The identification of specific chromosome abnormalities in acute myeloid leukemia (AML) is important for the stratification of patients into the appropriate treatment protocols. However, a significant proportion of diagnostic bone marrow karyotypes in AML is reported as normal by conventional cytogenetic analysis and it is suspected that these karyotypes may conceal the presence of diagnostically significant chromosome rearrangements. To address this question, we have developed a novel 12-color fluorescence in situ hybridization (FISH) assay for telomeric rearrangements (termed M-TEL), which uses an optimized set of chromosome-specific subtelomeric probes. We report here the application of the M-TEL assay to 69 AML cases with apparently normal karyotypes or an isolated trisomy. Of the 69 cases examined, 3 abnormalities were identified, all in the normal karyotype group. The first was a t(11;19)(q23;p13), identified in an infant with AML-M4. In 2 other young patients with AML (< 19 years), an apparently identical t(5;11)(q35;p15.5) was identified. Breakpoint mapping by FISH and reverse transcriptase polymerase chain reaction (RT-PCR) analysis confirmed that this was the same t(5;11) as previously identified in 3 children with AML, associated with del(5q) and resulting in the NUP98-NSD1 gene fusion. The t(5;11) was not detected by 24-color karyotyping using multiplex FISH (M-FISH), emphasizing the value of screening with subtelomeric probes for subtle translocations. This is the first report of the t(5;11)(q35;p15.5) in association with an apparently normal karyotype, and highlights this as a new, potentially clinically significant chromosome rearrangement in childhood AML.
Introduction
Cytogenetic analysis plays a major role in the diagnosis and clinical management of patients with acute myeloid leukemia (AML).1 The majority of AML cases have one of a series of recurrent chromosome abnormalities, many of which are associated with specific morphologic and clinical characteristics. The detailed characterization of these recurrent chromosome rearrangements has been pivotal in elucidating their molecular basis.2This in turn has provided the possibility of tailoring therapeutic regimens to target the underlying genetic defect. Examples of this approach are the use of all-trans retinoic acid in the treatment of t(15;17) positive acute promyelocytic leukemia,3 and the tyrosine kinase inhibitor STI571 (targeting the BCR-ABL fusion protein) in the treatment of chronic myeloid leukemia.4
Pretreatment karyotype is one of the most important independent prognostic factors in AML, influencing the likelihood of remission induction and risk of relapse.1,5-7 However, the incidence of normal karyotypes in AML is as high as 42% in some studies.5 In a small percentage of these karyotypes, specific chromosome rearrangements may be genuinely missed due to technical factors such as poor chromosome morphology. However, even in high-quality cytogenetic preparations, G-banding analysis suffers from an inherent limit in resolution such that rearrangements less than 3 megabases in size, particularly those involving uniformly pale G-banded regions, may be impossible to detect. Molecular genetic approaches such as reverse transcriptase–polymerase chain reaction (RT-PCR) have demonstrated that a small percentage of apparently normal karyotypes may be cryptic versions of known recurrent translocations, generated by submicroscopic insertions or more complex rearrangements.8-11 Partial tandem duplication of theMLL gene has been found in 6% to 11% of adults with de novo AML and a normal karyotype.12,13 Other rearrangements beyond the detection limits of G-banding include point mutations of the tumor suppressor gene CEBPA14 and of theAML1 gene15 in 5% and 1% of apparently normal karyotype AML cases, respectively. However, this still leaves a significant percentage of apparently normal karyotypes that cannot be accounted for by known gene fusions. It has long been speculated that these “normal” AML karyotypes may harbor new, diagnostically significant chromosome rearrangements, comparable to the t(12;21) in childhood B-cell acute lymphocytic leukemia (ALL).16Although the newer 24-color karyotyping methods, multiplex FISH (M-FISH)17 and spectral karyotyping (SKY),18have proved valuable in the elucidation of complex chromosome rearrangements,19,20 these are also limited in resolution to between 2 and 2.5 megabases.21 22
To improve the level of detection of subtle (cryptic) chromosome rearrangements, we decided to target the telomeric chromosome regions. Using a set of chromosome-specific subtelomeric probes characterized as being within 500 kb from the chromosome end,23 we previously developed a 12-color multiplex FISH assay (termed M-TEL) which we have demonstrated can detect constitutional chromosome rearrangements below the resolution of G-banding.22 24 We report here the application of the M-TEL assay to a large series of AML karyotypes reported by G-banding as either normal or containing an isolated trisomy. A subset of these was also analyzed using M-FISH.
Patients, materials, and methods
Patients
We studied 69 patients with a confirmed diagnosis of AML and a pretreatment G-banded karyotype reported as normal (61 cases) or containing an isolated trisomy (8 cases). Archival methanol–acetic acid-fixed chromosome suspensions were obtained from diagnostic cytogenetic laboratories in the United Kingdom, Austria, and Germany. No particular French-American-British (FAB) subtypes were selected or rejected; however, there were no cases of AML-M3. The majority of the 0-to-14-year age group had also been screened molecularly for specific rearrangements, or by interphase FISH (as appropriate) as part of the diagnostic analysis.
Probes
The second generation set of PAC, BAC, P1, and cosmid clones used in the M-TEL assay has been described previously.22,23 Probes used for breakpoint analysis were dual-color “break-apart” MLL probe (Vysis, Richmond, United Kingdom); PAC 1173K1 (11p15.5, containing exons 10-20 of theNUP98 gene)25; p6G2 (containing exons 10-12 ofNUP98 gene)25; p9R1 (containing exons 13-14 ofNUP98 gene)25; cFLT4 (5q35, containing theFLT4 gene)26; and c13 (5q35, immediately centromeric to the NPM1 gene).26
Probes used for interphase FISH for submicroscopic 5q deletions were the LSI CSF1R dual-color deletion probe (5q33-q34) and the LSI EGR1 dual-color deletion probe (5q31) (both from Vysis). In each case, the probe under test was labeled with SpectrumOrange (red fluorescent signal) and the control probe (5p15.2) was labeled with SpectrumGreen (green fluorescent signal). In normal cells, the expected signal pattern is 2 red, 2 green (2R2G) signals, whereas cells with a 5q deletion would show 1 red, 2 green (1R2G) signals.
M-TEL assay
The M-TEL assay is described in detail elsewhere.24Briefly, probes were combinatorially labeled by nick translation using digoxygenin (detected with fluorescein isothiocyanate [FITC]), Cy3, biotin (detected with Cy3.5), and estradiol (detected with Cy5.5), with both the p and q arm probes for each chromosome labeled with the same fluorochrome combination. We performed 2 separate hybridizations: (1) M-TEL1 hybridization, containing the p and q arm probes for chromosomes 1, 3, 5, 7, 9, 11, 17, 19, X and Y, and q arm probes for chromosomes 13, 15, and 21; and (2) M-TEL2 hybridization, containing the p and q arm probes for chromosomes 2, 4, 6, 8, 10, 12, 16, 18, 20, and the q arm probes for 14 and 22. Images were collected using a Sensys CCD camera (KAF1400 chip; Photometrics, Tucson, AZ) mounted on an Olympus AX 70 epifluorescence microscope (Olympus Optical, London, United Kingdom), with an 8-position filter turret containing filters specific for 4′, 6-diamidino-2-phenylindole (DAPI), FITC, Cy3, Cy3.5, and Cy5.5 (Chroma Technology, Brattleboro, VT) using a 75-watt xenon lamp. The camera was controlled by MacProbe v 4.0 software (Applied Imaging, Newcastle, United Kingdom). Analysis of the combinatorially labeled probes was performed using 2 software analysis programs: (1) a modified version of Powergene M-FISH version 1.1.1 (Applied Imaging), which allowed karyotyping of the inverted DAPI image and sequential viewing of the individual fluorochrome channels in karyotyped format; and (2) goldFISH,27 28 which performs telomere classification according to their fluorochrome combination after identification of the telomeres by anisotropic nonlinear diffusion filtering. Analysis of at least 10 metaphase spreads per hybridization was performed.
M-FISH
M-FISH was performed using a commercially available set of combinatorially labeled whole chromosome paints (SpectraVysion, Vysis), essentially according to the manufacturer's protocol, with the following modifications: (1) pretreatment of the metaphase chromosomes on slides was carried out using pepsin (30 μg/mL in 0.01 N HCl) for 2 to 5 minutes, depending the amount of cytoplasm present; (2) postfixation was carried out using 1% formaldehyde (in 50 mM phosphate-buffered saline [PBS]/MgCl2 solution) for 10 minutes at room temperature; and (3) the M-FISH probe mixtures were denatured at 72°C for 5 minutes. Separate fluorochrome images were obtained using a Sensys cooled CCD camera (KAF 1400 chip; Photometrics) mounted on an Olympus AX-70 microscope (Olympus Optical) with an 8-position filter turret containing specific filter sets for DAPI, SpectrumAqua, FITC, SpectrumGold, Cy3.5, and Cy5 (Chroma Technology), using a 100-watt mercury lamp. The resultant images were analyzed using Powergene M-FISH version 1.1.1 software (Applied Imaging).
FISH
For breakpoint mapping, FISH was carried out essentially as previously described, using probes labeled with either biotin-16-dUTP or digoxygenin-11-dUTP (Roche Diagnostics, Lewes, United Kingdom).29 The hybridization mixture contained 100 ng labeled DNA and 2.5 μg unlabeled human C0t-1DNA (Gibco, Paisley, United Kingdom). Dual-color detection was carried out using the following layers: (1) avidin-Cy3.5 (Amersham Pharmacia Biotech, Little Chalfont, United Kingdom) and sheep antidigoxygenin-FITC (Sigma-Aldrich, Poole, United Kingdom); (2) rabbit antisheep-FITC (Sigma-Aldrich). Slides were mounted in Vectashield (Vector Laboratories, Peterborough, United Kingdom) containing DAPI at 1.5 μg/mL. Results were analyzed using Olympus BX-60 microscope (Olympus Optical) equipped with a Pinkel filter wheel using a 100-watt mercury lamp. Images were captured using a SenSys cooled CCD camera (Photometrics) and MacProbe version 4.2 software (Applied Imaging).
Interphase FISH for submicroscopic 5q deletions was carried out on cytogenetic preparations of leukemic blasts from patients 2 and 3 using Vysis LSI CSF1R and EGR1 dual-color probes according to the manufacturer's instructions. We scored 200 interphase cells for each of the 2 probes on each patient sample as well as on normal peripheral blood controls.
RNA analysis
Total RNA was extracted from cryopreserved bone marrow mononuclear cells of patients 2 and 3 using the Totally RNA kit (Ambion, Huntingdon, United Kingdom). For patient 2, leukemic blasts stored at diagnosis were used, whereas for patient 3, only mononuclear cells stored at first remission were available. RT-PCR was performed with 10 μg RNA in the first strand synthesis in a total volume of 40 μL containing 340 pmol random hexamer primers, 32 U of RNase inhibitor (Rnasin; Promega, Southampton, United Kingdom), and 400 U of M-MLV reverse transcriptase (Promega). We used 3 μL of the product for PCR in a total volume of 30 μL with 15 pmol each of the appropriate forward and reverse primers (see below), 100 μM dNTPs, 0.75 U AmpliTaq Gold (PE Applied Biosystems, Warrington, United Kingdom), 0.15 U Pwo DNA polymerase (Roche Diagnostics, Lewes, United Kingdom) in 1x GeneAmp Gold buffer (PE Applied Biosystems). PCR amplification was carried out in a PCR thermal cycler (Hybaid PCR Express, Hybaid, Teddington, United Kingdom) with an initial denaturation at 95°C for 10 minutes, followed by 35 cycles of denaturation for 30 seconds at 94°C, annealing for 30 seconds at 58°C, and extension time of 30 seconds at 72°C, with a final extension time of 10 minutes at 72°C. The primers used for the detection of transcripts were NUP98-5 (sense) 5′-TCT TGG TAC AGG AGC CTT TG-3′, NSD1-1 (antisense) 5′-TCC AAA AGC CAC TTG CTT GGC-3′, NSD1-2 (sense), 5′-GGG CCA CGG TTA AAT GTT TG-3′, NUP98-6 (antisense) 5′-GAC ATC GGA TTC CGG AAG AG-3′.30 The PCR products were analyzed on a 3% agarose gel.
Sequence analysis
The RT-PCR products of both reactions were gel-purified (Qiaquick Gel Extraction kit, Qiagen, Crawley, United Kingdom) and sequenced (with primers used in RT-PCR) using the BigDye Terminator Cycle sequencing kit (PE Applied Biosystems) on the ABI 377 automated DNA sequencer (PE Applied Biosystems).
Results
Identification of cryptic translocations in apparently normal AML karyotypes
The M-TEL assay identified 3 abnormalities, all from the “normal” karyotype group. The first was a t(11;19)(q23;p13), identified in all 10 cells analyzed. No suitable clinical material was available for RT-PCR; FISH with an MLL gene probe confirmed the disruption of the MLL gene. The other 2 abnormalities were an apparently identical t(5;11)(q35;p15) (Figure1). FISH with a P1 artificial chromosome (PAC) containing the NUP98 gene25 gave a split fluorescence signal on the der(5) and der(11), respectively, indicating that this gene was disrupted by the translocation. Further FISH with exon-specific probes from the NUP98gene25 confirmed that the breakpoint in both patients was in the large intron between exons 12 and 13 of NUP98. FISH with single-locus probes from 5q35 indicated the breakpoint was between the NPM1 and FLT4 genes in both patients. Therefore, the breakpoints in both t(5;11) cases were identical to the 3 cases of t(5;11) previously found in 3 children with AML, in which an interstitial deletion occurred on the chromosome 5 homologue involved in the translocation.26
Identification of a cryptic t(5;11) using the M-TEL assay.
Color classification (goldFISH)27 28 analysis of a bone marrow metaphase from patient 3, hybridized with the M-TEL1 probes. Chromosomes 1, 3, 7, 9, 13, 15, 17, 19, 21, and X and Y probes were all correctly hybridized. However, one homologue of chromosome 5 has chromosome 11 material on the q arm (yellow), and the corresponding chromosome 11 homologue has chromosome 5 material on the p arm (green). This corresponds to a balanced translocation, t(5q;11p). The der(5) and der(11) are indicated by arrows.
Identification of a cryptic t(5;11) using the M-TEL assay.
Color classification (goldFISH)27 28 analysis of a bone marrow metaphase from patient 3, hybridized with the M-TEL1 probes. Chromosomes 1, 3, 7, 9, 13, 15, 17, 19, 21, and X and Y probes were all correctly hybridized. However, one homologue of chromosome 5 has chromosome 11 material on the q arm (yellow), and the corresponding chromosome 11 homologue has chromosome 5 material on the p arm (green). This corresponds to a balanced translocation, t(5q;11p). The der(5) and der(11) are indicated by arrows.
For patient 3, evidence that the t(5;11) was acquired (and not constitutional) was provided by the presence of one normal cell out of 10 analyzed using the M-TEL assay and one normal cell out of 15 analyzed for the presence of a split FISH signal with theNUP98 PAC. For patient 2, all of the cells analyzed by the M-TEL assay and with the NUP98 PAC contained the t(5;11), and there was no suitable material available for phytohemaglutinin (PHA)–stimulated cultures. Interphase FISH for deletions of 5q showed no evidence of submicroscopic 5q deletion in either of the t(5;11) cases using single-locus probes for the CSF1R[5q33-q34] and EGR1 [5q31] loci, respectively. In all cases the percentage of cells with a 1R2G signal pattern (indicative of deletion of the 5q locus in the presence of 2 copies of chromosome 5) was less than that observed for the normal controls (typically 0.03%-0.04% for the test and 0.05% for the normal control). There was no evidence of 5q deletion in any of the metaphases observed on the same preparations using these probes.
Clinical reports of translocation patients
Patient 1.
This patient was a 1-year-old male who presented with a 2-week history of easy bruising and pallor. The peripheral blood count at presentation showed an Hb of 4.3 g/dL, white blood cell count (WBC) of 141.7 × 109/L, and platelets 12 × 109/L. The bone marrow aspirate showed 60% blasts and a diagnosis of AML-M4 was made. Central nervous system involvement was also seen at presentation. The patient was treated on the MRC-AML-12 trial protocol, receiving 4 courses of chemotherapy. He had monthly lumbar punctures with triple intrathecal therapy once chemotherapy was finished until one year from diagnosis as he was too young for cranial irradiation. He achieved remission after the second course of treatment. He is alive and remains disease-free 4 years later.
Patient 2.
This patient was an 18-year-old female who presented with an Hb of 7.1 g/dL, WBC of 58.2 × 109/L, and platelets 28.8 × 109/L. There was no history of mutagenic exposure either to the proband or to the mother during pregnancy. The bone marrow aspirate contained 80% blasts, which showed little or no differentiation and were classified as AML-M1. RT-PCR for theAML1/ETO and CBFβ-MYH11 fusion genes were negative, as was interphase FISH for MLL gene rearrangements. The patient was treated on the AML-BFM-98 trial protocol,31 achieving remission after 3 weeks. She remained in remission for 4 months, after which signs of relapse prompted an allogeneic bone marrow transplant (BMT). After a second relapse (4 months after BMT), she was treated with donor T lymphocytes (2 infusions over 4 weeks). However, she subsequently developed graft-versus-host disease (grade II) of the skin and gut without reduction of the leukemia cells in the bone marrow. She was treated with palliative chemotherapy of low-dose Ara-C and thioguanine, but died due to resistant progressive relapse.
Patient 3.
This patient was a 5-year-old male who presented with an Hb of 8.6 g/dL, WBC of 38.3 × 109/L, and platelets of 63.9 × 109/L. There was no history of mutagenic exposure either to the proband or to the mother during pregnancy. The bone marrow aspirate showed 34% blasts, which showed evidence of maturation (Auer rods were seen) and a diagnosis of AML-M2 was made. RT-PCR for the AML1/ETO fusion gene was performed but was unsuccessful. The patient was treated on the AML-BFM-98 trial protocol,31 achieving remission after 2 months. However, he subsequently relapsed and was given an allogeneic BMT. He is currently alive and well.
M-FISH
We performed 24-color karyotyping by M-FISH on 23 out of the 29 patients in the 0-to-14-year age group and 4 patients in the 15-to-55-year age group. This included all of the patients with translocations identified by the M-TEL assay. M-FISH identified the t(11;19) but failed to identify either of the t(5;11) cases. No additional abnormalities were identified by M-FISH.
RT-PCR and sequencing
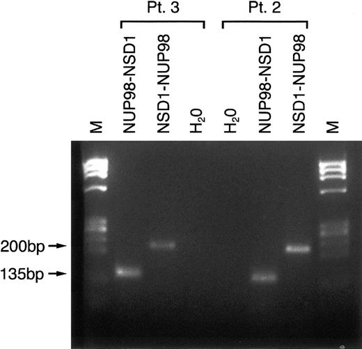
The breakpoint of one of the del(5q)–associated t(5;11) cases has recently been shown to result in the in-frame fusion of theNUP98 gene and a novel gene, NSD1.30We therefore performed RT-PCR on RNA from bone marrow mononuclear cells of patients 2 and 3 using primers flanking the NUP98-NSD1junction. Primers NUP98-5 and NSD1-1 gave a product of the expected size (135 bp) for the NUP98-NSD1 fusion mRNA in each case (Figure 2). Primers NSD1-2 and NUP98-6 amplified the reciprocal NSD1-NUP98 fusion transcript in both patients, giving the expected product size of 200 bp (Figure 2). Sequence analysis of the RT-PCR products from both patients showed that both the NUP98-NSD1 and NSD1-NUP98 fusion mRNA were identical at the sequence level to the del(5q) case reported previously (Figure 3).30
Detection of NUP98-NSD1 andNSD1-NUP98 fusion transcripts in 2 t(5;11)(q35;p15.5) patients by RT-PCR.
RT-PCR products from bone marrow mononuclear cells of patient 3 (in first remission) and patient 2 (at diagnosis). A 135-bp product of theNUP98-NSD1 fusion transcript and a 200-bp product of theNSD1-NUP98 fusion transcript were detected in both patient samples. H2O denotes negative controls without DNA. M denotes the PhiX174HaeIII molecular weight marker (Roche Diagnostics).
Detection of NUP98-NSD1 andNSD1-NUP98 fusion transcripts in 2 t(5;11)(q35;p15.5) patients by RT-PCR.
RT-PCR products from bone marrow mononuclear cells of patient 3 (in first remission) and patient 2 (at diagnosis). A 135-bp product of theNUP98-NSD1 fusion transcript and a 200-bp product of theNSD1-NUP98 fusion transcript were detected in both patient samples. H2O denotes negative controls without DNA. M denotes the PhiX174HaeIII molecular weight marker (Roche Diagnostics).
NUP98-NSD1 and NSD1-NUP98 fusion cDNA.
(A) and (B) show the partial nucleotide sequence of theNUP98-NSD1 and NSD1-NUP98 fusion transcripts respectively. In each case the germline NUP98 andNSD1 nucleotide sequences are also shown. Arrows show theNUP98 and NSD1 fusion points. In (A), theNUP98 and NSD1 mRNA were fused in-frame joining nucleotide 1552 (corresponding to the end of exon 12) ofNUP98 to nucleotide 3506 (corresponding to exon 6) ofNSD1. In (B), NSD1 and NUP98 mRNA were fused in-frame joining nucleotide 3505 of NSD1 (exon 5) to nucleotide 1553 (exon 13) of NUP98.
NUP98-NSD1 and NSD1-NUP98 fusion cDNA.
(A) and (B) show the partial nucleotide sequence of theNUP98-NSD1 and NSD1-NUP98 fusion transcripts respectively. In each case the germline NUP98 andNSD1 nucleotide sequences are also shown. Arrows show theNUP98 and NSD1 fusion points. In (A), theNUP98 and NSD1 mRNA were fused in-frame joining nucleotide 1552 (corresponding to the end of exon 12) ofNUP98 to nucleotide 3506 (corresponding to exon 6) ofNSD1. In (B), NSD1 and NUP98 mRNA were fused in-frame joining nucleotide 3505 of NSD1 (exon 5) to nucleotide 1553 (exon 13) of NUP98.
Discussion
This is the first study to use screening with subtelomeric probes to identify subtle chromosome rearrangements in apparently normal AML karyotypes. Here, the M-TEL assay identified 3 translocations not detected by G-banding out of 61 normal karyotype AML cases studied. The first of these, a t(11;19)(q23;p13), cannot be considered to be genuinely cryptic, but is recognized as difficult to detect in poor-quality cytogenetic preparations. This case was over 4 years old and therefore had not been subjected to the complementary FISH/RT-PCR analysis now accepted into clinical diagnostic practice in most laboratories. Nevertheless, this illustrates the value of the M-TEL assay in providing accurate information on metaphases that may be rejected for G-banding analysis. These results also emphasize the superiority of the M-TEL approach over 24-color karyotyping (M-FISH or SKY). M-FISH failed to identify the t(5;11) in either of the 2 cases described here, even when examined retrospectively once the abnormality was known. In 2 other studies of 20 and 19 patients, respectively, with AML with normal karyotypes, SKY analysis failed to identify any abnormalities.32,33 In one further comparable study of karyotypically normal patients with AML, SKY identified one case of t(11;19) and one case with a minor clone of monosomy 7, but no genuinely cryptic rearrangements.34 However, although the M-TEL assay is demonstrably more sensitive than M-FISH for subtle telomeric chromosome rearrangements, it will not detect intrachromosomal rearrangements such as inversions, interstitial deletions, or duplications, a limitation also shared by both M-FISH and SKY.
Overall, this study indicates that the incidence of cryptic translocations in normal AML karyotypes is not high (4.9%). If we consider the incidence according to specific age groups, there were 2 out of 29 (6.9%) in the 0-to-14-year age group and one out of 27 (3.7%) in the 15-to-55-year age group. No abnormalities were identified in the 13 patients in the over-55-year age group. This mirrors the incidence of visible cytogenetic abnormalities in these age groups. It is also of interest that all of the abnormalities were reciprocal, balanced translocations. This is consistent with the concept of distinct biologic subgroups in AML, with AML in younger patients characterized by balanced rearrangements, and the recurrent abnormalities of elderly patients with AML more frequently involving chromosome gain or loss.35 No cryptic abnormalities were detected in any of the isolated trisomy cases. However, the numbers analyzed were small and no definite conclusions can be drawn. The molecular basis of acquired trisomy at present remains obscure, but one study using oligonucleotide-based expression arrays of AML cases with normal cytogenetics and isolated trisomy 8 (+8) demonstrated an overexpression of chromosome 8 genes, indicating that this may be a gene dosage effect.36
The finding of a t(11;19)(q23;p13) in an infant with AML is perhaps not surprising. MLL rearrangements are the most common genetic abnormality in infants (< 1 year) with AML, and it is well recognized that the t(11;19) may be overlooked in less-than-optimal quality banded metaphase preparations. It is now accepted that molecular or FISH screening provides a more sensitive method for the detection of the t(11;19). However, it is debatable whether knowledge of the t(11;19) would significantly have changed the treatment or outcome in this case. There is very little data on the prognostic significance of the t(11;19) in infants with AML. In one study, the presence of the t(9;11)(p22;q23) conferred a favorable prognosis, but other MLL/11q23 rearrangements were not associated with any particular prognosis.37 In the present case, the child was treated on only 4 of the 5 courses of standard MRC-AML-12 protocol and is still alive and disease-free 4 years later.
The most important finding to emerge from the present study is the identification of 2 cases of a cryptic t(5;11)(q35;p15.5), both in younger patients. To our knowledge, these are the first cases of t(5;11) identified in apparently normal karyotypes. In all 3 previously reported cases, the t(5;11) involved an interstitial deletion of 5q on the der(5) chromosome.26 In the present normal karyotype cases, there was no evidence of a submicroscopic 5q deletion using probes for the 2 commonly deleted regions 5q31 and 5q33-q34.38 There are several features common to both the cases of t(5;11) with an associated 5q deletion and those with a normal karyotype. All were children or young adults (range, 3-19 years). All had de novo AML, with no history of prior treatment or mutagenic exposure, either to the children or to the mothers during pregnancy. This is in contrast with other NUP98 rearrangements such as the t(11;20) that appear to be associated with prior exposure to topoisomerase II poisons.25 Of the 5 cases of t(5;11), 3 were classified as M2, with one case each of M1 and M4. All of the t(5;11) patients with an associated 5q deletion were treated on different protocols, had short remission duration (one patient failed to achieve remission), and all relapsed and died within 10 months. The 2 normal karyotype cases in the present study were both treated on the German BFM-98 protocol; both subsequently relapsed and one patient died. However, it is premature to draw any conclusions about the prognostic value of the t(5;11) either with or without an associated del(5q).
It is increasingly becoming evident that NUP98 is another promiscuous gene (similar to ETV6), with 7 different translocation partners reported to date.2 All of these translocations except the t(5;11) are detectable by conventional cytogenetics. However, given the location of NUP98 at approximately 2 Mb from the 11p telomere (and within a pale G-band), one can speculate that there may be other cytogenetically cryptic translocations involving NUP98. We have shown here that the t(5;11) is beyond the resolution of both G-banding and M-FISH. We have previously shown that the der(11), but not the der(5), is detectable using single-color whole chromosome painting.26 However, the most reliable cytogenetic method for detection of the t(5;11) is FISH with chromosome-specific subtelomeric probes for 5q and 11p.
The incidence of t(5;11) in younger patients with AML (< 19 years) with an apparently normal karyotype appears to be significant (2 out of 30 in the present series). Further studies of a larger series of patients with AML are necessary to determine the true incidence of this translocation, as well as any clinical correlations. We have demonstrated here that the t(5;11) in both normal karyotype patients resulted in the same NUP98-NSD1 fusion as previously identified in one of the del(5q) cases.30 This indicates that the t(5;11) is of primary importance in this type of leukemia. It is also of interest that the reciprocal NSD1-NUP98 fusion transcript was expressed in both of the normal karyotype cases, as well as in the previous del(5q) case, suggesting a biologic role for both fusion proteins. The predicted NUP98-NSD1 fusion protein retains the FG repeats of NUP98, essential for its “docking” function in nuclear-cytoplasmic transport, and the conserved SET, SAC, and PHD finger domains of NSD1.30 The predicted NSD1-NUP98 fusion protein would retain the nuclear receptor interaction domain of NSD1 and the RNA binding domain of NUP98.30 Further analysis of the function of the NUP98-NSD1 protein is expected to provide important information on the mechanism of leukemogenesis in this group of patients.
The authors would like to thank Dr Christine Harrison, Leukaemia Research Fund Cytogenetics Group, Southampton United Kingdom, for providing data from the UKCCG AML databases. We also thank Dr Ursula Creutzig, Children's University Hospital, Muenster, Germany, for the data on the AML-BFM-98 therapy study. Kevin Clark (Weatherall Institute of Molecular Medicine (WIMM), Oxford, United Kingdom) carried out the sequencing. The NUP98 gene probes were a kind gift of Dr Peter Aplan, National Cancer Institute, Gaithersburg, MD. The 5q35 probes were a kind gift of Dr Stephan Morris, St Jude Children's Research Hospital, Memphis, TN. We are grateful to the following for providing fixed cell suspensions for the M-TEL assay: Fiona Ross, Wessex Regional Cytogenetics Laboratory, Salisbury General Hospital, Salisbury, United Kingdom; William Baird, Duncan Guthrie Institute for Medical Genetics, Royal Hospital for Sick Children, Yorkhill, Glasgow; John Swansbury, Royal Marsden Hospital, Sutton, United Kingdom; Mervyn Humphreys, Regional Genetics Centre, Belfast City Hospital, Ireland; Maggie Fitchett, Oxford Medical Genetics Laboratories, Churchill Hospital, Oxford, United Kingdom; Elizabeth Grace, SE Scotland Cytogenetics Service, Western General Hospital, Edinburgh, United Kingdom; Oskar Haas, St Anna Children's Hospital, Vienna, Austria. We particularly thank Veronica Buckle and Andrew Wilkie (WIMM, Oxford, United Kingdom) for helpful discussion and critical reading of the manuscript.
Supported by The Leukaemia Research Fund, United Kingdom (J.B,) and the Medical Research Council (L.K).
The publication costs of this article were defrayed in part by page charge payment. Therefore, and solely to indicate this fact, this article is hereby marked “advertisement” in accordance with 18 U.S.C. section 1734.
References
Author notes
Lyndal Kearney, Leukaemia Research Fund Centre, Institute of Cancer Research, Chester Beatty Laboratories, 237 Fulham Rd, London SW3 6JB, United Kingdom; e-mail: lkearney@icr.ac.uk.


