjects with a previous history of inhibitory antibodies formed in response to infused F.IX protein were excluded from this study. However, data generated in animal models suggest that antigen processing and presentation of F.IX may differ in protein infusion approaches versus gene transfer approaches.51-53 In the studies shown here, there was no evidence of formation of either inhibitory or noninhibitory antibodies following vector injection. Two specific exclusion/inclusion criteria may have been key to this safety feature. First, we limited enrollment to individuals with missense mutations; those with nonsense mutations, gene inversions, or gene deletions were excluded from participation. The rationale for this was based on studies in 2 different hemophilia B dog models.23,28,54 Animals with missense mutations generally did not form inhibitory antibodies to canine F.IX after intramuscular vector injection (except at high doses), whereas animals with an early stop codon routinely developed inhibitory antibodies to AAV vector–encoded canine F.IX even at low doses. This finding is consistent with older observations55 derived from studies of patients with hemophilia B treated with clotting factor concentrates, which demonstrated that individuals with missense mutations virtually never develop inhibitory antibodies, whereas those with mutations that result in substantial loss of coding information (eg, gene deletions, early stop codons) have a risk of inhibitor formation considerably higher than the hemophilia population as a whole. It is important to note that, in dogs with hemophilia B due to an early stop codon, inhibitory antibodies could be elicited even at vector doses too low to result in detectable circulating levels of F.IX. Thus for individuals with mutations that result in a substantial loss of coding information, there is a risk of inhibitor formation even at low doses of vector.
The second key feature in avoiding inhibitor formation was a strict limitation on the dose of vector injected at each site. In earlier studies in hemophilic dogs, we had shown that the risk of generating inhibitory antibodies increased with increasing vector dose per site.28 A change in the dose per site changes several variables that may affect antigen presentation; the total number of viral particles rises, the amount of antigen produced per site rises, and the level of any contaminant in the vector preparation also rises. Whatever the mechanisms involved, dog studies suggest that keeping the dose per site below 2 × 1012 vg reduces the risk of inhibitory antibody formation.
Antibodies to AAV
A potential obstacle to therapy with rAAV is the presence in a substantial portion of the human population of neutralizing antibodies to the wild-type AAV capsid.56 Thus one goal of these studies was to determine whether these antibodies block gene transfer and expression with a rAAV vector. Comparison of the data in Table 7and Table 8 suggests that transduction is not blocked, because subjects with high-titer pretreatment neutralizing antibodies (subjects A, B, D, E, and G) all had evidence on muscle biopsy for gene transfer or expression or both. See “” for additional notes on neutralizing antibodies to AAV.
Evidence for gene transfer and expression on muscle biopsy
Analysis of transduced muscle tissue has afforded the opportunity to determine how accurately studies in hemophilic dogs have predicted results in humans. The findings reported here in this first human study are remarkably similar to those we reported in studies in the large animal model.23 In both cases, vector DNA is detectable on Southern blot of injected tissue as a high-molecular-weight form, gene copy number is about 0.5 to 4 copies/diploid genome at doses of about 1.5 × 1012 vg/site, and immunohistochemistry shows the same checkerboard pattern of positively staining fibers directly adjacent to negative fibers.
A puzzling feature of early studies of muscle-directed gene transfer with rAAV was the universally noted mosaic-like pattern of transgene expression.17,57 Huard and colleagues provided evidence in studies in mice to suggest that this pattern reflects differences in the abundance of HSPG on slow and fast muscle fibers,30 and we show here that the same explanation applies in human muscle. This finding had an important consequence for the clinical study, because the site initially selected for muscle injection, the vastus lateralis muscle, chosen for its ease of access for both injection and biopsy, is one with a moderately low slow fiber content. This discovery resulted in a modification to the clinical study, to include as injection sites the deltoids and the soleus, where slow fibers comprise 61% and 85% of the muscle, respectively.32
Need for higher doses and practical limitations to dose escalation
As reported previously and as shown in Table10, vector doses of 1.8 × 1012 vg/kg reliably yield circulating F.IX levels of more than 1% in mice, whereas 4- to 5-fold higher doses (8.5 × 1012 vg/kg) are required for levels more than 1% in dogs. At the outset, it was unclear whether mice or dogs would more accurately predict dose response in humans, but based on data from this phase 1 study, it is clear that doses of 1.8 × 1012vg/kg do not yield levels of more than 1% F.IX in humans and that higher doses will be required. A major limitation to dose escalation, however, is the need to inject larger numbers of sites as the dose is increased. This requirement rests on 3 distinct features of AAV-mediated gene transfer and F.IX expression in skeletal muscle. First, F.IX undergoes extensive posttranslational modification, and skeletal muscle has only a limited capacity to accurately and efficiently execute these changes. At high levels of synthesis, biologically inactive material is secreted.8 Second, in studies in large animal models, we have shown that the risk of inhibitor formation in hemophilic dogs increases with increasing dose per site, so that avoidance of this complication requires injection of progressively higher numbers of sites as the dose is raised.28,58 Finally, there is a theoretical limitation on dose per site for receptor-mediated uptake of vector. Note that the use of alternate serotypes that transduce muscle more efficiently59 60 may circumvent the third limitation, but would have no effect on the other 2.
AAV-F.IX muscle results in 3 species
| Dose, vg/kg . | Mice10-150 . | Dogs10-151 . | Peak human . |
|---|---|---|---|
| 2 × 1011 | <1% | <0.1% | 1.4%, 0.8%, <1% |
| 6.0 × 1011 | <1% | 0.2% | <1%, 1%, <1% |
| 1.8 × 1012 | 1.5% | 0.2%-0.4% | <1%, <1% |
| 4.0 × 1012 | 3% | 0.4% | ND |
| 8.5 × 1012 | ND | 1.4% | ND |
| 1.6 × 1013 | 5%-7% | ND | ND |
Absence of a clear dose-response effect
At the vector doses administered in this trial, efficacy was quite limited, with 2 of 8 subjects demonstrating a small elevation of F.IX levels (≥ 1% but < 2%), and 2 of 8 subjects reducing the use of F.IX concentrate by at least half for periods of more than 1 year. Because dose escalation was stopped at a dose considerably lower than we had originally proposed (Table 1), it is perhaps not surprising that a clear dose-response relationship could not be demonstrated. Several groups have reported methods for measuring very low levels of circulating F.VIII on plasma samples; it will be of interest to determine whether these can also be extended to F.IX,61 62because more sensitive measures at low levels may permit analysis of whether a dose response is occurring.
Of interest is that a subject who received the lowest dose of vector achieved the highest level of expression (subject A). One factor that may have elevated this subject's circulating levels of F.IX was the coadministration of zidovudine. As we have previously shown,63 the presence of zidovudine in the culture medium increases levels of transgene expression by as much as 30-fold in AAV-transduced cells for reasons that are not clear. Subject A is the only one who was taking zidovudine, which may account at least in part for his better than average response. Note that lot-to-lot variation in vector preparations should not be a factor in the absence of a clear dose response, because each lot undergoes potency testing through transduction of cultured cells and is not released for clinical use unless the amount of F.IX produced per vector genome falls within a specified range.
Summary
In this report we have demonstrated that intramuscular injection of an AAV vector encoding human F.IX was well tolerated with no significant systemic or local toxicities in 8 human subjects. Vector was not detected in the semen at any time point, consistent with animal data suggesting a low risk of vertical transmission of rAAV vector given by this route. Antibodies to F.IX were not detected, either by Bethesda assay or by Western blot. PCR analysis, Southern blot, and immunohistochemistry of biopsied injected muscle provided clear evidence of gene transfer and expression following intramuscular injection of AAV-F.IX. Although circulating levels of F.IX were less than what is required for a therapeutic effect, the study illustrates that the general characteristics of AAV transduction in skeletal muscle are similar in animals and humans. The data reported here are the foundation for ongoing studies in which AAV-F.IX is introduced into the liver in patients with severe hemophilia B. As secretion of F.IX from hepatocytes is much more efficient than secretion from muscle cells, it may be possible to achieve therapeutic levels with this approach in humans, as has already been established in hemophilic dogs.48 In addition, these findings have important implications for treatment of muscular dystrophies64 or for other diseases where lower levels of protein secretion from skeletal muscle are adequate for a therapeutic effect.65 66
Notes on biodistribution studies
Generally, the biodistribution studies demonstrate that vectors can be detected in serum, saliva, and urine for 24 hours after intramuscular administration of the vector and only occasionally thereafter. In a recent study by Favre et al,67 the authors demonstrated that white blood cell (WBC) DNA was positive for vector sequences up to 9 months following intramuscular injection of rAAV in nonhuman primates. Although WBC DNA was not specifically analyzed in this study, this is the likely explanation for the positive serum sample at 12 weeks in subject E. Another important point demonstrated in the Favre et al67 study is that infectious AAV was never detected in body fluids obtained more than 3 days after injection, suggesting that the PCR-detectable sequences isolated at later time points do not represent a risk for horizontal transmission. See “Biodistribution studies” in “Discussion” for additional information.
Notes on anti-AAV antibodies
Infection with wild-type AAV occurs via the respiratory tract; whether the neutralizing antibodies measured in the in vitro assay described here have any predictive value for transduction of skeletal muscle (or liver) is not clear. In this study, more than 1012 vector genomes were delivered to each injection site. It is likely that such high local particle concentrations would overwhelm even a high-titer neutralizing antibody. See “Antibodies to AAV” in “Discussion” for additional information.
Prepublished online as Blood First Edition Paper, December 19, 2002; DOI 10.1182/blood-2002-10-3296.
Supported by National Institutes of Health grants P01 HL64190 and R01 HL61921 (K.A.H.), R01 HL71518 (C.S.M.), and U01 HL66948 (M.A.K.).
L.B.C., M.A.K., F.A.J., A.M., C.S., K.A.H., and A.J.C. are either employed by or hold equity in a company, Avigen, Inc, which manufactures the clinical grade vector used in this study.
The publication costs of this article were defrayed in part by page charge payment. Therefore, and solely to indicate this fact, this article is hereby marked “advertisement” in accordance with 18 U.S.C. section 1734.
References
Author notes
Catherine S. Manno, Children's Hospital of Philadelphia, 34th St and Civic Center Blvd, Division of Hematology, 4 Wood, Philadelphia, PA 19104; e-mail:manno@emailchop.edu.




This feature is available to Subscribers Only
Sign In or Create an Account Close Modal